Lichen ruber planus

Klassifikation nach ICD-10
L43 Lichen ruber planus (Exkl. Lichen pilaris)
{{{02-BEZEICHNUNG}}}
{{{03-BEZEICHNUNG}}}
{{{04-BEZEICHNUNG}}}
{{{05-BEZEICHNUNG}}}
{{{06-BEZEICHNUNG}}}
{{{07-BEZEICHNUNG}}}
{{{08-BEZEICHNUNG}}}
{{{09-BEZEICHNUNG}}}
{{{10-BEZEICHNUNG}}}
{{{11-BEZEICHNUNG}}}
{{{12-BEZEICHNUNG}}}
{{{13-BEZEICHNUNG}}}
{{{14-BEZEICHNUNG}}}
{{{15-BEZEICHNUNG}}}
{{{16-BEZEICHNUNG}}}
{{{17-BEZEICHNUNG}}}
{{{18-BEZEICHNUNG}}}
{{{19-BEZEICHNUNG}}}
{{{20-BEZEICHNUNG}}}
Vorlage:Infobox ICD/Wartung {{{21BEZEICHNUNG}}}
ICD-10 online (WHO-Version 2019)
Klassifikation nach ICD-11
14 Krankheiten der Haut → Entzündliche Dermatosen → papulosquamöse Dermatosen
EA91 Lichen ruber planus
EA91.0 Akuter eruptiver Lichen planus
EA91.Y Sonstiger näher bezeichneter Lichen planus
ICD-11: EnglischDeutsch (Entwurf)

Der Lichen ruber planus (kurz: Lichen ruber oder Lichen planus, auch: Knötchenflechte) ist eine nicht ansteckende Hauterkrankung unklarer Ätiologie, die bevorzugt im höheren Erwachsenenalter auftritt. Die typischen Läsionen sind polygonale und flache, rötlich-violette Papeln oder Plaques, die zumeist an den Beugeseiten der Unterarme, den Streckseiten der Unterschenkel und über dem Kreuzbein auftreten und mit starkem Juckreiz einhergehen.

Neben dieser klassischen Form des Lichen planus existieren zahlreiche weitere Erscheinungsformen der Erkrankung, die sich auch an der behaarten Haut des Kopfes (Lichen planopilaris), den Fingernägeln (Lichen unguis) und den Schleimhäuten (Lichen mucosae) manifestieren können. Einige dieser Formen sind mit einem erhöhten Hautkrebsrisiko verbunden.

Die Krankheit verläuft – eventuell schubweise – über bis zu zwei Jahre, um dann abzuklingen. Zur Behandlung werden üblicherweise cortisonhaltige Cremes eingesetzt, um den Krankheitsverlauf zu verkürzen und Spätfolgen zu reduzieren.

Verbreitung

Angaben zur Prävalenz des Lichen planus in der Allgemeinbevölkerung schwanken zwischen unter 1 % und 5 %.[1] Frauen und Männer sind weitgehend gleich häufig betroffen, wobei sich in einigen Studien eine stärkere Häufung bei Frauen zeigte. Der Erkrankungsgipfel liegt im dritten bis zum sechsten Lebensjahrzehnt. Trotzdem können auch Kinder erkranken, hier sind Jungen ca. doppelt so häufig betroffen wie Mädchen.[2]

Ursache

Die Ursachen der Krankheit sind weitgehend unbekannt, verschiedene Faktoren werden diskutiert:

Genetik: seltene familiäre Fälle weisen auf eine genetische Veranlagung hin. Träger(innen) bestimmter, für die Steuerung der individuellen Immunantwort verantwortlicher Klasse II-HLA-Gene sind häufiger von der Krankheit betroffen als andere, wobei verschiedene HLA-Merkmale mit verschiedenen Varianten des Lichen planus assoziiert sind.[3]

