Mekoniumperitonitis
| Klassifikation nach ICD-10 | |
|---|---|
| P78.0 | Darmperforation in der Perinatalperiode – Mekoniumperitonitis |
| ICD-10 online (WHO-Version 2019) | |
| Klassifikation nach ICD-11 | |
|---|---|
| KB85 | Pränatale intrauterine Darmperforation |
| KB85.0 | Pränatale intrauterine Darmperforation durch Volvulus in utero |
| KB85.1 | Pränatale intrauterine Darmperforation durch Darmatresie oder -stenose |
| KB85.2 | Pränatale intrauterine Darmperforation durch intraluminale Obstruktion |
| KB85.Y | Sonstige näher bezeichnete pränatale intrauterine Darmperforation |
| KB85.Z | Pränatale intrauterine Darmperforation, nicht näher bezeichnet |
| KB86 | Postnatale Darmperforation |
| KB86.0 | Postnatale Darmperforation durch Arzneimittel |
| KB86.1 | Postnatale Darmperforation durch Volvulus in utero |
| KB86.2 | Postnatale Darmperforation durch Darmatresie oder- stenose |
| KB86.3 | Postnatale Darmperforation durch intraluminale Obstruktion |
| KB86.Y | Sonstige näher bezeichnete postnatale Darmperforation |
| KB86.Z | Postnatale Darmperforation, nicht näher bezeichnet |
| ICD-11: Englisch • Deutsch (Entwurf) | |

Eine Mekoniumperitonitis entsteht, wenn es bei einem Kind vor der Geburt zu einer Darmperforation kommt und so Mekonium, also der Darminhalt des Ungeborenen, in die Bauchhöhle übertritt. Meist entwickelt sie sich während der zweiten Hälfte der Fetalperiode, kann aber auch selten nach der Geburt auftreten.
Häufigkeit
Die Häufigkeit wird mit 1 zu 35.000 Lebendgeburten angegeben.[1]
Ursachen
In 10–15 % liegt eine Mukoviszidose zugrunde, bei der das abnorme Mekonium den Dünndarm (in Höhe des Ileums) verlegt, die Darmwand bis zur Perforation aufweitet.
Weitere Ursachen sind:
- primäre Dünndarmatresie
- hochgradige Darmstenose
- Nekrose aufgrund einer Ischämie der Darmwand
- Perforation eines Meckel-Divertikels
- Volvulus
- Invagination
- Verwachsungen
- innere Hernien
- Morbus Hirschsprung
- Kolonatresie
Klinik
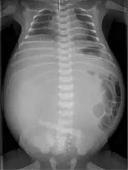
Da noch keine bakterielle Besiedlung des Darmes stattgefunden hat, ist die resultierende Entzündung der Bauchhöhle steril als Fremdkörperreaktion. Durch rasch einsetzende Kalkablagerung finden sich im Röntgenbild des Neugeborenen charakteristische zarte linienförmige Verkalkungen.
Es kann sich auch eine Pseudozyste ausbilden, die eine den Darm je nach Größe mehr oder weniger verdrängende Raumforderung abbildet. Wenn die Perforation bis nach der Geburt bestehen bleibt, kann auch Gas austreten und eine bakterielle Entzündung entstehen.
Klassifikation
Drei Typen können unterschieden werden:[2]
- Generalisierte Peritonitis
- Zystenbildung
- Ausbildung von Adhäsionen (Verwachsungen)
Diagnostik
Mittels Ultraschall kann in vielen Fällen bereits im Mutterleibe die Vermutungsdiagnose gestellt werden. Wegweisende Befunde sind Polyhydramnion, Darmschlingenerweiterung, Aszites oder Pseudozyste.[3]
Therapie und Verlauf
Die Perforationsstelle kann sich spontan verschließen, so dass nicht in allen Fällen ein operativer Eingriff erforderlich ist. Das Ausmaß der vorliegenden Entzündungsreaktion beeinflusst den Verlauf maßgeblich.[4]
Geschichte
Die erste Beschreibung der Erkrankung soll bereits im Jahre 1761 durch Giovanni Battista Morgagni erfolgt sein.[5]
Die typischen radiologischen Befunde wurden im Jahre 1944 von E. Neuhauser veröffentlicht.[6][1]
Einzelnachweise
- ↑ a b M. Bettex, N. Genton, M. Stockmann (Hrsg.): Kinderchirurgie. Diagnostik, Indikation, Therapie, Prognose. 2. Auflage, Thieme 1982, S. 7.61, ISBN 978-3-642-11330-7
- ↑ W. S. Lorimer, D. G. Ellis: Meconium peritonitis. In: Surgery. Bd. 60, Nr. 2, August 1966, S. 470–475, PMID 5920370.
- ↑ K. Uchida, Y. Koike, K. Matsushita, Y. Nagano, K. Hashimoto, K. Otake, M. Inoue, M. Kusunoki: Meconium peritonitis: Prenatal diagnosis of a rare entity and postnatal management. In: Intractable & rare diseases research. Bd. 4, Nr. 2, Mai 2015, S. 93–97, doi:10.5582/irdr.2015.01011, PMID 25984428, PMC 4428193 (freier Volltext).
- ↑ D. Möslinger, K. Chalubinski, M. Radner, M. Weninger, A. Rokitansky, G. Bernaschek, A. Pollak: [Meconium peritonitis: intrauterine follow-up–postnatal outcome]. In: Wiener klinische Wochenschrift. Bd. 107, Nr. 4, 1995, S. 141–145, PMID 7709630.
- ↑ Giovanni Battista Morgagni: De sedibus et causis morborum per anatomen indagatis. 1761 (archive.org).
- ↑ E. B. D. Neuhauser: The roentgendiagnosis of fetal moeconium peritonitis. In: American Journal of Roentgenology Bd. 51, 1944, S. 421
Quellen und Weblinks
- A. Zink und P. Sacher: Prä- und postnatale Bilddiagnostik der Mekoniumperitonitis; Chirurgische Klinik, Universitäts-Kinderspital Zürich Schweiz auf http://www.kinderchirurgie.ch/
- W. Schuster, D. Färber (Hrsg.): Kinderradiologie. Bildgebende Diagnostik. Springer 1996, Bd. 2, S. 546, ISBN 3-540-60224-0.