Juvenile idiopathische Arthritis
| Klassifikation nach ICD-10 | |
|---|---|
| M08 | Juvenile Arthritis |
| M08.0 | Juvenile chronische Polyarthritis, adulter Typ |
| M08.1 | Juvenile Spondylitis ankylosans |
| M08.2 | Juvenile chronische Arthritis, systemisch beginnende Form |
| M08.3 | Juvenile chronische Arthritis (seronegativ), polyartikulär beginnende Form |
| M08.4 | Juvenile chronische Arthritis, oligoartikulär beginnende Form |
| M08.8 | Sonstige juvenile Arthritis |
| M08.9 | Juvenile Arthritis, nicht näher bezeichnet |
| L40.5+ | Psoriasis-Arthropathie |
| ICD-10 online (WHO-Version 2019) | |
| Klassifikation nach ICD-11 | |
|---|---|
| FA24 | Juvenile idiopathische Arthritis |
| FA24.0 | Juvenile idiopathische Oligoarthritis |
| FA24.00 | Juvenile idiopathische Oligoarthritis, persistierende Form |
| FA24.01 | Juvenile idiopathische Oligoarthritis, sich ausweitende Form |
| FA24.1 | Juvenile idiopathische Polyarthritis |
| FA24.2 | Juvenile Psoriasis-Arthritis |
| FA24.3 | Juvenile Enthesitis-assoziierte Arthritis |
| FA24.4 | Systemische juvenile idiopathische Arthritis |
| FA24.Y | Sonstige näher bezeichnete juvenile idiopathische Arthritis |
| FA24.Z | Juvenile idiopathische Arthritis, nicht näher bezeichnet |
| ICD-11: Englisch • Deutsch (Entwurf) | |
Die juvenile idiopathische Arthritis (abgekürzt JIA; ältere Synonyme: Juvenile rheumatoide Arthritis, abgekürzt JRA, und Juvenile chronische Arthritis, abgekürzt JCA) ist eine entzündlich-rheumatische Erkrankung der Gelenke (Arthritis) im Kindesalter (juvenil) unbekannter Ursache (idiopathisch). Sie stellt eine Sonderform der chronischen Polyarthritis dar. Wie die juvenile rheumatoide Arthritis (auch: Morbus Still) und andere juvenile Formen des Rheumas gehört die JIA zum Fachgebiet der Pädiatrischen Rheumatologie – für diese Erkrankungen insgesamt sind die Sammelbezeichnungen Kinderrheuma oder kindliches Rheuma gebräuchlich. Allgemein werden sie unter den Begriff der Autoimmunkrankheiten subsumiert.
Man glaubt, dass sie durch externe Faktoren wie beispielsweise Infektionserreger „angestoßen werden“ und dann bei genetisch prädisponierten Personen einen chronischen Verlauf nehmen. Zahlreiche Genorte sind an der Krankheitsdisposition beteiligt (polygene Erkrankung), unterschiedliche Gene kommen für verschiedene Subtypen vorwiegend vor, maßgeblich sind häufig andere Genorte als bei den Erkrankungen des rheumatischen Formenkreises im Erwachsenenalter beteiligt.
Die Diagnose wird anhand folgender Beschwerden an einem oder mehreren Gelenken bei einem Kind (<16 Jahre) gestellt: (in der Regel erträgliche) Schmerzen, Überwärmung, dabei selten Rötung, Schwellung, Erguss und Bewegungseinschränkung länger als sechs Wochen anhaltend ohne erkennbare andere Ursache („Ausschlussdiagnose“).
Epidemiologie
Die Inzidenz (jährliche Neuerkrankungsrate) wird mit etwa 5–6 von 100.000 Kindern unter 16 Jahren angegeben. Es wird geschätzt, dass 20–30 von 100.000 Kindern unter 16 Jahren eine rheumatische Erkrankung haben (Prävalenz). Damit stellt diese Erkrankungsgruppe die meisten Patienten in einer kinderrheumatologischen Sprechstunde. Die Mehrzahl dieser Kinder hat eine Oligoarthritis. Sind in einer Familie mehrere Angehörige betroffen, steigt das Risiko 10-fach, ebenfalls zu erkranken. Eineiige Zwillinge von Erkrankten haben ein noch höheres Risiko: Bei ihnen kommt in Einzelfällen der Beginn desselben Subtyps einer juvenilen idiopathischen Arthritis innerhalb eines halben Jahres vor. Es konnte gezeigt werden, dass in einer präselektierten Subgruppe (Kinder unter 16 Jahren mit kieferorthopädischem Behandlungsbedarf) die Prävalenz auf ca. 1:100 steigt (0,88 % aus 1024 Kindern).[1]
Allgemeine Symptome

Erstsymptome (auch bei Krankheitsschüben im Verlauf) sind häufig Müdigkeit, Weinerlichkeit und Leistungsknick. Die Leitsymptome einer Gelenkentzündung (Schmerz, Schwellung, Überwärmung und Bewegungseinschränkung) können im Gegensatz zu Erwachsenen bei Kindern nicht in allen Teilen für die Diagnose „Arthritis“ vorausgesetzt werden. Kleinere Kinder äußern die Schmerzen häufig nicht direkt. Sie ändern ihr Verhalten, lassen sich tragen, sind weinerlich bei motorischen Tätigkeiten und entwickeln sich scheinbar zurück. Die betroffenen Gelenke werden in einer Schonhaltung, meistens in Beugung, gehalten. Diese Inaktivität in einer Achsenfehlstellung kann unbehandelt zu dauerhaften Kontrakturen (Sehnenverkürzungen mit bleibenden Bewegungseinschränkungen) und Muskelschwund führen. Ferner kann es zu asymmetrischem Wachstum der Gelenke und benachbarten Knochen kommen. Grundsätzlich kann jedes Gelenk betroffen sein. Über betroffenen Gelenken lässt sich häufig ein Druckschmerz auslösen. Die Schmerzen werden meistens von den Kindern als mäßig und erträglich angegeben. Gelenkschmerzen sind typischerweise morgens und nach längerer Inaktivität stärker („Morgensteife“) und werden durch Bewegung des entzündeten Gelenkes verstärkt.
