Lyell-Syndrom

Klassifikation nach ICD-10
L51.2 Toxische epidermale Nekrolyse
(Lyell-Syndrom)
L00 Staphylococcal scalded skin syndrome (SSS-Syndrom)
Dermatitis exfoliativa neonatorum (Ritter (-von-Rittershain))
Pemphigus acutus neonatorum
{{{03-BEZEICHNUNG}}}
{{{04-BEZEICHNUNG}}}
{{{05-BEZEICHNUNG}}}
{{{06-BEZEICHNUNG}}}
{{{07-BEZEICHNUNG}}}
{{{08-BEZEICHNUNG}}}
{{{09-BEZEICHNUNG}}}
{{{10-BEZEICHNUNG}}}
{{{11-BEZEICHNUNG}}}
{{{12-BEZEICHNUNG}}}
{{{13-BEZEICHNUNG}}}
{{{14-BEZEICHNUNG}}}
{{{15-BEZEICHNUNG}}}
{{{16-BEZEICHNUNG}}}
{{{17-BEZEICHNUNG}}}
{{{18-BEZEICHNUNG}}}
{{{19-BEZEICHNUNG}}}
{{{20-BEZEICHNUNG}}}
Vorlage:Infobox ICD/Wartung {{{21BEZEICHNUNG}}}
ICD-10 online (WHO-Version 2019)
Patient mit medikamentös induziertem Lyell-Syndrom

Das Lyell-Syndrom, auch als Epidermolysis acuta toxica oder Syndrom der verbrühten Haut bezeichnet, ist eine seltene, nach dem schottischen Dermatologen Alan Lyell benannte akute Hautveränderung, die durch blasige Ablösungen der Epidermis der Haut („Syndrom der verbrühten Haut“) gekennzeichnet ist.

Die Sterblichkeitsrate beträgt je nach Ausmaß der Schädigung zwischen 25 und 70 %.[1]

Es gibt zwei Formen des Lyell-Syndroms: das medikamentös induzierte Lyell-Syndrom (Toxische epidermale Nekrolyse, TEN) und das staphylogene Lyell-Syndrom (Staphylococcal scalded skin syndrome, SSSS).[1][2]

Epidemiologie

In Deutschland beträgt die Inzidenz für das Auftreten eines medikamentös induzierten Lyell-Syndroms 0,93 pro 1.000.000 Einwohner pro Jahr[3] und für ein staphylogenes Lyell-Syndrom zwischen 0,09 und 0,13 pro 1.000.000 Einwohner pro Jahr.[4] In Frankreich beträgt die Inzidenz für das medikamentös induzierte Lyell-Syndrom 1,2 pro 1.000.000 Einwohner pro Jahr[5] und für das staphylogene Lyell-Syndrom 0,56 pro 1.000.000 Einwohner pro Jahr.[6]

Das medikamentös induzierte Lyell-Syndrom (TEN)

Das medikamentös induzierte Lyell-Syndrom tritt als zytotoxische allergische Reaktion auf Medikamente insbesondere bei Erwachsenen, seltener bei Kindern auf. Aufgrund der sehr ähnlichen Klinik und Histopathologie kann die TEN als Maximalform des Stevens-Johnson-Syndroms angesehen werden.[7]

Folgende Medikamente gelten nach Angaben der Arzneimittelkommission der deutschen Ärzteschaft als mögliche Auslöser:[8]

Jüngere Studiendaten legen nahe, dass die Assoziation zwischen TEN und Sulfonamiden eher schwach ist und im Fall von Cotrimoxazol auf dessen Bestandteil Trimethoprim zu beruhen scheint.[9] Es sind mehrere Fälle beschrieben, in denen es unter der Behandlung mit Fluorchinolon-Antibiotika zu tödlichen Verläufen von TEN kam.[10][11][12][13][14][15][16][17][18] Diese betrafen auch Patienten ohne prädisponierende Risikofaktoren.[19][20][21][22] Als Ursache werden Interaktionen zwischen Fluorchinolonen und T-Zellen angenommen.[23] Allerdings ist zu beachten, dass schwere Hautreaktionen grundsätzlich auch bei der Einnahme vieler anderer Medikamente auftreten können. Bei langfristig einzunehmenden Medikamenten gilt in der Regel, dass das Risiko in den ersten zwei Monaten am höchsten ist.

