Pulmonalklappeninsuffizienz

| Klassifikation nach ICD-10 | |
|---|---|
| I37.1 | Pulmonalklappeninsuffizienz |
| I09.8[1] | Sonstige näher bezeichnete rheumatische Herzkrankheiten |
| I39.2* | Pulmonalklappenkrankheiten bei anderenorts klassifizierten Krankheiten, z. B. Lues, Tbc |
| Q22.2 | Angeborene Pulmonalklappeninsuffizienz |
| ICD-10 online (WHO-Version 2019) | |
Die Pulmonalklappeninsuffizienz, kürzer auch Pulmonalinsuffizienz genannt, ist ein ungenügender Verschluss[2] der Pulmonalklappe (dreizipflige[3][4] Semilunarklappe, Valva trunci pulmonalis),[5] also der Herzklappe in der Austreibungsbahn der rechten Herzkammer . Als Insuffizienz bezeichnet man in der Medizin eine Organschwäche. Durch die Pulmonalklappeninsuffizienz strömt während der Diastole sauerstoffarmes Blut (Rückstromvolumen, Regurgitationsvolumen,[6] Pendelvolumen, Rückfluss, Pendelblut, Insuffizienzjet) aus der Lungenschlagader (Truncus pulmonalis) in den rechten Ventrikel zurück.[7]
Die Kurzform Pulmonalinsuffizienz sollte vermieden werden, um sie nicht mit der Lungeninsuffizienz zu verwechseln. Ebenso sollte die Kurzform Pulmonalisinsuffizienz vermieden werden, weil das Wort pulmonalis mehrdeutig ist; es bezeichnet nicht nur eine der vier Herzklappen, sondern auch die Arteria pulmonalis und die Vena pulmonalis sowie zusätzlich als Adjektiv alle zur Lunge gehörenden Dinge.[8][9] Auch die kardiologische Abkürzung PI ist mehrdeutig.[10]
Eine geringgradige Pulmonalklappeninsuffizienz ohne klinische Anzeichen einer Herzerkrankung ist häufig und nicht als krankhafter Befund zu werten. Sie wird hier daher auch als „physiologische“ Pulmonalklappeninsuffizienz bezeichnet.
Ursachen
Die Schlussunfähigkeit der Pulmonalklappe ist in der weitaus größten Mehrzahl der Fälle eine sekundäre Folge einer arteriellen Hypertonie im Lungenkreislauf.[11] Einen solchen Bluthochdruck im kleinen Kreislauf nennt man pulmonale Hypertonie. Dadurch kann es durch Überdehnung des Pulmonalklappenrings zur relativen Herzklappeninsuffizienz kommen. Der Rückstrom des Blutes führt dann zu einer erheblich gesteigerten Volumenbelastung der rechten Herzkammer.[12] Man spricht hier auch von einer relativen Pulmonalklappeninsuffizienz,[13] zum Beispiel in Kombination mit einer schweren Mitralklappenstenose.[14]
Eine höhergradige Pulmonalklappeninsuffizienz ist dagegen oftmals die Folge einer Endokarditis oder einer Thoraxverletzung. Auch kann eine Mitralklappeninsuffizienz zu einer Pulmonalisinsuffizienz führen.[15]
Seltener als die sekundäre Form ist die idiopathische Pulmonalklappeninsuffizienz ohne bekannte Ursache. Bekannte Ursachen sind dagegen das Karzinoidsyndrom, das Marfan-Syndrom oder auch die Fallotsche Tetralogie. Außerdem kann es im Verlauf einer rheumatischen Endokarditis zu einer sogenannten Mehrklappenerkrankung kommen.[16] Nach Ansicht von Hanns Gotthard Lasch hinterlässt eine rheumatische Valvulits (Herzklappenentzündung) dagegen so gut wie nie hämodynamisch wirksame Schädigungen der Pulmonalklappe.[17]
Über eine weitere Ursache einer erworbenen Herzklappenregurgitation im Sinne einer Herzklappeninsuffizienz informiert ein Rote-Hand-Brief über unerwünschte Arzneimittelnebenwirkungen von systemisch oder inhalativ angewendeten Fluorchinolonen vom 29. Oktober 2020.[18][19]
Pathophysiologie
Das charakteristische pathophysiologische Merkmal einer Pulmonalklappeninsuffizienz ist der retrograde Blutfluss aus der Lungenarterie in die rechte Herzkammer während der Diastole. Wenn der diastolische Pulmonalarteriendruck nicht deutlich erhöht ist, dann ist die für die Regurgitation verantwortlich Kraft zwischen der Arteria pulmonalis und dem rechten Ventrikel klein und der regurgierende Anteil des Brutto-Schlagvolumens (das ist das Produkt aus dem enddiastolischen Kammervolumen und der Differenz zwischen der Brutto- und der Netto-Ejektionsfraktion) bleibt relativ klein.[20] Bei konstanter Herzfrequenz ist für die Herzarbeit, für die Herzleistung und für das Herzzeitvolumen nur das Nettoschlagvolumen maßgeblich, also das Bruttoschlagvolumen abzüglich des Pendelvolumens.
