Spondylometaphysäre Dysplasie Typ Koslowski

Klassifikation nach ICD-10
Q77.8 Sonstige Osteochondrodysplasien mit Wachstumsstörungen der Röhrenknochen und der Wirbelsäule
{{{02-BEZEICHNUNG}}}
{{{03-BEZEICHNUNG}}}
{{{04-BEZEICHNUNG}}}
{{{05-BEZEICHNUNG}}}
{{{06-BEZEICHNUNG}}}
{{{07-BEZEICHNUNG}}}
{{{08-BEZEICHNUNG}}}
{{{09-BEZEICHNUNG}}}
{{{10-BEZEICHNUNG}}}
{{{11-BEZEICHNUNG}}}
{{{12-BEZEICHNUNG}}}
{{{13-BEZEICHNUNG}}}
{{{14-BEZEICHNUNG}}}
{{{15-BEZEICHNUNG}}}
{{{16-BEZEICHNUNG}}}
{{{17-BEZEICHNUNG}}}
{{{18-BEZEICHNUNG}}}
{{{19-BEZEICHNUNG}}}
{{{20-BEZEICHNUNG}}}
Vorlage:Infobox ICD/Wartung {{{21BEZEICHNUNG}}}
ICD-10 online (WHO-Version 2019)

Die Spondylometaphysäre Dysplasie Typ Koslowski (englisch „Kozlowski“ geschrieben) ist eine sehr seltene angeborene Entwicklungsstörung des Skelettes hauptsächlich mit Veränderungen an den Wirbelkörpern und Metaphysen. Es handelt sich um die häufigste Form der Spondylometaphysären Dysplasie.[1][2]

Synonyme sind: Koslowski-Maroteaux-Spranger Syndrom; englisch Kozlowski's spondylometaphyseal dysplasia syndrome; Koslowsky's type of chondrodysplasia

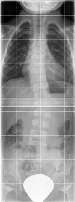
Rö-Aufnahme eines 7 j. Mädchens mit Spondylometaphysärer Dysplasie Typ Koslowski mit deformierten Femurmetaphysen und mäßiger Platyspondylie

Die Bezeichnung bezieht sich auf die Autoren des Erstbeschriebes aus dem Jahre 1966 durch den polnischen Kinderradiologen Kazimierz Koslowski, den Pariser Kinderarzt und Genetiker Pierre Maroteaux und den Mainzer Kinderarzt Jürgen Spranger.[3][4]

Verbreitung

Die Häufigkeit wird mit unter 1 zu 1.000.000 angegeben, die Vererbung erfolgt autosomal-dominant.[2]

Ursache

Der Erkrankung liegen Mutationen im TRPV4-Gen zugrunde.[5]

Mutationen in diesem Gen finden sich auch bei weiteren, bei der Parastremmatischen Dysplasie aufgeführten Erkrankungen.

Klinische Erscheinungen

Klinische Kriterien sind:[1]

  • Disproportionierter Kleinwuchs mit kurzem Rumpf, die Erwachsenengrösse liegt unter 140 cm
  • Im Kleinkindesalter auffallendes watschelndes Gangbild
  • Kyphose und Skoliose

Diagnose

Im Röntgenbild findet sich eine generalisierte Platyspondylie, die verkürzten Röhrenknochen weisen eine Deformierung der Metaphyse hauptsächlich am Schenkelhals und der Trochanteren auf, häufig besteht eine Coxa vara.[2]

Literatur

  • G. Nishimura, J. Dai, E. Lausch, S. Unger, A. Megarbané, H. Kitoh, O. H. Kim, T. J. Cho, F. Bedeschi, F. Benedicenti, R. Mendoza-Londono, M. Silengo, M. Schmidt-Rimpler, J. Spranger, B. Zabel, S. Ikegawa, A. Superti-Furga: Spondylo-epiphyseal dysplasia, Maroteaux type (pseudo-Morquio syndrome type 2), and parastremmatic dysplasia are caused by TRPV4 mutations. In: American journal of medical genetics. Part A. Bd. 152A, Nr. 6, Juni 2010, S. 1443–1449, ISSN 1552-4833. doi:10.1002/ajmg.a.33414. PMID 20503319.
  • P. Maroteaux, J. Spranger: The spondylometaphyseal dysplasias. A tentative classification. In: Pediatric radiology. Bd. 21, Nr. 4, 1991, S. 293–297, ISSN 0301-0449. PMID 1870931.
  • K. Koslowski, F. A. Beemer, G. Bens et al.: Spondylometaphyseal dysplasia: report of 7 cases and assay of classification. In: C. J. Papadatos, C. S. Bartsocas (Herausgeber): Skeletal Dysplasias. New York, Alan R. Liss, 1982.
  • P. G. Piffaretti, H. Delgado, D. Nussle: La dysostose spondylo-metaphysaire de Kozlowski, Maroteaux et Spranger. In: Annales de radiologie. Bd. 13, Nr. 5, 1970, S. 405–417, ISSN 0003-4185. PMID 4987883.
  • H. J. Refior: Zur spondylo-metaphysären Dysostose (Typ Kozlowski-Maroteaux-Spranger). In: Archiv für orthopädische und Unfall-Chirurgie. Bd. 66, Nr. 4, 1969, S. 334–346, ISSN 0003-9330. PMID 4981286.

Einzelnachweise

  1. a b Bernfried Leiber (Begründer): Die klinischen Syndrome. Syndrome, Sequenzen und Symptomenkomplexe. Hrsg.: G. Burg, J. Kunze, D. Pongratz, P. G. Scheurlen, A. Schinzel, J. Spranger. 7., völlig neu bearb. Auflage. Band 2: Symptome. Urban & Schwarzenberg, München u. a. 1990, ISBN 3-541-01727-9.
  2. a b c Eintrag zu Dysplasie, spondylometaphysäre, Typ Kozlowski. In: Orphanet (Datenbank für seltene Krankheiten), abgerufen am 1. August 2024.
  3. Who named it
  4. K. Koslowski, P. Maroteaux, J. Spranger: La dysostose spondylométaphysaire. In: La presse médicale, Paris, 1967, Bd. 75, S. 2769–2774.
  5. Spondylometaphyseal dysplasia, Kozlowski type. In: Online Mendelian Inheritance in Man. (englisch)