Linsenluxation

Klassifikation nach ICD-10
H27.1 Luxation der Linse
{{{02-BEZEICHNUNG}}}
{{{03-BEZEICHNUNG}}}
{{{04-BEZEICHNUNG}}}
{{{05-BEZEICHNUNG}}}
{{{06-BEZEICHNUNG}}}
{{{07-BEZEICHNUNG}}}
{{{08-BEZEICHNUNG}}}
{{{09-BEZEICHNUNG}}}
{{{10-BEZEICHNUNG}}}
{{{11-BEZEICHNUNG}}}
{{{12-BEZEICHNUNG}}}
{{{13-BEZEICHNUNG}}}
{{{14-BEZEICHNUNG}}}
{{{15-BEZEICHNUNG}}}
{{{16-BEZEICHNUNG}}}
{{{17-BEZEICHNUNG}}}
{{{18-BEZEICHNUNG}}}
{{{19-BEZEICHNUNG}}}
{{{20-BEZEICHNUNG}}}
Vorlage:Infobox ICD/Wartung {{{21BEZEICHNUNG}}}
ICD-10 online (WHO-Version 2019)
Linsenluxation beim Menschen: Die Linse ist nach unten luxiert. Die normalerweise nicht sichtbaren Ziliarkörperfasern sind oben sichtbar.
Linsenluxation bei einer Katze. Die Linse ist als weißliches Gebilde im unteren Drittel des Auges erkennbar.

Die Linsenluxation (Luxatio lentis) oder Linsenektopie ist eine Verlagerung (Ektopie) der Augenlinse in die vordere Augenkammer oder in den Glaskörperraum. Dies kann teilweise (Subluxatio lentis) oder vollständig geschehen.

Entstehung

Bei einer traumatischen Linsenluxation verlässt die Linse auf Grund von Gewalteinwirkung ihren angestammten Platz. Sie kann bei Einriss der Lederhaut unter die Konjunktiva rutschen. Nach solch einem Trauma findet sich meist Blut im Auge – oft verbunden mit einem sekundären Glaukom.

Bei großen Augen mit hoher Kurzsichtigkeit, einem fortgeschrittenen grauen Star oder einem Tumor im Ziliarkörper kann eine Linsenluxation auch spontan auftreten.

Angeborene Linsenluxation (lat.: Ektopia lentis congenita) treten in der Regel beidseitig auf. Sie entstehen, weil die Zonulafasern zu schwach sind, um die Linse in Position zu halten. Das ist unter anderem der Fall beim Marfan-Syndrom und beim Ehlers-Danlos-Syndrom, sowie bei einigen erblichen Knochenfehlbildungen (Chondrodysplasia punctata[1]). Auch beim Weill-Marchesani-Syndrom, der Homocystinurie oder dem Walker-Dyson-Syndrom tritt eine Linsenluxation sehr früh auf. Siehe auch Ektopia lentis-Syndrom.

Symptome

Eine leichte, unvollständige Luxation kann beschwerdefrei bleiben. Ein höherer Astigmatismus ist jedoch die Regel. Bei größeren Verschiebungen bemerkt der Patient monokulare Doppelbilder, die auch nicht verschwinden, wenn das andere Auge geschlossen ist.

Diagnose

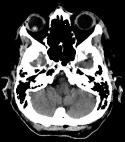
Traumatische Linsenluxation in der Computertomographie: Rechts (im Bild links) ist die röntgendichtere (im Bild hellere) Linse nach hinten in den Glaskörper verlagert. Links bestand bereits ein Zustand mit Kunstlinse, die in der Computertomographie hier nicht sichtbar ist.

Die Linse ist durch den fehlenden Zug der Zonulafasern verkleinert und abgerundet. Sie ist im Bezug auf die optische Achse und der Pupillenmitte nicht mehr zentriert. Bei Syndromen (Marfan oder Marchesani) kann sie nach oben verlagert sein, bei primärer Zonulainsuffizienz (insbesondere beim Pseudoexfoliationssyndrom) eher nach unten. Bei Fehlen von Zonulafasern z. B. durch Traumata (insbesondere typisch sind Kuhschwanzverletzungen) bestehen Zitterbewegungen (Phakodonesis). Wenn die Linse vollständig luxiert ist, besteht ein Aphakiestatus mit einer Hyperopie (bei normaler Augapfellänge zwischen 10 und 16 Dioptrien). Die Linse findet man dann im Glaskörperraum, seltener auch in der Vorderkammer.

Therapie

Bei Komplikationen oder bei unbefriedigender Korrekturmöglichkeit durch Brillen oder Kontaktlinsen wird die Linse entfernt und durch eine künstliche ersetzt. Dies gelingt jedoch nur bei wenig ausgeprägter Ektopie problemlos. Bei größeren Ektopien muss nach Entfernung der gesamten Linse eine künstliche Linse eingenäht werden (sklerafixierte IOL) oder irisgestützt enklaviert werden.

Komplikationen

Häufigere Komplikationen sind die Verschlechterung der Sehkraft und Sekundärglaukom, bei kompletter Luxation der Linse in den Glaskörperraum droht Netzhautablösung.

Linsenluxation bei Tieren

Bei einigen Hunderassen tritt eine Linsenluxation vermehrt auf. Das betrifft vor allem Terrier.[2][3]

Einzelnachweise

  1. A. Burk, R. Burk.: Checkliste Augenheilkunde. 4. Auflage. Syndrome, S. 521.
  2. Kirk N. Gelatt (Hrsg.): Veterinary Ophthalmology. 3. Auflage. Lippincott, Williams & Wilkins, 1999, ISBN 0-683-30076-8.
  3. Simon M. Petersen-Jones: Conditions of the Lens. In: Proceedings of the 28th World Congress of the World Small Animal Veterinary Association. 2003. (online auf: vin.com)