Kongenitale Radiuskopfluxation
| Klassifikation nach ICD-10 | |
|---|---|
| Q68.8 | Sonstige näher bezeichnete angeborene Muskel-Skelett-Deformitäten |
| ICD-10 online (WHO-Version 2019) | |

Die Kongenitale Radiuskopfluxation (auch Kongenitale Ellenbogendislokation; englisch Congenital radial head dislocation; Congenital elbow dislocation) ist die häufigste angeborene Fehlbildung des Ellbogengelenkes und bezeichnet eine Ausrenkungsstellung des Radiuskopfes.[1]
Die Erstbeschreibung erfolgte wohl durch Guillaume Dupuytren und Loir im Jahre 1830.[2] Im englischen Sprachraum wird die Veröffentlichung von Smith (1852) als Erstbeschreibung bezeichnet.[3]
Die Erkrankung ist nicht zu verwechseln mit der Radiuskopf-Subluxation (Pronatio).
Verbreitung
Die Häufigkeit wird mit 2 – 4 zu 1.000 angegeben, das männliche Geschlecht ist häufiger betroffen.[4] Sie gilt als seltener als übersehene Monteggia-Läsionen.[1]
Ursache
Die Ätiologie ist noch nicht geklärt, es wird ein autosomal-dominanter Erbgang insbesondere bei der dorsalen Luxation vermutet.[4]
Pathologie
Es liegt eine Fehlentwicklung des Ellenbogens vor mit Abflachung des Capitulum humeri, Deformierung und Luxation des Radiuskopfes sowie Bewegungseinschränkung des Ellenbogengelenks.
Die Luxation erfolgt meist nach dorsal. Vermutlich liegt die ursprüngliche Störung an der Ausbildung des Capitulum humeri mit konsekutiver Fehlanlage des humero-radialen Gelenkes.[5][4]
Fehlbildungen und Systemerkrankungen mit Radiuskopfluxation
- Arthrogryposis multiplex congenita
- Dysostosen, u. a. Kleidokraniale Dysostose
- Erkrankungen mit Pterygium
- Hemimelien
- Multiple kartilaginäre Exostosen
- spastische Infantile Zerebralparese
- Sprengelsche Deformität
- Synostosen wie radioulnare, karpale oder metakarpale Synostose
Syndrome mit möglicher Radiuskopfluxation
- Apert-Syndrom
- Carpenter-Syndrom
- Cenani-Lenz-Syndaktylie
- Cornelia-de-Lange-Syndrom
- Ehlers-Danlos-Syndrom
- Ellis-van-Creveld-Syndrom
- Holt-Oram-Syndrom
- Klinefelter-Syndrom
- Klippel-Feil-Syndrom
- Larsen-Syndrom
- Nievergelt-Syndrom
- Nagel-Patella-Syndrom
- Rubinstein-Taybi-Syndrom
- Silver-Syndrom (Spastische Paraplegie, autosomal-dominante, Typ 17)
- Trisomie 8
- Van-den-Ende-Gupta-Syndrom
Klinische Erscheinungen
Klinische Kriterien sind:[1][5]
- Keine oder nur geringe Beschwerden oder Bewegungseinschränkungen, lediglich Supination und Pronation eingeschränkt
- Häufig beidseitig
- Valgusstellung im Ellenbogen
Diagnostik
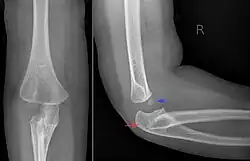
Die Diagnose ergibt sich meist aus dem Röntgenbild, Sonographie und Kernspintomographie können weitere Einzelheiten dokumentieren.
Differentialdiagnose
Bei einseitiger Luxation, insbesondere nach ventral, ist die Abgrenzung zu einer erworbenen Ausrenkung sehr schwierig.[1] Nach McFarland sprechen folgende Kriterien für eine kongenitale Luxation:[6]
- Hypoplasie oder Fehlen des Capitulum humeri
- Längenunterschied der Unterarmknochen
- konvexe Wölbung, Verlängerung und Verschmächtigung des Radiuskopfes
- konkave Form der Ulna zum Radiuskopf
- Hypoplasie der Trochlea mit prominentem ulnaren Epikondylus
Therapie
Eine Behandlung ist wegen der geringen Funktionseinschränkung oft nicht erforderlich. Operative Eingriffe können bei deutlicher Längendifferenz der Unterarmknochen oder bei Herausstehen des Radiuskopfes infrage kommen.[4]
Literatur
- K. F. Kuminack, K. Reising, L. Schwering, N. P. Südkamp, P. C. Strohm: Kongenitale Radiusköpfchenluxation beidseits. In: Der Unfallchirurg. Band 110, Nummer 2, Februar 2007, S. 171–175, doi:10.1007/s00113-006-1158-6, PMID 17058062.
- K. Sachar, A. D. Mih: Congenital radial head dislocations. In: Hand clinics. Band 14, Nummer 1, Februar 1998, S. 39–47, PMID 9526155 (Review).
Einzelnachweise
- ↑ a b c d F. Hefti: Kinderorthopädie in der Praxis. Springer 1998, ISBN 3-540-61480-X, S. 479.
- ↑ G. Dupuytren: Leçons orales de clinique chirurgicale faites à l'Hôtel-Dieu de Paris..., Bd. 4 In: Soc. Encyclographique des Sciences Médicales, 1839, S. 137
- ↑ R. W. Smith: Congenital luxation of the radius. In: Dublin Journal of Medical Science, Bd. 13, 1852, S. 208–210
- ↑ a b c d C. J. Wirth, L. Zichner, A. K. Martini: Orthopädie und Orthopädische Chirurgie. In: W. Winkelmann (Herausgeber): Tumoren, tumorähnliche Erkrankungen, Georg Thieme Verlag, 2003, ISBN 3-13-126181-1
- ↑ a b Radiopaedia
- ↑ B. McFarland: Congenital dislocation of the head of the radius. In: British Journal of Surgery. 24, 1936, S. 41, doi:10.1002/bjs.1800249306.
Weblinks
- Eintrag zu Radiuskopfdislokation, kongenitale, isolierte. In: Orphanet (Datenbank für seltene Krankheiten)