Sehnenverkalkung
| Klassifikation nach ICD-10 | |
|---|---|
| M65.2 | Tendinitis calcarea |
| M65.8[1] | Sonstige Synovitis und Tenosynovitis |
| M75.3 | Tendinitis calcarea im Schulterbereich |
| M77.9 | Enthesopathie, nicht näher bezeichnet |
| ICD-10 online (WHO-Version 2019) | |
| Klassifikation nach ICD-11 | |
|---|---|
| FB40.3 | Tendinitis calcarea |
| ICD-11: Englisch • Deutsch (Entwurf) | |

Bei der Tendinosis calcarea (auch Kalkschulter, Sehnenverkalkung oder kalzifizierende Tendinitis) bilden sich Kalzifikationen im Ansatzbereich von Sehnen. Sie kommen besonders häufig an der Rotatorenmanschette (Oberarmkopfsteuermuskeln) des Schultergelenkes vor, meist in der Supraspinatussehne. In 10 – 20 % der Fälle sind beide Schultern betroffen.[2] Seltener sind andere Lokalisationen wie z. B. in den Sehnen der Glutealmuskulatur. Prinzipiell kann diese Erkrankung in jeder Sehne auftreten.[3]
Ursache

Aus unbekannten Gründen bilden sich im mittleren Lebensalter Kristalle in den Sehnen kurz vor dem Ansatz.
Nach histologischen Untersuchungen an Schultern werden vier Stadien beschrieben.[4]
- Transformation. Sehnenzellen bilden Faserknorpel.
- Kalzifikation. Im Zwischenzellgewebe bilden sich Kristalle in sogen. Matrixvesikeln.
- Resorption. Die „Verkalkung“ wird vom Körper abgebaut.
- Reparation. Es bildet sich wieder eine normale Sehne.
Die Bezeichnung „Verkalkung“ ist gebräuchlich, aber irreführend, da es sich nicht um Kalk (Calciumcarbonat oder Calciumhydroxid) handelt, sondern um Hydroxylapatit, wie es auch im Knochen vorkommt. Im Knochen ist es jedoch fest durchmineralisiert und bei der Tendinosis calcarea im lockeren Verband.[5] Es handelt sich nicht um eine Verknöcherung wie sie z. B. an der Achillessehne nach einem Trauma vorkommt oder bei Verknöcherungen direkt am Sehnenansatz auf dem Knochen wie z. B. beim sogenannten Fersensporn oder anderen Fibroostosen. Es ist auch keine degenerative Erkrankung, wie häufig vermutet wird, sondern ein eigenständiger, aktiver Prozess mit regelhaftem Verlauf und häufiger Spontanheilung.
Typischer Verlauf und Beschwerden
In der Kalzifikationsphase werden die „Verkalkungen“ größer und phasenweise treten mehr oder weniger Beschwerden auf, insbesondere beim seitlichen Heben des Armes und nachts. Der Schmerz wird meist am Oberarm empfunden. In dieser Phase können Schmerzen aber auch komplett fehlen. Irgendwann kommt es in der Regel zur spontanen Resorption der Kristalle verbunden mit akut auftretenden, sehr heftigen Schmerzen, die etwa zwei Wochen anhalten. Die Kristalle lösen sich in einer Suspension, die cremeartig aussieht in der Sehne, manchmal im angrenzenden Schleimbeutel und sehr selten im Gelenk selbst. In der vorherigen Kalzifikationsphase sieht das „Kalkdepot“ aus wie ausgetrocknete Zahnpasta. Nach kompletter Resorption resultiert eine normale Sehne und an gleicher Stelle tritt eine Kalzifikation nicht wieder auf. Jedes „Kalkdepot“ hat seinen eigenen Verlauf. Hat jemand also zwei oder drei „Kalkdepots“, durchlaufen diese unabhängig voneinander die Entwicklungsphasen.
Befund
Heben des Armes bereitet Schmerzen, die bei kompletter Armhebung verschwinden oder deutlich geringer werden (schmerzhafter Bogen). Die Tests, bei denen der Oberarmkopf gegen das Schulterdach (Acromion und Lig. coracoacromiale) bewegt wird, sind schmerzhaft (Impingement). Anspannung und Dehnung der betroffenen Sehnen kann schmerzhaft sein. Die umgebende Muskulatur kann schmerzhafte Verhärtungen aufweisen (Triggerpunkte).
