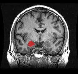
Amygdala


Die Amygdala oder der Mandelkern ist ein paariges Kerngebiet des Gehirns im zur Mitte gelegenen Teil des jeweiligen Temporallappens. Sie ist Teil des limbischen Systems. Der Name der Amygdala (fachsprachlicher Plural: Amygdalae) ist nach ihrem Aussehen aus lateinisch amygdala, dies aus altgriechisch ἀμυγδάλη ‚Mandel(kern)‘, geschöpft. Sie wird auch als Corpus amygdaloideum bezeichnet.
Die Amygdala ist an der Furchtkonditionierung beteiligt und spielt allgemein eine wichtige Rolle bei der emotionalen Bewertung und Wiedererkennung von Situationen sowie der Analyse möglicher Gefahren:[1] Sie verarbeitet externe Impulse und leitet die vegetativen Reaktionen dazu ein. Forschungsergebnisse aus dem Jahr 2004[2] belegen, dass die Amygdala bei der Wahrnehmung jeglicher Form von Erregung, also affekt- oder lustbetonter Empfindungen, unabdingbar und vielleicht am Sexualtrieb beteiligt ist. Die Amygdala ist wichtig für die Empfindung von Angst oder Furcht: Patienten mit Urbach-Wiethe-Syndrom, bei denen die Amygdalae beidseitig geschädigt sind, zeigen keine Furchtreaktionen, selbst in einer potenziell lebensbedrohlichen oder traumatischen Situation.[3] Als angstauslösender Reiz sind für diese Patienten bisher nur Erstickungsgefühle bekannt.[4]
Anatomische und funktionelle Gliederung der Amygdala

Man unterscheidet am Mandelkernkomplex drei unterschiedliche Gebiete: Zum einen die zentromediale Kerngruppe, unter anderem mit den Nuclei centralis und medialis – beides Abkömmlinge des Striatums. Dann der basolaterale Komplex, wobei hier die Kerne Nucleus lateralis, Nucleus basalis – der sich zusätzlich in einen kleinzelligen innenliegenden und einen großzelligen seitlichen Teil aufspaltet – und Nucleus basolateralis zu nennen wären. Und als drittes die kortikale Kerngruppe mit dem Nucleus corticalis.
Verschaltung der Amygdala
Die Amygdala besteht aus 13 Einzelkernen (die zum Teil noch in Untereinheiten gegliedert werden) und erhält über Faserverbindungen zahlreiche Informationen aus höheren Hirnzentren. Diese strukturelle Unterteilung der Amygdala in einzelne Kerne ist bei Säugetieren und Menschen mit verschiedenen Verbindungs- und Funktionsprofilen assoziiert.[5]
Der mediale Kern steht in Verbindung mit den olfaktorischen Kortexarealen, die für die Geruchswahrnehmung von Bedeutung sind. Die basolaterale Kerngruppe bezieht ihre Informationen vornehmlich aus der posterioren Kerngruppe des Thalamus (Nuclei posteriores). Dort werden wichtige Reflexe abgebildet, und aus fast allen sensorischen Kortexarealen treffen hier über Sinnesempfindungen wie Riechen, Schmecken, Sehen, Hören, Fühlen wichtige Informationen ein.
Bei einer Schreckreaktion reagiert ein Organismus auf einen überraschend wahrgenommenen potentiell bedrohlichen Reiz. Verantwortlich für diese Reaktion ist eine neuronale Verbindung zwischen dem Mandelkernkomplex, etwa dem Nucleus centralis, und den Basalganglien, welche die Amygdala an das motorische System anschließen.
Afferenzen
Im Unterschied zu den Afferenzen des Hypothalamus sind (bis auf eine Ausnahme) alle Afferenzen zur Amygdala stark vorverarbeitet, die Informationen wurden also bereits in sekundären visuellen, sensorischen und auditorischen Gebieten der Großhirnrinde verarbeitet bzw. thalamisch verschaltet. Die Afferenzen erreichen hauptsächlich den basolateralen Kernkomplex der Amygdala. Die Ausnahme bildet hier der Geruchssinn. Er gibt über den Bulbus olfactorius Kollateralen direkt ohne thalamische Umschaltung zur medialen Amygdala ab.