Typischerweise beginnen die oligoartikulären Formen asymmetrisch, bevorzugt an den großen Gelenken der Beine und die polyartikulären Formen symmetrisch an den kleinen Gelenken der Hände und Füße. Die systemische Form entwickelt initial häufig Gelenkschmerzen der Halswirbelsäule und im Langzeitverlauf oft eine ausgeprägte Zerstörung der Hüftgelenke. Bei systemischen Verläufen und hoher Krankheitsaktivität kann es zu einer Verlangsamung des Wachstums und der Entwicklung, zu einer verzögerten Pubertät und zu einer Gewichtsabnahme kommen.
Klassifikation und Symptome und Krankheitsverläufe der verschiedenen Untergruppen
Meistens wird die aus älteren Klassifikationen weiterentwickelte Klassifikation der International League of Associations for Rheumatology (ILAR) und der WHO von 1998 angewendet, um die verschiedenen Verlaufsformen in möglichst homogene Untergruppen für wissenschaftliche Fragestellungen (Risikofaktoren, Begleiterkrankungen, Komplikationen, Prognose, Therapie) zusammenzufassen. Im klinischen Alltag hat sich diese Klassifikation nicht überall durchgesetzt, ihre Zweckmäßigkeit wird jedoch kontinuierlich wissenschaftlich evaluiert und in Kürze wird eine erneut revidierte Fassung erwartet.
Kategorisiert wird nach sechs Monaten Krankheitsdauer. In der Zeit ab sechs Wochen bis sechs Monate nach Krankheitsbeginn bleibt die Arthritis unklassifiziert. Für die Klassifizierung gilt die Erkrankungsmanifestation bis zum sechsten Monat nach Erkrankungsbeginn, auch wenn der Langzeitverlauf dann ein anderes Befallsmuster zeigt (z. B. gehen manche Oligoarthritiden im Verlauf in eine Polyarthritis über). Man unterscheidet aufgrund von Symptomen und Laborbefunden folgende Subgruppen:
- Systemische juvenile idiopathische Arthritis (auch: Still-Syndrom, Morbus Still)
- Polyarthritis, Rheumafaktor positiv
- Polyarthritis, Rheumafaktor negativ
- Oligoarthritis
- Persistent (d. h. 1–4 Gelenke im Langzeitverlauf >6 Monate)
- Extended (d. h. >4 Gelenke im Langzeitverlauf >6 Monate)
- Arthritis mit Enthesitis
- Psoriasis-Arthritis
- Andere Arthritiden
- Erfüllen nicht die oben genannten Kriterien
- Erfüllen die Kriterien mehrerer Kategorien
Systemische juvenile idiopathische Arthritis (ICD-10: M08.2)
Die systemische juvenile idiopathische Arthritis, kurz sJIA (auch: Still-Syndrom, Morbus Still) gilt gemeinhin als schwerste Form des kindlichen Rheumas und kann sich auf den gesamten Organismus ausweiten. Die Erkrankung kann nach der Klassifikation der ILAR diagnostiziert werden, wenn bei einem <16-jährigen Kind folgende Kriterien erfüllt sind:
- täglich rekurrierendes Fieber über mindestens zwei Wochen gefolgt von einer Entzündung eines oder mehrerer Gelenke in den nächsten 6 Monaten und
- eines oder mehrere der folgenden Kriterien:
- ein lachsfarbener, unbeständiger Hautausschlag,
- generalisierte Lymphknotenschwellungen,
- Leber- und/oder Milzschwellung und
- eine Entzündung seröser Häute.
Ausgeschlossen werden müssen u. a. andere Fieberursachen, eine ärztlich gesicherte Psoriasis bei dem Patienten oder einem Verwandten I. Grades, eine Arthritis bei einem HLA-B27-positiven Jungen nach dem 6. Lebensjahr, eine ankylosierende Spondylitis, Enthesitis-assoziierte Arthritis, Sakroiliitis bei chronisch entzündlicher Darmerkrankung, Reiter-Syndrom, akute vordere Uveitis bei einem Verwandten ersten Grades und Rheumafaktornachweis bei zwei Untersuchungen im Abstand von mindestens 3 Monaten.
Epidemiologie
Etwa 10–20 % der Verläufe der juvenilen idiopathischen Arthritis werden der systemischen Form zugeordnet. Die Krankheit manifestiert sich vorwiegend zwischen dem zweiten und achten Lebensjahr, Jungen und Mädchen sind in etwa gleich häufig betroffen.
Symptome bei Beginn
Die Krankheit beginnt meist akut mit hohem Fieber, das bevorzugt in den frühen Morgen- und Abendstunden auftritt. Dazwischen sinkt die Körpertemperatur unter 37 °C. Vorzugsweise am Stamm, Oberarmen und Oberschenkeln tritt ein flüchtiger, kleinfleckiger, lachsfarbener Hautausschlag auf, welcher durch Wärme oder mechanisch provozierbar ist und oft von Juckreiz begleitet wird. Gelenkschmerzen betreffen anfangs typischerweise die Halswirbelsäule mit Schmerzen bei der Kopfdrehung. Entzündungen der großen Gelenke, seltener der kleinen Gelenke, lassen bei der Hälfte der Patienten Wochen bis Monate auf sich warten. Tritt innerhalb von sechs Monaten keine Arthritis auf, geht man zunächst von Fieber unbekannter Ursache aus. Weitere Symptome resultieren aus einer Polyserositis mit Schmerzen beim tiefen Durchatmen (Pleuritis), Herzsymptomen (Perikarditis) und Bauchschmerzen (Peritonitis). Sonographisch lassen sich in diesen Körperhöhlen diskrete Flüssigkeitsansammlungen nachweisen. Generalisierte Lymphknotenschwellung sowie Leber- und Milzvergrößerung sind typisch.
