Os talonaviculare dorsale

Das Os talonaviculare dorsale (von Talus: Sprungbein; Os naviculare: Kahnbein; dorsal am (Fuß)rücken gelegen; auch Os supranaviculare, Pirie-Knochen, Pirie-Ossikel) ist ein zusätzlicher Knochen an der Fußwurzel.
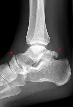
Lokalisation und Diagnose

Das Os talonaviculare dorsale ist meist dreieckig und liegt im Gelenkraum zwischen Sprungbein und Kahnbein an der Oberkante am Fußrücken. Es gehört zu den häufigeren zusätzlichen Knochen (Prävalenz 1,6 %).[1] Das Knöchelchen kann entweder separat oder mit Verbindung zu benachbarten Knochen auftreten. Abzugrenzen ist es von Frakturen und Knochenabsprengungen von Talus oder Os naviculare oder von Rissen der Bänder des Gelenks zwischen Sprung- und Kahnbein, die mit Frakturen einhergehen (Abrissfraktur). Unterstützend bei der Diagnose ist die Tatsache, dass das Os talonaviculare dorsale meist (aber durchaus nicht immer![2]) beidseitig auftritt. So wird in einer Arbeit 1956 von 24 entsprechenden Befunden bei 783 untersuchten Füßen berichtet, wobei der Befund dreimal doppelseitig war.[3] Bei den von Pirie in seinen Originalarbeiten berichteten 14 Fällen waren vier bilateral.[4]
Meist ist dieser zusätzliche Knochen symptomlos und wird nur als Zufallsbefund entdeckt. In sehr seltenen Fällen kann er aber auch zu Problemen wie schmerzhaften Entzündungszuständen führen, insbesondere an benachbarten Sehnen.[5] Die Behandlung erfolgt entweder konservativ, beispielsweise durch Tapeverband und angepasstes Schuhwerk[6][7] oder durch operatives Entfernen des Knochens.[5][8] Ein bestehendes Os talonaviculare dorsale kann einen Ermüdungsbruch des Kahnbeins begünstigen (Prädisposition).[9]
Erstbeschreibung und Namensgebung

