Sjögren-Syndrom
| Klassifikation nach ICD-10 | |
|---|---|
| M35.0 | Sicca-Syndrom [Sjögren-Syndrom] |
| ICD-10 online (WHO-Version 2019) | |
| Klassifikation nach ICD-11 | |
|---|---|
| 4A43.2 | Sjögren-Syndrom |
| 4A43.20 | Primäres Sjögren-Syndrom |
| 4A43.21 | Sekundäres Sjögren-Syndrom |
| 4A43.22 | Sjögren-Syndrom mit Beginn im Kindesalter |
| 4A43.2Y | Sonstiges näher bezeichnetes Sjögren-Syndrom |
| 4A43.2Z | Sjögren-Syndrom, nicht näher bezeichnet |
| ICD-11: Englisch • Deutsch (Entwurf) | |

Das Sjögren-Syndrom [] (auch Dacryo-Sialo-Adenopathia atrophicans[1] genannt) ist eine chronisch verlaufende Autoimmunerkrankung[2] aus der Gruppe der entzündlich-rheumatischen Erkrankungen, speziell der Kollagenosen, bei der bestimmte Immunzellen exokrine Drüsen (besonders die Speicheldrüsen und Tränendrüsen) durch lymphozytäre Infiltration und übermäßige B-Zell-Aktivität angreifen und zu weiteren entzündlichen Veränderungen an inneren Organen und am zentralen Nervensystem führen können.[2] Das Sjögren-Syndrom manifestiert sich in morphologischen Veränderungen der Tränen- und Speicheldrüsen. Die Leitsymptome trockene Augen und Mundtrockenheit (Xerostomie) werden auch als Sicca-Syndrom bezeichnet. Es wird unterschieden zwischen dem primären Sjögren-Syndrom (pSS) und dem sekundären Sjögren-Syndrom (sSS), welches in Begleitung anderer Autoimmunerkrankungen bzw. Kollagenosen auftreten kann, wie Lupus erythematodes, rheumatoider Arthritis oder systemischer Sklerose. Das anfängliche Auftreten einer Sicca-Symptomatik spricht für ein pSS.[3]
Die Erkrankung ist nach dem schwedischen Augenarzt Henrik Sjögren benannt, der sie 1933 in seiner Doktorarbeit erstmals beschrieb.
Epidemiologie
Die Klassifikationskriterien sind unterschiedlich. Festzuhalten ist, die Erkrankung ist die zweithäufigste Kollagenose,[4] betrifft Frauen deutlich häufiger als Männer (10 : 1 bis 20 : 1) und tritt meist nach den Wechseljahren auf. Die Prävalenz des häufigeren sSS beträgt etwa 0,4 %.[5]
Assoziation
Das Sjögren-Syndrom kann als eigenständige Erkrankung oder öfter noch als Begleiterscheinung anderer rheumatischer Erkrankungen auftreten: Rheumatoide Arthritis, Lupus erythematodes, Primär sklerosierende Cholangitis, Morbus Bechterew, Raynaud-Syndrom.
Nicht selten ist das Sjögren-Syndrom mit einer Autoimmunthyreopathie vergesellschaftet, in 6 % der Fälle auch mit der Entwicklung eines malignen Lymphoms. Noch häufiger kann ein sogenanntes Pseudolymphom auftreten, das histologisch schwer von einem echten Lymphom unterschieden werden kann.