Autoimmunität: das Entzündungsmuster weist auf einen Autoimmunmechanismus gegen Keratinozyten (hornbildende Zellen der Oberhaut) hin. Zudem besteht ein gehäuftes Auftreten des Lichen planus zusammen mit anderen Erkrankungen, die durch eine gestörte Immunantwort bedingt sind.[4]

Infektionskrankheiten: Infektionen z. B. mit Herpesviren[5] oder dem Hepatitis-C-Virus werden als Auslöser des Lichen planus diskutiert. Für das Hepatitis-C-Virus scheint dabei eine stärkere Assoziation mit einzelnen Varianten des Lichen planus zu bestehen, die zudem je nach Häufigkeit von HCV-Infektionen in bestimmten Regionen der Welt mehr oder weniger zum Tragen kommt.

Medikamente und andere Substanzen: bestimmte Medikamente stehen im Verdacht, die Erkrankung auszulösen. Einzelne Fälle eines Lichen planus nach Einwirkung von Toluol sind beschrieben.[6]

Krankheitsentstehung

Zytotoxische T-Lymphozyten wandern, angeregt durch die oben genannten Faktoren, in die Dermis (Lederhaut) ein. Hier verursachen sie eine Entzündungsreaktion, die zum Untergang von Keratinozyten in den unteren Zellschichten der Epidermis (Oberhaut) führt.

Klinisches Erscheinungsbild

Der klassische kutane Lichen planus verursacht polygonale und flache, gelegentlich zentral eingezogene, rötlich-violette Papeln oder Plaques. Diese treten gruppiert und eventuell konfluierend beidseits an den Beugeseiten der Handgelenke und Unterarme, den Streckseiten der Unterschenkel und Knöchel und in der Region über dem Kreuzbein auf. An ihrer Oberfläche zeigen die Papeln eine feine weiße streifige Zeichnung, genannt Wickham striae, die am besten bei der Untersuchung mit dem Dermatoskop zu sehen ist.

In den meisten Fällen gehen die Hautveränderungen mit starkem Juckreiz einher. Das Köbner-Phänomen ist positiv: neue Läsionen können durch Kratzen der Haut ausgelöst werden und entwickeln sich dann entlang der Kratzspur.

Die Erkrankung beginnt zumeist an den Gliedmaßen und breitet sich – eventuell schubweise – innerhalb von mehreren Monaten weiter aus, um nach bis zu zwei Jahren von selbst abzuklingen. Als Restzustand kann eine postinflammatorische Hyperpigmentierung (entzündlich bedingte vermehrte Pigmentierung) der Stellen zurückbleiben, an denen vorher die Hautveränderungen aufgetreten waren.

Weitere Erscheinungsformen

Zahlreichen Varianten des Lichen planus sind beschrieben, die sich vom klassischen Krankheitsbild jeweils in der klinischen Präsentation und zum Teil auch hinsichtlich der Verbreitung in der Bevölkerung unterscheiden. Sie können nach Konfiguration und Aussehen sowie Verteilungsmuster der Läsionen und nach der davon betroffener Struktur (Haut, Hautanhangsgebilde, Schleimhaut) gruppiert werden, wobei sich Überlappungen zwischen den Kategorien zeigen.

Konfiguration und Aussehen der Läsionen

Lichen ruber hypertrophicus (Lichen ruber verrucosus)

Insbesondere über den Schienbeinen und den Interphalangealgelenken (Zwischengliedergelenken) der Finger bilden sich stark pigmentierte, rötlich-violette oder rotbraune Läsionen mit Hyperkeratose (überschießender Verhornung) der Epidermis aus, die oft mit sehr starkem Juckreiz einhergehen. Diese Variante tritt gehäuft im Rahmen familiärer Erkrankungen auf[7] und macht ca. ein Viertel der Lichen planus-Fälle bei Kindern aus.[8] Der Verlauf ist oft chronisch, Vernarbungen und postinflammatorische Hyperpigmentierung sind relativ häufig. Zudem besteht für die Patienten ein erhöhtes Risiko, auf dem Boden der Erkrankung ein Plattenepithelkarzinom (weißen Hautkrebs) zu entwickeln.[9]

