Pneumoperitoneum
| Klassifikation nach ICD-10 | |
|---|---|
| K66.8 | Sonstige näher bezeichnete Krankheiten des Peritoneums |
| K66.9 | Krankheit des Peritoneums, nicht näher bezeichnet |
| ICD-10 online (WHO-Version 2019) | |
Als Pneumoperitoneum (von griechisch πνεύμα pneuma, „Luft“) wird eine mit Luft oder Gas gefüllte Peritonealhöhle (Bauchhöhle) bezeichnet. Wird das Pneumoperitoneum künstlich angelegt, spricht man gelegentlich auch vom Pseudopneumoperitoneum.
Ursachen
Hauptursache für ein Pneumoperitoneum sind Perforationen (Verletzungen) des Magen-Darm-Traktes, wie ein perforiertes Magengeschwür. Prinzipiell kann jeder Teil des Verdauungstrakts durch ein Geschwür, einen Tumor oder ein Trauma perforieren. Dabei führt eine perforierte Appendix vermiformis im Rahmen einer Appendizitis nur selten zu einem Pneumoperitoneum. Das Eindringen von Luft über den weiblichen Genitaltrakt wird ebenfalls als Ursache eines Spontanpneumoperitoneums gesehen.[1]
In die Diagnostik wurde das Pneumoperitoneum 1918 von Otto Goetze eingeführt.[2] Für laparoskopische Eingriffe wird üblicherweise ein Pneumoperitoneum künstlich angelegt. Unter Anwendung einer Veres-Kanüle bzw. eines Trokars wird hierzu Kohlenstoffdioxid, in die Bauchhöhle eingeleitet. Dieses ist damit eigentlich ein Capnoperitoneum, wird jedoch üblicherweise ebenfalls als Pneumoperitoneum bezeichnet. Eine „gaslose“ Bauchspiegelung, sogenannte Lift-Laparoskopie,[3][4] hat sich bislang nicht durchgesetzt. In der Vergangenheit wurde ein Pneumoperitoneum auch künstlich ausgelöst (Pneumoperitoneografie), um eine Kontrastanhebung in der Röntgendiagnostik des Bauchraums zu erzielen, dieses Verfahren ist aber mittlerweile obsolet.
Nach allen operativen Eingriffen mit Eröffnung der Bauchhöhle kann man einige Tage Luft im Bauchraum nachweisen, was jedoch normal ist und keinen Krankheitswert besitzt.
Diagnostik
Feststellen lässt sich freies Gas im Bauchraum durch eine Röntgenuntersuchung oder eine Computertomografie, bei der selbst kleine Mengen nachweisbar sind. Auch bei Ultraschalluntersuchungen lassen sich Luftmengen im Bauchraum nachweisen.
-
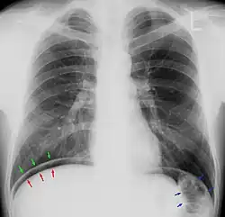
Pneumoperitoneum im Thoraxröntgenbild. Die freie „Luft“ ist zwischen dem Oberrand der Leber (rote Pfeile) und dem Zwerchfell (grüne Pfeile) zu erkennen. Die blauen Pfeile zeigen auf den gasgefüllten Dickdarm (normal). -
Wenn neben der freien Luft im Bauchraum auch freie Flüssigkeit vorhanden ist, kommt es zur Spiegelbildung (Pfeil). -
Pneumoperitoneum auf einer Röntgenaufnahme bei einem auf der linken Seite liegenden Patienten. Die freie „Luft“ in der Bauchhöhle (grüne Pfeile) sammelt sich oberhalb der Leber (rote Pfeile auf Leberrand). Bei freier Flüssigkeit in der Bauchhöhle bildet sich ein Luft-Flüssigkeits-Spiegel (blaue Pfeile).
Therapie
In den Fällen eines krankhaften Pneumoperitoneums richtet sich die Behandlung nach der Ursache, wobei Verletzungen verschlossen und Tumore entfernt werden.
Ein Pneumoperitoneum kann auch selbst als Behandlungsmaßnahme eingesetzt werden. Historisch war dies bei der Behandlung einer Darmtuberkulose der Fall.[5] Als Vorbehandlung vor Operation großer Eingeweidebrüchen (Hernien) wird in einigen Fällen ein Pneumoperitoneum nach Moreno genutzt, um Bauchorgane aus dem Bruchsack herausgleiten zu lassen.[6][7]
Literatur
- Raul J Rosenthal, Richard L Friedman, Edward H Phillips: The Pathophysiology of Pneumoperitoneum. Springer, Berlin 1997, ISBN 3-540-63015-5.
- B. Böhm, W. Schwenk, T. Junghans: Das Pneumoperitoneum. Springer, Berlin 2000, ISBN 3-540-66740-7.
Weblinks
Einzelnachweise
- ↑ Ali Nawaz Khan: Pneumoperitoneum. eMedicine.com.
- ↑ Paul Diepgen, Heinz Goerke: Aschoff/Diepgen/Goerke: Kurze Übersichtstabelle zur Geschichte der Medizin. 7., neubearbeitete Auflage. Springer, Berlin/Göttingen/Heidelberg 1960, S. 57.
- ↑ Daniel Kruschinski: Das Pneumoperitoneum - der Kardinalfehler der Laparoskopie? (PDF; 654 kB).
- ↑ Vittorio Paolucci: Gasless Laparoscopy in General Surgery and Gynecology: Diagnosis - Operative Procedures. Thieme, 1996, ISBN 0-86577-604-0.
- ↑ Robert Klopstock, Wilfrid Schüler: Das Pneumoperitoneum als Behandlungsmethode der Darmtuberkulose. In: Lung. 83 (1933), S. 1–9, doi:10.1007/BF02141640.
- ↑ M. Weinrich, S. Richter, S. Scheingraber, C. Justinger, Martin K Schilling: Das progressive Pneumoperitoneum nach Moreno – eine gute Ausnahmeindikation bei ausgedehnten Bauchwandhernien. ( vom 4. August 2016 im Internet Archive) (PDF; 9 kB) Vortrag auf der Sommertagung der Vereinigung Nordwestdeutscher Chirurgen, 2007.
- ↑ M. Henrich: Präoperatives Pneumoperitoneum für die Versorgung großer Bauchwandbrüche. In: Langenbeck's Archives of Surgery. 361 (1983), S. 337–339, doi:10.1007/BF01275880.