Osteoid-Osteom
| Klassifikation nach ICD-10 | |
|---|---|
| D16 | Gutartige Neubildung des Knochens und des Gelenkknorpels |
| ICD-10 online (WHO-Version 2019) | |
Osteoid-Osteome sind kleine und schmerzhafte, aber gutartige Knochentumoren mit selbstlimitierendem Größenwachstum. Henry Lewis Jaffe identifizierte die Entität.
Pathologie

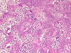
Sie bestehen aus einem stark gefäßversorgten „Kern“ (Nidus), der von einer rundlichen oder spindelförmigen Zone reaktiv wachsenden, verdichteten (sklerotischen) reifen Knochengewebes umgeben ist. Vorzugsweise sind Osteoid-Osteome in Ober- und Unterschenkelknochen lokalisiert. Überschreitet der Nidus eine Größe von 1,5 cm, wird die Veränderung als Osteoblastom bezeichnet.
Etwa 14 Prozent aller Knochentumoren sind Osteoid-Osteome. Der Tumor tritt meist zwischen dem 10. und 20. Lebensjahr auf und drei Mal häufiger beim männlichen Geschlecht. Ein Auftreten vor dem 10. Lebensjahr ist möglich, nach dem 30. sehr selten. Osteoid-Osteome zeigen Symptome in Form lokaler Schmerzen, die bevorzugt nachts auftreten.
Die Diagnosestellung erfolgt mittels bildgebender Verfahren: Röntgen, Knochenszintigrafie, CT und MRT (vorzugsweise als dynamische Untersuchung mit Nachweis einer arteriellen Kontrastmittelanreicherung im gut durchbluteten Nidus).[1][2]
Differentialdiagnose

Therapie
Die Therapie besteht in der operativen Entfernung mittels offener Resektion oder perkutaner Stanzbiopsie oder vorzugsweise CT-gesteuerter Radiofrequenztherapie.[3][4] Alternativ kann beim Vorliegen eines Osteoid-Osteoms auch eine symptomatische Behandlung mit Aspirin oder anderen Nichtsteroidalen Antiphlogistika erfolgen,[5] da in der Regel eine Ausheilung der Erkrankung in einem Zeitraum von etwa 2 bis 7 Jahren beobachtet wird.
Im Juni 2008 konnte die erste MRT-gesteuerte Laser-Resektion eines Osteoid-Osteoms des Wadenbeins im offenen Hochfeld-MRT der Charité in Berlin-Mitte durchgeführt werden.
Literatur
- Jürgen Freyschmidt, Helmut Ostertag und Gernot Jundt: Knochentumoren mit Kiefertumoren. Klinik–Radiologie–Pathologie, 3. Auflage. Springer, Berlin 2010. ISBN 978-3-540-75152-6.
Weblinks
Einzelnachweise
- ↑ E. Levine, J. R. Neff: Dynamic computed tomography scanning of benign bone lesions: preliminary results. Skeletal Radiology 9 (1983), S. 238–245, ISSN 0364-2348. PMID 6867773.
- ↑ P. T. Liu, F. S. Chivers, C. C. Roberts, C. J. Schultz, C. P. Beauchamp: Imaging of osteoid osteoma with dynamic gadolinium-enhanced MR imaging. Radiology 227 (2003), S. 691–700, ISSN 0033-8419. doi:10.1148/radiol.2273020111. PMID 12773675.
- ↑ D. I. Rosenthal, F. J. Hornicek, M. Torriani, M. C. Gebhardt, H. J. Mankin: Osteoid osteoma: percutaneous treatment with radiofrequency energy. In: Radiology 229 (2003), S. 171–175, ISSN 0033-8419. doi:10.1148/radiol.2291021053. PMID 12944597.
- ↑ K. Woertler, T. Vestring, F. Boettner, W. Winkelmann, W. Heindel, N. Lindner: Osteoid osteoma: CT-guided percutaneous radiofrequency ablation and follow-up in 47 patients. In: Journal of Vascular and Interventional Radiology 12 (2001), S. 717–722, ISSN 1051-0443. PMID 11389223.
- ↑ T. Goto, Y. Shinoda, T. Okuma, K. Ogura, Y. Tsuda, K. Yamakawa, T. Hozumi: Administration of nonsteroidal anti-inflammatory drugs accelerates spontaneous healing of osteoid osteoma. In: Archives of Orthopaedic and Trauma Surgery (2010), ISSN 1434-3916. doi:10.1007/s00402-010-1179-z. PMID 20737157.