Efferenzen
Der zentrale Kern der Amygdala erhält den Großteil der Efferenzen des basolateralen Komplexes und sendet seinerseits Efferenzen an:
- den mittleren Hypothalamus zur Aktivierung des Sympathikus,
- den retikulären Kern (Formatio reticularis) zur Verstärkung von Reflexen,
- den Nucleus motorius des Nervus trigeminus und Nucleus motorius des Nervus facialis zum Auslösen von ängstlichen Gesichtsausdrücken,
- den Nucleus parabrachialis zur Stimulierung der Atmung,
- den Nucleus paraventricularis des Hypothalamus zur Stimulierung der ACTH-Ausschüttung in der Hypophyse (stress response, „Stressantwort“),
- den Nucleus dorsalis des Nervus vagus zur Beeinflussung des Magen-Darm-Trakts und
- den Locus caeruleus, den Nucleus tegmentalis lateralis dorsalis sowie die Area tegmentalis ventralis (VTA) zur Produktion der Neurotransmitter Acetylcholin, Adrenalin und Dopamin. Dies erhöht die Vigilanz und die Aufmerksamkeit.
Medizinische Bedeutung
Beim Menschen können vielfältige spezifische Erscheinungen und Symptome wie Gedächtnisstörungen, die Unfähigkeit der emotionalen Einschätzung von Situationen, Autismus, Depression, Narkolepsie, posttraumatische Belastungsstörungen und Phobien u. a. auf Fehlfunktionen der Amygdala hinweisen. Diese Störungen können durch Beschädigung, Entwicklungsprobleme oder ein Ungleichgewicht der Neurotransmitter bedingt sein oder aber im Gegenteil auch Folge situationsangemessenen Funktionierens der Amygdala sein. Die Amygdala verknüpft Ereignisse mit Emotionen und speichert diese. Mit der Zeit sinkt die Auslöseschwelle für die Bewertung von Reizen als gefährlich ab, es kommt zur Generalisierung. Hierbei ist die Amygdala übererregt. War ein Ereignis mit einer Gefahr, Schmerz oder Leid verbunden, können als ähnlich erachtete Situationen starke somatische Reaktionen (etwa Panik, Übelkeit, Apathie, Ohnmacht) auslösen, unabhängig davon, ob sie objektiv vergleichbar sind und sogar unabhängig davon, ob eine (bewusste) Erinnerung an das ursprüngliche Ereignis besteht. Daher taucht in diesem Bezug oft der Begriff Körpergedächtnis auf. Auslösende Situationen für dieses oftmals dramatische Wiedererleben werden Trigger (englisch für „Auslöser“) oder Restimulator genannt.


Die Konditionierung von Tieren, bestimmte „neutrale“ Reize mit Angst zu verbinden, verändert die in der Amygdala gespeicherten Informationen, wie Experimente von Joseph LeDoux und anderen Wissenschaftlern zeigten. Hierbei dient sie als einfache Pawlowsche Lernmaschine, die Aversionen mit neutralen Ereignissen verknüpft und damit hilft, auf die Umwelt zu reagieren. Ohne Amygdala verlieren Tiere die Fähigkeit zur Konditionierung auf Angst-Reize.
In Tierversuchen fiel auf, dass die elektrische Stimulation verschiedener Punkte in der Amygdala unterschiedlichste Reaktionen hervorrufen kann. Signale in den zentralen Kern führen zu Wut- oder Fluchtreaktionen. An anderen Stellen können vegetative Reaktionen, beispielsweise Erhöhung des Pulses, aber auch des Fressverhaltens und der Sexualität ausgelöst werden.
Primaten, deren Amygdala entfernt wurde, können Gegenstände sehen, ohne aber deren gefühlsmäßige Bedeutung zu erkennen. Zudem verlieren sie jegliche Aggression. Nachdem Heinrich Klüver und Paul Bucy dies 1937 entdeckten, wurde erwogen, solch einen Eingriff zur Behandlung von Kriminalität vorzunehmen (Psychopathieforschung).
Forschungsergebnisse aus dem Jahr 2009[6] zeigen, dass autistische Kinder schon im zweiten Lebensjahr eine vergrößerte Amygdala haben. Die Vergrößerung war auch noch im vierten Lebensjahr erhalten. Eine andere Studie aus 2022[7] zeigt, dass bereits im Alter von 12 Monaten eine Vergrößerung nachweisbar ist.