Jede Regurgitation verkleinert das effektive Schlagvolumen nicht nur der betroffenen Herzhöhle, sondern immer gleichmäßig in allen vier Herzhöhlen. Dadurch verkleinert sich das Herzzeitvolumen mit der unmittelbaren Folge einer zunehmenden globalen Herzinsuffizienz. Im kleinen Kreislauf verkleinern sich das Lungenzeitvolumen und das damit identische Herzzeitvolumen. „Eine reduzierte Auswurfleistung mit erhöhtem Ventrikelfüllungsdruck und gesteigertem systemischem Gefäßwiderstand ist eines der pathophysiologischen Hauptmerkmale der Herzinsuffizienz.“[21] Dabei errechnet sich das Herzzeitvolumen als Quotient aus dem erhöhten mittleren Lungenblutdruck und dem pulmonalen Gefäßwiderstand.
Die rechte Herzkammer hypertrophiert infolge der Mehrarbeit (Vorlast, Preload) durch das Pendelblut mit Ausbildung einer rechtsventrikulären dilatativen Kardiomyopathie. Zunehmend kommt es zum chronischen Cor pulmonale mit entsprechender Symptomatik.
Schweregradeinteilung
Üblich ist die Einteilung der Pulmonalklappeninsuffizienz in vier Schweregrade (Stadium I° bis IV°) in Abhängigkeit von der Blutdruckamplitude (= Pulsdruck = Pulsamplitude) bei der Rechtsherzkatheterisierung, vom Lagetyp im Elektrokardiogramm (EKG), von der Ventrikelkonfiguration im Röntgen-Thorax, von der Ventrikelgröße bei der Echokardiographie, vom Insuffizienzjet bei der Farbdoppler-Untersuchung und vom Blutrückstromvolumen bei der Herzkatheteruntersuchung. Bei dieser Einteilung wird eine Proportionalität zwischen den pathologischen Befunden und der Belastungseinschränkung unterstellt. Ein weiteres Maß für die Schwere der Insuffizienz ist die Klappenöffnungsfläche (abgekürzt KÖF).
Analog wird die immer resultierende Herzinsuffizienz nach der New York Heart Association (NYHA) in vier Stadien, Stufen oder Klassen eingeteilt: Luftnot (Dyspnoe) bei großer (NYHA I), mittlerer (NYHA II), kleiner (NYHA III) beziehungsweise fehlender (NYHA IV) Belastung. Keine Herzklappe ist völlig ohne Undichtigkeit. Limitierender Faktor für die körperliche Leistungsfähigkeit des Patienten ist das Schlagvolumen derjenigen Herzhöhle mit der am meisten geschädigten Klappe.
Bei jedem Herzschlag müssen die Schlagvolumina aller vier Herzhöhlen identisch sein.
