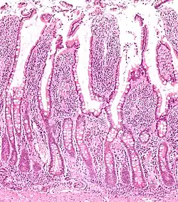
Lieberkühn-Krypten
Lieberkühn-Krypten (lat.: Glandulae intestinales), auch bekannt als Darmdrüsen, Lieberkühn-Drüsen sowie Cryptae intestinales, sind etwa 0,2 bis 0,4 mm tiefe schlauchförmige, teilweise verzweigte Einsenkungen des Epithels im Bereich der Schleimhaut des Dünn- und Dickdarms. Benannt wurden sie nach dem Berliner Arzt und Anatomen Johann Nathanael Lieberkühn (1711–1756).
Die Lieberkühnschen Krypten dienen der Oberflächenvergrößerung und Sekretion sowie nach neueren Erkenntnissen der Steuerung des Eisenhaushaltes im menschlichen Körper durch regulatorische Proteine. Entdeckt wurden sie 1688 von Marcello Malpighi, jedoch beschrieb sie Lieberkühn als Erster 1745 in seiner „Dissertatio de fabrica et actione villorum intestinorum tenuium hominis“.

Literatur
- M. Malpighi: De structura glandularum conglobatarum consimiliumque partium epistolae, London, 1689; Leyden, 1690.
- J. K. Brunner: Glandula duodeni, seu pancreas secundarium detectum, Frankfurt / Heidelberg, 1715.
- J. N. Lieberkühn: Dissertatio de fabrica et actione villorum intestinorum tenuium hominis, Leiden, C. & G. J. Wishof, 1745.