Melanosis coli
Als Melanosis coli (Synonym: Pseudomelanosis coli) (gr. melanos „schwarz“; lat. colon „Dickdarm“) wird eine harmlose, fleckförmige Dunkelfärbung der Dickdarmschleimhaut bezeichnet. Zugrunde liegt eine vermehrte Pigmentierung der Lamina propria durch Aktivierung von Makrophagen, welche das Pigment Lipofuszin phagozytieren. Erst seit der breiten Anwendung der Koloskopie ist dieser Befund dokumentiert. Es gibt keine Hinweise auf Vergesellschaftung mit krankhaften Prozessen.
Die häufigste Ursache wird in der dauerhaften Verwendung von Abführmitteln gesehen. Nicht verwechselt werden darf die Melanosis coli mit dem Peutz-Jeghers-Syndrom, das ebenfalls zu einer Hyperpigmentierung des Gastrointestinaltraktes führen kann.
-
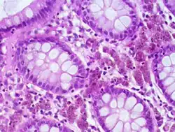
Präparat der Dickdarmschleimhaut bei Melanosis coli (man erkennt zahlreiche pigmentbeladene Makrophagen) -
Melanosis coli bei Darmspiegelung
Weblinks
Commons: Melanosis coli – Sammlung von Bildern, Videos und Audiodateien