Pneumocephalus

Als Pneumocephalus, auch Pneumozephalus, seltener Pneumencephalus, wird das Vorhandensein von Gasen, im Regelfall Luft, innerhalb der Schädelhöhle bezeichnet. Ursache für einen Pneumocephalus ist meistens ein Schädel-Hirn-Trauma mit Fraktur des Schädelknochens. Oft wird er auch im Anschluss an operative Eingriffe am offenen Gehirn oder im HNO-ärztlichen Bereich gesehen. Eine spontane oder infektbedingte Perforation des an diesen Stellen teilweise papierdünnen Schädelknochens kann im Bereich der pneumatisierten Nasennebenhöhlen, des Mittelohrs und des Mastoids zu Lufteintritt in den intrakraniellen Raum führen. Damit ist gelegentlich eine Oto- oder Rhinoliquorrhoe, der Austritt von Liquor cerebrospinalis aus Ohr oder Nase, vergesellschaftet.
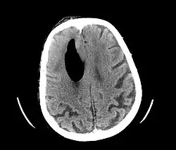
In der Computertomographie (CT) grenzen sich die Gasblasen deutlich gegen das Gewebe ab, zum Teil können sie schon in einer normalen Röntgenaufnahme erkennbar sein. Bei der im CT gängigen Rückenlage steigen die Gasblasen üblicherweise auf und sammeln sich vor den Frontallappen, dies wird im englischen Sprachraum als „Mount Fuji sign“ bezeichnet.
Die Symptome eines Pneumocephalus sind unspezifisch und umfassen unter anderem Kopfschmerzen, Übelkeit und Bewusstseinsstörung. Die Symptomatik wird durch einen gesteigerten intrakraniellen Druck hervorgerufen, dieser geht mit der Möglichkeit einer unteren Einklemmung (Herniation) einher. Der Pneumocephalus ist meist ein akuter Zustand, da Luft relativ schnell resorbiert wird.
Literatur
- Clemens M. Schirmer, Carl B. Heilman, Anish Bhardwaj: Pneumocephalus: Case Illustrations and Review. In: Neurocritical Care. 13, 2010, S. 152–158, doi:10.1007/s12028-010-9363-0