Ulzeröser Lichen planus

Bevorzugt an den Händen, Fingern, Fußsohlen und Zehen bilden sich ulzeröse (mit einem Defekt der Epidermis einhergehende) Läsionen aus. Weiterhin treten ulzeröse Läsionen im Rahmen eines Lichen planus mucosae auf. Auch diese Variante des Lichen planus kann mit einem erhöhten Risiko eines Plattenepithelkarzinoms verbunden sein.[10]

Vesikobullöser Lichen planus

Seltene Variante, bei der es durch Degeneration der Keratinozyten in der untersten Zelllage der Epidermis zur Ausbildung subepidermaler Blasen innerhalb typischer Hautläsionen kommt. Die klinische Symptomatik gilt als milder als beim klassischen Lichen planus. Die Abgrenzung zum Lichen planus pemphigoides ist mittels direkter und indirekter Immunfluoreszenz möglich.

Lichen planus atrophicus

Seltene Variante, die am ehesten das Spätstadium eines hypertrophischen Lichen planus darstellt. Es zeigen sich wenige gut umschriebene weißlich-blaue Plaques mit eingesunkenem Zentrum an Rumpf und unteren Gliedmaßen. Differentialdiagnostisch können die Läsionen schwer von einem Lichen sclerosus abzugrenzen sein.

Annulärer Lichen planus

Ebenfalls seltene Variante, bei der sich primär ringförmige Läsionen zeigen. Annuläre Läsionen mit atrophischem Zentrum finden sich im Rahmen eine Lichen planus mucosae an der Wangenschleimhaut oder den Schleimhäuten des männlichen Genitale.

Perforierender Lichen planus

Diese Variante ist histologisch (in der mikroskopischen Untersuchung von Gewebeproben aus den Hautläsionen) fassbar, wobei sich eine Ausschleusung hyaliner Körperchen durch die Epidermis zeigt.

Unsichtbarer Lichen planus

Ohne sichtbare Hautveränderungen leiden die Patienten unter Juckreiz. Die Untersuchung mit der Wood-Lampe oder anhand einer Gewebeprobe ergibt Lichen planus-typische Veränderungen.

Verteilungsmuster der Läsionen

Lokalisierter und generalisierter Lichen planus

Läsionen können lokalisiert in einem einzelnen Hautareal auftreten, wobei häufig Handgelenke, Unterschenkel und unterer Rücken betroffen sind. Bei der generalisierten Form besteht ein ausgedehnter Befall mehrerer Hautareale, in ca. zwei Drittel der Fälle mit Beteiligung der Mundschleimhaut.

Lichen planus linearis

Hautläsionen treten entlang einer Linie, z. B. entlang einer Kratzspur (Köbner-Phänomen) auf. Dieses auch als zosteriform bezeichnete Verteilungsmuster tritt z. B. im Rahmen eines lokalisierten Lichen planus und vor allem bei Kindern auf.

Lichen planus inversus

Hautveränderungen zeigen sich an dafür untypischen Stellen und intertriginös (in Arealen, in denen sich gegenüberliegende Hautflächen berühren).

Lichen planus exanthematicus

In ca. einem Drittel der Lichen planus-Fälle zeigt sich innerhalb von einer Woche ein ausschlagartiges Auftreten von Lichen planus-typischen Läsionen am ganzen Körper, die ihre maximale Ausbreitung nach zwei bis 16 Wochen erreichen.

