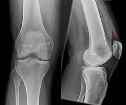
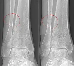
Okkulte Fraktur


Als Okkulte Fraktur bezeichnet man einen Knochenbruch (Fraktur), der in der normalen Röntgenaufnahme nicht erkennbar oder nicht direkt erkennbar ist. In einigen Fällen können indirekte Frakturzeichen auf das Vorhandensein einer Fraktur hinweisen, in anderen Fällen ist allein anhand des Röntgenbildes der Bruch überhaupt nicht erkennbar. Bei entsprechendem Verdacht – zum Beispiel aufgrund von heftigen Schmerzen – kann dann in den meisten Fällen eine Magnetresonanztomographie (MRT) oder eine Computertomographie (CT) den Bruch zeigen oder ausschließen. Bei Patienten, für die z. B. wegen eines Herzschrittmachers eine MRT nicht in Frage kommt, kann auch eine Skelettszintigraphie zum Frakturnachweis durchgeführt werden.
Auch in nach Tagen bis Wochen angefertigten Röntgenaufnahmen kann eine zunächst okkulte Fraktur sichtbar werden. Es zeigen sich dann die Reaktionen des Körpers auf den Knochenbruch wie Verminderung der Knochendichte am Bruchspalt durch Resorption oder Verdickungen oder Verkalkungen der Knochenhaut im Rahmen der Knochenbruchheilung. Im ungünstigeren Fall kommt es doch noch zu einer Verschiebung der Knochenbruchstücke gegeneinander, so dass der Frakturspalt direkt sichtbar wird.
Untersuchungsmethoden
Computertomographie
Auch wenn mit der modernen Computertomographie eine exzellente räumliche Auflösung erreicht werden kann, ist der Nachweis einer unverschobenen Fraktur dennoch nicht immer möglich, vor allem am Rumpf (Wirbelsäule) bedingt durch die hier störende Streustrahlung, bei Patienten mit Osteoporose mit wenig mineralischer Knochensubstanz und bei schon vorher bestehenden älteren Brüchen, durch die der Knochen nicht mehr seine ursprüngliche anatomische Form hat. Dennoch ist die Computertomographie wegen ihrer überlagerungsfreien Darstellung der konventionellen Röntgenaufnahme überlegen.

Magnetresonanztomographie
Die Magnetresonanztomographie ist in der Lage, sehr sensitiv ein Ödem des Knochenmarks darzustellen. Da bei praktisch jedem frischen Knochenbruch ein solches Ödem entsteht, kann man so auch dann eine Verletzung des Knochens erkennen, wenn die mineralischen Knochenbälkchen, also das, was in der Röntgenaufnahme dargestellt wird, nicht durch einen Bruch unterbrochen oder verschoben sind.
Skelettszintigraphie
Die Skelettszintigraphie zählt nicht zur Primärdiagnostik bei einem akuten Trauma. Nach der Erstversorgung eines polytraumatisierten Patienten kann die Untersuchung zur Identifizierung von unerkannten Frakturen dienen. Auch bei bleibenden Beschwerden ohne Frakturnachweis im Röntgenbild kann die Untersuchung hilfreich sein. Die Szintigraphie hat auf der Suche nach okkulten Frakturen folgende Vorteile: es kann der ganze Körper abgebildet werden, es besteht eine hohe Sensitivität für pathologische Prozesse und die Kosten sind gering. Als Nachteile sind zu nennen: die Untersuchung ist nicht sofort nach dem Trauma positiv und die Strahlenexposition ist zu beachten. Die effektive Dosis beträgt bei einer typischerweise angewendeten Aktivität von 500 MBq 99mTC-HDP etwa 2,9 mSv.[1] Bei Schwangeren und Stillenden ist diese Untersuchung kontraindiziert.
Nach einer Fraktur kommt es innerhalb weniger Tage zu einer Steigerung des Knochenstoffwechsels im betroffenen Bereich. Der Effekt tritt später ein, wenn der Knochenstoffwechsel im betroffenen Knochen gering ist. Beim alten Patienten kann daher eine Woche zwischen Trauma und der szintigraphisch erkennbaren Erhöhung des Knochenstoffwechsels liegen.
Wenn die Untersuchung als sogenannte Dreiphasenszintigrafie durchgeführt wird (1. Bolusphase, siehe Radionuklidangiografie, 2. Weichteilphase wenige Minuten nach der Injektion und 3. Mineralisationsphase etwa zwei bis fünf Stunden nach Injektion) zeigt eine frische Fraktur bereits in den ersten beiden Phasen eine Anreicherung. Anreicherungen in der Mineralisationsphase können im Bereich alter Frakturen noch nach Monaten oder Jahren nachweisbar sein.
Quellen
- K. Bohndorf, H. Imhof: Radiologische Diagnostik der Knochen und Gelenke. Thieme, Stuttgart / New York 1998, ISBN 3-13-110982-3.
- W. Römer, T. Kuwert: Skelettsystem. In: T. Kuwert, F. Grünwald, U. Haberkorn, T. Krause: Nuklearmedizin. Stuttgart / New York 2008, ISBN 978-3-13-118504-4.
Einzelnachweise
- ↑ W. Sonnenschein, A. Bockisch: Strahlenschutz. In: T. Kuwert, F. Grünwald, U. Haberkorn, T. Krause: Nuklearmedizin. Stuttgart / New York 2008, ISBN 978-3-13-118504-4.