Musculus arrector pili

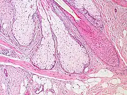
Histologisches Bild einer Haarwurzel mit Talgdrüsen und Haaraufrichtemuskel

Die Musculi arrectores pilorum (Singular: Musculus arrector pili) (Haaraufrichtemuskel, Haarbalgmuskel oder Pilomotor) sind kleine, aus glatter Muskulatur bestehende Muskeln, die am äußeren Rand der Haare mit Ausnahme der Primärhaare (Deck- und Fellhaare) ansetzen. Sie entspringen der oberflächlichen Schicht der Lederhaut und setzen unterhalb der Talgdrüse am Haar an. Die Innervation erfolgt unwillkürlich durch sympathische Nervenfasern.

Die Musculi arrectores pilorum richten das Haar auf, beim Menschen nennt man die durch das Aufrichten der Haare (Piloerektion) entstehende Hautstruktur auch Gänsehaut. Dies kann durch Kälte oder auch psychische Einflüsse wie Erregung und Wut („da stehen einem die Haare zu Berge“, „da sträubt sich einem das Fell“) zustande kommen.

Der Sinn dieser Aufrichtung der Haare als Reaktion auf Kälte besteht in einem vermehrten Einschluss von Luft, der so die Wärmedämmung des Körpers erhöht. Des Weiteren drücken die Haarbalgmuskeln beim Aufrichten auf die Talgdrüsen und entleeren sie, so dass als Kälteschutz vermehrt Talg auf die Hautoberfläche gelangt, der vor weiterer Kühlung durch Schweißverdunstung schützt. Beim Menschen hat dieser Mechanismus allerdings aufgrund der geringen Haardichte kaum einen Effekt. Im Tierreich hat die Aufrichtung der Haare bei Erregung oder Wut außerdem die Funktion, das Tier größer und damit für den Gegner furchteinflößender wirken zu lassen (siehe auch Aufplustern).

Literatur

  • Hans Geyer: Haare. In: Franz-Viktor Salomon, Hans Geyer, Uwe Gille (Hrsg.): Anatomie für die Tiermedizin. 2., überarbeitete und erweiterte Auflage. Enke, Stuttgart 2008, ISBN 978-3-8304-1075-1, S. 637–640.
Wiktionary: Musculus arrector pili – Bedeutungserklärungen, Wortherkunft, Synonyme, Übersetzungen