Das staphylogene Lyell-Syndrom (SSSS)

Das staphylogene Lyell-Syndrom (Staphylococcal scalded skin syndrome) wird durch das Exotoxin Exfoliatin des Bakteriums Staphylococcus aureus der Phagengruppe II verursacht. Es betrifft hauptsächlich Säuglinge in den ersten drei Lebensmonaten. Häufig geht eine eitrige Infektion der Haut, der Bindehäute, eine eitrige Otitis oder eine Pharyngitis voraus. Bei Erwachsenen besteht eine Immunität durch neutralisierende Antikörper gegen das Exfoliatin. Immungeschwächte Erwachsene können jedoch auch erkranken.[1][2]

Klinisches Erscheinungsbild und Verlauf

Das medikamentös induzierte Lyell-Syndrom

Es kommt zunächst zu einer Prodromalphase mit Unwohlsein, Appetitlosigkeit, Rhinitis und Fieber.[24] Diese kann zwischen 2 und 21 Tagen andauern. Im Anschluss daran geht die Erkrankung in eine Akutphase über.[24] Bei anhaltendem Fieber kommt es zu großflächigen Erythemen. Es kommt zu einer großflächigen nekrosebedingten Ablösung der Epidermis. Das Nikolski-Zeichen ist positiv. Die Nekrosen können auch die Schleimhäute, insbesondere die Mundschleimhaut betreffen. Im Anschluss an die Akutphase folgt eine ein- bis zweiwöchige Reepithelisierungsphase.[24]

Mögliche Komplikationen sind Infektionen mit Sepsis, eine Leukopenie bis hin zu einer Agranulozytose oder Narbenbildungen in der Abheilungsphase.[24]

Das staphylogene Lyell-Syndrom

Es kommt initial zu Fieber und einem generalisierten Erythem.[25] Innerhalb von 24 Stunden bilden sich Blasen mit sterilem Inhalt. Das Nikolskizeichen ist positiv. Das staphylogene Lyell-Syndrom kann lokalisiert oder generalisiert am ganzen Körper auftreten.[25] Die Läsionen heilen in der Regel innerhalb von 14 Tagen ohne Narbenbildung ab.[25]

Diagnostik

Eine sofortige Hautbiopsie und Abstriche helfen die medikamentöse Form von der infektiösen Form abzugrenzen.[1] Differenzialdiagnostisch müssen eine großblasige Impetigo contagiosa, ein Stevens-Johnson-Syndrom sowie ein Scharlach-Exanthem bedacht werden.[2]

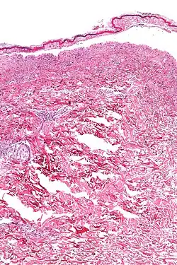
Histologie

Histologisches Präparat einer Hautnekrose wie sie bei einem TEN vorkommt.
Schematische Darstellung der gesunden Haut. Während es beim SSSS zu einer Spaltbildung zwischen dem Stratum corneum und dem Stratum granulosum kommt, löst sich beim TEN die gesamte Epidermis.

Histologisch zeigen sich beim medikamentös induzierten Lyell-Syndrom eine Spaltbildung und Abhebung der gesamten Epidermis, während sich beim staphylogen verursachten Lyell-Syndrom eine Abhebung des Stratum corneum vom Stratum granulosum zeigt.[26]

Bei der medikamentös induzierten Form zeigt sich histologisch eine subepidermale Blase mit einem oberflächlichen Infiltrat aus Lymphozyten und gelegentlich Granulozyten. Die gesamte Epidermis ist abgelöst und nekrotisch mit einem normalen korbgeflechtartigen Stratum corneum. Die Papillen der Dermis sind intakt. Vereinzelt finden sich Extravasate von Erythrozyten.[27]

Die staphylogene Form zeigt histologisch eine nur aus dem Stratum corneum der Haut bestehende Blasendecke, vereinzelt können sich hier Zellen aus dem Stratum granulosum finden. Es finden sich spärliche entzündliche Infiltrate, der Blaseninhalt ist steril.[27]

Differentialdiagnose

Abzugrenzen ist die Epidermolytische Ichthyose sowie das DRESS-Syndrom (Drug Rash with Eosinophilia and Systemic Symptoms).

Therapie

Es ist eine sofortige intensivmedizinische Überwachung und Therapie erforderlich. Die Patienten benötigen neben konstanter Raumtemperatur und Luftfeuchtigkeit eine Umkehrisolation, um Sekundärinfektionen zu vermeiden. Die symptomatische Therapie erfolgt analog zu großflächigen Verbrennungen. Beim medikamentös induzierten Lyell-Syndrom müssen sämtliche Arzneimittel umgehend abgesetzt werden. Ausgenommen hiervon sind nur absolut lebensnotwendige Medikamente. Eine systemische Gabe von Kortikoiden sowie eine Flüssigkeits- und Elektrolytgabe zum Ausgleich der Verluste sind erforderlich.[1] Das staphylogene Lyell-Syndrom wird mit β-Lactamase-stabilen Antibiotika behandelt. Kortikoide sind hier kontraindiziert. Die lokale Therapie der Läsionen erfolgt mit lokal antiseptischen Maßnahmen und chirurgischer Sanierung von Nekrosen und Infektionen.[1][2]

