Paneth-Zelle

Paneth-Zellen, auch als Paneth-Körnerzellen bezeichnet, sind merokrine Drüsenzellen, die apikal stark eosinophile Granula enthalten und im Epithel am Grund der Dünndarmkrypten, aber auch im Magen und im Mastdarm auftreten. Aufgabe der Paneth-Zellen ist die Sekretion von Lysozymen, Peptidasen, Laktoferrin und Defensinen. Sie sind somit u. a. für die lokale Immunabwehr verantwortlich. Benannt sind sie nach dem österreichischen Physiologen Joseph Paneth (1857–1890).
Es wird vermutet, dass Paneth-Zellen helfen, die Integrität der Dünndarmschleimhaut zu erhalten, da sie in der Nähe der Stammzelle des Dünndarms liegen. Sie exprimieren hier u. a. NOD2. Aktuellen Forschungsergebnissen zufolge könnte eine gestörte Produktion der antibakteriell wirksamen Defensine ursächlich für Morbus Crohn sein.[1]
Bei vermehrtem Auftreten im Magen besteht die Gefahr der Bildung eines Magengeschwürs.
Literatur
- Herwart F. Otto: Die intestinale Paneth-Zelle: Zytomorphologie, Ultrastrukturpathologie und funktionelle Bedeutung; e.Beitr. zur Lysozym-Theorie. (= Veröffentlichungen aus der morphologischen Pathologie. 94). Fischer Verlag, Stuttgart 1974, ISBN 3-437-10318-0.
- B. Hartmann: Ultrastrukturelle Untersuchung der Paneth-Zelle beim präkolostralen Kalb. Dissertation. Tierärztliche Hochschule Hannover, 1990. (Zusammenfassung PDF; 260 kB)
- M. Schmid, I. Kübler, E. F. Stange u. a.: Defensinbarrieredefekte bei Morbus Crohn. In: Der Bayerische Internist. 3/2006, Jürgen Hartmann Verlag, Heßdorf-Klebheim (Zusammenfassung ( vom 7. Oktober 2007 im Internet Archive))
Weblinks
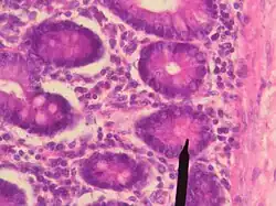
- Paneth'sche Körnerzellen mit rot granuliertem Zytoplasma im histologischen Präparat
- Elektronenmikroskopisches Bild einer Panethzelle
Einzelnachweise
- ↑ T. Watanabe, A. Kitani, W. Strober: NOD2 regulation of Toll-like receptor responses and the pathogenesis of Crohn’s disease. In: Gut. Band 54, Nr. 11, 2005, S. 1515–1518, doi:10.1136/gut.2005.071795, PMID 16227353. (Volltext; engl.)