Posteriores reversibles Enzephalopathie-Syndrom
| Klassifikation nach ICD-10 | |
|---|---|
| G93.4 | Enzephalopathie, nicht näher bezeichnet |
| ICD-10 online (WHO-Version 2019) | |

Das Posteriore Reversible Encephalopathie-Syndrom (PRES) ist eine seltene neurologische Erkrankung, die mit einem Ödem besonders im Hinterhauptslappen des Gehirns einhergeht. Dadurch kommt es zu Kopfschmerzen, Sehstörungen, epileptischen Anfällen und Verwirrtheit. Die Ursachen sind bislang nicht ausreichend erforscht.
Verlauf
Im Verlauf mehrerer Stunden bis zu etwa 2 Tagen entwickeln die Betroffenen eine allgemeine Funktionsstörung des Gehirns (Enzephalopathie), die von leichter Verwirrtheit bis hin zu schweren Bewusstseinsstörungen reichen kann. Bis zu 75 % erleiden wenigstens einen epileptischen Anfall, welcher oft als gravierendes Symptom zur Vorstellung im Krankenhaus führt. Weiterhin kommt es meist zu Sehstörungen, die jedoch aufgrund des schleichenden Beginns nicht immer gleich erkannt werden. Unter Kopfschmerzen leiden nur etwa die Hälfte der Betroffenen.[1]
Diagnostik
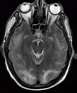
Die eingangs meist durchgeführte Computertomografie bleibt in mindestens der Hälfte der Erkrankten ohne richtungsweisenden Befund. In der Kernspintomografie des Kopfes lässt sich das meist ausgeprägte Ödem (vor allem in der FLAIR- oder T2-Wichtung) gut darstellen. Seltener tritt das Hirnödem betont in den seitlichen oder vorderen Hirnteilen oder im Hirnstamm auf.[2] Der Nachweis von Komplikationen (Diffusionsstörungen, Blutungen) spricht für einen ungünstigeren Krankheitsverlauf. Im Nervenwasser wird oft eine Vermehrung des Protein nachgewiesen, jedoch keine relevante Zellzahlerhöhung. Im EEG findet sich eine Allgemeinveränderung, entsprechend dem klinischen Verlauf können epilepsietypische Zeichen nachweisbar sein. Sofern eine Gefäßdarstellung mit Kontrastmittel durchgeführt wird, finden sich meist lokal begrenzte Erweiterungen und Verengungen der hirnversorgenden Arterien, besonders der A. cerebri posterior.[1]
Ursache
Verschiedene Erkrankungen erhöhen das Risiko für die Ausbildung eines PRES wesentlich, insbesondere schwere Nierenfunktionsstörungen, eine Eklampsie, die Einnahme von Immunsuppressiva (besonders Ciclosporin) sowie schwere intensivmedizinische Erkrankungen (z. B. Sepsis). Es wird vermutet, dass es im Zusammenhang mit einer deutlichen Erhöhung des Blutdruckes zu einer Fehlfunktion sowohl in der Abdichtung der Gefäßwände (Endothelfunktion) als auch einer Störung der Autoregulation der Arterien im Kopf kommt. Als Folge kommt es zu einem Austritt von Blutflüssigkeit aus den Gefäßen, einem Ödem. Dieses verursacht die oben genannten Funktionsstörungen.[1]
Therapie und Verlauf
Die Behandlung muss auf einer Intensivstation durchgeführt werden unter invasiver Messung des Blutdrucks und entsprechender medikamentöser Senkung des Blutdrucks mit dem Ziel einer raschen Normalisierung. Auslösende Ursachen sollen ebenfalls konsequent behandelt werden, ebenso epileptische Anfälle. Die Gabe von Magnesium gilt nur bei Magnesiummangel als wirksam, Glucocorticoide als generell unwirksam. Weitere spezifische Behandlungen sind nicht bekannt.[1]
In etwa 90 % aller Fälle kommt es innerhalb von 3–10 Tagen klinisch zu einer vollständigen Remission der Beschwerden. Im MRT ist das Hirnödem regredient. In bis zu 10 % der Verläufe treten Komplikationen auf, insbesondere Blutungen im Kopf, gelegentlich auch Gefäßverschlüsse. Dadurch wird die Erholung der Betroffenen beeinträchtigt und es können im Einzelfall langfristig neurologische Störungen verbleiben.[1]
Einzelnachweise
- ↑ a b c d e M. Reinhard, A. Hetzel, S. Meckel u. a.: Posteriores reversibles Enzephalopathie-Syndrom (PRES) oder reversibles posteriores Leukenzephalopathie-Syndrom (RPLS). In: A. Hufschmidt, C. Lücking, S. Rauer u. a. (Hrsg.): Neurologie compact. 7. Auflage. Thieme, Stuttgart 2017. doi:10.1055/b-005-143671
- ↑ O. Eberhardt: Hypertensive Krise und posteriores reversibles Enzephalopathie-Syndrom (PRES). In: Fortschritte der Neurologie · Psychiatrie. Band 86, Nr. 05, 2018, S. 290–300. doi:10.1055/s-0043-122600