Symptome
Allgemeine Symptome
Als Symptome finden sich starke Müdigkeit, Konzentrationsschwäche, Abgeschlagenheit, Depression,[2] Gelenkentzündungen (Arthritis), zuweilen auch Haut-, Nasen- und Vaginaltrockenheit, entzündete Speicheldrüsen und ein Raynaud-Syndrom. Selten können andere Organe wie etwa Nieren, Blutgefäße, Lungen, Leber, Pankreas oder das Gehirn betroffen sein. Durch Exsudate kann es etwa auch zur Bildung von Pleuraergüssen[6] kommen. Weiterhin können die Schleimdrüsen von Rachen, Kehlkopf, Luftröhre und Bronchien betroffen sein.[7]
Augen
- Keratoconjunctivitis sicca (Sicca-Syndrom)[8][9]
Mund und Rachen
Mundtrockenheit (Xerostomie) wurde bei 94 bis zu 100 % der Sjögren-Patienten festgestellt.[10] 80 % berichten von Problemen im Rachenraum.[10] Späte Manifestationen sind Heiserkeit, Knotenbildung und Stimmbildungsstörungen.[10]
Die häufigsten Symptome der Mundschleimhaut bei primärem und sekundärem Sjögren-Syndrom sind:
- Mundwinkelentzündung (Cheilitis angularis)[11]
- Lippenentzündung (Cheilitis)[11]
- Verminderte Lippenfeuchtigkeit[11]
- Unspezifische Ulzerationen, Aphthen und aphtenähnliche Zustände[11]
Fatigue, Depression
Bei Personen mit primärem Sjögren-Syndrom liegt die Prävalenz einer abnormen Fatigue (Erschöpfung, Müdigkeit) bei 70 %. Diese führt zu einer massiven Verschlechterung der Lebensqualität.[10] In einer Studie zu Patienten mit primärem Sjögren-Syndrom in den USA zeigte sich, dass 37 % dieser Patienten an einer Depression litten.[10]
Myalgie, Fibromyalgie und Gelenkschmerzen
Gelenkschmerzen (Arthralgie), Morgensteifheit und Gelenkentzündungen (Arthritis) sind bei Sjögren-Patienten häufig anzutreffen. 40 bis 75 % der Sjögren-Patienten leiden unter Gelenkschmerzen ohne nachweisbare Gelenkentzündung.[10] Bei 33 % der Patienten mit primärem Sjögren-Syndrom wurden Myalgien und bei 47 bis 55 % der Patienten Fibromyalgie festgestellt.[10]
Hautbeteiligung
Ein Austrocknen von Haut- und Schleimhautoberflächen sowie spröde, brüchige Haare, Finger- und Fußnägel sind typische Symptome beim Sjögren-Syndrom. Die Hauttrockenheit geht häufig mit Juckreiz einher. Es kann zu einer Ekzembildung auf den Augenlidern kommen, ggfs. mit Fremdkörperwahrnehmung. Es kann zu verschiedenen Formen der Entzündung des Unterhautfettgewebes (Pannikulitis) kommen wie z. B. Erythema nodosum sowie zu Amyloidose. Das Risiko für eine Bildung von Lymphomen ist 6,5- bis 40-fach erhöht. Das Sjögren-Syndrom kann mit subakut kutanem Lupus erythematodes, einer seltenen Form des Lupus erythematodes assoziiert sein. Weiterhin sind im Zusammenhang mit Sjögren-Syndrom Hautveränderungen, die mit rheumatoider Arthritis oder systemischer Sklerose (Bindegewebsverhärtungen) assoziiert sind, möglich. Außerdem kann das Sjögren-Syndrom mit Vaskulitis (Entzündungen von Blutgefäßen durch autoimmunologische Prozesse) einhergehen.[10]
Nase, Nasennebenhöhlen und Ohren
Die meisten Studien, die die Prävalenz der Beteiligung der Nase bzw. der Schleimdrüsen der Nase beim Sjögren-Syndrom untersuchen, sind reine Beobachtungsstudien mit unterschiedlichen Ergebnissen. Die häufigsten beobachteten Symptome sind Nasentrockenheit, Krustenbildung, Verstopfung der Nase, verstärkte Geruchswahrnehmung und Nasenbluten.[10] Bekannt ist ein moderater Hörverlust bei hohen Frequenzen.[10]
Beteiligung des Nervensystems