In der akut schmerzhaften Resorptionsphase kann schmerzbedingt der Arm kaum bewegt werden und alle Tests sind schmerzüberlagert positiv. Häufig sind die Sehnenansätze dann druckschmerzhaft, manchmal ist die Schulter geschwollen durch Verdickung der Sehne und eine Schleimbeutelentzündung. Im Blut finden sich fast nie Entzündungszeichen.
Diagnose
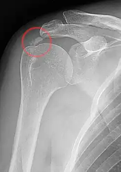
Die Diagnose wird gestellt durch Schulterschmerzen, die auf eine „Verkalkung“ in der Rotatorenmanschette zurückzuführen sind. Die Schmerzen treten spontan ohne Trauma auf oder nach vermehrter Überkopftätigkeit (Impingement). Die „Kalkdepots“ bilden sich in den Sehnen kurz vor dem Ansatz der Rotatorenmanschette am Oberarmkopf, meist am Supraspinatus, seltener am Infraspinatus und Subscapularis. Stärke und Dauer der Beschwerden hängen vom Stadium der Erkrankung ab. Mehrere „Kalkdepots“ gleichzeitig sind nicht selten. Im Röntgenbild sind die „Verkalkungen“ gut zu erkennen und haben je nach Krankheitsphase ein unterschiedliches Erscheinungsbild.
Apparative Diagnostik
-
Röntgenbild bei Tendinosis calcarea der Schulter (Kalzifikationshase) -
Tendinosis calcarea im Resorptionsstadium -
Tendinosis calcarea in der Resorptionsphase mit Bursitis (waagerechter Pfeil) -
Tendinosis calcarea der Hüfte -
Ultraschallbild der Schulter in der Resorptionsphase mit kleinen "Verkalkungen" (rote Pfeile)
Im Röntgenbild sind die „Verkalkungen“ gemäß der Stadien gut zu erkennen. In der Kalzifikationsphase erscheint die „Verkalkung“ dicht, homogen und scharfrandig und kann über Jahre an Größe zunehmen (Typ I). In der Resorptionsphase findet man eine transparente und unscharf begrenzte Struktur, die oft großflächiger und inhomogen erscheint (Typ III). Beim Typ II zeigt das Röntgenbild gemischte Strukturen und kann nicht sicher zugeordnet werden.[6] Etwa drei Monate nach Beginn der Resporptionsphase ist die „Verkalkung“ im Röntgenbild nicht mehr erkennbar. Gut stecknadelkopfgroße Restverkalkungen können verbleiben, bereiten jedoch keine Probleme mehr.
Im Ultraschall sieht man in der Ruhephase eine sichelförmige Verdichtung in der Sehne mit Schallschatten und in der Resorptionsphase meist kleinere Verdichtungen und manchmal eine Verdickung der Sehne und/oder eine Schleimbeutelentzündung.[7] Die Magnetresonanztomographie (MRT) ist hier nicht gut geeignet, da sie an der Stelle der „Verkalkung“ nur eine unspezifische Signalauslöschung zeigt. Manchmal sieht man eine Sehnenverdickung oder Schleimbeutelentzündung. Eine Computertomographie (CT) erbringt keine relevanten Mehrinformationen.
Differentialdiagnose
Hinsichtlich der Symptomatik können differenziert werden:
- Alle Subacromialsyndrome (Impingement) z. B. durch Tendinitis oder Bursitis
- Frozen Shoulder
- Rotatorenmanschettenruptur
- Omarthrose
- Neuralgische Schulteramyotrophie
- Bandscheibenvorfall der Halswirbelsäule
- Arthritis (rheumatisch oder septisch)
- Chondrokalzinose
Hinsichtlich der Darstellung im Röntgenbild können differenziert werden:
- Fibroostose (degenerativ bedingte Verknöchern des Sehnenansatzes direkt am Oberarmkopf)
- Osteophyt
- heterotope Ossifikation
Behandlung
In der Kalzifikationsphase helfen gegen den Schmerz Kälteanwendungen und orale entzündungshemmende Medikamente wie z. B. Naproxen oder Ibuprofen. Wenn dies nicht ausreicht, können Injektionen mit Steroiden (Kortison) helfen, gemischt mit einem örtlichen Betäubungsmittel (Lokalanästhetikum) in den angrenzenden Schleimbeutel. Die Injektion sollte nicht in die Sehne erfolgen, da durch das Kortison ein Sehnenriss begünstigt wird. Physiotherapie kann Linderung bringen durch Behandlung der sekundär betroffenen Muskeln und Faszien sowie ein gezieltes Muskeltraining (Impingementübungen).