Symptomatik
Die primäre Pulmonalinsuffizienz ist häufig asymptomatisch. Bei der sekundären Pulmonalklappeninsuffizienz steht die Symptomatik einer Rechtsherzinsuffizienz im Vordergrund. Dazu zählen eine Belastungsdyspnoe, eine Zyanose, periphere Ödeme und eine Leistungsminderung.[22] Denn Ursache der pulmonalen Hypertonie ist fast immer eine Lungenkrankheit mit entsprechenden Symptomen. Atriale oder ventrikuläre Herzrhythmusstörungen weisen auf eine Dilatation oder allgemein auf eine Dysfunktion des rechten Vorhofs beziehungsweise der rechten Herzkammer hin.[23]
Diagnostik
Bei der körperlichen Untersuchung findet man eine obere Einflussstauung (wegen der gestauten Jugularvenen), periphere Ödeme und eine Hepatomegalie. Bei der Auskultation (auch bei der Phonokardiographie[24]) tritt ein weit gespaltener zweiter Herzton auf. Beschrieben wird auch ein (protodiastolisches oder mesodiastolisches)[25] Diastolikum im 2. oder 3. linken parasternalen Interkostalraum.[26][27]
Das Pulmonalklappeninsuffizienzgeräusch setzt nicht unmittelbar nach der Aortenkomponente des zweiten Herztones ein; es kommt also nach A2 eine kleine Pause, was ein weiteres wichtiges differenzialdiagnostisches Kennzeichen gegenüber dem diastolischen Geräusch bei der Aortenklappeninsuffizienz darstellt. Eine Pulmonalklappeninsuffizienz kann nur bei gestautem kleinen Kreislauf vorkommen. Es finden sich also immer gleichzeitig ein lauter zweiter Pulmonalton und eine erweiterte Pulmonalarterie.[28] Manchmal kann ein Graham-Steell-Geräusch[29][30] auftreten. Bei fortgeschrittener Rechtsherzinsuffizienz kann gegebenenfalls auch ein Aszites vorliegen.
Im Elektrokardiogramm (EKG) sieht man eine Rechtsachsenabweichung (Rechtstyp im Cabrerakreis) mit Rechtsherzhypertrophiezeichen[31] und eventuell einen inkompletten Rechtsschenkelblock.[32] Ein P dextroatriale kann ebenso vorhanden sein wie eine rechtsverspätete Erregungsausbreitung.
Ein Langzeit-EKG, eine Spiroergometrie und ein Belastungs-EKG sowie eine Labordiagnostik mit Bestimmung von Biomarkern der Herzinsuffizienz werden zusätzlich empfohlen.[33]
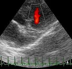
Die Geschwindigkeit des zurückfließenden Blutes ist abhängig vom Druckunterschied zwischen Lungenschlagader und rechter Herzkammer. Sie wird echokardiographisch gemessen und kann anhand der Bernoulli-Gleichung zur Abschätzung des Drucks in der Lungenschlagader verwandt werden.[34]
Im Röntgenbild des Thorax oder im Kardio-MRT (Kernspintomographie) sieht man einen vergrößerten rechten Ventrikel und dilatierte Pulmonalarterien. Mit Hilfe der Farbdopplerechokardiographie und auch der Computer-Tomographie kann das Ausmaß der Insuffizienz beurteilt werden.[35] Die Diagnose wird nach einer Herzkatheterisierung und nach einer Angiokardiographie gestellt.[36]
Häufigkeit
„Die Pulmonalklappe erkrankt unter allen Klappen des Herzens am seltensten, nach den vorliegenden Statistiken in 1,9 % (Pabst) aller Klappenfehler.“[37] Dabei ist eine Pulmonalklappenstenose (Pulmonalstenose[38]) seltener als die Pulmonalklappeninsuffizienz; bei Erwachsenen ist die Pulmonalinsuffizienz das häufigste Pulmonalklappenvitium.[39] Die primäre (kongenitale) Form der Pulmonalklappeninsuffizenz ist seltener als die sekundäre (erworbene) Form. Die erworbene Pulmonalklappeninsuffizenz ist geringgradig häufiger als die Pulmonalklappenstenose.[40]