Lichen planus pigmentosus (Erythema dyschronicum perstans)

Es zeigen sich scharf begrenzte und stark pigmentierte, violett-braune Papeln vor allem auf lichtexponierter Haut von Gesicht und Hals, aber auch eine inverse Form mit Befall der Beugen bzw. intertriginös ist möglich. Diese Variante tritt mit gleicher Geschlechterverteilung vor allem bei dunkelhäutigen Menschen in den Tropen auf. In einigen Fällen besteht Juckreiz, der Verlauf ist häufig schubweise.

Aktinischer Lichen planus

Diese im englischen Sprachraum auch als Summertime actinic lichenoid eruption oder Lichenoid melanodermatosis bezeichnete Form des Lichen planus betrifft die lichtexponierte Haut des Gesichts – insbesondere der seitlichen Stirn –, des Halses sowie der Handrücken und Unterarme. Vor allem im Frühjahr und im Sommer zeigen sich bläulich-braune, teils konfluierende annuläre (ringförmige) Läsionen mit eingesunkenem Zentrum und manchmal hypopigmentiertem (hellen) Randsaum, die mit geringem Juckreiz einhergehen. Das Köbner-Phänomen ist negativ. Diese Variante tritt häufiger im Nahen Osten und in Ägypten, bevorzugt im zweiten und dritten Lebensjahrzehnt auf. Frauen erkranken häufiger als Männer. Von einigen Autoren wird diese Form mit dem Lichen planus pigmentosus gleichgesetzt.

Betroffene Struktur

Der klassische Lichen planus der Haut kann Hautanhangsgebilde wie Haare, Nägel und Ausführungsgänge der Schweißdrüsen miteinbeziehen und auch hier zu charakteristischen Veränderungen führen. Sowohl im Rahmen eines generalisierten Lichen planus als auch ohne gleichzeitige Hautbeteiligung können Schleimhäute betroffen sein.

Lichen planopilaris

Diese Form des Lichen planus tritt auf behaarter Haut des Kopfes oder anderen Körperregionen auf und geht mit einer Beteiligung der Haarfollikel einher. Die Läsionen sind oft symptomlos, können aber auch jucken, schmerzen oder brennen. Der zumeist chronische Verlauf führt an der Kopfhaut zu einer vernarbenden Alopezie. Eine Sonderform ist das Graham-Little-Syndrom, weiterhin besteht Verwandtschaft mit der frontalen fibrosierenden Alopezie.

Lichen unguis

In ca. 10 % der Fälle geht der Lichen planus mit einer Beteiligung des Nagelapparates einher[11], insbesondere im Rahmen eines ulzerösen Lichen planus, der sich häufig an den Händen und Füßen manifestiert. Es kommt zur Ausbildung von Längsrillen oder zur Ausdünnung der Nagelplatte, zum Splittern der Nagelenden oder zur Pterygiumbildung. Subungale (unter dem Nagel gelegene) Hyperkeratosen und ein Verlust des Nagels sind eher selten. Der Verlauf ist häufig chronisch-rezidivierend.

Lichen planoporitis

Hautläsionen treten in Assoziation mit den Akrosyringien (Ausführungsgängen der Schweißdrüsen) auf. Diese Variante ist eher histologisch fassbar, evtl. zeigt sich eine begleitende Plattenepithelmetaplasie des Gangepithels.[12]

Lichen planus mucosae

Schleimhautmanifestationen des Lichen planus treten am häufigsten in der Mundhöhle (oraler Lichen planus) oder im Genitalbereich (Lichen planus genitalis) auf. Hier zeigen sich netzartige weiße, im Genitalbereich auch annuläre oder bullöse Läsionen. Auch die Schleimhäute der Speiseröhre, des Nasenrachenraumes, der Augen und Ohren, der unteren Harnwege und des Analbereiches können betroffen sein.

