Sympathikolyse

Die Sympathikolyse ist ein Verfahren zur zeitweiligen oder andauernden Ausschaltung der sympathischen Innervierung. Es wird u. a. zur Verbesserung der Durchblutung in den Beinen oder Armen angewandt.
Der Sympathikus bewirkt im Gleichgewicht der vegetativen Systeme die Engstellung der Blutgefäße, daher ist nach seiner Ausschaltung in vielen Fällen eine Gefäßerweiterung (Vasodilatation) zu erzielen. Verschlossene Gefäße werden nicht wieder eröffnet, aber die Kollateralen werden besser durchblutet.
Anwendungsgebiete
Hauptindikation ist die pAVK im klinischen Stadium III und IVa, wenn die kleinen, nicht rekonstruierbaren Gefäße für das Problem wesentlich sind.[1] Eine Cochrane-Metaanalyse von 2016 fand allerdings keine Studien, die zum Wirkungsnachweis geeignet wären.[2]
Weitere Indikationen sind
- Reflexdystrophien nach Verletzungen,[1] wobei die Wirksamkeit nur sehr schwach belegt ist,[3]
- M. Raynaud,[4] und
- schwere, psychosozial relevante Formen der Hyperhydrosis.[5] Die Leitlinie empfiehlt die Methode, allerdings nur auf schwachem Evidenzniveau.[6]
Kontraindikationen
Nur bei intakten zuführenden Arterien wird die Durchblutung dann stark erhöht. Wenn auch die zentralen Arterien fixiert verengt sind, kann es im Gegenteil zu Druckabfall, und bei Unterschreiten des Venendrucks sogar zu Minderversorgung des Gewebes kommen. Die Sympathikuswirkung ist außerdem an der Haut stärker als in den Muskeln, da die Hautgefäße mehr Rezeptoren aufweisen. Daher ist die Sympathikolyse meist nicht zur Behandlung einer Mehretagen-Durchblutungsstörung geeignet. Ein Blutdruck <50 mm Hg auf Knöchelhöhe gilt als Kontraindikation. Weitere Kontraindikationen sind Diabetes mit Polyneuropathie und Systemerkrankungen mit Gefäßbeteiligung wie Sklerodermie.
Technik
- Einzelne oder mehrere sympathischen Ganglien können chirurgisch entfernt werden, heute oft in mikroinvasiver und videoassistierter Technik. Dies geschieht an der Brustwirbelsäule (für den Arm) oder vor der Lendenwirbelsäule (für das Bein). Unerwünschte Wirkungen können sein: Schmerzen, Erythromelalgie, Horner-Syndrom nach der Brustoperation, Erektionsstörung nach dem Eingriff in der Lumbalregion, Verletzungen angrenzender Strukturen wie Arterien oder Harnleitern.
- Ausschaltung der Ganglien durch Injektion von Alkohol oder Phenol gemischt mit einem örtlichen Betäubungsmittel. Die Lage der Nadel wird durch computertomographische Aufnahmen überwacht. Unerwünschte Wirkungen sind ähnlich wie bei den operativen Eingriffen, allerdings seltener. Komplikationen werden mit ca. 2 % angegeben, Symptombesserung mit 38–32 %.
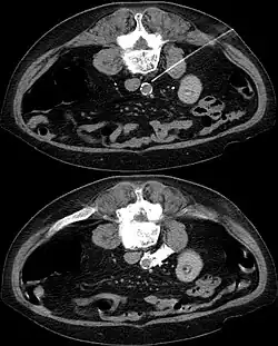
- Auch an anderen Stellen des Körpers kann das sympathische Nervengeflecht blockiert werden. Der an den großen Bauchgefäßen liegende sympathische Plexus kann z. B. in örtlicher Betäubung unter Steuerung im Computertomogramm durch Injektion von konzentriertem Alkohol ausgeschaltet werden (Verfahren der interventionellen Radiologie).
- Zur Verbesserung der Durchblutung an den oberen Extremitäten kann die Leitungsanästhesie des Ganglion stellatum vorgenommen werden. Durch diese Blockade kommt es neben einer Vasodilatation im gesamten Einzugsgebiet zu einer verminderten Schweißsekretion (Anhidrosis) und einem Horner-Syndrom. Letzteres ist ein Zeichen für die erfolgreiche Durchführung der Blockade. Die vorübergehende Stellatumblockade wird z. B. zur Therapie eines fortgeschrittenen komplexen regionalen Schmerzsyndromes durchgeführt. Eine chirurgische Ausschaltung des Ganglion stellatum ist das letzte Mittel der Wahl bei einem Morbus Raynaud.
Literatur
- Horst Rieger, Werner Schoop: Klinische Angiologie. Springer-Verlag, 2013, ISBN 978-3-662-08104-4, S. 370–373.
Einzelnachweise
- ↑ a b Horst Rieger, Werner Schoop: Klinische Angiologie. Springer-Verlag, 2013, ISBN 978-3-662-08104-4, S. 370–373.
- ↑ Veena KL Karanth, Tulasi Kota Karanth, Laxminarayan Karanth: Lumbar sympathectomy techniques for critical lower limb ischaemia due to non-reconstructable peripheral arterial disease. In: Cochrane Database of Systematic Reviews. Band 2016, Nr. 12, 13. Dezember 2016, doi:10.1002/14651858.CD011519.pub2 (wiley.com).
- ↑ Sebastian Straube, Sheena Derry, R Andrew Moore, Peter Cole: Cervico-thoracic or lumbar sympathectomy for neuropathic pain and complex regional pain syndrome. In: Cochrane Database of Systematic Reviews. Band 2020, Nr. 4, 2. September 2013, doi:10.1002/14651858.CD002918.pub3, PMID 23999944, PMC 6491249 (freier Volltext) – (wiley.com).
- ↑ Paweł Maga, Jarosław Kużdżał, Rafał Niżankowski, Andrzej Szczeklik, Krzysztof Sładek: Long-term effects of thoracic sympathectomy on microcirculation in the hands of patients with primary Raynaud disease. In: The Journal of Thoracic and Cardiovascular Surgery. Band 133, Nr. 6, 1. Juni 2007, ISSN 0022-5223, doi:10.1016/j.jtcv (jtcvs.org).
- ↑ Johannes Schmidt: Retroperitoneoskopische lumbale Sympathikolyse (ELS) bei plantarer Hyperhidrosis. German Medical Science GMS Publishing House, 26. April 2013, S. Doc13dgch013, doi:10.3205/13dgch013 (egms.de [abgerufen am 29. Januar 2025]).
- ↑ B. Rzany et al.: S1-Leitlinie Definition und Therapie der primären Hyperhidrose, Stand: 19/02/2023; register.awmf.org