Bei der Lagerung von akut betroffenen Patienten gilt der Einsatz eines Air Fluidised Bettes als hilfreich.[28]

Einzelnachweise

  1. a b c d e f Sterry u. a.: Checkliste Dermatologie 2010 Georg Thieme Verlag ISBN 978-3-13-697006-5
  2. a b c d Reinhold u. a.: Notfälle in Dermatologie und Allergologie 2012 Georg Thieme Verlag KG ISBN 978-3-13-116932-7
  3. E. Schöpf, A. Stühmer, B. Rzany, N. Victor, R. Zentgraf, J. F. Kapp: Toxic epidermal necrolysis and Stevens-Johnson syndrome. An epidemiologic study from West Germany. In: Archives of Dermatology. Band 127, Nummer 6, Juni 1991, S. 839–842, ISSN 0003-987X. PMID 2036029.
  4. M. Mockenhaupt, M. Idzko, M. Grosber, E. Schöpf, J. Norgauer: Epidemiology of staphylococcal scalded skin syndrome in Germany. In: Journal of Investigative Dermatology. Band 124, Nummer 4, April 2005, S. 700–703, ISSN 0022-202X. doi:10.1111/j.0022-202X.2005.23642.x. PMID 15816826.
  5. J. C. Roujeau, J. C. Guillaume, J. P. Fabre, D. Penso, M. L. Fléchet, J. P. Girre: Toxic epidermal necrolysis (Lyell syndrome). Incidence and drug etiology in France, 1981–1985. In: Archives of dermatology. Band 126, Nummer 1, Januar 1990, S. 37–42, ISSN 0003-987X. PMID 2134982.
  6. V. Lamand, O. Dauwalder, A. Tristan, J. S. Casalegno, H. Meugnier, M. Bes, O. Dumitrescu, M. Croze, F. Vandenesch, J. Etienne, G. Lina: Epidemiological data of staphylococcal scalded skin syndrome in France from 1997 to 2007 and microbiological characteristics of Staphylococcus aureus associated strains. In: Clinical Microbiology and Infection. Band 18, Nummer 12, Dezember 2012, S. E514–E521, ISSN 1469-0691. doi:10.1111/1469-0691.12053. PMID 23078129.
  7. A. Meves: Intensivkurs Dermatologie. 1. Auflage, Urban & Fischer, München 2006, ISBN 978-3-437-41162-5.
  8. Arzneimittelkommission der deutschen Ärzteschaft. Arzneimittelinduzierte schwere Hautreaktionen. Deutsches Ärzteblatt 95, Heft 49, 4. Dezember 1998 (abgerufen am 28. November 2012)
  9. Antibiotic Drug Use and the Risk of Stevens-Johnson Syndrome and Toxic Epidermal Necrolysis: A Population-Based Case-Control Study. In: Journal of Investigative Dermatology. 19. Dezember 2017, ISSN 0022-202X, doi:10.1016/j.jid.2017.12.015 (sciencedirect.com [abgerufen am 6. April 2018]).
  10. TonyC.K. Tham, Grace Allen, Dorothy Hayes, Brendan Mcgrady, JamesG. Riddell: Possible association between toxic epidermal necrolysis and ciprofloxacin. In: The Lancet. Band 338, Nr. 8765, 24. August 1991, ISSN 0140-6736, doi:10.1016/0140-6736(91)90602-L.
  11. A. B. Yerasi, M. D. Oertel: Ciprofloxacin-induced toxic epidermal necrolysis. In: The Annals of Pharmacotherapy. Band 30, Nr. 3, März 1996, ISSN 1060-0280, S. 297, doi:10.1177/106002809603000317, PMID 8833569.
  12. Marc R. Matthews, Daniel M. Caruso, Bradley J. Phillips, Laura G. Csontos: Fulminant Toxic Epidermal Necrolysis Induced by Trovafloxacin. In: Archives of Internal Medicine. Band 159, Nr. 18, 11. Oktober 1999, ISSN 0003-9926 (jamanetwork.com [abgerufen am 6. April 2018]).
  13. S. L. Melde: Ofloxacin: a probable cause of toxic epidermal necrolysis. In: The Annals of Pharmacotherapy. Band 35, Nr. 11, November 2001, ISSN 1060-0280, S. 1388–1390, doi:10.1345/aph.1Z433, PMID 11724089.
  14. C Açikel, E Ülkür, B Çeliköz: Fatal ciprofloxacin-induced toxic epidermal necrolysis (Lyell syndrome): A case report and review of the literature. In: Marmara Medical Journal. Band 15, 1. Juli 2002, S. 189–193 (researchgate.net [abgerufen am 6. April 2018]).
