Megalocytivirus
| Megalocytivirus | ||||||||||||||||||
|---|---|---|---|---|---|---|---|---|---|---|---|---|---|---|---|---|---|---|
European chub iridovirus (ECIV) | ||||||||||||||||||
| Systematik | ||||||||||||||||||
| ||||||||||||||||||
| Taxonomische Merkmale | ||||||||||||||||||
| ||||||||||||||||||
| Wissenschaftlicher Name | ||||||||||||||||||
| Megalocytivirus | ||||||||||||||||||
| Links | ||||||||||||||||||
|

Megalocytivirus ist eine Gattung von Riesenviren (Nucleocytoviricota, NCLDVs) aus der Familie der Iridoviridae, Unterfamilie Alphairidovirinae.[2] Wie auch die beiden anderen Gattungen Lymphocystivirus und Ranavirus der Unterfamilie Alphairidovirinae können Viren der Gattung Megalocytivirus auch Echte Knochenfische (Teleostei) infizieren.[3]
Die Megalocytiviren sind wie die Ranaviren eine Gruppe eng verwandter dsDNA-Viren, deren Bedeutung immer mehr zunimmt. Sie verursachen systemische Erkrankungen bei einer Vielzahl von wilden und kultivierten Süß- und Salzwasserfischen. Wie bei Ranaviren sind Megalocytivirus-Ausbrüche in Aquakulturen von erheblicher wirtschaftlicher Bedeutung, da Tierseuchen zu beträchtlichem Verlust oder gar Massensterben von Zuchtfischen führen können.[4]
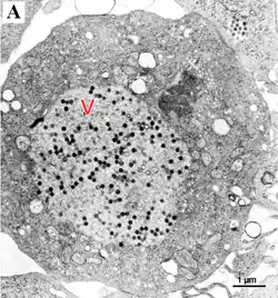
Die Infektion mit diesen Viren erzeugt ein charakteristisches Auftreten vergrößerter basophiler (im histologischen Schnitt mit basischen Farbstoffen anfärbbarer) Zellen in den infizierten Organen.
Aufbau
Die Virusteilchen (Virionen) der Megalocytiviren sind von ikosaedrischer Gestalt mit einem Durchmesser von 150 bis 250 nm. Das Genom ist unsegmentiert und besteht aus doppelsträngiger linearer DNA.[5]
Vermehrungszyklus
Es wird angenommen, dass sich Megalocytiviren auf die gleiche Weise wie andere Iridoviren replizieren: Sie haften sich an Rezeptoren der Wirtszelle an und treten dadurch per Endocytose in die Zelle ein.[6] Unbeschichtete Viruspartikel wandern anschließend in den Zellkern des Wirts, wo eine durch das Virus-Genom kodierte DNA-Polymerase die DNA-Replikation bewerkstelligt.[7] Die Virus-DNA verlässt dann den Zellkern und es beginnt die zweite Stufe der DNA-Replikation im Zytoplasma, wobei DNA-Concatemere gebildet werden.[7] Die konkatamerische Virus-DNA wird dann in infektiöse Virionen verpackt.[8] Das Genom von Ranavirus weist wie bei anderen Iridoviridae terminal redundante DNA auf[7]
Aufgrund der wirtschaftlichen Bedeutung der kommerziellen Fischerei und Aquakultur wurden erhebliche Anstrengungen unternommen, um die Übertragung und Epizoologie von Megalocytiviren zu verstehen.[3]
Es wird angenommen, dass die Übertragung des Megalocytivirus erfolgt, wenn ein nichts ahnender Fisch Gewebe von infizierten Fischen oder kontaminiertes Wasser aufnimmt.[4]
Es wird vermutet, dass etwa der Handel mit Larvenfischen in Korea und Japan die Ausbreitung des Virus befördern könnte. Ein weiterer möglicher Mechanismus für die unbeabsichtigte Verbringung infizierter Fische ist der internationale Handel mit Zier- oder Aquarienfischen, zu dem der weltweite Handel mit etwa 5000 Süßwasser- und 1450 Salzwasserfischen gehört.[3]
Krankheitsbild
