Lymphadenitis mesenterialis

Klassifikation nach ICD-10
A04.6 Enteritis durch Yersinia enterocolitica
I88.0 Unspezifische mesenteriale Lymphadenitis
{{{03-BEZEICHNUNG}}}
{{{04-BEZEICHNUNG}}}
{{{05-BEZEICHNUNG}}}
{{{06-BEZEICHNUNG}}}
{{{07-BEZEICHNUNG}}}
{{{08-BEZEICHNUNG}}}
{{{09-BEZEICHNUNG}}}
{{{10-BEZEICHNUNG}}}
{{{11-BEZEICHNUNG}}}
{{{12-BEZEICHNUNG}}}
{{{13-BEZEICHNUNG}}}
{{{14-BEZEICHNUNG}}}
{{{15-BEZEICHNUNG}}}
{{{16-BEZEICHNUNG}}}
{{{17-BEZEICHNUNG}}}
{{{18-BEZEICHNUNG}}}
{{{19-BEZEICHNUNG}}}
{{{20-BEZEICHNUNG}}}
Vorlage:Infobox ICD/Wartung {{{21BEZEICHNUNG}}}
ICD-10 online (WHO-Version 2019)
Ileozökalregion mit Lymphknoten

Die Lymphadenitis mesenterialis (Lymphadenitis mesenterica, Pseudoappendizitis, Maßhoff-Lymphadenitis oder Morbus Maßhoff (nach Willi Maßhoff, 1908–1975), Brennemann-Syndrom (nach Joseph Brennemann, 1872–1944)) ist eine Erkrankung des Kindesalters, bei der mesenteriale Lymphknoten der Ileozökalregion als Begleiterscheinung einer Entzündung des Ileums (Ileitis) anschwellen.

Erreger

Als Erreger der spezifischen mesenterialen Lymphadenitis kommen Yersinia enterocolitica und Yersinia pseudotuberculosis infrage (Yersiniose). Die unspezifische Lymphadenitis mesenterialis ist oft Begleitreaktion einer viralen Systeminfektion mit Adenoviren, Epstein-Barr-Virus, Cytomegalievirus oder Rotaviren.

Klinisches Bild und Diagnostik

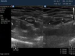
Vergrößerte Lymphknoten im rechten Unterbauch (Ultraschallbild)

Das klinische Bild ähnelt dem der Appendizitis („Blinddarmentzündung“), die – wie der Morbus Crohn – zu den Differentialdiagnosen der Lymphadenitis mesenterialis gehört. Neben Fieber und Druckschmerz im rechten Unterbauch finden sich oft auch ein auffälliger Befund in der Rektaluntersuchung und eine rektal-axilläre Temperaturdifferenz. Der spezifische Erregernachweis gelingt gelegentlich aus dem Stuhl oder durch Nachweis des Anstiegs der Antikörpertiter. Bei der unspezifischen Lymphadenitis mesenterialis findet sich häufig eine Mitbeteiligung anderer Lymphknotenstationen oder der Tonsillen. Mit hochauflösender Sonografie lassen sich die vergrößerten mesenterialen Lymphknoten oft darstellen.

Therapie und Komplikationen

Da die Erkrankung in der Regel selbstlimitierend verläuft, ist eine Behandlung meist nicht notwendig. Selten tritt eine Invagination als Komplikation auf, die dann gelegentlich einer operativen Behandlung bedarf. Die Gabe von Antibiotika wird nur bei verzögertem (protrahiertem) Verlauf der Lymphadenitis mesenterialis und bei immunsupprimierten Patienten empfohlen. Wenn unter dem Eindruck der Appendizitis eine Appendektomie durchgeführt wird, ist der Verlauf meist komplikationslos.

Literatur

  • M. Burdelski: Lymphadenitis mesenterialis. In: Karl-Heinz Niessen: Pädiatrie. Thieme, Stuttgart 2001, ISBN 3-13-113246-9. eingeschränkte Vorschau in der Google-Buchsuche