Überlappungssyndrome

Lichen planus pemphigoides

Diese seltene Variante gilt als kombiniertes Krankheitsbild: Patienten, die einerseits Lichen planus-typische Läsionen aufweisen, entwickeln an anderer Stelle große, pralle Blasen in normaler oder erythematöser Haut, wie sie für das bullöse Pemphigoid typisch sind. Die Läsionen weisen klinisch, histologisch und immunologisch jeweils für das eine oder das andere Krankheitsbild charakteristische Merkmale auf. Die Unterscheidung zum vesikobullösen Lichen planus, bei dem kleinere Blasen innerhalb Lichen planus-typischer Papeln auftreten, kann unter Umständen nur mittels Immunfluoreszenz möglich sein[4].

Komplikationen

Neben dem häufig starken Juckreiz und den insbesondere bei dunkelhäutigen Patienten nach Abheilung der Läsionen auftretenden Pigmentstörungen kann es zur Vernarbung der betroffenen Hautareale kommen. An der Kopfhaut führt dies zum Verlust der Haare, bei Beteiligung des Nagelapparates unter Umständen zum Verlust des betroffenen Finger- oder Zehennagels. Einige Formen des Lichen planus gehen mit einem erhöhten Risiko für ein Plattenepithelkarzinom einher[4].

Diagnose

Die Diagnostik umfasst neben der Anamnese (Erhebung der Krankengeschichte) eine klinische Untersuchung, wobei auch Manifestationen in der Mundhöhle und im Genitalbereich erfragt und untersucht werden sollten.

Bei der Untersuchung mit dem Dermatoskop zeigen sich, am besten nach Applikation von Öl oder Wasser, an der Oberfläche der Läsionen feinen weiße Wickham striae auf rötlichem Grund und Blutgefäße im Randbereich der Läsionen.[13]

Lässt sich die Diagnose nicht klinisch sichern, kann eine Biopsie (Gewebeprobe) aus auffälliger Haut zur Untersuchung unter dem Mikroskop entnommen werden. Speziell im Falle erosiver oder ulzeröser (mit einem Substanzdefekt der Epidermis einhergehender) Läsionen wird die Probenentnahme aus deren Randbereich empfohlen, um beurteilbare Anteile der Epidermis zu erfassen und das Risiko einer ulzerös-entzündlichen Überlagerung der krankheitsspezifischen histomorphologischen Merkmale des Lichen planus zu minimieren. Auch im Falle dauerhaft und insbesondere unter Therapie weiterbestehender Läsionen sollte eine bioptische Untersuchung erfolgen. Wird eine zweite Gewebeprobe aus läsionaler Haut entnommen und unfixiert ins Labor geschickt, kann diese mittels direkter Immunfluoreszenz untersucht werden. Die Untersuchungsmethode kommt in der Standarddiagnostik des Lichen planus nicht zum Einsatz, kann aber im Falle vesikobullöser Läsionen die Differentialdiagnose zu anderen blasenbildenden Hauterkrankungen erleichtern.

Bei entsprechendem klinischen Verdacht, z. B. aufgrund von Schluckbeschwerden, sollte eine endoskopische Untersuchung zur Frage einer Beteiligung der Speiseröhre erfolgen. Bei Patienten aus Regionen mit hoher HCV-Prävalenz kann außerdem ein HCV-Test durchgeführt werden[4].

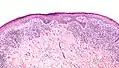
Pathologie

Histologisch zeigen sich eine Hypertrophie (Gewebszunahme) oder Atrophie (Gewebsschwund) der Epidermis mit häufig als sägezahnartig beschriebener Akanthose. Insbesondere beim hypertrophen Lichen planus besteht eine Hyperkeratose. Charakteristisch ist eine zumeist um die Akosyringien zentrierte keilförmige Hypergranulose (Verbreiterung des Stratum granulosum der Epidermis), das histologische Korrelat der klinisch sichtbaren Wickham striae. In der untersten Zelllage der Epidermis zeigen sich eine vakuoläre Degeneration der Keratinozyten und Keratinozytennekrosen (engl. Civatte bodies), die bei starker Ausprägung zur Bildung histologisch sichtbarer subepidermaler Spalträume (engl. Max Joseph spaces) und – wie im Falle eines vesikobullösen Lichen planus – klinisch sichtbarer Blasen führen können. In der oberen Dermis (Lederhaut) besteht ein bandartiges, hauptsächlich aus Lymphozyten zusammengesetztes Entzündungszellinfiltrat, das die dermoepidermale Grenze überlagern kann. Dazwischen finden sich zahlreiche Melanophagen (Fresszellen, die aus den nekrotischen Keratinozyten freigesetztes Melaninpigment aufgenommen haben). Zusätzlich können Erosionen oder Ulzerationen (Defekte der Epidermis) bestehen[14].