Laboruntersuchungen zeigen oft maximale Entzündungszeichen (BSG, C-reaktives Protein, Leukozytose, Ferritin), Thrombozytose >500/nl, ausgeprägte hypochrome Anämie, Erhöhung von Fibrinogen, Komplementfaktoren (C3, C4), eventuell auch GOT und LDH. Es fehlen für andere Autoimmunkrankheiten typische Autoantikörper (ANA, ds-DNA-AK, ENA, ANCA) und Hämolysezeichen (Coombs-Test negativ).
Es gibt häufig zahlreiche, sorgfältig auszuschließende Differentialdiagnosen, bevor man von einer systemischen Arthritis sprechen kann.
Krankheitsverlauf
Die Prognose ist uneinheitlich. Im Langzeitverlauf haben rund 40 % der Patienten nur eine geringgradige Arthritis, die durch medikamentöse und physikalische Therapie gut kontrollierbar ist. Systemische Zeichen können schubweise, gelegentlich mit jahrelangen Remissionen auftreten. Einerseits werden 20–30 % dauerhafte Remissionen beschrieben, andererseits gibt es progrediente, relativ therapieresistente Verläufe mit irreversiblen Gelenkzerstörungen und Organkomplikationen.
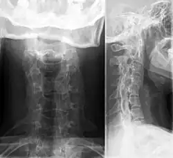
Im Langzeitverlauf tritt bei den chronisch progredienten Patienten häufig die Gelenkbeteiligung in den Vordergrund mit radiologisch nachweisbaren zerstörenden Veränderungen besonders an den Hüftgelenken. Neben allen großen Gelenken können auch die kleinen Gelenke betroffen sein. Eine lokale oder systemische Osteoporose kann durch die krankheitsbedingte Immobilität entstehen. Bei chronischer Beteiligung der Halswirbelsäule können die Wirbelkörper verschmelzen. Prognostisch besonders ungünstig ist die Kombination einer fortschreitenden Gelenksentzündung mit persistierenden systemischen Symptomen, anhaltenden Entzündungszeichen im Labor und Thrombozytenzahlen über 500/nl.
Komplikationen: Bei 5–10 % der Fälle mit andauernd hoher Krankheitsaktivität bildet sich eine Amyloidose mit irreversiblen Organschäden aus. Eine weitere Komplikation ist das so genannte Makrophagenaktivierungssyndrom, gekennzeichnet durch plötzlich einsetzendes hohes Fieber, Leber- und Milzvergrößerung, Bewusstseinstrübung und Hautausschläge. Wachstumsstörungen bis hin zu Kleinwuchs können in 20 bis 41 Prozent der Fälle eintreten. Durch die Fortschritte der immunsuppressiven Therapie ist die Häufigkeit letaler Komplikationen deutlich rückläufig. Bei einer Gesamtletalität der juvenilen idiopathische Arthritis unter 1 % betreffen aber mehr als die Hälfte die systemische Verlaufsform.
Juvenile Polyarthritis, Rheumafaktor positiv (ICD-10: M08.0)
Diese Unterform kann nach der Klassifikation der ILAR diagnostiziert werden, wenn folgende zwei Kriterien erfüllt sind: 1. Fünf oder mehr entzündete Gelenke während der ersten sechs Krankheitsmonate und 2. der Nachweis positiver Rheumafaktoren mindestens zwei Mal im Abstand von mindestens drei Monaten.
Ausgeschlossen werden müssen u. a. (i) eine ärztlich gesicherte Psoriasis bei dem Patienten oder einem Verwandten I. Grades, (ii) eine Arthritis bei einem HLA-B27-positiven Jungen nach dem sechsten Lebensjahr, (iii) eine ankylosierende Spondylitis, Enthesitis-assoziierte Arthritis, Sakroiliitis bei chronisch entzündlicher Darmerkrankung, Reiter-Syndrom, akute vordere Uveiitis bei einem Verwandten ersten Grades und (iiii) Zeichen der systemischen Arthritis.
Epidemiologie
5–10 % der Patienten mit juveniler idiopathischer Arthritis gehören zu dieser Subgruppe. Sie betrifft zu ca. 90 % Mädchen, der Manifestationszeitpunkt liegt vorwiegend um das 7.–13. Lebensjahr.
Symptome bei Beginn
Die Erkrankung ähnelt der chronischen Polyarthritis des Erwachsenen. Frühzeitig sind die Gelenke betroffen, typischerweise symmetrisch an den Hand-, Finger- und Zehengelenken. Grundsätzlich kann jedes Gelenk betroffen seien und es können innerhalb von Monaten erhebliche funktionelle, teilweise irreversible Einschränkungen auftreten. Wie bei der Erwachsenenform werden an den Streckseiten der Extremitäten subkutane Rheumaknoten beobachtet. Diese können auch an inneren Organen auftreten.
Die rheumafaktorpositive Polyarthritis kann von einer Vaskulitis der kleinen und mittleren Arterien und Befall innerer Organe begleitet sein. Bei Patienten mit aktiver Polyarthritis treten zusätzlich auch Allgemeinsymptome wie Wachstumsstillstand, Verzögerung von Wachstum und Entwicklung, subfebrile Temperaturen, reduzierter Allgemeinzustand, Leistungsknick, Gewichtsabnahme, emotionale Labilität, Lymphknotenschwellungen und -schmerzen und milde Hepatosplenomegalie auf.
Die Diagnose benötigt laborchemisch den Nachweis von Rheumafaktoren in mindestens zwei Untersuchungen im Abstand von drei Monaten.