  15. Bhaskar Mandal, Michael Steward, Sudhir Singh, Hywel Jones: Ciprofloxacin-induced toxic epidermal necrolysis (TEN) in a nonagerian: a case report. In: Age and Ageing. Band 33, Nr. 4, Juli 2004, ISSN 0002-0729, S. 405–406, doi:10.1093/ageing/afh088, PMID 15115708.
  16. Galicia Davila, Javier Ruiz-Hornillos, Patricia Rojas, Francisco De Castro, Jose M. Zubeldia: TOXIC EPIDERMAL NECROLYSIS INDUCED BY LEVOFLOXACIN. In: Annals of Allergy, Asthma & Immunology. Band 102, Nr. 5, 1. Mai 2009, ISSN 1081-1206, doi:10.1016/S1081-1206(10)60521-2.
  17. Bhandarkar Anoosha, Kop Priyadarshini, Pai Varadraj, Navin Patil: A REPORT OF FIVE CASES OF FLUOROQUINOLONE-INDUCED EPIDERMAL NECROLYSIS AT A TERTIARY CARE TEACHING HOSPITAL IN NORTHERN KARNATAKA. Band 3, 22. Juli 2014 (researchgate.net [abgerufen am 6. April 2018]).
  18. Jhanvi J. Vaghela, Vivek N. Nimbark, Bhavesh C. Chavda, Hita H. Mehta, Bhargav M. Purohit: A Rare Case Report of Toxic Epidermal Necrolysis due to Ofloxacin. In: Current Drug Safety. 2. März 2018, ISSN 2212-3911, doi:10.2174/1574886313666180302124012, PMID 29506464.
  19. C. A. Livasy, A. M. Kaplan: Ciprofloxacin-induced toxic epidermal necrolysis: a case report. In: Dermatology. Band 195, Nr. 2, 1997, ISSN 1018-8665, S. 173–175, doi:10.1159/000245726, PMID 9310730.
  20. Sarita Nori, Chris Nebesio, Ryan Brashear, Jeffrey B. Travers: Moxifloxacin-Associated Drug Hypersensitivity Syndrome With Toxic Epidermal Necrolysis and Fulminant Hepatic Failure. In: Archives of Dermatology. Band 140, Nr. 12, 1. Dezember 2004, ISSN 0003-987X, doi:10.1001/archderm.140.12.1537 (jamanetwork.com [abgerufen am 6. April 2018]).
  21. A F M Saiful Islam, Md Sayedur Rahman: Levofloxacin-Induced Fatal Toxic Epidermal Necrolysis. In: The Annals of pharmacotherapy. Band 39, 1. Juli 2005, S. 1136–7, doi:10.1345/aph.1E613 (researchgate.net [abgerufen am 6. April 2018]).
  22. Niti Mittal, Adesh Mishra, Prashant Urade, MC Gupta: Fatal case of ciprofloxacin induced Toxic epidermal necrolysis. In: International Journal of Basic & Clinical Pharmacology. 1. Januar 2014, S. 1, doi:10.5455/2319-2003.ijbcp20141208 (researchgate.net [abgerufen am 6. April 2018]).
  23. Maria Gloria Aversano, Jan Schroeder, Antonella Citterio, Joseph Scibilia, Chiara Gamba: Levofloxacin induced Stevens-Johnson syndrome / toxic epidermal necrolysis overlap syndrome: case reports. In: Clinical and Translational Allergy. Band 4, Nr. 3, 18. Juli 2014, ISSN 2045-7022, S. P91, doi:10.1186/2045-7022-4-S3-P91.
  24. a b c d Constantin E. Orfanos, Claus Garbe: Therapie der Hautkrankheiten 2002, Springer Verlag
  25. a b c Andreas Plettenberg, Helmut Schöfer, Wilhelm Meigel: Infektionskrankheiten der Haut: Grundlagen, Diagnostik und Therapiekonzepte für Dermatologen, Internisten und Pädiater 2010, Georg Thieme Verlag
  26. Antonio Cardesa, Thomas Mentzel, Pierre Rudolph, Pieter J. Slootweg: Pathologie: Kopf-Hals-Region, Weichgewebstumoren, Haut 2008 Springer Verlag
  27. a b Helmut Kerl, Claus Garbe, Lorenzo Cerroni, Helmut Wolff Histopathologie der Haut 2003, Springer Verlag
  28. I. Torres-Navarro, Á. Briz-Redón, & R. Botella-Estrada (2021): Systemic therapies for Stevens–Johnson Syndrome and Toxic Epidermal Necrolysis: a SCORTEN-based systematic review and meta-analysis. JEADV Vol. 35, Iss.1, January 2021, Pages 159–171. doi:10.1111/jdv.16685