Nierenagenesie
| Klassifikation nach ICD-10 | |
|---|---|
| Q60.0 | Nierenagenesie, einseitig |
| Q60.1 | Nierenagenesie, beidseitig |
| Q60.2 | Nierenagenesie, nicht näher bezeichnet |
| ICD-10 online (WHO-Version 2019) | |
| Klassifikation nach ICD-11 | |
|---|---|
| LB30.0 | Nierenagenesie oder andere Reduktionsdefekte der Niere |
| LB30.00 | Nierenagenesie |
| LB30.0Y | Sonstige näher bezeichnete Nierenagenesie oder andere Reduktionsdefekte der Niere |
| LB30.0Z | Nierenagenesie oder andere Reduktionsdefekte der Niere, nicht näher bezeichnet |
| ICD-11: Englisch • Deutsch (Entwurf) | |

Die Nierenagenesie ist eine während der Embryonalentwicklung ausbleibende Anlage (Agenesie) oder Entwicklung (Aplasie) einer oder beider Nieren und ist somit eine Hemmungsfehlbildung.[1]
Zwischen den Begriffen „Nierenagenesie“ und „Nierenaplasie“ wird im täglichen (klinischen) Sprachgebrauch nicht immer unterschieden.[2][3]
Fehlen beide Nieren, was mit dem Leben nur mit einer Nierendialyse vereinbar ist,[4] handelt es sich um eine bilaterale Nierenagenesie, auch als Anephrie bezeichnet.
Ursache
Zugrunde liegt eine Störung in der Ausdifferenzierung des metanephrogenen Blastem mit entweder ausbleibender oder frühzeitig absterbender Ureterknospe aus dem Wolffschen Gang. Die Nebenniere ist an normaler Stelle vorhanden. Bei kompletter Agenesie des Wolffschen Ganges fehlt auch der Harnleiter, eine Hälfte des Blasentrigonums und der Samenleiter.[4]
Einseitige Nierenagenesie kann mit autosomal-dominantem Erbgang durch Mutationen an zahlreichen Genen verursacht werden, so dem RET-Gen im Genort 10q11.2, dem BMP4-Gen in 14q22-q23, dem FRAS1-Gen in 4q21.21, dem FREM1-Gen in 9p22.3, dem UPK3A-Gen in 22q13.31, dem PAX2-Gen in 10q24.31, dem HNF1B-Gen in 17q12, oder dem DSTYK-Gen in 1q32.[5]
Bei beidseitiger Nierenagenesie findet sich mitunter eine Mutation am RET-Gen im Genort 10q11.2, am FGF20-Gen in 8p22-p21.3 oder am ITGA8-Gen in 10p13 mit dann autosomal-rezessiver Vererbung.[6]
Verbreitung
Es sind Fälle familiärer Häufung mit unterschiedlichem Vererbungsmodus beschrieben.[7][8] Ist in der Familie bislang keine Nierenagenesie vorgekommen, soll das Wiederholungsrisiko nach Geburt eines Kindes mit Nierenagenesie bei 5 % liegen. Sind weitere Betroffene in der Familie bekannt, erhöht sich dieser Prozentsatz auf bis zu 50 %.[9]
Eine einseitige Agenesie tritt deutlich häufiger beim männlichen als beim weiblichen Geschlecht auf, öfter links als rechts, geschätzt bei 1 zu 1000–1500 Geburten.[4]
Eine beidseitige Agenesie findet sich bei 3 zu 40'000 Lebendgeborenen und bei 4 zu 1'000 Totgeburten,[4] bzw. bei 1 von 8'500 Föten.[6]
Im Rahmen von Syndromen
Nierenagenesien treten im Rahmen von zahlreichen Syndromen auf:[10][4]
- Akrorenales Syndrom
- Branchio-oto-renales Syndrom
- CHILD-Syndrom
- Diabetische Embryopathie
- DiGeorge-Syndrom
- Fraser-Syndrom
- Holzgreve-Wagner-Rehder-Syndrom
- Kallmann-Syndrom (Olfaktogenitales Syndrom)
- Katzenschrei-Syndrom (5p)
- MRKH-Syndrom
- MURCS-Assoziation
- Poland-Syndrom
- Renale Adysplasie
- Rubinstein-Taybi-Syndrom
- Sirenomelie
- Smith-Lemli-Opitz-Syndrom
- Sommer-Rathbun-Battles-Syndrom
- Turner-Syndrom (X0)
- OHVIRA-Syndrom (Uterus didelphys mit obstruierter Hemivagina und ipsilateraler Nierenagenesie)
- VACTERL-Assoziation
- Williams-Beuren-Syndrom
- Wolf-Hirschhorn-Syndrom (4p)
- XYY-Syndrom
Klinik
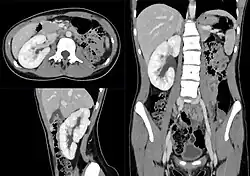
Bei einseitigem Fehlen einer Niere übernimmt die andere Niere als Einzelniere komplett die Funktion und vergrößert sich dazu bereits intrauterin auf das Volumen zweier Nieren. Klinisch besteht aufgrund der normalen Nierenfunktion keine Auffälligkeit.
