Bennett-Fraktur

Klassifikation nach ICD-10
S62.2 Fraktur des 1. Mittelhandknochens
Bennett-Fraktur
{{{02-BEZEICHNUNG}}}
{{{03-BEZEICHNUNG}}}
{{{04-BEZEICHNUNG}}}
{{{05-BEZEICHNUNG}}}
{{{06-BEZEICHNUNG}}}
{{{07-BEZEICHNUNG}}}
{{{08-BEZEICHNUNG}}}
{{{09-BEZEICHNUNG}}}
{{{10-BEZEICHNUNG}}}
{{{11-BEZEICHNUNG}}}
{{{12-BEZEICHNUNG}}}
{{{13-BEZEICHNUNG}}}
{{{14-BEZEICHNUNG}}}
{{{15-BEZEICHNUNG}}}
{{{16-BEZEICHNUNG}}}
{{{17-BEZEICHNUNG}}}
{{{18-BEZEICHNUNG}}}
{{{19-BEZEICHNUNG}}}
{{{20-BEZEICHNUNG}}}
Vorlage:Infobox ICD/Wartung {{{21BEZEICHNUNG}}}
ICD-10 online (WHO-Version 2019)
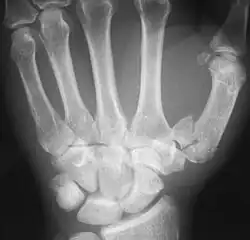
Bennett-Fraktur im Röntgenbild

Bei der Bennett-Fraktur (auch Bennett-Luxationsfraktur) handelt es sich um eine Fraktur an der Basis des ersten Mittelhandknochens, die bis in das Daumensattelgelenk zieht. Der Mittelhandknochen wird durch den Zug der hier ansetzenden Sehne des M. abductor pollicis longus nach proximal verschoben. Meist bleibt ein kleineres dreieckiges Fragment ulnar am Gelenk stehen.

Sie wurde erstmals von dem irischen Arzt und Professor des Trinity College Dublin Edward Hallaran Bennett (1837–1907)[1] bei einem Treffen der British Medical Association 1880 in Cork beschrieben.[2]

Unfallmechanismus

Die Fraktur entsteht meist bei einem Stauchungstrauma auf den adduzierten Daumen.

Therapie

Die Reposition wird mit Abduktion des Daumens durchgeführt. Je nach Repositionsergebnis erfolgt dann eine konservative Ruhigstellung (Gipsverband) oder eine operative Stabilisierung.

Differentialdiagnose

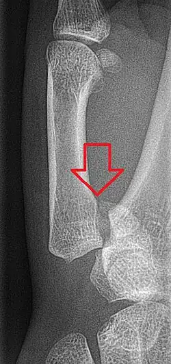
Rolando-Fraktur im Röntgenbild

Von der Bennett-Fraktur abzugrenzen sind Frakturen der Basis des ersten Mittelhandknochens, die nicht in das Gelenk ziehen (Winterstein-Fraktur). Eine Bennett-Fraktur mit einem Trümmerbruch wird als Rolando-Fraktur bezeichnet.

Literatur

  • Pschyrembel: Klinisches Wörterbuch. 257. Auflage. de Gruyter Berlin / New York, ISBN 3-11-012692-3
  • A. Greenspan: Skelettradiologie. deutsche Ausgabe. VCH Verlagsgesellschaft, Weinheim, ISBN 3-527-15404-3
Commons: Bennett-Fraktur – Sammlung von Bildern, Videos und Audiodateien
  • Ole Daniel Enersen: Bennett’s fracture (Memento vom 15. Mai 2025 im Internet Archive) bei whonamedit.com

Einzelnachweise

  1. Ole Daniel Enersen: Edward Hallaran Bennett (Memento vom 7. November 2024 im Internet Archive) bei whonamedit.com
  2. Barry G. Firkin, Judith Whitworth: Dictionary of Medical Eponyms. Parthenon Publishing Group Limited, 1996, Seite 30, ISBN 1-85070-477-5