Asphyxierende Thoraxdysplasie

Klassifikation nach ICD-10
Q77.2 Kurzripp-Polydaktylie-Syndrome Inkl.: Asphyxierende Thoraxdysplasie [Jeune]
{{{02-BEZEICHNUNG}}}
{{{03-BEZEICHNUNG}}}
{{{04-BEZEICHNUNG}}}
{{{05-BEZEICHNUNG}}}
{{{06-BEZEICHNUNG}}}
{{{07-BEZEICHNUNG}}}
{{{08-BEZEICHNUNG}}}
{{{09-BEZEICHNUNG}}}
{{{10-BEZEICHNUNG}}}
{{{11-BEZEICHNUNG}}}
{{{12-BEZEICHNUNG}}}
{{{13-BEZEICHNUNG}}}
{{{14-BEZEICHNUNG}}}
{{{15-BEZEICHNUNG}}}
{{{16-BEZEICHNUNG}}}
{{{17-BEZEICHNUNG}}}
{{{18-BEZEICHNUNG}}}
{{{19-BEZEICHNUNG}}}
{{{20-BEZEICHNUNG}}}
Vorlage:Infobox ICD/Wartung {{{21BEZEICHNUNG}}}
ICD-10 online (WHO-Version 2019)
Klassifikation nach ICD-11
LD24.B1 Asphyxierende Thoraxdystrophie
ICD-11: EnglischDeutsch (Entwurf)

Die Asphyxierende Thoraxdysplasie ist eine sehr seltene angeborene Skelettdysplasie aus der Gruppe der Kurzripp-Polydaktylie-Syndrome mit sehr kurzen Rippen und entsprechend schmalem Thorax, kurzen Gliedmaßen und typischen Veränderungen im Röntgenbild. Sie zählt zu den Ziliopathien und verläuft häufig letal.[1][2][3] Die Erkrankung kann als Subtyp des Joubert-Syndromes (Joubert-Syndrom und verwandte Krankheiten) angesehen werden.[4]

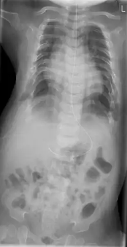
Röntgenbild Thorax-Abdomen eines elf Monate alten Neugeborenen mit Asphyxierender Thoraxdysplasie Jeune
Röntgenbild der Halswirbelsäule seitlich des gleichen Kindes

Synonyme: Asphyxierende Thoraxdystrophie, lateinisch Thorako-pelviko-phalangeale Dystrophie; Jeune-Syndrom; englisch Asphyxiating thoraxic dystrophy; ATD; Thoracic-pelvic-phalangeal dystrophy; Short-rib thoracic dysplasia; SRTD

Die Namensbezeichnung bezieht sich auf den Erstautor der Erstbeschreibung aus dem Jahre 1954 durch den französischen Kinderarzt Mathis Jeune und Mitarbeiter.[5]

Vorkommen

Die Häufigkeit wird auf 1–5 auf 500 000 geschätzt. Die Krankheit wird autosomal-rezessiv vererbt.[1]

Ursache

Je nach zugrunde liegender Mutation können folgende Typen unterschieden werden:

Jedes dieser Gene kodiert für ein Flagellen-Transportprotein, eventuell gibt es noch weitere, bislang unbekannte Mutationen.[1]

Klinische Erscheinungen

Die Erkrankung kann bereits intrauterin erfasst werden[13], fällt ansonsten unmittelbar nach der Geburt auf.

Der Ausprägungsgrad der Veränderungen kann beträchtlich unterschiedlich sein. Klinische Kriterien sind:[1][2] Thoraxdeformität mit langem, schmalen Thorax mit Atemnot des Neugeborenen infolge Platzmangels für die Lunge; Kurze Extremitäten mit Kleinwuchs, eventuell Polydaktylie; Im späteren Kindesalter können Niereninsuffizienz, Retinopathie, Fibrosierung von Leber und Pankreas auftreten.

