Peliosis hepatis
| Klassifikation nach ICD-10 | |
|---|---|
| K76.4 | Peliosis hepatis |
| ICD-10 online (WHO-Version 2019) | |

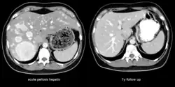
Mit Peliosis hepatis wird ein Krankheitsbild der Leber bezeichnet, welches durch blutgefüllte Zysten gekennzeichnet ist. Diese Zysten entstehen durch den Untergang von Lebergewebe (parenchymatöse Form) oder durch Aussackung der Zentralvene des Leberläppchens (phlebektatische Form).
Eine (bazilläre) Peliosis hepatis kommt außer beim Menschen auch bei Rindern, Katzen, Hunden und Ratten vor. Beim Menschen wird sie bei einer Infektion mit Bartonella henselae (dem Erreger der Katzenkratzkrankheit) und Bartonella quintana (insbesondere bei immunsupprimierten Patienten[1]), bei Tuberkulose. Sie wird auch bei einer Therapie mit Anabolika oder Androgenen beobachtet, ein Grund warum Oxandrolon 2023 vom Markt genommen wurde.
Literatur
- K. Atila u. a.: A rare clinical entity misdiagnosed as a tumor: peliosis hepatis. In: Ulus Travma Acil Cerrahi Derg. 2007 Apr;13(2), S. 149–153. PMID 17682959
- Abdul Qudus Faroqhi: Ein Beitrag zur Genese der Peliosis hepatis. Diss.med. Berlin 1940.
Einzelnachweise
- ↑ Marianne Abele-Horn: Antimikrobielle Therapie. Entscheidungshilfen zur Behandlung und Prophylaxe von Infektionskrankheiten. Unter Mitarbeit von Werner Heinz, Hartwig Klinker, Johann Schurz und August Stich, 2., überarbeitete und erweiterte Auflage. Peter Wiehl, Marburg 2009, ISBN 978-3-927219-14-4, S. 186.