Krankheitsverlauf
Die Erkrankung schreitet häufig innerhalb weniger Monate rasch fort. Die Schwere des Verlaufes kann orientierend anhand der Höhe der Rheumafaktoren sowie der Entzündungsaktivität (C-reaktives Protein, BSG) abgeschätzt werden. Innerhalb weniger Jahre können ausgeprägte, radiologisch darstellbare, knöcherne Läsionen mit progredienten Bewegungseinschränkungen, Subluxationen und Gelenkfehlstellungen entstehen. Dies erfordert eine frühzeitige intensive medikamentöse und krankengymnastische Therapie. Dann lassen sich eventuell auch noch Reparationsvorgänge an zerstörten Gelenken erreichen.
Das Auftreten systemischer Symptome wie einer Vaskultits ist prognostisch ungünstig und weist auf den Befall innerer Organe hin. Eine Perikarditis oder Polyserositis entwickelt sich dagegen vorwiegend bei dem Still-Syndrom. Die Iridozyklitis (Entzündung der Regenbogenhaut des Auges) ist bei den polyartikulären Verlaufsformen wesentlich seltener als bei den juvenilen Oligoarthritiden und führt normalerweise nicht zu bleibenden Sehschäden.
Juvenile Polyarthritis, Rheumafaktor negativ (ICD-10: M08.3)
Diese Unterform kann nach der Klassifikation der ILAR diagnostiziert werden, wenn folgendes Kriterium erfüllt ist: Eine Entzündung von mehr als fünf Gelenken innerhalb der ersten sechs Erkrankungsmonate.
Ausgeschlossen werden müssen u. a. eine ärztlich gesicherte Psoriasis bei dem Patienten oder einem Verwandten I. Grades, eine Arthritis bei einem HLA-B27-positiven Jungen nach dem sechsten Lebensjahr, eine ankylosierende Spondylitis, Enthesitis-assoziierte Arthritis, Sakroiliitis bei chronisch entzündlicher Darmerkrankung, Reiter-Syndrom, akute vordere Uveiitis bei einem Verwandten ersten Grades, Rheumafaktornachweis bei zwei Untersuchungen im Abstand von mindestens drei Monaten und Zeichen der systemischen Arthritis.
Epidemiologie
15–25 % der Patienten mit juveniler idiopathischer Arthritis gehören zu dieser Untergruppe. Der Altersgipfel liegt bei 2–16 Jahren, ca. zu 80 % sind Mädchen betroffen.
Symptome zu Beginn
Häufig geht eine längere Phase mit Gedeihstörungen, Gewichtsverlust und subfebrilen Temperaturen über Monate der Diagnosestellung voraus. Die Gelenke weisen meist nur eine mäßiggradige Schwellung, Ergussbildung und geringgradige Überwärmung auf. Es zeigt sich jedoch oft eine ausgeprägte Bewegungseinschränkung mit bleibenden funktionellen Defiziten. Typischerweise sind die Handgelenke, Fingergelenke, Zehengelenke symmetrisch betroffen. Auch alle großen Gelenke können betroffen sein, ebenfalls die Kiefergelenke und die Halswirbelsäule.
In der Labordiagnostik zeigt sich oft nur eine mäßiggradige Entzündungsaktivität (C-reaktives Protein, BSG), eindeutige Merkmale fehlen bei dieser Verlaufsform.
Krankheitsverlauf
Gelenkzerstörungen treten bei dieser Verlaufsform deutlich seltener und später auf als bei der rheumafaktorpositiven (Erwachsenen-)Form, bei der solche bereits nach wenigen Monaten sichtbar werden. Dennoch entwickeln sich auch hierbei typische Fehlstellungen der Handgelenke („Ulnardeviation“, von der Seite des Daumens weg), der Finger (Beugekontrakturen der proximalen Fingergelenke). Radiologisch sieht man besonders gelenknah eine ausgeprägte Osteoporose der betroffenen Gelenke. Ferner kommt es zu unregelmäßigem Wachstum: Während entzündliche Gelenke oft vorübergehend schneller wachsen, kommt es im Zusammenhang mit ihrer Schulung langfristig zu einer Rückbildung der Muskulatur mit Minderwachstum. Außerdem kann bei vorzeitigem Wachstumsfugenschluss ein bleibender Wachstumsstillstand auftreten. Die Prognose ist bei später Diagnosestellung und bei fortgeschrittenen Gelenkkontrakturen und ausgeprägte Achsenfehlstellungen funktionell ungünstig. Nur bei 10 % dieser Patienten kann eine normale Funktion wieder erlangt werden. Durch frühzeitige Diagnosestellung ist die funktionelle Prognose bei konsequenter medikamentöser und physikalischer Therapie sowie Hilfsmittelversorgung deutlich zu verbessern.
Juvenile idiopathische Oligoarthritis (ICD-10: M08.4)
Diese Unterform kann nach der Klassifikation der ILAR diagnostiziert werden, wenn folgendes Kriterium erfüllt ist: Entzündung von 1 bis 4 Gelenken innerhalb der ersten sechs Monate der Erkrankung. Sind nach den ersten sechs Monaten fünf Gelenke oder mehr betroffen, so spricht man ergänzend von einer erweiterten (extended) Oligoarthritis.
Ausgeschlossen werden müssen u. a. eine ärztlich gesicherte Psoriasis bei dem Patienten oder einem Verwandten I. Grades, eine Arthritis bei einem HLA-B27-positiven Jungen nach dem 6. Lebensjahr, eine ankylosierende Spondylitis, Enthesitis-assoziierte Arthritis, Sakroiliitis bei chronisch entzündlicher Darmerkrankung, Reiter-Syndrom, akute vordere Uveiitis bei einem Verwandten ersten Grades, Rheumafaktornachweis bei zwei Untersuchungen im Abstand von mindestens drei Monaten und Zeichen der systemischen Arthritis.