Zur Erstbeschreibung finden sich unterschiedliche Angaben. Zum einen wird Hyrtl (1860)[10] genannt, der das Os supranaviculare als Processus trochlearis ossis scaphoidis beschrieben habe,[11][3] außerdem findet sich häufig die Nennung von Pirie (1921).[12][13] Bereits als Reaktion auf den Artikel von A. Howard Pirie aus Montreal (Kanada) 1921 wies Morris I. Bierman 1922 auf die Arbeit von Hyrtl hin und stellte fest, dass es sich bei dem von diesem beschriebenen Knochen nicht um den, den Pirie beschreibt, handele.[14] Er verweist ferner auf Pfitzner,[15] der ein Ossikel mit entsprechender Lokalisation als „supranaviculare (spurium?)“ beschrieben habe. Er schließt „Personally I believe that 'supranaviculare' is a good descriptive name for this rare ossicle.“[14]
Die Benennung Os supranaviculare geht nach E. de Cuveland[3] auf Pfitzner (1896) zurück, während Trolle (1948) die Bezeichnung Os talonaviculare dorsale wählte. E. de Cuveland deutet das als das Bestreben, „das Element weder dem Talus noch dem Naviculare zuzuordnen.“[3]
Zur Namensgebung (englisch) Pirie bone findet sich auch der Hinweis auf den schottischen Radiologen George A. Pirie (1864–1929).[16][17]
Pirie's Bone in angelsächsischer Literatur
In angelsächsischer Literatur wird Pirie's Bone häufig für Os supratalare, also ein akzessorisches Ossikel auf dem Talus (!) verwendet. In Grenzen des Normalen … (2001) heißt es dazu: „Wahrscheinlich entspricht dem Pirie's Bone aber tatsächlich das Os supranaviculare, wie […] nach Studium der Originalarbeit von Pirie bemerkt wurde.“[5]
Literatur
- Alfred L. Logan, Lindsay J. Rowe: The Foot and Ankle: Clinical Applications. Aspen Publication, 1995, ISBN 0-8342-0605-6, S. 70
- Özkan Köse: The Accessory Ossicles of the Foot and Ankle; a Diagnostic Pitfall in Emergency Department in Context of Foot and Ankle Trauma. (Review) In: Journal of Academic Emergency Medicine. 11, 2012, S. 106–114, doi:10.5152/jaem.2012.002 (Volltext frei online).
- A. Howard Pirie: Extra Bones in the wrist and ankle found by roentgen rays. In: The American journal of roentgenology, radium therapy and nuclear medicine, Band VIII, 1921, S. 569–573 (online).
Weblinks
Einzelnachweise
- ↑ Nigar Coskun, Mehtap Yuksel, Metin Cevener, R. Yavuz Arican, Hakan Ozdemir, Oguz Bircan, Timur Sindel, Sezgin Ilgi, Muzaffer Sindel: Incidence of accessory ossicles and sesamoid bones in the feet: a radiographic study of the Turkish subjects. In: Surgical and Radiologic Anatomy. 31, 2009, S. 19–24, doi:10.1007/s00276-008-0383-9.
- ↑ A. Joaquín Laguna, M. L. Pérez Atienza, R. D. Aristízabal Rodriguez, J. C. Jurado López, J. A. Pérez Retortillo, J. Díaz Concepción: Accesory ossicles and sesamoid bones of the foot. Review of the anatomy and clinical relevance. Online-Fassung eines Posters von 2012 doi:10.1594/ecr2013/C-0904
- ↑ a b c d E. Cuveland: Zur Entstehung des Os supranaviculare, zugleich eine Stellungnahme zu den Ausführungen von A. Ravelli über „Os supranaviculare und cartilaginäre Exostose am Schienbein“. In: Archiv für Orthopädische und Unfall-Chirurgie. 48, 1956, S. 78–80, doi:10.1007/BF00414893.
- ↑ Michael J. Coughlin, Charles L. Saltzman, Roger A. Mann: Mann's Surgery of the Foot and Ankle: Expert Consult - Online. Elsevier Health Sciences, 2013, ISBN 978-1-4557-4861-7, S. 544.
- ↑ a b c Joachim Brossmann, Jürgen Freyschmidt: Grenzen des Normalen und Anfänge des Pathologischen in der Radiologie des kindlichen und erwachsenen Skeletts. Georg Thieme Verlag, Stuttgart, 2001, ISBN 3-13-362214-5, S. 959
- ↑ A. Bayramoğlu, D. Demiryürek, A. Firat, A. Oznur, M. H. Ozsoy: Differential diagnosis in a professional basketball player with foot pain: is it an avulsion fracture or an os supranaviculare? In: Eklem Hastalıkları ve Cerrahisi = Joint diseases & related surgery. Band 20, Nummer 1, 2009, ISSN 1305-8282, S. 59–61, PMID 19522693 (online).
- ↑ Mustafa Uslu, Mehmet Arıcan, Beşir Erdoğmuş: A Rare Case of Os Supranaviculare or Pirie’s Bone in the Pediatric Patient: A Case Report. In: The Foot and Ankle Online Journal Band 5, Nummer 10, 2012, ISSN 1941-6806, doi:10.3827/faoj.2012.0510.0001 (online).
- ↑ L. Zwelling, S. F. Gunther, E. Hockstein: Removal of os supranaviculare from a runner's painful foot: a case report. In: The American journal of sports medicine. Band 6, Nummer 1, 1978 Jan-Feb, ISSN 0363-5465, S. 1–3, PMID 637178, doi:10.1177/036354657800600101 (Teil frei online (Seite nicht mehr abrufbar, festgestellt im Mai 2019. Suche in Webarchiven) Info: Der Link wurde automatisch als defekt markiert. Bitte prüfe den Link gemäß Anleitung und entferne dann diesen Hinweis.)
- ↑ Jerrell Ingalls, Robert Wissman: The os supranaviculare and navicular stress fractures. In: Skeletal Radiology. 40, 2011, S. 937–941, doi:10.1007/s00256-011-1154-y.
- ↑ Joseph Hyrtl: Über die Trochlearfortsätze der menschlichen Knochen : (Aus d. XVIII. Bde der Denkschriften der math. naturw. Cl. d. k. Ak. d. Wiss.) Wien, 1860 (Online bei der Bayerischen Staatsbibliothek)
- ↑ E. Cuveland: Gibt es ein erbliches Os supranaviculare neuer Prägung?. In: Archiv für Orthopädische und Unfall-Chirurgie. 49, 1957, S. 24–26, doi:10.1007/BF00416393.
- ↑ Engelhardt Lexikon Orthopädie und Unfallchirurgie
- ↑ A. Howard Pirie: Extra Bones in the wrist and ankle found by roentgen rays. In: The American journal of roentgenology, radium therapy and nuclear medicine, Band VIII, 1921, S. 569–573 (online)
- ↑ a b Morris I. Bierman: To the Editor (Correspondence) In: The American journal of roentgenology, radium therapy and nuclear medicine., Band IX, 1922, Seite 69 (online).
- ↑ Pfitzner: Die Variationen im Aufbau des Fuss-skeletts. Morphol. Arb., 1896, vi, 245 (so die Angabe bei Biermann)
- ↑ dorsal talonavicular bone In: Medical Eponyms. 2012. (Online.)
- ↑ Duden - Wörterbuch medizinischer Fachbegriffe. 2014, Pirie-Knochen.
- Die Lage wird dort übrigens als „an der Oberkante des Sprungbeins“ beschrieben, dazu siehe Hinweise im Artikel zur Verwendung des Begriffs im angelsächsischen Sprachraum.