Promyelozyt

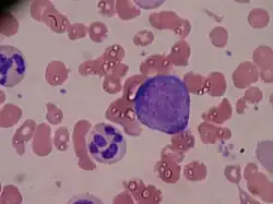
Promyelozyt (Mitte, leicht rechts) in einem Knochenmarksausstrich

Der Promyelozyt ist eine Vorläuferzelle der Granulozytopoese, also bei der Entstehung der zu den weißen Blutkörperchen gehörenden Granulozyten. Der runde bis eiförmige Promyelozyt ist 15 bis 25 µm groß und damit die größte Zelle der Granulozytopoese und nach dem Megakaryozyten die zweitgrößte Zelle im Knochenmark. Er entsteht aus dem Myeloblasten und hat eine geringere Kern-Plasma-Relation als sein Vorläufer.[1] Das Cytoplasma ist etwas stärker basophil als beim Myeloblast und enthält azurophile Granula, die vor allem in der Golgi-Zone am Zellkern zu finden sind und funktionell Lysosomen darstellen.[2] Der ovale Zellkern zeigt eine einseitige Eindellung, eine feine Netzzeichnung und deutliche Kernkörperchen.[1] Promyelozyten machen etwa 3 % der Zellen im Knochenmark aus. Sie differenzieren sich weiter zu den Myelozyten.[3]

Literatur

  1. a b Barbara J. Bain und Dieter Huhn: Roche Grundkurs hämatologische Morphologie. Georg Thieme, Stuttgart 2007, ISBN 978-3-89412-299-7, S. 96–97.
  2. Renate Lüllmann-Rauch und Friedrich Paulsen: Taschenlehrbuch Histologie. 4. Auflage. Georg Thieme, Stuttgart 2012, ISBN 978-3-13-151664-0, S. 302–.
  3. Axel M. Gressner und Torsten Arndt: Lexikon der Medizinischen Laboratoriumsdiagnostik. 2. Auflage. Springer, Berlin 2013, ISBN 978-3-642-12921-6, S. 1117.