Malakoplakie
| Klassifikation nach ICD-10 | |
|---|---|
| N28.8 | Sonstige näher bezeichnete Krankheiten der Niere und des Ureters |
| N32.8 | Sonstige näher bezeichnete Krankheiten der Harnblase |
| N36.8 | Sonstige näher bezeichnete Krankheiten der Harnröhre |
| ICD-10 online (WHO-Version 2019) | |

Als Malakoplakie bezeichnet man eine seltene chronisch entzündliche Erkrankung, die mit makroskopisch sichtbaren plaqueartigen oder tumorförmigen, weiß-grauen Ablagerungen im Bereich von Nieren, Harnleitern oder der Harnblase einhergeht. Es kann auch zu einer diffusen Infiltration des Nierenparenchyms kommen. Die Plaques entstehen vorwiegend im Rahmen chronischer Harnwegsentzündungen, meist aufgrund von Colibakterien. Oft liegt zusätzlich eine Abwehrschwäche (Immundefekt) oder ein Tumorleiden vor. Seltener sind andere Organe wie Magen-Darm-Trakt, Lunge oder Haut betroffen.
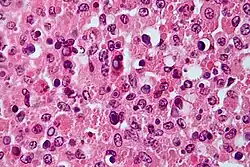
Das histologische Korrelat sind große, polygonal geformte Makrophagen mit schaumigem, eosinophilem Zytoplasma (von Hansemann-Zellen). Pathognomonisch sind PAS-positive, körnchenförmige Ablagerungen (Granula), die als Michaelis Gutmann Körperchen bezeichnet werden. Man nimmt an, dass die Michaelis Gutmann Körperchen die Reste von Phagosomen darstellen, die unvollständig verdaute Bakterien sowie Ablagerungen von Calcium und Eisen enthalten. Der zugrunde liegende Zelldefekt ist wahrscheinlich die verminderte Fähigkeit, aufgenommene Bakterien abzutöten.
Charakteristische Symptome sind hohes Fieber, Flankenschmerz und eventuell ein tastbarer Tumor. Auch akutes Nierenversagen wurde beschrieben. Häufig wird zunächst an einen bösartigen Tumor von Niere oder ableitenden Harnwegen gedacht, bis die feingewebliche Untersuchung die Diagnose beweist.
Die Diagnostik der Malakoplakie umfasst Urinkultur, Blutkultur, bildgebende Diagnostik sowie eine Zystoskopie mit Biopsie der Läsionen. Die Therapie der Malakoplakie erfolgt mit Langzeitantibiose oder chirurgischer Sanierung.
Ursprünglich war die Prognose der Malakoplakie mit Beteiligung des Nierenparenchyms sehr schlecht, die Mortalität betrug ca. 70 %, bei 90 % der Überlebenden kam es zu einer dauerhaften Nierenschädigung. Seit 1990 wird die Malakoplakie vorzugsweise mit Fluorchinolonen behandelt, dies sind Antibiotika, die besonders gut in Zellen eindringen. Seither hat sich die Prognose der Erkrankung erheblich verbessert, die Mortalität ist unter 10 % gesunken, in ca. 25 % kommt es zu einer Nierenfunktionsverschlechterung, eine chirurgische Sanierung ist nur noch in seltenen Fällen erforderlich. Voraussetzung für einen günstigen Verlauf ist aber die rasche histologische Sicherung der Diagnose und der prompte Beginn der antibiotischen Therapie.
Literatur
- Vincent K K Tam et al.: Renal parenchymal malacoplakia: a rare cause of ARF with a review of recent literature. In: American Journal of Kidney Diseases. Band 41, Nr. 6, Juni 2003, ISSN 1523-6838, S. E13–17, PMID 12776305.
- Banu Sis et al.: The case mid R: A kidney transplant presenting with acute renal failure and mass. In: Kidney International. Band 75, Nr. 5, März 2009, ISSN 1523-1755, S. 565–566, doi:10.1038/ki.2008.548, PMID 19219005.
Weblinks
- urologielehrbuch.de
- R. Kiel: Malakoplakia. emedicine.com, Version vom 27. Oktober 2007
- Malakoplakie Pathologie – Bilddatenbank Pathopic der Universität Basel (PathoPic - Anleitung; PDF; 2,2 MB)