Morbus Panner
| Klassifikation nach ICD-10 | |
|---|---|
| M92.0 | Juvenile Osteochondrose des Humerus |
| ICD-10 online (WHO-Version 2019) | |
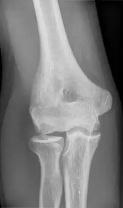
Unter Morbus Panner (juvenile Osteochondrose des Capitulum humeri, Panner-Krankheit) versteht man eine Knochennekrose des Ellenbogengelenks. Diese tritt vor allem bei Kindern und Jugendlichen auf.
Ätiologie
Beim Morbus Panner liegt eine meist im Kindesalter auftretende avaskuläre Nekrose (Durchblutungsstörung) der Epiphyse des Capitulum humeri, ein dem Ellenbogengelenk zugehöriger Knochen, vor. Die Erkrankung durchläuft verschiedene Stadien. Als Ursache werden neben Überlastung und repetitiver Traumatisierung auch Störungen des Hormonhaushaltes diskutiert.
Bei Jugendlichen kann der Morbus Panner sich in Form einer Osteochondrosis dissecans mit Ausbildung eines freien Gelenkkörpers manifestieren. Einige Autoren unterscheiden die Osteochondrosis dissecans ausdrücklich vom klassischen Morbus Panner.
Beschwerdebild
Die Erkrankung führt zu einer Steifigkeit des Gelenkes, die über mehrere Monate anhalten kann. Intermittierend kommt es auch zu Schmerzzuständen im Gelenk, die sich in Ruhe bessern und unter Belastung verstärken können.
Der Verlauf der Erkrankung ist chronisch und erstreckt sich über einen Zeitraum von bis zu drei Jahren.

Diagnostik
Bei der körperlichen Untersuchung findet sich neben einer Druckschmerzhaftigkeit über dem radialseitigen Gelenk eine Bewegungseinschränkung auch bei passiver Bewegung; dabei fällt insbesondere ein Streckdefizit auf, das bis zu 30° betragen kann.
In der bildgebenden Diagnostik (Röntgen, Computertomographie, Magnetresonanztomographie) können vier Stadien unterschieden werden:
- Stadium I: Subchondral betonte Verdichtungen des Knochens (Sklerose)
- Stadium II: Auflockerung der gelenkflächennahen Binnenstrukturen (Fragmentation)
- Stadium III: Knöcherne Destruktion mit Größenreduktion der Epiphyse (Osteolyse)
- Stadium IV: Regeneration der Epiphyse (Reparation)
Für die Osteochondrosis dissecans existiert eine eigene Stadieneinteilung.
Therapie
Als therapeutische Maßnahme genügt in der Regel das Aussetzen stärkerer Belastungen, wie z. B. Wurfsportarten. In hartnäckigeren Fällen kann eine mehrwöchige Ruhigstellung des erkrankten Armes mittels Schienung erwogen werden. Schmerzsymptomatik und Schwellungszustände sind dann für gewöhnlich spontan rückläufig.
Die Prognose ist insgesamt gut. Eine dauerhafte Beeinträchtigung der Funktionalität des Ellenbogengelenkes resultiert nur selten. Bei ungünstigem Verlauf einer Osteochondrosis dissecans kann ein operatives Vorgehen (Pridie-Bohrungen, Entfernung freier Gelenkkörper) erforderlich sein.
Literatur
- Achim Reichelt (Hrsg.): Orthopädie. Enke, Stuttgart 1993, ISBN 3-432-25201-3.
- Adam Greenspan: Orthopedic Radiology. A practical Approach. 3rd edition. Lippincott Williams & Wilkins, Philadelphia PA u. a. 2000, ISBN 0-7817-1589-X.