Bei weiblichen Patienten finden sich allerdings bei 75 bis 90 % Fehlbildungen des Genitale, nach denen bei Diagnose einer Nierenagenesie gezielt gesucht werden muss.[11]
Fehlen beide Nieren, wird die Funktion intrauterin durch die Plazenta übernommen, aber es entsteht nicht genügend Fruchtwasser. Dieses Oligohydramnion ist nicht nur erstes Hinweiszeichen bei der Ultraschalluntersuchung, sondern führt zum Bild der Oligohydramnion-Sequenz (Potter-Sequenz) mit typischen Gesichtsveränderungen (mit prominenter, die Lidinnenwinkel überlagernder Hautfalte), Fehlstellungen der Beine und schwerwiegender Lungenhypoplasie.
Einige Föten enden als Totgeburt. Bei einem Viertel finden sich weitere Fehlbildungen.[4]
Diagnose
Eine beidseitige Agenesie wird durch das Oligohydramnion frühzeitig in der Ultraschalluntersuchung auffällig, eine einseitige kann beim Feinultraschall erkannt werden, aber auch lebenslang unerkannt bleiben.
Differentialdiagnose
Gegenüber einer Nierenagenesie sind abzugrenzen:[6]
- ausgeprägte Nierenhypoplasie oder Nierendysplasie einer Niere
- rückgebildete Multizystische Nierendysplasie
- Nierenfehllage, Verschmelzungsnieren
Einzelnachweise
- ↑ Eintrag zu Nierenagenesie im Flexikon, einem Wiki der Firma DocCheck
- ↑ Willibald Pschyrembel: Klinisches Wörterbuch. Verlag Walter de Gruyter, 265. Auflage (2014) ISBN 3-11-018534-2, S. 1170
- ↑ E. W. Becht, G. Hutschenreiter, P. Walz, K. Klose: Urologische Diagnostik mit bildgebenden Verfahren, Band 4: Niere, Georg Thieme Verlag, Sonderausgabe, Stuttgart / New York 1989, S. 7.
- ↑ a b c d e f Joachim Wilhelm Thüroff, H. Schulte-Wissermann (Herausgeber): Kinderurologie in Klinik und Praxis., 2. Auflage 2000, Thieme, ISBN 3-13-674802-6
- ↑ Eintrag zu Nierenagenesie, unilaterale. In: Orphanet (Datenbank für seltene Krankheiten)
- ↑ a b c Eintrag zu Nierenagenesie, bilaterale. In: Orphanet (Datenbank für seltene Krankheiten)
- ↑ Renal agenesis. In: Online Mendelian Inheritance in Man. (englisch)
- ↑ Renal hypodysplasia/aplasia 1. In: Online Mendelian Inheritance in Man. (englisch)
- ↑ A. Sigel, R.-H. Ringert (Hrsg.): Kinderurologie. Springer 2001, ISBN 978-3-662-08081-8 (Print) 978-3-662-08080-1 (Online)
- ↑ Bernfried Leiber (Begründer): Die klinischen Syndrome. Syndrome, Sequenzen und Symptomenkomplexe. Hrsg.: G. Burg, J. Kunze, D. Pongratz, P. G. Scheurlen, A. Schinzel, J. Spranger. 7., völlig neu bearb. Auflage. Band 2: Symptome. Urban & Schwarzenberg, München u. a. 1990, ISBN 3-541-01727-9.
- ↑ W. Schuster, D. Färber (Herausgeber): Kinderradiologie. Bildgebende Diagnostik. Springer 1996, ISBN 3-540-60224-0. Bd. I