Zu den sekundären Formen führen eine Endokarditis, die Lues, operative Korrekturen einer Pulmonalklappenstenose oder eine Überdehnung des Klappenrings durch die pulmonale Hypertonie im Sinne einer funktionellen Pulmonalklappeninsuffizienz.[41] Insgesamt gilt die Pulmonalklappeninsuffizienz als sehr selten; bei einer Endokarditis tritt sie regelmäßig zusammen mit anderen Klappenfehlern auf.[42]
Die Pulmonalklappeninsuffizienz infolge einer angeborenen fehlerhaften Anlage des Klappenapparates ist ein extrem seltenes Krankheitsbild. In diesen Fällen hat die Segelklappe meistens nur zwei (Fachausdruck: Bikuspidalität) statt drei Klappensegel.[43] In Einzelfallbeschreibungen wird die Pulmonalklappe als gar nicht ausgebildet beschrieben (Agenesie, Aplasie).[44] Das nennt man Absent-pulmonary-valve-Syndrom.[45] Eine kongenitale Pulmonalklappenatresie (Pulmonalatresie) kommt nur zusammen mit anderen Vitien vor.[46]
Therapie
Die Therapie der sekundären Pulmonalinsuffizienz besteht in der Behandlung der Grunderkrankung. Die Dehiszenz des Klappenrings bildet sich nach erfolgreicher Behandlung der pulmonalen Hypertonie zurück.[47] Zur medikamentösen Therapie der pulmonalen Hypertonie stehen zahlreiche Wirkstoffe zur Verfügung. Bei einer primären Pulmonalklappeninsuffizienz kann zugewartet werden, solange sie klinisch asymptomatisch bleibt. In schweren Fällen kann ein Herzklappenersatz erwogen werden.[48]
Die perkutane Pulmonalklappenimplantation (englisch: transcatheter pulmonary valve implantation, TPVI) hat sich (analog zur TAVI bei Aortenklappenfehlern) an spezialisierten Zentren zu einer Therapieergänzung in der Behandlung von Patienten mit angeborenen Herzfehlern (AHF) entwickelt. Diese minimal-invasive transdermale katheterbasierte Therapiealternative zum offen-chirurgischen Pulmonalklappenersatz soll dazu beitragen, bei geeigneten Patienten mit AHF die Anzahl der notwendigen Herzoperationen bezogen auf das Patientenleben zu verringern.[49]
Prognose
Ohne Behandlung ist bei der angeborenen isolierten Pulmonalklappeninsuffizienz wegen der geringen Druckdifferenz und der deswegen geringen Volumenmehrbelastung der rechte Ventrikel über viele Jahre in der Lage, bei körperlicher Schonung[50] trotz des Pendelbluts ein noch ausreichendes Herzzeitvolumen zu gewährleisten. Trotzdem sind ohne Behandlung die körperliche Leistungsfähigkeit und die mittlere Lebenserwartung der betroffenen Patienten erheblich eingeschränkt.[51]
Heute erreichen mehr als 95 % der Kinder mit angeborenen Herzfehlern das Erwachsenenalter. Eine Pulmonalklappeninsuffizienz kann dabei ein führender Residualdefekt mit erheblichen Auswirkungen auf die Langzeitprognose sein. Daher ist es essenziell, eine Pulmonalklappeninsuffizienz zu diagnostizieren, ihren Schweregrad zu beurteilen und über die unterschiedlichen Therapieverfahren informiert zu sein.[52]
Siehe auch
Literatur
- Handbuch der inneren Medizin, 4. Auflage, Springer-Verlag, Berlin / Göttingen / Heidelberg 1960, 9. Band: Herz und Kreislauf, 6 Teile, 7707 Seiten.
- Handbuch der inneren Medizin, 5. Auflage, Springer-Verlag, Berlin / Heidelberg / New York / Tokio 1982–1992, 9. Band: Herz und Kreislauf, 6 Teile.
- Ulrike Blum, Hans Meyer, Philipp Beerbaum, Matthias Peuster: Kompendium angeborene Herzfehler bei Kindern, 2. Auflage, Springer-Verlag, Berlin 2021, ISBN 978-3-662-61288-0, VIII, 452 Seiten.
Einzelnachweise
- ↑ Alphabetisches Verzeichnis zur ICD-10-WHO Version 2019, Band 3. Deutsches Institut für Medizinische Dokumentation und Information (DIMDI), Köln 2019, S. 732.