Epidemiologie
Etwa 25–35 % der Kinder mit juveniler idiopathischer Arthritis haben eine einfache Oligoarthritis, etwa 10–20 % eine erweiterte Oligoarthritis. Die juvenile idiopathische Oligoarthritis der einfachen Form beginnt um das zweite bis achte Lebensjahr und betrifft zu 65 % Mädchen, die erweiterte Form beginnt etwas früher um den 18. Lebensmonat bis zu sechsten Lebensjahr und betrifft zu 80 % Mädchen. Im ersten Lebenshalbjahr tritt die Erkrankung nicht auf. Kinder schwarzafrikanischen Ursprunges sind seltener betroffen als weiße Kinder.
Symptome zu Beginn, Diagnostik
Die Eltern berichten über motorische Rückschritte, Schwellung eines Knies, Hinken oder Schmerzen beim Wickeln. Die Untersuchung kann wegen Abwehr des Kindes und altersgemäßer Fettschicht über den Gelenken schwierig sein. Das Knie ist am häufigsten betroffen, gelegentlich auch als einziges Gelenk, gefolgt von Sprung- und Ellenbogengelenk. Kleine Fingergelenke sind selten, das Hüftgelenk ist fast nie betroffen. Die befallenen Gelenke sind in der Regel geschwollen und häufig überwärmt, aber meistens nicht gerötet. Es findet sich oft ein Erguss. Die meist vorhandene schmerzhafte Bewegungseinschränkung findet man nur, wenn man versucht, das betroffene Gelenk mit dem vollen altersgemäßen Bewegungsumfang durchzubewegen. Die betroffenen Gelenke sind im Vergleich zum Erwachsenen mit Arthritis meist erstaunlich wenig schmerzhaft.
In 20 % der Fälle kommt es zu einer meist chronisch verlaufenden Iridozyklitis (Entzündung der Regenbogenhaut des Auges). Diese ist zu Beginn symptomlos oder symptomarm. Es muss aktiv und wiederholt augenärztlich mit der Spaltlampe nach ihr gefahndet werden, da sie unbehandelt zur Blindheit führen kann. Risikofaktoren sind: Weibliches Geschlecht, früher Krankheitsbeginn, Nachweis von ANA, Arthritisdauer unter vier Jahren.
In den Laboruntersuchungen können die Entzündungswerte (C-reaktives Protein, BSG) erhöht sein oder aber auch normal. Mit einer Sonographie kann man evtl. Erguss und Schwellung der Weichteilstrukturen um das betroffene Gelenk nachweisen, in einigen Fällen kann eine Kernspintomographie mit Gadoliniumkontrastmittel hilfreich sein. Die Knochenszintigraphie wird kaum noch eingesetzt.
Da die Symptome unspezifisch sind, müssen abhängig von der Dauer der Arthritis unterschiedliche andere Erkrankungen ausgeschlossen werden (u. a. Verletzungen, Krebserkrankung, Osteomyelitis, bakterielle Gelenkinfektionen, Purpura Schönlein-Henoch, Coxitis fugax, Lyme-Arthritis, akutes rheumatisches Fieber…). Dies wird durch weitere Laboruntersuchungen, eine Gelenkpunktion mit Untersuchung von Ergussflüssigkeit und evtl. eine Knochenmarkspunktion ermöglicht. Da es sich wie bei den anderen juvenilen idiopathischen Arthritiden auch bei der Oligoarthritis um eine Ausschlussdiagnose handelt, muss die Diagnose immer wieder überprüft werden, wenn neue Gesichtspunkte oder Manifestationen auftreten.
Krankheitsverlauf
Bei der Mehrzahl der Fälle verschwindet die Arthritis im Krankheitsverlauf wieder. Wenn es gelingt, bis dahin bleibende Schäden vom Gelenk fernzuhalten, kann das Kind ohne Behinderung aus der Erkrankung hervorgehen. Bei über 30 % der Fälle kann mit konsequenter Therapie eine völlige Ausheilung erreicht werden. Die Mehrzahl der Kinder kommt nach Monaten oder Jahren in Remissionen, obwohl noch viele Jahre später (meist leichte) Rückfälle möglich sind.
Ohne Therapie kann es im weiteren Verlauf aufgrund der Entzündung zu einem Wachstumsvorsprung des betroffenen Beines kommen, der durch eine vermehrte Kniebeugung kompensiert wird. Es entwickelt sich ein Muskelschwund der vorderen Oberschenkelmuskulatur sowie eine Achsenfehlstellung des Schienbeines nach hinten infolge des unausgewogenen Muskelzugs in der Kniekehle. Schließlich wird das gesamte Bein fehlbelastet, weswegen ohne Therapie auch bei ausschließlich befallenem Kniegelenk die benachbarten Gelenke geschädigt werden und eine gestörte motorische Entwicklung zu erwarten ist.
Die Prognose verschlechtert sich, wenn die Therapie verzögert einsetzt und wenn eine Polyarthritis (bei 30–50 % im Verlauf) oder eine Iridozyklitis (bei über 30 % im Verlauf) auftritt. Eine bleibend hohe BSG kann eine schlechte Prognose anzeigen. Allerdings ist die Prognose der Polyarthritis als extended (erweiterte) Oligoarthritis immer noch besser als die der primär aufgetretenen Polyarthritis.
Spätkomplikation der Iridozyklitis können Katarakt (Trübung der Linse), Glaukom (Erhöhung des Augeninnendruckes), Phthisis bulbi (Schrumpfung und Atrophie des Augapfels), Visusminderung (Einschränkungen der Sehschärfe) oder Blindheit (früher bei 15–20 % der unbehandelten Patienten, heute bei 1 % der fachgerecht behandelten Patienten) sein. Eine Manifestation des zweiten Auges wird zu 70 % bereits im ersten Krankheitsjahr beobachtet.