Das Syndrom kann schwere Polyneuropathien auslösen. Patienten mit trockenem Mund, trockenen Augen und Durchblutungsstörungen werden meist von Rheumatologen behandelt, die das Syndrom kennen. Patienten mit schweren Lähmungen werden in neurologische Kliniken eingewiesen, wo das Sjögren-Syndrom eher unbekannt ist. Da meist ältere Menschen betroffen sind, sehen viele Ärzte die Erkrankung nur als Alterserscheinung.[10][12]
Non-Hodgkin-Lymphom
Eine mögliche Komplikation des Sjögren-Syndroms ist das Non-Hodgkin-Lymphom, eine bösartige (maligne) Erkrankung des lymphatischen Systems, welches häufig innerhalb der Speicheldrüsen auftritt.[2]
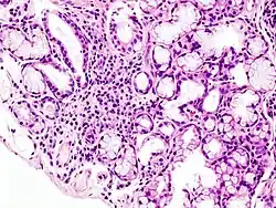
Diagnostik
.jpg)
Das Sjögren-Syndrom kann – wie auch andere Kollagenosen – im Blut zum Abfall verschiedener Zellreihen sowie zu hohen Antinukleären-Antikörper-Werten (ANA) oder Rheumafaktor führen. Durch die Entzündung kommt es zum Anstieg der Blutkörperchensenkungsgeschwindigkeit (BSG) und des C-reaktiven Proteins (CRP). Als unspezifisches Zeichen kann es auch zu Leukopenie, Anämie und Thrombozytopenie kommen.[13] Spezifisch sind aber ss-A- und ss-B-Autoantikörper bei bis zu 70 % der Patienten sowie manchmal Antikörper gegen Epithelzellen der Ausführungsgänge der Speicheldrüsen. Zur Diagnosesicherung kann eine Biopsie von der Lippeninnenseite entnommen werden. In dem Bioptat ist eine Drüsenentzündung mit Lymphozyteninfiltration zu sehen.
Regelmäßige augenärztliche Kontrollen sind ratsam. Zu erwähnen ist der Schirmer-Test, bei dem mit einem Löschpapier die Produktion der Tränenflüssigkeit im Auge geprüft wird. Bei Sjögren-Syndrom bleibt das Löschpapier trocken.
Therapie (Stand 2017)
Eine kausale Behandlung des Sjögren-Syndroms ist nicht bekannt, eine Standardtherapie ist nicht gesichert. Die Prognose ist, insbesondere beim sekundären Sjögren-Syndrom, meist gut.[14] Es werden Therapieansätze verwendet, die auch für andere Autoimmunerkrankungen Verwendung finden.[15] Es können die Symptome gelindert werden: Sorgfältige Mundhygiene, ausreichend Flüssigkeitszufuhr, Gabe von künstlichem Speichel, Lichtschutz der Augen, Augentropfen („künstliche Tränenflüssigkeit“), bei Notwendigkeit Zahnimplantate. Eine mögliche Mykose der Mundschleimhaut wird mit Antimykotika behandelt. Medikamentös werden je nach Manifestation eingesetzt: Kortikosteroide (etwa Prednisolon bei Nieren- oder Lungenbeteiligung sowie systemischer Vaskulitis), NSAID, Hydroxychloroquin, Mycophenolatmofetil MMF (Immunsuppressiva), Pirfenidon, Nintedanib, Antidepressiva, Rituximab, Plasmapherese. Von manchen Betroffenen wird zur Verstärkung des Speichelflusses das cholinerge Parasympathomimetikum Pilocarpin eingenommen. Seltene Komplikationen wie Lungen- oder Nierenentzündung können eine intensivmedizinische Behandlung erforderlich machen.[16]
Siehe auch
Literatur
- U. Pleyer: Entzündliche Augenerkrankungen. Springer-Verlag, 2014, ISBN 978-3-642-38419-6, S. 119 ff.
- Steven Carsons, Elaine K. Harris (Hrsg.): The New Sjogren’s Syndrome Handbook. Oxford University Press, New York/ Oxford 1998, ISBN 0-19-511724-7.
- Franz Hrska, Wolfgang Graninger, Michael Frass: Systemerkrankungen. In: Anästhesiologie Intensivmedizin Notfallmedizin Schmerztherapie. Band 38, Nr. 11, (November) 2003, S. 719–740, hier: S. 721 (Primäres Sjögren-Syndrom) und 734.