- ↑ Nicole Schaenzler, Gabi Hoffbauer: Wörterbuch der Medizin. Südwest-Verlag, München 2001, ISBN 978-3-517-06318-8, S. 375 f.
- ↑ Josef Hammerschmid-Gollwitzer: Wörterbuch der medizinischen Fachausdrücke. Rheingauer Verlagsgesellschaft, Eltville 1983, ISBN 3-88102-061-6, S. 384.
- ↑ Dreizipflig heißt im Lateinischen tricuspis (dreizackig). Deswegen heißt die Trikuspidalklappe so. Cuspis ist der Zipfel. Die Pulmonalklappe ist aber auch dreizipflig. Die sehr seltene angeborene Zweizipfligkeit der Pulmonalklappe heißt Bikuspidalität. Die ebenfalls zweizipflige Mitralklappe wird nach der zweizipfligen Bischofsmütze (Mitra) benannt, heißt aber auch noch Bikuspidalklappe. Die drei anderen Herzklappen sind dreizipflig.
- ↑ Dagobert Tutsch (Hrsg.): Lexikon der Medizin. Verlag Urban & Schwarzenberg, München / Berlin / Wien 1975, ISBN 3-541-07081-1, S. 386.
- ↑ Deswegen spricht man im Englischen von der pulmonic regurgitation statt von einer pulmonary valve insufficiency. Quelle: The Merck Manual, 20. Auflage, Merck Sharp & Dohme, Kenilworth, New Jersey 2018, ISBN 978-0-911910-42-1, S. 778 f.
- ↑ Pschyrembel: Klinisches Wörterbuch. 268. Auflage. De Gruyter, Berlin / Boston 2020, ISBN 978-3-11-068325-7, S. 1463.
- ↑ Fachwörterbuch der Medizin. Verlag Manfred Pawlak, Herrsching 1984, ISBN 3-88199-163-8, S. 386.
- ↑ Ludwig August Kraus: Kritisch-etymologisches medicinisches Lexikon, 3. Auflage, Verlag der Deuerlich- und Dieterichschen Buchhandlung, Göttingen 1833, S. 815 (pulmonalis) und S. 866 (pulmonaris beziehungsweise pulmonarius).
- ↑ Myron G. Sulyma: Herz / Kreislauf – Lexikon der Abkürzungen. Band 2 (M–Z), Medikon Verlag, München 1986, ISBN 3-923866-14-3, S. 340 f.: Penetrationsindex, Prognoseindex, Protektionsindex, Pulsatilitätsindex. Außerdem Plaqueindex nach der Liste Medizinische Abkürzungen.
- ↑ Franz Grosse-Brockhoff, Franz Loogen, Adalbert Schaede: Angeborene Herz- und Gefäßmißbildungen. In: Handbuch der inneren Medizin. 4. Auflage, 9. Band, 3. Teil. Springer-Verlag, Berlin / Göttingen / Heidelberg 1960, S. 563.
- ↑ Herbert Reindell, Karl Musshoff, Helmut Klepzig: Größen- und Formänderung des Herzens. In: Handbuch der inneren Medizin. 4. Auflage, 9. Band, 1. Teil, Springer-Verlag, Berlin / Göttingen / Heidelberg 1960, S. 887–891.
- ↑ Peter Reuter: Springer Klinisches Wörterbuch 2007/2008. Springer Medizin Verlag, Heidelberg 2007, ISBN 978-3-540-34601-2, S. 1536.
- ↑ Hexal Taschenlexikon Medizin. 2. Auflage, Verlag Urban & Fischer, München / Jena 2000, ISBN 978-3-437-15010-4, S. 637.
- ↑ Das MSD Manual. 6. Auflage, Verlag Urban & Fischer, München / Jena 2000, ISBN 3-437-21750-X, ISBN 3-437-21760-7, S. 2133.
- ↑ Walter Bleifeld, Christian Wilhelm Hamm, Detlev Mathey: Herz und Kreislauf. Springer-Verlag, Berlin / Heidelberg / New York / London / Paris / Tokio 1987, ISBN 3-540-17931-3, S. 174.