Da Megalocytiviren erst vor relativ kurzer Zeit identifiziert und beschrieben wurden, ist die Pathogenese einer Megalocytivirus-Infektion noch relativ schlecht verstanden. Die mit einer Infektion verbundenen klinischen Symptome sind unspezifisch und können Appetitverlust, unkoordiniertes Schwimmen, Lethargie, Blähungen, Verfärbung der Haut, Petechien, Flossenerosion und schließlich der Tod sein.[4]
Bei der histopathologischen Untersuchung erkrankten Gewebes fallen große hypertrophierte Zellen auf, nach denen die Gattung benannt ist. Diese treten gewöhnlich in mehreren Organen auf, insbesondere in der Niere, der Milz und im Magen-Darm-Trakt, seltener in der Leber, den Kiemen, im Herz oder im Bindegewebe.[3] Die hypertrophierten Zellen sind häufig perivaskulär verteilt und aufgrund großer körniger bis schaumiger basophiler cytoplasmatischer Einschlusskörper stark vergrößert.[3] Wenn die aufgeblähten Zellen das Gefäßsystem verschließen, können in verschiedenen Organen fokale Bereiche ischämischer Nekrose auftreten.[3]
Einige Forscher haben vermutet, dass die hypertrophierten Zellen eine Art von Leukozyten sind, was zu ihrer Verteilung im Gewebe passt.[9]
Systematik
Die innere Systematik der Gattung Megalocytivirus ist mit Stand 30. April 2024 nach ICTV wie folgt:[10][11]
Familie: Iridoviridae
- Unterfamilie Alphairidovirinae
- Gattung Megalocytivirus
- Spezies Megalocytivirus lates1 mit Scale drop disease virus (SDDV)
- Spezies Megalocytivirus spagrus1 (ehem. Typusspezies) mit Infectious spleen and kidney necrosis virus (ISKV, ISKNV)
Dazu kommen folgende noch nicht klassifizierte Kandidaten:[12]
- Spezies „European chub iridovirus“ (ECIV)[13]
- Spezies „Giant seaperch iridovirus“ (GSIV-K1)[14]
- Spezies „Orange-spotted grouper iridovirus“ (alias „Epinephelus coioides iridovirus“, OSGIV)[15]
- Spezies „Red sea bream iridovirus“ (RSIV)[16][17][18]
- Spezies „Rock bream iridovirus“ (RBIV)[19]
- Spezies „South American cichlid iridovirus“ (SACIV)[20]
- Spezies „Turbot reddish body iridovirus“ (TRBIV)[21][22]
- Spezies „Three spot gourami iridovirus“ (TSGIV)[23]
Song et al. (2008) untersuchten 48 asiatische und australische Megalocytivirus-Isolate hinsichtlich ihrer geografischen Lage und genetischen Variation im Haupt-Capsid-Protein-Gen (englisch major capsid protein gene) und entwickelten einen Stammbaum, der die 48 Isolate basierend auf dem Genotyp in drei verschiedene Cluster aufteilte. Einer dieser Cluster (Genotyp I) ist weit verbreitet in mehreren asiatischen Ländern, darunter 13 Isolate aus Korea, neun Isolate aus Japan, eines aus Thailand, eines aus China und eines aus dem Südchinesischen Meer. Im Gegensatz dazu hatten die beiden anderen Genotypen einen kleineren Wirtsbereich und waren lokal verteilt. Megalocytiviren des Genotyps II infizierten Süßwasserfische aus Südostasien und Australien, während Megalocytiviren des Genotyps III hauptsächlich Plattfische in China und Korea infizierten.[5]
Einzelnachweise
- ↑ a b c d e ICTV: ICTV Taxonomy history: Frog virus 3, EC 51, Berlin, Germany, July 2019; Email ratification March 2020 (MSL #35)
- ↑ ICTV: Iridoviridae. In: ICTV Online (10th) Report. (englisch).
