Schultereckgelenksprengung links: Tiefstand der linken Schulter mit Hervortreten des Schlüsselbeinendes („Klaviertastenphänomen“).
Die Schultereckgelenksverrenkung (auch Schultereckgelenksprengung, AC-Gelenksprengung, ACG-Sprengung oder AC-Sprengung) ist eine durch traumatische äußere Einwirkungen (z. B. Sturz auf die Schulter) verursachte komplette oder inkomplette Sprengung des Schultereckgelenkes (Zusammentreffen von Schlüsselbein und Schultergräte bildet die Spitze bzw. das Dach der Schulter; ACG = Acromioclaviculargelenk).
Ätiologie
Durch eine unphysiologische Belastung des Schultereckgelenks durch Sturz auf den ausgestreckten Arm, durch Sturz auf die Schulter oder durch direkte Krafteinwirkung auf das Gelenk kommt es zu einer Luxation des Akromioklavikulargelenks. Hierbei kann es je nach Verletzungsausmaß zu einer Überdehnung und infolgedessen zu einer Ruptur der akromioclavikulären Bänder (Lig. acromioclaviculare) sowie der korakoklavikulären Bänder (Lig. trapezoideum, Lig. conoideum) kommen. Je nach Schweregrad kann es zu einer vertikalen und horizontalen Instabilität kommen.
Klinik
Es kann sich neben dem Unfallhergang entsprechenden Verletzungen der Haut (Abschürfungen, Hämatom) eine Vorwölbung im Bereich des Gelenks sowie ein Höherstand der Klavikula bereits bei Ruptur des Lig. acromioclaviculare präsentieren. Bei einer kompletten Ruptur (Tossy 3) und angedeutet auch bei größeren Teilrupturen kann bei der körperlichen Untersuchung das meist schmerzhafte „Klaviertastenphänomen“ ausgelöst werden: das nach oben abweichende äußere Ende des Schlüsselbeines kann vom Untersucher wie eine Klaviertaste nach unten gedrückt werden, federt aber beim Nachlassen des Druckes sofort wieder nach oben. Das Ausmaß des Klaviertastenphänomens ist ein indirekter Hinweis auf das Ausmaß der Bandverletzung.
Einteilung
Nach Jerome D. Tossy wird die ACG-Läsion je nach Verletzungsausmaß in drei Grade eingeteilt:
Tossy I = kleine Einrisse der Bandstrukturen (nur konservative Behandlung notwendig)
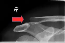
Schultergelenkssprengung Tossy II rechtsTossy II = größere Einrisse bis Teilrupturen der Bandstrukturen (operative Behandlung optional, aber selten)
Tossy III = Komplettruptur der gesamten schulterstabilisierenden Bandstrukturen (operative Behandlung kann bei jüngeren Patienten empfohlen werden, aber auch konservative Behandlung ist möglich).
Neuer und genauer ist die Einteilung nach Rockwood
Rockwood I: Zerrung bis partieller Einriss des Kapsel-/Bandapparates. Keine Schultereckgelenkinstabilität. Es zeigt sich ein leichter Druckschmerz sowie leichte Schmerzen bei Bewegung. Im Röntgen findet sich keine eindeutige Dislokation (entspricht Tossy I).
Rockwood II: Teilzerreißung des Kapsel-/Bandapparates (Ruptur der akromioklavikularen Bänder) mit Teilverrenkung des Schultereckgelenkes und einer Zerrung der korakoklavikulären Bänder. Es finden sich Schmerzen bei Bewegung und eine geringe Subluxation des peripheren Klavikula-Anteils. Im Röntgen zeigt sich ein erweiterter Gelenksspalt und ein Höhertreten der lateralen Klavikula um eine 1/2 Schaftbreite (entspricht Tossy II).
Rockwood III: Zerreißung des kompletten Kapsel-/Bandapparates (Ruptur der akromioklavikularen Bänder und der korakoklavikularen Bänder) mit vollständiger Verrenkung des Schultereckgelenkes in der Vertikalebene nach kopfwärts, sog. Schultereckgelenksprengung. In der klinischen Untersuchung findet sich eine Stufenbildung. Im Röntgen zeigt sich ein Höhertreten um eine Schaftbreite (entspricht Tossy III).
Rockwood IV: Das seitliche Schlüsselbeinende verrenkt sich in der Horizontalebene durch partielle Ablösung der Deltoidtrapezoidfaszie. Es findet sich ein Abriss der Deltoideusinsertion und eine damit einhergehende Dislokation nach dorsal durch und eventuell in den M. trapezius. Eine ventrale Dislokation durch Abriss des M. trapezius ist sehr selten und nicht in der Klassifikation berücksichtigt. Im Röntgen findet sich in der axialen Aufnahme eine dorsale Translation.
Rockwood V: Extremer Schlüsselbeinhochstand mit ausgedehnter Ablösung der Muskelansätze am seitlichen Schlüsselbeinende mit horizontaler und vertikaler Instabilität.
Rockwood VI: Verrenkung des seitlichen Schlüsselbeinendes fußwärts unter das Korakoid oder unter das Akromion. Als häufige Begleitverletzungen können Rippenfrakturen, Klavikulafrakturen sowie Läsionen des Plexus brachialis gefunden werden.
Diagnostik
Schultereckgelenksprengung Tossy 3 in der Panoramaaufnahme des Schultergürtels mit Belastung.
Zur Standarddiagnostik wird ein Röntgen in drei Ebenen durchgeführt. Die axiale Aufnahme dient dabei der Feststellung eines horizontalen Translation (Rockwood 4). In Zweifelsfällen werden Aufnahmen von beiden Schultern zum Vergleich angefertigt. Dies kann als eine Panoramaaufnahme des gesamten Schultergürtels erfolgen. Hierbei ist die Untersuchung mit Gewichten (5 bis 10 kg) an den Handgelenken sensitiver als Aufnahmen ohne. Diese Untersuchung spielt aufgrund der Strahlenbelastung zunehmend eine untergeordnete Rolle.
Therapie
Grundsätzlich ist bei Tossy I und II keine operative Therapie angezeigt, sondern die konservative Versorgung mittels Gilchristverband oder Desault-Verband für eine Woche zusammen mit Physiotherapie und Analgesie. Schultereckgelenksprengungen Rockwood IV-VI werden überwiegend operativ behandelt. Bei Begleitverletzungen oder wenn eine konventionelle Therapie nicht indiziert ist, stehen je nach Ausprägung der Verletzung mehrere Operationssysteme zur Verfügung:
Dieser Artikel behandelt ein Gesundheitsthema. Er dient weder der Selbstdiagnose noch wird dadurch eine Diagnose durch einen Arzt ersetzt. Bitte hierzu den Hinweis zu Gesundheitsthemen beachten!