- ↑ Hanns Gotthard Lasch: Herz und Kreislauf, in: Karl Vossschulte, Hanns Gotthard Lasch, Fritz Heinrich (Hrsg.): Innere Medizin und Chirurgie. 2. Auflage, Georg Thieme Verlag, Stuttgart / New York 1981, ISBN 3-13-562602-4, S. 58.
- ↑ Rote-Hand-Brief („wichtige Mitteilung über ein Arzneimittel“) vom 29. Oktober 2020 von 39 pharmazeutischen Unternehmen.
- ↑ Deutsches Ärzteblatt, 117. Jahrgang, Nummer 46/2020, 13. November 2020, S. A 2246.
- ↑ K. L. Peterson, J. Ross junior: Erworbene Herzklappenfehler. In: Gerhard Brüschke (Hrsg.): Handbuch der Inneren Erkrankungen. Gustav Fischer Verlag, Stuttgart / New York 1986, Band 1, Teil 2, ISBN 3-437-10968-5, S. 311 f.
- ↑ Robert H. G. Schwinger, Hannes Reuter: Katecholamine. In: Erland Erdmann (Hrsg.): Herzinsuffizienz. 4. Auflage, Wissenschaftliche Verlagsgesellschaft, Stuttgart 2005, ISBN 3-8047-2196-6, S. 185.
- ↑ DocCheck Flexikon, Stichwort: Pulmonalinsuffizienz.
- ↑ Gerhard-Paul Diller, Konstantinos Dimopoulos, Darlington Okonko et al.: Exercise intolerance in adult congenital heart disease: comparative severity, correlates, and prognostic implication. In: Circulation 2005; Volume 112, Nummer 6/2005: S. 828–835. doi:10.1161/circulationaha.104.529800.
- ↑ Klaus Holldack: Lehrbuch der Auskultation und Perkussion. 7. Auflage, Georg Thieme Verlag, Stuttgart 1970, ISBN 3-13-352407-0.
- ↑ Klaus-Dieter Grosser: Kardiologische Erkrankungen. In: Praxis der Allgemeinmedizin. Band 11. Verlag Urban & Schwarzenberg, München / Wien / Baltimore 1985, ISBN 3-541-10861-4, S. 182.
- ↑ Lexikon Medizin. 4. Auflage, Verlag Naumann & Göbel, Köln [2005], ISBN 3-625-10768-6, S. 1391.
- ↑ Roche Lexikon Medizin. 5. Auflage, Verlag Urban & Fischer, München / Jena 2003, ISBN 3-437-15156-8, S. 1536.
- ↑ Hans Peter Krayenbühl: Dyspnoe infolge Erkrankungen des Herzens. In: Walter Siegenthaler (Hrsg.): Differentialdiagnose innerer Krankheiten. 15. Auflage, Georg Thieme Verlag, Stuttgart / New York 1984, ISBN 3-13-344815-3, Kapitel 10.39.
- ↑ Gerd Herold: Innere Medizin 2020. Selbstverlag, Köln 2020, ISBN 978-3-9814660-9-6, S. 166.
- ↑ Tinsley Randolph Harrison: Principles of Internal Medicine. 3. Auflage, McGraw-Hill, New York / Toronto / London 1958, S. 1258.
- ↑ Maxim Zetkin, Herbert Schaldach: Lexikon der Medizin. 16. Auflage, Ullstein Medical Verlag, Wiesbaden 1999, ISBN 3-86126-126-X, S. 1655.
- ↑ Myron G. Sulyma: Wörterbuch der Kardiologie. Medikon-Verlag, Band 3 (L–Q), München 1984, ISBN 3-923866-07-0, S. 589.
- ↑ Deutsche Gesellschaft für pädiatrische Kardiologie: Leitlinie Pädiatrische Kardiologie: Pulmonalinsuffizienz.
- ↑ Klaus Holldack, Klaus Gahl: Auskultation und Perkussion. Inspektion und Palpation. 10. Auflage, Georg Thieme Verlag, Stuttgart 1986, ISBN 3-13-352410-0, S. 176 f.
