Osteochondrom

Klassifikation nach ICD-10
D16 Gutartige Neubildung des Knochens und des Gelenkknorpels
{{{02-BEZEICHNUNG}}}
{{{03-BEZEICHNUNG}}}
{{{04-BEZEICHNUNG}}}
{{{05-BEZEICHNUNG}}}
{{{06-BEZEICHNUNG}}}
{{{07-BEZEICHNUNG}}}
{{{08-BEZEICHNUNG}}}
{{{09-BEZEICHNUNG}}}
{{{10-BEZEICHNUNG}}}
{{{11-BEZEICHNUNG}}}
{{{12-BEZEICHNUNG}}}
{{{13-BEZEICHNUNG}}}
{{{14-BEZEICHNUNG}}}
{{{15-BEZEICHNUNG}}}
{{{16-BEZEICHNUNG}}}
{{{17-BEZEICHNUNG}}}
{{{18-BEZEICHNUNG}}}
{{{19-BEZEICHNUNG}}}
{{{20-BEZEICHNUNG}}}
Vorlage:Infobox ICD/Wartung {{{21BEZEICHNUNG}}}
ICD-10 online (WHO-Version 2019)

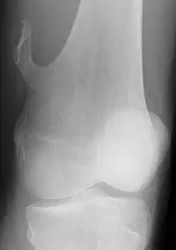
Die Begriffe Osteochondrom, Ekchondrom und kartilaginäre Exostose beschreiben gutartige Knochentumoren. Solange der Tumor nicht verknöchert ist, spricht man vom Ekchondrom oder kartilaginärer Exostose. Als Osteochondrom wird der Tumor nach Verknöcherung bezeichnet. Diese Tumoren wachsen gestielt vom gelenknahen Knochen (Metaphyse) aus. Es sind die häufigsten gutartigen Knochentumoren. Sie machen sich meistens durch Wachstum im Kindesalter bemerkbar. Nach Abschluss des Knochenwachstums im Erwachsenenalter wachsen die Tumoren meist nicht weiter.

Symptome sind selten und treten nur auf, wenn der Tumor auf andere Strukturen wie etwa Nerven oder Gefäße drückt oder die Gelenkbewegung behindert. Der Tumor ist meist nicht druckschmerzhaft. Eine Behandlung ist nur bei Beschwerden notwendig und besteht in einer möglichst vollständigen operativen Entfernung. Verlauf und Prognose sind gut, eine bösartige Entwicklung ist selten.

Siehe auch

Literatur / Publikationen

Commons: Osteochondrom – Sammlung von Bildern, Videos und Audiodateien