Weblinks
- www.sjoegren-erkrankung.de – Überblickstext zum Sjögren-Syndrom von Robert Fox (1995) in deutscher Übersetzung
- www.sjoegren-syndrom.de – Überblick zum Sjögren-Syndrom, Symptome, Krankheitsbild
Einzelnachweise
- ↑ Ludwig Heilmeyer, Wolfgang Müller: Sonderformen der chronischen Polyarthritis. In: Ludwig Heilmeyer (Hrsg.): Lehrbuch der Inneren Medizin. Springer-Verlag, Berlin/Göttingen/Heidelberg 1955; 2. Auflage ebenda 1961, S. 331–333, hier: S. 332.
- ↑ a b c d Klinik m. S. Rheumatologie und Klinische Immunologie: Sjögren-Syndrom, Berlin 2015.
- ↑ M. Ramos-Casals: Treatment of primary Sjögren syndrome: a systematic review. In: JAMA. Band 304, Nr. 4, 28. Juli 2010, S. 452–460. doi:10.1001/jama.2010.1014.
- ↑ Franz Hrska, Wolfgang Graninger, Michael Frass: Systemerkrankungen. In: Anästhesiologie Intensivmedizin Notfallmedizin Schmerztherapie. Band 38, Nr. 11, (November) 2003, S. 719–740, hier: S. 721 und 734.
- ↑ G. Westhoff: Epidemiology of primary Sjögren’s syndrome. In: Z Rheumatol. 69(1), Feb 2010, S. 41–49. doi:10.1007/s00393-009-0518-3.
- ↑ Berthold Jany, Tobias Welte: Pleuraerguss des Erwachsenen – Ursachen, Diagnostik und Therapie. In: Deutsches Ärzteblatt. Band 116, Nr. 21, (Mai) 2019, S. 377–385, hier: S. 379.
- ↑ Franz Hrska, Wolfgang Graninger, Michael Frass: Systemerkrankungen. In: Anästhesiologie Intensivmedizin Notfallmedizin Schmerztherapie. Band 38, Nr. 11, (November) 2003, S. 719–740, hier: S. 721.
- ↑ A. Jaksche: Das Trockene Auge. Universitäts-Augenklinik Bonn.
- ↑ Leitlinie Nr. 11: "Trockenes Auge" (Sicca-Syndrom) des Berufsverbandes der Augenärzte Deutschlands (BVA)
- ↑ a b c d e f g h i j k Manuel Ramos-Casals, John H. Stone, Haralampos M. Moutsopoulos (Hrsg.): Sjögren’s Syndrome. Diagnosis and Therapeutics. Springer, London 2012, ISBN 978-0-85729-946-8, doi:10.1007/978-0-85729-947-5.
- ↑ a b c d K. Błochowiak, A. Olewicz-Gawlik, A. Polańska, M. Nowak-Gabryel, J. Kocięcki, H. Witmanowski, J. Sokalski: Oral mucosal manifestations in primary and secondary Sjögren syndrome and dry mouth syndrome. In: Postepy dermatologii i alergologii. Band 33, Nr. 1, Februar 2016, S. 23–27, doi:10.5114/pdia.2016.57764, PMID 26985175, PMC 4793060 (freier Volltext).
- ↑ Tabea Seeliger, Nils K. Prenzler, Stefan Gingele, Benjamin Seeliger, Sonja Körner, Thea Thiele, Lena Bönig, Kurt-Wolfram Sühs, Torsten Witte, Martin Stangel, Thomas Skripuletz: Neuro-Sjögren: Peripheral Neuropathy With Limb Weakness in Sjögren's Syndrome. In: Front Immunol. 11. Juli 2019, doi:10.3389/fimmu.2019.01600, PMID 26985175, PMC 6637792 (freier Volltext).
- ↑ Franz Hrska, Wolfgang Graninger, Michael Frass: Systemerkrankungen. 2003, S. 721.
- ↑ Franz Hrska, Wolfgang Graninger, Michael Frass: Systemerkrankungen. 2003, S. 721.
- ↑ Ana-Luisa Stefanski: Diagnostik und Therapie des Sjögren-Syndroms, The diagnosis and treatment of Sjögren’s syndrome. In: Dtsch Arztebl Int. 114(20), 2017, S. 354–361. doi:10.3238/arztebl.2017.0354
- ↑ Franz Hrska, Wolfgang Graninger, Michael Frass: Systemerkrankungen. 2003, S. 721.