In der direkten Immunfluoreszenz zeigt der Lichen planus ein relativ charakteristisches Bild mit subepidermalen Ablagerungen von Fibrinogen und Markierung rundlicher nekrotischer Keratinozyten vor allem auf IgM, aber auch auf IgG, IgA und C3[15].

Behandlung

Therapieziel sind die Verkürzung der Zeit der Erkrankung, Kontrolle des Juckreizes und die Minimierung von Komplikationen. Dabei sollte die Behandlung der Schwere der Erkrankung angemessen und so nebenwirkungsarm wie möglich sein.

Kutaner Lichen planus

Als First Line Therapie wird Cortison (hochwirksame Glucocorticoide, z. B. Mometason) als Creme oder lokale Injektion empfohlen. Bei Therapieresistenz kann eine systemische Glucokortikoidtherapie oral (als Tablette) oder als intramuskuläre Injektion versucht werden. Atrophische Läsionen sollten gegebenenfalls von Anfang an und dann möglichst früh systemisch behandelt werden. Weitere Möglichkeiten bestehen in der Gabe von Retinoiden oder Ciclosporin. Zur Linderung des Juckreizes können topische Juckreizstiller wie Menthol, Kampfer oder Doxepin, gegebenenfalls auch Antihistaminika in Tablettenform eingesetzt werden.

Als Second Line-Therapie werden topische Calcineurin-Inhibitoren (Tacrolimus, Pimecrolimus), Sulfasalazin, die PUVA-Photochemotherapie oder die Phototherapie mit UV-B-Strahlen vorgeschlagen, wobei im Speziellen eine Therapie mit UV-Strahlen ihrerseits das Risiko eines Plattenepithelkarzinoms steigert.

Als Third Line-Therapie erwogen werden können Calcipotriol (topisch), Metronidazol, Trimethoprim, Hydroxychloroquin, Itraconazol, Terbinafin, Griseofulvin, Tetracyclin, Doxycyclin, Mycophenolat-Mofetil, Azathioprin, niedermolekulares Heparin, die photodynamische Therapie, Behandlung mit dem YAG-Laser und Apremilast[4].

Bei genitalem Lichen planus bei Männern kann eine Zirkumzision, gegebenenfalls nach einem initialen Therapieversuch mit Glukokortikoiden, erwogen werden.[16][17][18]

Patienten sollten für das erhöhte Risiko eines Plattenepithelkarzinoms inklusive der dafür typischen Anzeichen sensibilisiert werden, diesbezüglich sollten regelmäßige Vorsorgeuntersuchungen erfolgen.

Lichen unguis

Der Lichen planus der Nägel gilt als schwierig zu behandeln, eine Heilung kann in ca. 50 % der Fälle erreicht werden. Die Therapie sollte früh im Krankheitsverlauf einsetzen, um irreversible Schäden zu vermeiden. Als First Line-Therapie gelten topische Glukokortikoide unter Okklusivverband (luftdichter Folienverband) oder als lokale Injektion, wobei das letztgenannte Verfahren schmerzhaft ist. Speziell wenn mehrere Nägel befallen sind, können Glukokortikoide oral gegeben werden. Alternativ können Tacrolimus (topisch), Retinoide, Chloroquin, Ciclosporin, Fluoruracil, Biotin und Etanercept versucht werden[4].