Die übrigen Manifestationen außerhalb der Gelenke sind bei dieser Verlaufsform meistens mäßiggradig (Anämien, Lymphknotenschwellungen, subfebrile Temperaturen) und korrelieren mit der Entzündungsaktivität.
Juvenile idiopathische Arthritis mit Enthesitis (ICD-10: M08.8)
Eine Enthesitis oder Enthesopathie ist eine Entzündung oder Schmerzen von Bändern und Sehnen und von Gelenksentzündungen oder -schmerzen unterscheidbar. Typischerweise bestehen die Beschwerden an den Ansatzstellen der Achillessehne (an der Ferse), der Kniescheibe, des Schienbeines, an den Streck- und Beugeseiten der Füße und Hände, am Beckenkamm, am Steißbein, seltener am Brustkorb.
Diese Unterform der juvenilen idiopathischen Arthritis kann nach der Klassifikation der ILAR diagnostiziert werden, wenn folgende Kriterien erfüllt sind: 1.) Entzündungen ein oder mehrerer Gelenke und 2.) Sehnen- oder Bänderentzündung. Wenn letztere fehlt, müssen für die Diagnose zusätzlich zu den Gelenkentzündungen zwei der folgenden fünf Kriterien erfüllt sein: a.) Schmerzen am Übergang zwischen Becken und Lendenwirbelsäule, entzündliche Wirbelsäulenschmerzen, b.) Vorhandensein des genetischen Histokompatibilitätsmerkmals HLA-B27, c.) Arthritisbeginn bei einem Jungen älter als 6 Jahre, d.) vordere Aderhautentzündung (Uveitis) des Auges mit Schmerzen, Rötung oder Lichtscheu oder e.) das Vorhandensein einer von folgenden Erkrankungen bei einem Verwandten ersten Grades:(i) eine vordere Aderhautentzündung (Uveitis) des Auges mit Schmerzen, Rötung oder Lichtscheu, (ii) eine ankylosierende Spondylitis, (iii) Arthritis mit Enthesitis, (iiii) Entzündung des Becken-Wirbelsäulenüberganges bei einer chronisch entzündlichen Darmerkrankung.
Ausgeschlossen werden müssen u. a. (i) eine ärztlich gesicherte Psoriasis bei dem Patienten oder einem Verwandten I. Grades, (ii) Rheumafaktornachweis bei zwei Untersuchungen im Abstand von mindestens drei Monaten und (iii) Zeichen der systemischen Arthritis.
Diese Untergruppe wurde in der Klassifikation der International League of Associations of Rheumatology eingeführt, um hier die anhand modifizierter Kriterien die meisten Kinder der früher aufgeführten Spätform der juvenilen idiopathischen Oligoarthritis und auch Kinder mit einer früher so bezeichneten juvenilen Spondylarthropathie hier zusammenfassen zu können und gegen die Psoriasis-Arthritis klassifikatorisch abzugrenzen. Man glaubt vor allem aufgrund ähnlicher genetischer Risikofaktoren, dass diese Erkrankungen verwandt sind.
Epidemiologie
Etwa 5 bis 10 % der Kinder juveniler idiopathischer Arthritis können in diese Untergruppe eingeordnet werden. Das Erkrankungsalter ist mit 9 bis 13 Jahren eher hoch. Zu ungefähr 20 % sind Mädchen betroffen.
Symptome
Typischerweise bestehen Schmerzen an den Ansatzstellen der Achillessehne an der Ferse, an den Sehnenansätzen der Kniescheibe, dem Schienbein, an den Streckseiten der Extremitäten und am Becken bzw. tiefen Rücken. Diese sind nachts und in den frühen Morgenstunden sowie bei körperlicher Belastung besonders ausgeprägt und führen zu deutlichen funktionellen Beeinträchtigungen und Fehlhaltungen (Schonhaltung der Wirbelsäule mit Steilstellung der Lendenwirbelsäule und Rundrücken, Fehlbelastung des Fußes). Gelenkentzündungen treten zunächst vorwiegend an den Beinen auf mit asymmetrischem Befall großer und kleiner Gelenke. Nicht selten kommt es zur entzündlichen Veränderung eines ganzen Fußes. Häufig sind auch Schultern und Kiefergelenke mit betroffen. Die Beteiligung des Becken-Lendenwirbelüberganges und der Wirbelsäule wird meistens im Verlauf deutlich (Übergang in ankylosierende Spondylarthritis bzw. Morbus Bechterew). Ein ausschließlicher Befall der Wirbelsäule ist im Kindesalter sehr selten.
Die Laborwerte zeigen im Krankheitsschub meist eine beschleunigte BSG und ein erhöhtes C-reaktives Protein. Die Parameter können trotz fortbestehender Entzündung im Verlauf langsam abfallen. Bei ca. 75 % betroffenen Kinder kann man den genetischen Marker HLA-B27 nachweisen (Vorkommen in der Normalbevölkerung: ca. 8 %)[2].
Juvenile Psoriasis-Arthritis (ICD-10: L40.5)
Diese Unterform kann nach der Klassifikation der ILAR diagnostiziert werden, wenn folgende beiden Kriterien erfüllt sind: Gelenkentzündungen und Psoriasis (Schuppenflechte). Wenn bei dem Patienten selber (noch?) keine Psoriasis vorliegt, genügt es, wenn zusätzlich zu der Arthritis zwei der folgenden drei Kriterien erfüllt sind: a.) ärztlich gesicherte Psoriasis bei einem Verwandten ersten Grades b.) eine Entzündung aller Gelenke eines Fingers oder c.) oder Nagelsymptome (Ablösungen oder Tüpfelung) beim Patienten.