- ↑ a b c d e f RJ Whittington, JA Becker, MM Dennis: Iridovirus infections in finfish – critical review with emphasis on ranaviruses. In: Journal of Fish Diseases. 33. Jahrgang, Nr. 2, 2010, S. 95–122, doi:10.1111/j.1365-2761.2009.01110.x, PMID 20050967.
- ↑ a b c Yanong RPE, Waltzek TB: Megalocytivirus infections in fish, with emphasis on ornamental species, bei: University of Florida Institute of Food and Agricultural Sciences Extension (FA182) S. 1–7, 2010
- ↑ a b J. Y. Song, S. Kitamura, S. J. Jung, T. Miyadai, S. Tanaka, Y. Fukuda, S. R. Kim, M. J. Oh: Genetic variation and geographic distribution of megalocytiviruses. In: Journal of microbiology (Seoul, Korea). 46. Jahrgang, Nr. 1, 2008, S. 29–33, doi:10.1007/s12275-007-0184-6, PMID 18337689 (englisch).
- ↑ Eaton HE, Ring BA, Brunetti CR: The genomic diversity and phylogenetic relationship in the family Iridoviridae, in: Viruses. 2, 2010, S. 1458–1475.
- ↑ a b c R Goorha: Frog virus 3 DNA replication occurs in two stages. In: Journal of Virology. 43. Jahrgang, Nr. 2, 1982, S. 519–528, PMID 7109033, PMC 256155 (freier Volltext).
- ↑ Chinchar VG, Essbauer S, He JG, Hyatt A, Miyazaki T, Seligy V, Williams T: Family Iridoviridae S. 145–162, in: Fauquet CM, Mayo MA, Maniloff J, Desselburger U, Ball LA (Hrsg.): Virus Taxonomy, Eighth report of the International Committee on Taxonomy of Viruses, Academic Press, San Diego, USA 2005
- ↑ NS Lee, JW Do, JW Park, YC Kim: Characterization of virus distribution in Rock Bream (Oplegnathus fasciatus; Temminck and Schlegel) infected with megalocytivirus. In: Journal of Comparative Pathology. 141. Jahrgang, Nr. 1, 2009, S. 63–9, doi:10.1016/j.jcpa.2009.03.008, PMID 19477463.
- ↑ ICTV: Taxonomy Browser.
- ↑ ICTV: Virus Metadata Resource (VMR).
- ↑ Maya A. Halaly, Kuttichantran Subramaniam, Samantha A. Koda, Vsevolod L. Popov, David Stone, KeithWay, Thomas B. Waltzek: Characterization of a Novel Megalocytivirus Isolated from European Chub (Squalius cephalus), in: MDPI – Viruses 2019, 11, 440; doi:10.3390/v11050440, PDF
- ↑ NCBI: European chub iridovirus (species)
- ↑ NCBI: Giant seaperch iridovirus (species)
- ↑ NCBI: Orange-spotted grouper iridovirus (species)
- ↑ CABI: red sea bream iridoviral disease
- ↑ The Fish Site: Red Sea Bream Iridoviral Disease
- ↑ Yang Liu, Bich Ngoc Tran, Fan Wang, Puey Ounjai, Jinlu Wu, Choy L. Hew: Visualization of Assembly Intermediates and Budding Vacuoles of Singapore Grouper Iridovirus in Grouper Embryonic Cells, in: Sci Rep 6, 18696, 4, Januar 2016, doi:10.1038/srep18696
- ↑ NCBI: Rock bream iridovirus (species)
- ↑ NCBI: South American cichlid iridovirus (species)
- ↑ Qingli Zhang, Chenyin Shi, Jie Huang, Kuntong Jia, Xinhua Chen, Hong Liuc: Rapid diagnosis of turbot reddish body iridovirus in turbot using the loop-mediated isothermal amplification method, in: Journal of Virological Methods, Volume 158, Issues 1–2, Juni 2009, S. 18–23, doi:10.1016/j.jviromet.2009.01.008
- ↑ UniProt: Proteomes - Turbot reddish body iridovirus
- ↑ NCBI: Three spot gourami iridovirus (species)
