Symphalangismus
| Klassifikation nach ICD-10 | |
|---|---|
| Q70.9 | Syndaktylie, nicht näher bezeichnet –
Symphalangie o.n.A. |
| ICD-10 online (WHO-Version 2019) | |
| Klassifikation nach ICD-11 | |
|---|---|
| LB90.Y | Sonstige näher bezeichnete Defekte der Gelenkbildung |
| ICD-11: Englisch • Deutsch (Entwurf) | |
Der Symphalangismus oder die Symphangie (von altgriechisch σύν syn ‚zusammen‘ und φάλαγξ phálanx ‚Reihe‘) ist eine – ausgenommen die Kleinzehe – seltene Fehlbildung mit Verschmelzung (Fusion) zweier Phalangen.[1]
Im Unterschied zur Syndaktylie, bei der die Trennung zwischen benachbarten Fingern beziehungsweise Zehen fehlt oder unvollständig ist,[2] liegt bei der Symphalangie eine knöcherne Verschmelzung zweier Phalangen eines Fingers oder einer Zehe vor, mit Fehlen des betroffenen proximalen oder distalen Finger- bzw. Zehengelenkes.[1]
Die Erstbeschreibung stammt aus dem Jahre 1900 durch Harvey Cushing.[3]
Verbreitung

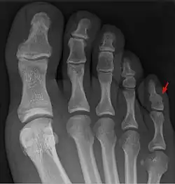
Eine Symphalangie wird am häufigsten als anatomische Variante (Normvariante) an der Kleinzehe als Fusion von Mittel- und Endphalanx gefunden. Das Vorkommen wird hier mit 40–70 % der Bevölkerung angegeben.[4]
Häufig werden zusätzliche Fehlbildungen wie kürzere Mittelfuß- oder Mittelhandknochen oder karpale bzw. Tarsale Koalition gefunden.[4]
Es besteht eine Assoziation mit:[1][5]
- Apert-Syndrom
- Brachydaktylie in verschiedenen Formen
- Diastrophische Dysplasie
- Poland-Syndrom
Einteilung
Folgende Erkrankungen finden sich zu „Symphalangismus“ in den Datenbanken Orphanet bzw. OMIM:
- Sillence-Syndrom, Synonym: Symphalangismus-Brachydaktylie-Syndrom[6]
- Learman-Syndrom, Synonym: Symphalangismus mit multiplen Anomalien der Hände und Füße[7]
- Distaler Symphalangismus, Synonym: SYM2[8]
- Proximaler Symphalangismus, Synonym: Cushing-Symphalangie; Proximale Symphalangie Typ Cushing[9]
- Syndrom der multiplen Synostosen, Synonym Symphalangie – Brachydaktylie. Unter dieser Bezeichnung können das Sillence-Syndrom, der proximale Symphalangismus Typ 1A und 1B zusammengefasst werden
Ferner gibt es die
- Brachydaktylie Typ B, Synonym: Symphalangismus und Hypophalangie; apikale Dystrophie; Brachydaktylie mit Gelenkaplasie[12]
Klinische Erscheinungen
Klinische Kriterien sind:[5]
- Gelenksteifheit, Bewegungseinschränkung, fehlende Hautfalten über dem Gelenkaplasie
Häufig handelt es sich um einen Zufallsbefund im Röntgenbild
Je nach Ausmaß der Fusion kann zwischen fibröser, knorpeliger und knöcherner Symphalangie unterschieden werden.[13]
Literatur
- G. H. Baek, J. Kim, J. W. Park: Mobilization of Joints of the Hand with Symphalangism. In: Hand clinics. Band 33, Nummer 3, 08 2017, S. 551–560, doi:10.1016/j.hcl.2017.04.008, PMID 28673631 (Review).
- H. Chen: Symphalangism. In: Atlas of Genetic Diagnosis and Counseling. Springer, New York, NY, 2015 link.springer.com
- M. Letts, D. Davidson, P. Beaulé: Symphalangism in children. Case report and review of the literature. In: Clinical orthopaedics and related research. Nummer 366, September 1999, S. 178–185, PMID 10627733 (Review).
Einzelnachweise
- ↑ a b c W. Schuster, D. Färber (Herausgeber): Kinderradiologie. Bildgebende Diagnostik. 2. Auflage. 1996, ISBN 3-540-60224-0, S. 111.
- ↑ F. Hefti: Kinderorthopädie in der Praxis. Springer 1998, ISBN 3-540-61480-X. S. 398
- ↑ H. Cushing: Hereditary Anchylosis of the Proximal Phalan-Geal Joints (Symphalangism). In: Genetics. Band 1, Nummer 1, Januar 1916, S. 90–106, PMID 17245852, PMC 1193655 (freier Volltext).
- ↑ a b T. Nakashima, T. Hojo, K. Suzuki, M. Ijichi: Symphalangism (two phalanges) in the digits of the Japanese foot. In: Annals of anatomy = Anatomischer Anzeiger: official organ of the Anatomische Gesellschaft. Band 177, Nummer 3, Mai 1995, S. 275–278, doi:10.1016/S0940-9602(11)80199-8, PMID 7598223.
- ↑ a b Radiopaedia
- ↑ Eintrag zu Sillence-Syndrom. In: Orphanet (Datenbank für seltene Krankheiten)
- ↑ Eintrag zu Symphalangismus mit multiplen Anomalien der Hände und Füße. In: Orphanet (Datenbank für seltene Krankheiten)
- ↑ Eintrag zu Symphalangismus, isolierter distaler. In: Orphanet (Datenbank für seltene Krankheiten)
- ↑ Eintrag zu Symphalangismus, proximaler. In: Orphanet (Datenbank für seltene Krankheiten)
- ↑ Symphalangism, proximal, 1A. In: Online Mendelian Inheritance in Man. (englisch)
- ↑ Symphalangism, proximal, 1B. In: Online Mendelian Inheritance in Man. (englisch)
- ↑ Bernfried Leiber (Begründer): Die klinischen Syndrome. Syndrome, Sequenzen und Symptomenkomplexe. Hrsg.: G. Burg, J. Kunze, D. Pongratz, P. G. Scheurlen, A. Schinzel, J. Spranger. 7., völlig neu bearb. Auflage. Band 2: Symptome. Urban & Schwarzenberg, München u. a. 1990, ISBN 3-541-01727-9.
- ↑ Epainassist