Literatur

  • D. Ioannides, E. Vakirlis et al.: EDF S1 Guidelines on the management of Lichen Planus. (PDF) In: European Dermatology Forum. Abgerufen am 10. Februar 2020 (englisch).
  • Konrad Bork, Walter Burgdorf, Nikolaus Hoede: Mundschleimhaut- und Lippenkrankheiten: Klinik, Diagnostik und Therapie. Atlas und Handbuch. Schattauer, 2008, ISBN 978-3-7945-2486-0, Kapitel 22: Lichen ruber planus, S. 74–83, google.book
  • SK. Edwards: European guideline for the management of balanoposthitis. In: Int JSTD AIDS, 2001, 12(Suppl. 3), S. 68–72.
  • Rajani Katta: Diagnosis and Treatment of Lichen Planus. In: Am Fam Physician., 1. Juni 2000, 61(11), S. 3319–3324, aafp.org
  • G Kirtschig, SH Wakelin, F. Wojnarowska: Mucosal vulval lichen planus: outcome, clinical and laboratory features. In: Journal of the European Academy of Dermatology and Venereology, 2005, 19(3), S. 301–307.
  • Laurence Le Cleach, Olivier Chosidow: Clinical practice: Lichen Planus. In: New England Journal of Medicine, 366:8, 23. Februar 2012, S. 723–732.
  • G. Wagner, C. Rose, M. M. Sachse: Clinical variants of lichen planus. In: Journal der Deutschen Dermatologischen Gesellschaft, 2013, doi:10.1111/ddg.12031
  • Alberto Rosenblatt, Homero Gustavo Campos Guidi, Walter Belda: Male Genital Lesions: The Urological Perspective. Springer-Verlag, 2013, ISBN 3-642-29016-7 Google Books S. 93–95
  • Hywel Williams, Michael Bigby, Thomas Diepgen, Andrew Herxheimer, Luigi Naldi, Berthold Rzany: Evidence-Based Dermatology. John Wiley & Sons, Kapitel 22: Lichen planus, S. 189 ff., 744 Seiten.
  • S. Regauer: Vulväre und penile Karzinogenese: Transformierende HPV-High-risk-Infektionen und Dermatosen (Lichen sclerosus und Lichen planus). In: Journal für Urologie und Urogynäkologie, 2012, 19 (2), S. 22–25
  • Libby Edwards, Peter J. Lynch: Genital Dermatology Atlas. Lippincott Williams and Wilkins, 2010, ISBN 978-1-60831-079-1, 384 S.

