Spermatogonium
Spermatogonien (Einzahl Spermatogonium oder Spermatogonie), auch Ursamenzellen, sind die Stammzellpopulation im Keimepithel des Hodens. Diese auf eine Entwicklung zu Samenzellen festgelegten gewebsspezifischen Stammzellen entstehen aus Urkeimzellen nach deren Wanderung in die Hodenanlage im Zuge einer ersten mitotischen Zellteilung bei der Spermatogenese. Sie finden sich im basalen Abschnitt des Keimepithels direkt an der Basalmembran und haben einen chromatinreichen rundlichen Zellkern. Im Gegensatz zu den Eizellen, die sich nicht mehr vermehren, können sich Spermatogonien vermehren und so immer neue Ausgangspopulationen für die Spermatogenese bilden.


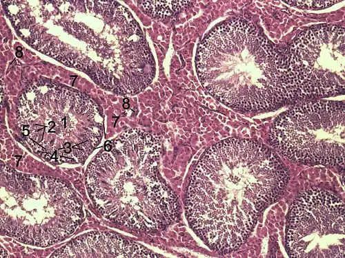
1) Lumen eines gewundenen Samenkanälchens
2) Spermatiden
3) Spermatozyten
4) Spermatogonien
5) Sertoli-Zellen
6) Myofibroblasten
7) Leydig-Zellen
8) Kapillaren
Forschung
Wissenschaftlern ist es gelungen, Spermatogonien aus den Hoden erwachsener Männer unter dem Einfluss eines Wachstumsfaktors und eines Hemmstoffes zu pluripotenten Zellen zu verjüngen, welche sich also in jeden beliebigen Zelltyp des Körpers verwandeln können. Durch Versuche konnte nachgewiesen werden, dass diese derart umprogrammierten Keimbahnstammzellen alle molekularbiologischen und funktionellen Anforderungen erfüllen, die auch an menschliche Embryonstammzellen (ES-Zellen) gestellt werden.[1] Diese Nachweise sind mittlerweile nicht unumstritten und die Autoren der Studie haben ihre Veröffentlichung zurückgezogen.[2]
Einzelnachweise
- ↑ Sabine Conrad et al.: Generation of pluripotent stem cells from adult human testis. In: Nature. Nr. 456, 20. November 2008, S. 344–349, doi:10.1038/nature07404.
- ↑ Sabine Conrad et al.: Retraction: Generation of pluripotent stem cells from adult human testis In: Nature. Nr. 512, 31. August 2014, doi:10.1038/nature13661.