Eine Resorption kann durch keine Behandlung sicher ausgelöst werden. Ist die spontane Resorptionsphase eingetreten, braucht nur abgewartet zu werden, da der Körper in dieser Phase die Kalzifikation selbsttätig abbaut. Die Schmerzen sind dabei meist so stark, dass oft ein zusätzliches Schmerzmittel genommen werden muss wie z. B. Novaminsulfon oder Tilidin. In der akut schmerzhaften Resorptionsphase ist Physiotherapie nicht sinnvoll.
Erfolge sind mit der fokussierten extrakorporalen Stoßwellentherapie (ESWT) beschrieben. Nicht zu verwechseln mit der radialen Stoßwellentherapie (RSWT), die ein ganz anderes Verfahren ist mit geringerer Energie. Bei der ESWT erfolgen in der Regel drei Behandlungen.[8][9] Eine Auflösung der „Verkalkung“ wird in der chronischen Phase oft nicht erreicht, häufig aber Beschwerdefreiheit oder deutliche Beschwerdelinderung.
Drei Metaanalysen kommen zu dem Ergebnis, dass die ESWT in der Behandlung der Tendinosis calcarea statistisch signifikant bessere Ergebnisse liefert als Placebo.[10][11][12] Studien aus den letzten Jahren bestätigen den positiven Effekt.[13][14][15][16][17][18]
Der IGeL-Monitor des Medizinischen Dienst des Spitzenverbandes Bund der Krankenkassen (MDS) bewertete die ESWT zuletzt 2014 nach einer Literaturrecherche als „unklar“, weshalb die gesetzlichen Versicherungen in Deutschland die Kosten der ESWT bei Tendinosis calcarea nicht übernehmen.[19]
Bei erfolgloser konservativer Therapie kann ein Needling helfen. Hier wird in Lokalanästhesie das Depot mit einer Spritze punktiert unter Ultraschall- oder Röntgenkontrolle, Kristalle können ausgespült werden (Lavage) und/oder die umgebende Sehne genadelt werden zur besseren Durchblutung, um damit eine Resorption anzustoßen. Dies gelingt in der Kalzifikationsphase nur in einem Drittel der Fälle.[3] Die akut schmerzhafte Resorptionsphase kann durch Aspiration der Kristalle um einige Tage verkürzt werden.
Letztlich kann die „Verkalkung“ offen chirurgisch oder arthroskopisch operativ entfernt werden, was regelmäßig gute Ergebnisse erbringt. Hierbei wird oft zusätzlich der Schleimbeutel entfernt (Bursektomie) und der Raum zwischen dem Oberarmkopf und dem Schulterdach erweitert (Acromioplastik).[20][21]
Siehe auch
Weblinks
- Carli A. de. Calcifying Tendinitis of the Shoulder 2014.
- Die Kalkschulter – Tendinosis calcarea 2011
- Die Kalkschulter
- Die Kalkschulter -Tendinosis calcarea 2011.
- Pschyrembel
- S. Ostermeier: Kalkschulter (Tendinosis calcarea): Diagnose und Behandlung. Orthopädische Gelenkklinik Freiburg.
Einzelnachweise
- ↑ Alphabetisches Verzeichnis zur ICD-10-WHO Version 2019, Band 3. Deutsches Institut für Medizinische Dokumentation und Information (DIMDI), Köln, 2019, S. 436
- ↑ Vito Rotator cuff calcific tendinopathy: from diagnosis to treatment 2018. doi:10.23750/abm.v89i1-S.7022 PMC 6179075 (freier Volltext) PMID29350647
- ↑ a b J. Gärtner: Tendinosis calcarea - Behandlungsergebnisse mit dem Needling. In: Zeitschrift für Orthopädie und ihre Grenzgebiete. Band 131, Nr. 05, Januar 1993, ISSN 0044-3220, S. 461–469, doi:10.1055/s-2008-1040055.
- ↑ Hans K. Uhthoff, Joachim F. Löhr: Calcifying Tendinitis. In: C. A. Rockwood, F.A. Matsen: The Shoulder. W.B. Saunders Company, Philadelphia 1990, ISBN 0-7216-8136-0-Vol.2, S. 989–1008.
- ↑ Joachim Gärtner, Bruno Simons: Analysis in calcific deposits in calcifying tendinitis. In: Marshall R. Urist (Hrsg.): Clinical Orthopaedics and Related Research. Band, Nr. 254. J.B. Lippincott Company, Philadelphia Mai 1990, S. 111–120.https://journals.lww.com/clinorthop/abstract/1990/05000/analysis_of_calcific_deposits_in_calcifying.17.aspx
- ↑ Joachim Gärtner, Arnd Heyer: Tendinosis calcarean der Schulter. Orthopäde 1995, Band 24 S.284-302.