Einzelnachweise

  1. G. O. Alabi, J. B. Akinsanya: Lichen planus in tropical Africa. In: Tropical and Geographical Medicine. Band 33, Nr. 2, Juni 1981, ISSN 0041-3232, S. 143–147, PMID 7281214.
  2. Sanjeev Handa, Bijaylaxmi Sahoo: Childhood lichen planus: a study of 87 cases. In: International Journal of Dermatology. Band 41, Nr. 7, Juli 2002, ISSN 0011-9059, S. 423–427, doi:10.1046/j.1365-4362.2002.01522.x, PMID 12121559.
  3. M. R. Pittelkow, M. S. Daoud: Lichen planus. In: G. K. Wolff,L. Goldsmith, S. Katz, B. Gilchrest, A.Paller (Hrsg.): Fitzpatrick's Dermatology in general medicine. 7. Auflage. Mc-Graw-Hill, New York 2008, S. 244–255.
  4. a b c d e f D. Ioannides, E. Vakirlis et al.: EDF S1 Guidelines on the management of Lichen Planus. (PDF) In: European Dermatology Forum. Abgerufen am 10. Februar 2020 (englisch).
  5. Yalda Nahidi, Naser Tayyebi Meibodi, Kiarash Ghazvini, Habibollah Esmaily, Maryam Esmaeelzadeh: Association of classic lichen planus with human herpesvirus-7 infection. In: International Journal of Dermatology. Band 56, Nr. 1, Januar 2017, S. 49–53, doi:10.1111/ijd.13416 (wiley.com [abgerufen am 10. Februar 2020]).
  6. B. Tas, S. Altinay: Toluene induced exanthematous lichen planus: Report of two cases. In: Global dermatology. ISSN 2056-7863, doi:10.15761/GOD.1000110.
  7. J. M. Mahood: Familial lichen planus. A report of nine cases from four families with a brief review of the literature. In: Archives of Dermatology. Band 119, Nr. 4, April 1983, ISSN 0003-987X, S. 292–294, doi:10.1001/archderm.119.4.292, PMID 6838234.
  8. Sanjeev Handa, Bijaylaxmi Sahoo: Childhood lichen planus: a study of 87 cases. In: International Journal of Dermatology. Band 41, Nr. 7, Juli 2002, ISSN 0011-9059, S. 423–427, doi:10.1046/j.1365-4362.2002.01522.x, PMID 12121559.
  9. Thomas J. Knackstedt, Lindsey K. Collins, Zhongze Li, Shaofeng Yan, Faramarz H. Samie: Squamous Cell Carcinoma Arising in Hypertrophic Lichen Planus: A Review and Analysis of 38 Cases. In: Dermatologic Surgery: Official Publication for American Society for Dermatologic Surgery [et Al.] Band 41, Nr. 12, Dezember 2015, ISSN 1524-4725, S. 1411–1418, doi:10.1097/DSS.0000000000000565, PMID 26551772.
  10. B.K. Thakur, S. Verma, V. Raphael: Verrucous carcinoma developing in a long standing case of ulcerative lichen planus of sole: a rare case report. In: Journal of the European Academy of Dermatology and Venereology. Band 29, Nr. 2, Februar 2015, S. 399–401, doi:10.1111/jdv.12406 (wiley.com [abgerufen am 15. Februar 2020]).
  11. Eduardo Calonje, Thomas Brenn, Alexander Lazar, Steven D. Billings: McKee's pathology of the skin with clinical correlations. Fifth edition Auflage. ohne Ort, ISBN 978-0-7020-7552-0, S. 242.
  12. Steven Kossard, Stephen Lee: Lichen planoporitis: keratosis lichenoides chronica revisited. In: Journal of Cutaneous Pathology. Band 25, Nr. 4, April 1998, ISSN 0303-6987, S. 222–227, doi:10.1111/j.1600-0560.1998.tb01723.x (wiley.com [abgerufen am 15. Februar 2020]).
  13. A. Lallas, A. Kyrgidis, T. G. Tzellos, Z. Apalla, E. Karakyriou: Accuracy of dermoscopic criteria for the diagnosis of psoriasis, dermatitis, lichen planus and pityriasis rosea. In: The British Journal of Dermatology. Band 166, Nr. 6, Juni 2012, ISSN 1365-2133, S. 1198–1205, doi:10.1111/j.1365-2133.2012.10868.x, PMID 22296226.
  14. Strutton, Geoffrey., Rubin, Adam I., Weedon, David.: Weedon's skin pathology. 3rd ed Auflage. Churchill Livingstone/Elsevier, [Edinburgh] 2010, ISBN 978-0-7020-3485-5, S. 36–45.
  15. Eduardo Calonje, Thomas Brenn, Alexander Lazar, Steven D. Billings: McKee's pathology of the skin with clinical correlations. Fifth edition Auflage. [Edinburgh, Scotland?], ISBN 978-0-7020-7552-0, S. 250.
  16. Edwards, Lynch 2010
  17. Laurence Le Cleach, Olivier Chosidow: In: N Engl J Med, 366, 23. Februar 2012, S. 723–732
  18. Rosenblatt et al., 2013