Sekundärkaries

Sekundärkaries ist ein Begriff aus der Zahnmedizin.
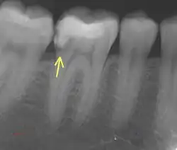
Er bezeichnet eine erneute Kariesbildung an einer bereits behandelten kariösen Stelle, beispielsweise an einem überstehenden, ungenügend dichten oder schadhaften Füllungs- oder Kronenrand.
Siehe auch: Prädilektionsstelle
Die Sekundärkaries ist vom Kariesrezidiv zu unterscheiden, dem eine ungenügend behandelte Karies zugrunde liegt.