Ausgeschlossen werden müssen u. a. eine Arthritis bei einem HLA-B27-positiven Jungen nach dem sechsten Lebensjahr, eine ankylosierende Spondylitis, Enthesitis-assoziierte Arthritis, Sakroiliitis bei chronisch entzündlicher Darmerkrankung, Reiter-Syndrom, akute vordere Uveiitis bei einem Verwandten ersten Grades, Rheumafaktornachweis bei zwei Untersuchungen im Abstand von mindestens drei Monaten und Zeichen der systemischen Arthritis.
Epidemiologie
Ca. 5–10 % der Kinder juveniler idiopathischer Arthritis können in diese Untergruppe eingeordnet werden. Das Manifestationsalter liegt bei ca. 6–14 Jahren. Zu ca. 65 % sind Mädchen betroffen.
Symptome
Eine Psoriasis (Schuppenflechte) kann der Gelenkmanifestation um viele Jahre vorausgehen oder auch folgen. Nur bei 10 % der Patienten tritt beides gleichzeitig auf. Typische Stellen für eine Erstmanifestation einer Psoriasis sind der Haaransatz, die Streckseiten der Gelenke, die mechanischer Belastung ausgesetzt sind, Nabelregion, Region um den After. Ferner kommen (manchmal diskrete) Veränderungen der Nägel, insbesondere Tüpfelnägel vor. Eine Nagelablösung (Onycholyse) ist für das Kindesalter untypisch und von einer Pilzerkrankung abzugrenzen. Besonders charakteristisch ist ein Befall aller Gelenke eines Fingers (Daktylitis) und eine Tüpfelung des Nagels desselben Fingers.
Die Psoriasis-Arthritis kann im klinischen Verlauf einen ähnlichen Gelenkbefall wie verschiedene andere Subgruppen der juvenilen idiopathischen Arthritis zeigen. Zu Beginn ähnelt sie häufig am meisten einer frühkindlichen Oligoarthritis. Eine schwere Iridozyklitis kommt bei ihr ebenfalls vor. Ein initialer Befall der Hüftgelenke oder der Befall eines kleinen Gelenkes (End- oder Mittelgelenk) sollte an das Vorliegen einer Psoriasis-Arthritis denken lassen. Es können im Verlauf Entzündungen der Knochen (Periost) ebenfalls vorkommen.
Andere juvenile idiopathische Arthritis (ICD-10: M08.9)
Hier werden diejenigen Unterformen der juvenilen idiopathischen Arthritiden zusammengefasst, die die Kriterien entweder keiner oder mehrerer der obigen Untergruppen erfüllen. Ca. 10-(20) % der Patienten fallen in diese unklare Restgruppe.
Differentialdiagnostik
Abzugrenzen ist unter anderem eine seltene Idiopathische juvenile Osteoporose und die Progressive Pseudorheumatoide Arthropathie.
Therapie
Die juvenile idiopathische Arthritis ist eine Erkrankung unbekannter Ursache, für die es keine kausale Therapie gibt. Andererseits verschwindet bei der Mehrzahl der Fälle die Arthritis schließlich wieder. Wenn es gelingt, bis dahin bleibende Schäden vom Gelenk, den Augen oder anderen Organen fernzuhalten, kann das Kind ohne Behinderung aus der Erkrankung hervorgehen. Ziele der Therapien sind es also, Schmerzen und Entzündung zu unterdrücken, Gelenkschäden zu vermeiden und die normale Entwicklung des Kindes zu gewährleisten. Bei einer Uveitis ist es das wichtigste Ziel, die Funktion des Auges zu erhalten; denn etwa 20 Prozent der betroffenen Kinder entwickeln eine bleibende Sehbehinderung, die bis zur Blindheit reicht.
Die Therapie wird in der Regel an der Schwere der Symptome orientiert gegeben. Die Behandlung leistet immer ein Team (Kind, Eltern, rheumatologisch erfahrener Kinderarzt, Augenarzt, eventuell Kieferorthopäde, Physiotherapeut, Ergotherapeut, Psychologe, Sozialarbeiter). Zur Behandlung gehören Physiotherapie, Ergotherapie und Medikamente.
Physiotherapie/Ergotherapie
Die Physio- und Ergotherapie soll den Bewegungsumfang betroffener Gelenke erhalten und erweitern, sekundäre Fehlhaltungen vermeiden helfen und die Muskulatur kräftigen. Bei Gelenksentzündungen entsteht eine reflektorische Flexions-Schonhaltung der betroffenen Gelenke. Durch Lagerung und Entspannung der verspannten Muskulatur, passives Durchbewegen unter mildem Zug auf das Gelenk wird es beweglicher und Muskeln entspannter. Dann werden physiologische Bewegungsabläufe neu gebahnt und erlernt. Diese werden schließlich in Alltagsbewegungen umgesetzt. Ergänzt werden kann die Behandlung durch Kälte-, Wärme-, Ultraschall- und Elektroanwendungen.
Sport
Der positive Effekt dosierter sportlicher Betätigung ist belegt. Im Akutstadium sind gelenkentlastende Sportarten sinnvoll. Schulsport ist in begrenztem Umfang möglich und meistens erwünscht, es soll ein individuelles Programm erlaubt werden in Abhängigkeit von den betroffenen Gelenken z. B. unter Verzicht auf Sprung und Schnelligkeitsbelastungen. Hilfreich ist eine gute Kooperation zwischen Schule und Behandlern mit dem Ziel einer weitgehenden Integration des Kindes in das normale soziale Umfeld. Was das Kind selber toleriert und wo es seinem Bewegungsdrang folgt, ist in der Regel nicht schädlich.
Medikamente
Nichtsteroidale Antirheumatika (NSAR)
Häufig wird zu Beginn einer Erkrankung ein Behandlungsversuch über sechs bis zehn Wochen mit einem nichtsteroidalen Antirheumatikum wie Naproxen, Diclofenac, Ibuprofen oder Indometacin gemacht. Bei diesen Medikamenten tritt Schmerzlinderung sofort ein, während die Entzündungsaktivität erst nach einigen Wochen effektiv beeinflusst wird. Nebenwirkungen am Magen und an den Nieren treten bei Kindern seltener auf als bei Erwachsenen. Wenn darunter keine ausreichende Besserung erreicht werden kann, werden weitere Medikamente eingesetzt.