Das zumeist in Südafrika auftretende Urbach-Wiethe-Syndrom ist eine genetisch bedingte selektive Verkalkung der basolateralen Amygdala. Sie bewirkt eine mangelnde Vertrauens- und Misstrauensbildung.[8]
Forschungen an der Universität Wien stellten im Jahr 2015 bisherige Studien zu Erregungsmustern der Amygdala in Frage. Zuvor mittels funktioneller Magnetresonanztomografie generierte Daten, die man für Amygdala-Aktivitäten hielt, stellten wohl nur den Blutfluss in der Rosenthal-Vene dar.[9][10]
Literatur
- Eric R. Kandel, James H. Schwartz, Thomas M. Jessell: Principles of Neural Science. 4. Auflage. McGraw-Hill Medical, 2000, ISBN 0-8385-7701-6 (englisch).
- Purves et al.: Neuroscience Including Sylvius. 3. Auflage. Sinauer, 2004, ISBN 0-87893-725-0 (englisch).
- H. T. Blair, G. E. Schafe, E. P. Bauer, S. M. Rodrigues, J. E. LeDoux: Synaptic plasticity in the lateral amygdala. A cellular hypothesis of fear conditioning. In: Learn Mem. Band 8, 2001, S. 229–242 (englisch).
- Jürgen Stock: Das wäre doch gedacht! Wie wir uns aus der Falle eingefahrener Denkmuster befreien. Kösel-Verlag, München 2011, ISBN 978-3-466-30910-8, S. 27–32.
Weblinks
- Funktion der Amygdala – kurz und knapp. In: wissenschaft-online.de
- Wann Vernunft und Gefühl im Team arbeiten. In: wissenschaft.de
Einzelnachweise
- ↑ Patricia H. Janak, Kay M. Tye: From circuits to behaviour in the amygdala. In: Nature. Band 517, Nr. 7534, S. 284–292, doi:10.1038/nature14188, PMID 25592533, PMC 4565157 (freier Volltext) – (nature.com).
- ↑ Ralph Adolphs: Emotional vision. In: Nature Neuroscience. 7, 2004, S. 1167–1168, doi:10.1038/nn1104-1167.
- ↑ Justin S. Feinstein, R. Adolphs, A. Damasio, D. Tranel: The human amygdala and the induction and experience of fear. In: Current biology. Band 21, Nr. 1, 2011, S. 34–38.
- ↑ Justin S Feinstein, Colin Buzza, Rene Hurlemann, Robin L. Follmer, Nader S. Dahdaleh: Fear and panic in humans with bilateral amygdala damage. In: Nature Neuroscience. Band 16, Nr. 3, S. 270–272, doi:10.1038/nn.3323, PMID 23377128, PMC 3739474 (freier Volltext).
- ↑ D. Bzdok, A. Laird, K. Zilles, PT. Fox, S. Eickhoff: An investigation of the structural, connectional and functional sub-specialization in the human amygdala. Human Brain Mapping, 2012.
- ↑ M. W. Mosconi, H. Cody-Hazlett, M. D. Poe, G. Gerig, R. Gimpel-Smith, J. Piven: Longitudinal study of amygdala volume and joint attention in 2- to 4-year-old children with autism. In: Arch Gen Psychiatry. 2009; 66(5): S. 509–516, PMID 19414710.
- ↑ Mark D. Shen, Meghan R. Swanson, Jason J. Wolff, Jed T. Elison, Jessica B. Girault, Sun Hyung Kim, Rachel G. Smith, Michael M. Graves, Leigh Anne H. Weisenfeld, Lisa Flake, Leigh MacIntyre, Julia L. Gross, Catherine A. Burrows, Vladimir S. Fonov, D. Louis Collins, Alan C. Evans, Guido Gerig, Robert C. McKinstry, Juhi Pandey, Tanya St. John, Lonnie Zwaigenbaum, Annette M. Estes, Stephen R. Dager, Robert T. Schultz, Martin A. Styner, Kelly N. Botteron, Heather C. Hazlett, Joseph Piven: Subcortical Brain Development in Autism and Fragile X Syndrome: Evidence for Dynamic, Age- and Disorder-Specific Trajectories in Infancy. In: American Journal of Psychiatry. American Psychiatric Association Publishing, 25. März 2022, ISSN 0002-953X, doi:10.1176/appi.ajp.21090896.
- ↑ Lisa A. Rosenberger, Jack van Honk: The human basolateral amygdala is indispensable for social experiential learning. In: Current Biology. 2019. DOI:10.1016/j.cub.2019.08.078.
- ↑ fMRI measurements of amygdala activation are confounded by stimulus correlated signal fluctuation in nearby veins draining distant brain regions. Nature, 21. Mai 2015, abgerufen am 27. August 2015.
- ↑ Neuroforschung: Ein Fehler stellt Tausende Gehirnstudien infrage. Profil, 24. Juni 2015, abgerufen am 27. August 2015.