Juxtaorales Organ
Das juxtaorale Organ (lat. für „neben der Mundhöhle liegend“, Synonym: Chievitz-Organ, nach Johan Henrik Chievitz, dänischer Anatom (1850–1901), der diesen Ramus mandibularis ductus parotidei 1885 erstmals beschrieb) ist ein kleines längliches (10–12 mm lang, 2–3 mm dick) Organ in der Wange, bestehend aus einem knospenreichen epithelialen Parenchym, das in ein nerven- und zellreiches Bindegewebe eingebettet und von einer straffen perineuriumartigen Hülle umgeben wird.

Früher als nur in der Embryonalentwicklung auftretendes Gebilde (Chievitzsches Organ) bekannt, wurde es 1953 von Zenker beim erwachsenen Menschen als regelmäßig vorkommendes Organ nachgewiesen. Unter Berücksichtigung seiner Lokalisation bei Mensch und Tier erhielt es von Zenker und Salzer den Namen juxtaorales Organ. Diese Bezeichnung wurde von der Internationalen Anatomischen Nomenklaturkommission akzeptiert und in die Nomina anatomica aufgenommen.

Topographie
Das juxtaorale Organ liegt in der tiefen seitlichen Gesichtsregion zwischen Musculus buccinator und Temporalis-Sehne, unter der Fascia buccotemporalis nahe der Durchtrittsstelle des Ohrspeicheldrüsengangs durch den Wangenmuskel. Das Organ wird vom Nervus buccalis innerviert.







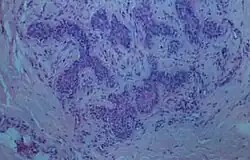
Feinbau
Im histologischen Bild zeigen sich zahlreiche Epithelknospen, eingebettet in zell- und nervenreiches Bindegewebe. Am Epithel enden an vielen Stellen sensorische Nervenästchen. Es gibt aber auch viele spezialisierte Nervenendkörperchen.
Entwicklung

Bei 11 bis 15 mm großen menschlichen Embryonen beginnt die Entwicklung des juxtaoralen Organs als Aussprossung einer Epithelleiste (1) aus dem Mundhöhlenepithel einer Seitentasche (Sulcus buccalis) der embryonalen Mundhöhle. In der Folge verlagert sich die Organanlage zusammen mit dem Nerven weg von der Mundschleimhaut an die eingangs erwähnte Stelle der tiefen Gesichtsregion.
Funktion
Bisher liegen nur morphologische Hinweise vor. Von einer rezeptorischen Funktion ist auszugehen, da das Organ von sensorischen Trigeminus-Nervenästen innerviert wird und eine große Anzahl rezeptorischer Nervenendungen enthält. Möglicherweise nimmt es dynamische Veränderungen wahr, die beim Kauakt und beim Schlucken auftreten.
Experimentelle Untersuchungen an der Ratte legen nahe, dass der Nervus buccalis einen trophischen Einfluss auf das Organ ausüben könnte. Nach der Entfernung der Hypophyse bei Ratten beobachtete man eine beträchtliche Atrophie des juxtaoralen Organs (Salzer und Zenker).
Klinische Bedeutung
Das Organ kommt als Ausgangspunkt für Tumoren in Frage.
Die Möglichkeit einer Fehlinterpretation des Organs in der Biopsie als karzinomatöse Struktur hat sich bereits ereignet und hatte eine eingreifende Operation zur Folge. In Bezug auf Differentialdiagnosen sind Pathologen und Kieferchirurgen mit der Tatsache konfrontiert, dass in der unmittelbaren Umgebung des juxtaoralen Organs weitere epitheliale Strukturen zu liegen kommen, wie Speicheldrüsen der Backen und epitheliale Nester, die sich aus epithelialen Überbleibseln der Embryonalentwicklung formiert haben.
Weiterführende Literatur
- W. Zenker: Juxtaoral Organ, Morphology and Clinical aspects. Urban & Schwarzenberg, München 1982, ISBN 3-541-72221-5.