Glukokortikoide
Glukokortikoide sind die effektivsten Medikamente in der Rheumatherapie, haben aber je nach Dosis, Anwendungsart und -dauer viele Nebenwirkungen.
Eine in erfahrener Hand hochwirksame und nebenwirkungsarme Therapieoption ist die Injektion von Depot-Kortikosteroiden in ein betroffenes Gelenk, wenn es sich um eine Oligoarthritis großer Gelenke handelt.
Bei einer Iridozyklitis oder Uveitis wird mit Glukosteroidaugentropfen behandelt, bei Synechien mit Mydriatika.
Systemisch gegebene Glukokortikoide evtl. als Pulstherapie (höherdosierte Einzelgaben in längeren Abständen) können als schnell wirksame Substanzen bei sehr aktiver Gelenkentzündung eingesetzt werden, um den Zeitraum bis zum (langsameren) Wirkungseintritt der sogenannten „Basismedikamente“ (DMARDs, „Disease Modifying Anti Rheumatic Drugs“) zu überbrücken. Die Häufigkeit und Schwere unerwünschter Wirkungen richtet sich nach Dosis und Dauer.
Basismedikamente
Sogenannte Basistherapeutika (Disease modifying anti rheumatic drugs oder DMARDs) und Immunsuppressiva werden bei schweren Fällen der juvenilen idiopathischen Arthritis eingesetzt, wenn nichtsteroidale Antirheumatika oder lokale Therapiemaßnahmen (z. B. Gelenkeinspritzungen mit Glukokortikoiden) nicht zum Erfolg geführt haben. Sie können mit diesen Medikamenten kombiniert werden. Der Wirkungseintritt aller dieser Medikamente dauert bis zu drei Monate. Die Wirksamkeit ist am besten belegt für Methotrexat, Sulfasalazin und Azathioprin. Methotrexat wird von diesen Medikamenten am häufigsten eingesetzt, meistens oral. Bei (leichten) Nebenwirkungen wird sehr häufig Folsäure ergänzend gegeben. Die Effektivität ist erst nach einer mindestens sechs- bis zwölfwöchigen Behandlungsdauer zu beurteilen, mindestens sollten für einen adäquaten Therapieversuch sechs bis neun Monate berücksichtigt werden. Bei über 50 % der Kinder kommt es nach Absetzen zu einem Rückfall, es sollte also noch lange nach Remission weiter gegeben werden. Bei Niereninsuffizienz ist eine Methotrexattherapie nicht möglich; diese muss vorher ausgeschlossen werden. Schwere Nebenwirkungen sind sonst bei Kindern im Gegensatz zu Erwachsenen seltener zu beobachten und können häufig mit einer Folsäuresubstitution aufgefangen werden. Bei chronischer Uveitis erfolgt die Gabe von Mydriatika zur Vermeidung von Synechen (Verwachsung der Iris mit der Linse infolge einer Iritis).
Biologika
Die Disease Controlling Anti Rheumatic Drugs (DCARDs) aus der Gruppe der Biologika, stellen eine neue Medikamentengruppe dar. Aus dieser Gruppe ist Etanercept (Enbrel®), ein TNF-Inhibitor (hemmt den Tumornekrosefaktor) bei polyartikulärer juveniler chronischer Arthritis bei Kindern im Alter ab vier Jahren zugelassen, wenn eine Methotrexatbehandlung unwirksam oder unverträglich war. Der humanisierte Antikörper Tocilizumab hemmt spezifisch die Interleukin-6 (IL-6)-Rezeptoren, die eine zentrale Rolle im Entzündungsgeschehen spielen. Seit August 2011 ist Tocilizumab als erstes Biologikum zur Behandlung von Kindern ab zwei Jahren mit systemischer JIA zugelassen. Zudem gibt es noch andere Biologika, deren Wirksamkeit bestätigt wurde: die TNF-Blocker Infliximab und Adalimumab, der Interleukin-1-Rezeptor-Antagonist Anakinra sowie Rituximab, der gegen CD20-positive B-Zellen wirkt.[3]
Literatur
Leitlinien
- S2k-Leitlinie Therapie der Juvenilen Idiopathischen Arthritis der Deutschen Gesellschaft für Kinder- und Jugendmedizin und der Gesellschaft für Kinder- und Jugendrheumatologie. In: AWMF online (Stand 2019)
- S2k-Leitlinie Diagnostik und antientzündliche Therapie der Uveitis bei juveniler idiopathischer Arthritis der Deutschen Ophthalmologischen Gesellschaft. In: AWMF online (Stand 2021)
Einzelnachweise
- ↑ EOS 2011 ( des vom 28. Juni 2011 im Internet Archive) Info: Der Archivlink wurde automatisch eingesetzt und noch nicht geprüft. Bitte prüfe Original- und Archivlink gemäß Anleitung und entferne dann diesen Hinweis.,HIGH FREQUENCY OF TEMPOROMANDIBULAR JOINT-ISOLATED JUVENILE IDIOPATHIC ARTHRITIS IN CHILDREN WITH ORTHODONTIC TREATMENT NEED; Weber, J.; Weber, D.; Tzaribachev, N.; OP46, EOS 2011, Istanbul, Türkei
- ↑ Juvenile idiopathic arthritis classified by the ILAR criteria: HLA associations in UK patients. Thomson W. et al. - Rheumatology (Oxford) 2002 Oct;41(10):1183-9 PMID 12364641
- ↑ Morbus Still: Antikörper läuten neue Therapie-Ära ein