- ↑ Achim Hedtmann: Atlas und Lehrbuch der Schultersonografie 22 Tabellen. 2., neu bearb. Auflage. Stuttgart 1991, ISBN 3-432-97022-6.
- ↑ DIGEST (Deutschsprachige Internationale Gesellschaft für Extrakorporale Stosswellentherapie): Leitlinien. (PDF) DIGEST, Juni 2019, abgerufen am 20. März 2023.
- ↑ Jan D. Rompe, Jan Zoellner, Bernhard Nafe: Shock Wave Therapy Versus Conventional Surgery in the Treatment of Calcifying Tendinitis of the Shoulder. In: Clinical Orthopaedics and Related Research. Band 387, Juni 2001, ISSN 0009-921X, S. 72–82, doi:10.1097/00003086-200106000-00010.
- ↑ Alisara Arirachakaran, Manusuk Boonard, Sarunpong Yamaphai, Akom Prommahachai, Suraphol Kesprayura, Jatupon Kongtharvonskul: Extracorporeal shock wave therapy, ultrasound-guided percutaneous lavage, corticosteroid injection and combined treatment for the treatment of rotator cuff calcific tendinopathy: a network meta-analysis of RCTs. In: European Journal of Orthopaedic Surgery & Traumatology. Band 27, Nr. 3, April 2017, ISSN 1633-8065, S. 381–390, doi:10.1007/s00590-016-1839-y.
- ↑ R.R. Bannuru et al.: High-energy extracorporeal shock-wave therapy for treating chronic calcific tendinitis of the shoulder: a systematic review. Annals of Internal Medicine 2014.160(8): 542-549.
- ↑ H.D. Heller, F.U. Niethard: Der Einsatz der extrakorporalen Stosswellentherapie in der Orthopädie – eine Metaanalyse. In: Zeitschrift für Orthopädie 1988, Band 136, S. 390–401.
- ↑ Yang-Soo Kim, Hyo-Jin Lee, Yoon-vin Kim, Chae-Gwan Kong: Which method is more effective in treatment of calcific tendinitis in the shoulder? Prospective randomized comparison between ultrasound-guided needling and extracorporeal shock wave therapy. In: Journal of Shoulder and Elbow Surgery. Band 23, Nr. 11, November 2014, S. 1640–1646, doi:10.1016/j.jse.2014.06.036 (elsevier.com [abgerufen am 20. März 2023]).
- ↑ M.S. Kim,Diagnosis and treatment of calcific tendinitis of the shoulder 2020, doi:10.5397/cise.2020.00318 PMC 7726362 (freier Volltext) PMID33330261
- ↑ H.W. Lee, J.Y. Kim, C.W. Park, B. Haotian, G.W. Lee, K.C. Noh: Comparison of Extracorporeal Shock Wave Therapy and Ultrasound-Guided Shoulder Injection Therapy in Patients with Supraspinatus Tendinitis. Clin Orthop Surg. 2022 Dec;14(4):585-592.
- ↑ Markus Loew, M. Schnetzke, S. Lichtenberg. Current treatment concepts of calcifying tendinitis of the shoulder. Obere Extremität 16, 85–93 (2021).
- ↑ Jan K.G. Louwerens et al.: Evidence for minimally invasive therapies in the management of chronic calcific tendinopathyof the rotator cuff: a systematic review and meta-analysis. J Shoulder Elbow Surg. 2014 Aug;23(8):1240-1249.
- ↑ Jan K. G. Louwerens et al.: Comparing Ultrasound-Guided Needling Combined With a Subacromial Corticosteroid Injection Versus High-Energy Extracorporeal Shockwave Therapy for Calcific Tendinitis of the Rotator Cuff: A Randomized Controlled Trial.
- ↑ IGel-Monitor, Bewertung der Stoßwellentherapie bei der Kalkschulter, abgerufen am 21. Februar 2023.
- ↑ Mauricio Drummond Junior et al.: Pedictive factors for failure of conservative management in the treatment of calcific tendinitis of the shoulder. JSES International Volume 5, Issue 3, May 2021, S. 469-473.https://doi.org/10.1016%2Fj.jseint.2021.01.013
- ↑ Achim Hedtmann, Hanns Fett: Subacromialsyndrom bei Tendinosis calcarea. In: Frank Gohlke, Achim Hedtmann (Hrsg.): Orthopädie und Orthopädische Chirurgie. Schulter. Thieme, Stuttgart, New York 2002, ISBN 3-13-125661-3, S. 317–338.