Leberhämangiom
| Klassifikation nach ICD-10 | |
|---|---|
| D18.03 | Hämangiom : Hepatobiliäres System und Pankreas |
| ICD-10 online (WHO-Version 2019) | |
Ein Leberhämangiom ist ein gutartiger Tumor der Leber. Mit einer Prävalenz von bis zu 20 % in der allgemeinen Bevölkerung ist er die häufigste Neoplasie der Leber und ein häufiger Zufallsbefund in der Sonographie des Abdomens.[1] Beschwerden sind selten, können aber bei zunehmender Größe des Befundes auftreten. Ab einem Durchmesser von ca. 5 cm (nach anderen Quellen: ab 10 cm) spricht man von einem Riesenhämangiom.
Pathologie
Es werden drei Typen von Leberhämangiomen unterschieden. Kapilläre Hämangiome (Typ 1) sind normalerweise klein (1–2 cm). Kavernöse Hämangiome (Typ 2) sind meist größer und erscheinen gelappt. Die sogenannten Riesenhämangiome gehören meistens dem Typ 3 an, der durch vernarbte oder thrombosierte Areale gekennzeichnet ist.[1]
Diagnostik

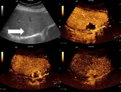
In den meisten Fällen werden Leberhämangiome im Rahmen einer Abdomensonographie diagnostiziert, oft als Zufallsbefund. Sie stellen sich dort als rundliche bis ovale, scharf begrenzte, echoreiche Strukturen dar. In der Duplexsonographie kann mitunter ein zuführendes Gefäß dargestellt werden.[1] Eine sichere Diagnose kann mittels Kontrastmittelsonographie erreicht werden: hier zeigt sich eine zentripetale Füllung (von außen nach innen) des Hämangioms mit Kontrastmittel.[2] Im deutschen Sprachraum wird dies auch als Irisblendenphänomen bezeichnet. Ebenso ist eine Diagnose mittels CT oder MRT möglich.
Therapie
In der Regel ist keine Therapie erforderlich. Lediglich in Ausnahmefällen wie rascher Größenzunahme, Schmerzen oder Verdrängung von Nachbarorganen kann eine Behandlung, z. B. in Form einer chirurgischen Resektion, erforderlich sein.[3]
Belege
- ↑ a b c S. Baroud, N. Bastati, H. Prosch, W. Schima, A. Ba-Ssalamah: Benigne fokale Leberläsionen. In: Der Radiologe. Band 51, Nr. 8, 3. August 2011, S. 688, doi:10.1007/s00117-010-2127-1.
- ↑ Mirko D'Onofrio, Stefano Crosara, Riccardo De Robertis, Stefano Canestrini, Roberto Pozzi Mucelli: Contrast-Enhanced Ultrasound of Focal Liver Lesions. In: American Journal of Roentgenology. Band 205, Nr. 1, 23. Juni 2015, S. W56–W66, doi:10.2214/AJR.14.14203.
- ↑ H.-J. Gassel, I. Klein, U. Steger, M. Simon, A. Thiede: Das kavernöse Leberhämangiom: Rationale Diagnostik und therapeutisches Vorgehen. In: Viszeralchirurgie. Band 40, Nr. 1, 1. Februar 2005, S. 37–44, doi:10.1055/s-2005-836314.