Tachyzoit
Als Tachyzoit (von griech. tachys ‚schnell‘ und zoein ‚leben‘) bezeichnet man ein Entwicklungsstadium der Apicomplexa, welches sich in der Wirtszelle durch Teilungsvorgänge über Endodyogenie oder Endopolygenie rasch vermehrt. Tachyzoiten sind die bewegliche Form jener Kokzidien, die Gewebezysten bilden. Das sich langsam teilende sessile Stadium nennt man Bradyzoit.
-
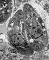
Tachyzoiten von Toxoplasma gondii -
Zwei Tachyzoiten von Toxoplasma gondii, TEM-Bild
Literatur
- Georg von Samson-Himmelstjerna, Horst Zahner, Johannes Eckert, Peter Deplazes: Lehrbuch der Parasitologie für die Tiermedizin. Georg Thieme Verlag, 3. Aufl. 2012, ISBN 978-3-8304-1205-2, S. 620.