- ↑ Tinsley Randolph Harrison: Harrisons Innere Medizin. 19. Auflage, 2. Band, Georg Thieme Verlag, Stuttgart / New York 2016, ISBN 978-3-88624-560-4, S. 1887 f.
- ↑ Myron G. Sulyma: Wörterbuch der Kardiologie. Medikon-Verlag, München 1984, Band 3 (L–Q), ISBN 3-923866-07-0, S. 589.
- ↑ Fritz Lange: Lehrbuch der Krankheiten des Herzens und der Blutstrombahn, Ferdinand Enke Verlag, Stuttgart 1953, S. 173.
- ↑ Georg A. Narciß: Knaurs Wörterbuch der Medizin, München 1988, ISBN 3-426-26361-0, S. 437.
- ↑ Klaus-Dieter Scheppokat: Herzklappenerkrankungen, in: Walter Siegenthaler, Werner Kaufmann, Hans Hornbostel, Hans Dierck Waller (Hrsg.): Lehrbuch der inneren Medizin, 3. Auflage, Georg Thieme Verlag, Stuttgart / New York 1992, ISBN 978-3-13-624303-9, S. 98.
- ↑ Hanns Gotthard Lasch: Herz und Kreislauf, in: Karl Vossschulte, Hanns Gotthard Lasch, Fritz Heinrich (Hrsg.): Innere Medizin und Chirurgie, 2. Auflage, Georg Thieme Verlag, Stuttgart / New York 1981, ISBN 3-13-562602-4, S. 58.
- ↑ Günter Thiele (Hrsg.): Handlexikon der Medizin, Band III (L–R), Urban & Schwarzenberg, München / Wien / Baltimore ohne Jahr [1980], S. 2003.
- ↑ Wilhelm Nonnenbruch, Hermann Straub, Gustav von Bergmann, Rudolf Staehelin et al.: Lehrbuch der Inneren Medizin. Verlag von Julius Springer, Berlin 1939, 4. Auflage, 1. Band, S. 407.
- ↑ Frank Henry Netter: Farbatlanten der Medizin, Band 1: Herz, Georg Thieme Verlag, Stuttgart 1976, ISBN 3-13-524001-0, S. 152.
- ↑ L. A. Campeau, P. E. Ruble, W. B. Cooksey: Congenital absence of the pulmonary valve, Circulation, 15. Jahrgang, 1957, S. 397.
- ↑ Walter Bleifeld, Christian Wilhelm Hamm, Detlev Mathey: Herz und Kreislauf, Springer-Verlag, Berlin / Heidelberg / New York / London / Paris / Tokio 1987, ISBN 3-540-17931-3, S. 174.
- ↑ Gotthard Schettler (Hrsg.): Innere Medizin. 2 Bände. 4. Auflage, Georg Thieme Verlag, Stuttgart 1976, Band 1, ISBN 3-13-444304-X, S. 104.
- ↑ Rudolf Gross, Paul Schölmerich: 1000 Merksätze Innere Medizin, 2. Auflage, Schattauer Verlag, Stuttgart / New York 1978, ISBN 3-7945-0511-5, S. 56, Merksatz 276.
- ↑ https://leitlinien.dgk.org/files/2006_Leitlinie_Klappenvitien.pdf.
- ↑ Deutsche Gesellschaft für Kardiologie, Pressemitteilung zum Kongress der European Society of Cardiology (ESC 2014) vom 30. August 2014.
- ↑ Fritz Lange: Lehrbuch der Krankheiten des Herzens und der Blutstrombahn, Ferdinand Enke Verlag, Stuttgart 1953, S. 176.
- ↑ Franz Grosse-Brockhoff, Franz Loogen, Adalbert Schaede: Angeborene Herz- und Gefäßmißbildungen, in: Handbuch der inneren Medizin, 4. Auflage, 9. Band, 3. Teil, Springer-Verlag, Berlin / Göttingen / Heidelberg 1960, S. 567.
- ↑ Peter Ewert, Andreas Eicken: Pulmonalklappeninsuffizienz bei Erwachsenen mit angeborenen Herzfehlern – interventionelle Therapie, in: Kardiologie up2date 2020; 16(01): 43–54; doi: 10.1055/a-0674-8350.