Diagnose

Die klinische Verdachtsdiagnose wird im Röntgenbild gesichert. Diagnostische Kriterien sind:[1][2][14]

  • Kurze, horizontal verlaufende Rippen
  • Schmale Beckenschaufeln mit dreizackartiger Begrenzung des Unterrandes, Pfannendach horizontal verlaufend und spornartig nach kaudal weisend
  • Vorzeitige Verknöcherung der Femurepiphyse
  • Distal betont verkürzte Röhrenknochen
  • Zapfenepiphysen der Mittelphalangen

Formen

Nach der Art der Verknöcherung der Knorpelanlagen können zwei Formen unterschieden werden:[15]

  • Typ I Fleckförmige enchondrale Ossifikation, unregelmäßige Metaphysen, Knorpelinseln in den Metaphysen
  • Typ II regelmäßige Ossifikation

Differential-Diagnose

Abzugrenzen sind:[1][2]

Therapie

Die Behandlung und deren Erfolg hängen von dem Ausmaß der Lungenbeeinträchtigung ab, auftretende Infektionen der oberen Luftwege müssen behandelt, Nieren-, Leberfunktion und Augenhintergrund regelmäßig kontrolliert werden.

Überleben die Kinder erholt sich die Lungenfunktion allmählich, das Risiko für Atemwegsinfekte nimmt dann ab.[1]

Eine neuere Behandlungsmöglichkeit ist durch die Vertical expandable prosthetic titanium Ribs (VEPTR) nach Campbell[18][19] entstanden, bei welcher der Rippenthorax operativ gedehnt werden kann.

Literatur

  • R. S. Drebov, A. Katsarov, E. Gagov, N. Atanasova, Z. Penev, A. Iliev: Is Asphyxiating Thoracic Dystrophy (Jeune's Syndrome) Deadly and Should We Insist on Treating It? Reconstructive Surgery "On Demand". In: Surgery journal. Band 3, Nummer 1, Januar 2017, S. e17–e22, doi:10.1055/s-0037-1598043, PMID 28825014, PMC 5553486 (freier Volltext).
  • M. Schmidts, Y. Hou, C. R. Cortés et al.: Corrigendum: TCTEX1D2 mutations underlie Jeune asphyxiating thoracic dystrophy with impaired retrograde intraflagellar transport. In: Nature Communications. Band 7, März 2016, S. 11270, doi:10.1038/ncomms11270, PMID 27021811, PMC 4820607 (freier Volltext).
  • R. Shaheen, M. Schmidts, E. Faqeih et al: A founder CEP120 mutation in Jeune asphyxiating thoracic dystrophy expands the role of centriolar proteins in skeletal ciliopathies. In: Human Molecular Genetics. Band 24, Nummer 5, März 2015, S. 1410–1419, doi:10.1093/hmg/ddu555, PMID 25361962, PMC 4321448 (freier Volltext).
  • D. Saletti, T. R. Grigio, D. Tonelli, O. D. Ribeiro Júnior, F. Marini: Case report: anesthesia in patients with asphyxiating thoracic dystrophy: Jeune syndrome. In: Revista brasileira de anestesiologia. Band 62, Nummer 3, 2012 May-Jun, S. 424–431, doi:10.1016/S0034-7094(12)70142-3, PMID 22656687.
  • M. Jeune, C. Beraud, R. Carron: Dysthrophie thoracique asphyxiante de caractère familial. In: Archives françaises de pédiatrie. Band 12, Nummer 8, 1955, S. 886–891, ISSN 0003-9764. PMID 13292988.
  • J. de Vries, J. L. Yntema, C. E. van Die, N. Crama, E. A. Cornelissen, B. C. Hamel: Jeune syndrome: description of 13 cases and a proposal for follow-up protocol. In: European Journal of Pediatrics. Band 169, Nummer 1, Januar 2010, S. 77–88, ISSN 1432-1076. doi:10.1007/s00431-009-0991-3. PMID 19430947. PMC 2776156 (freier Volltext).

Einzelnachweise

  1. a b c d e f g Eintrag zu Jeune-Syndrom. In: Orphanet (Datenbank für seltene Krankheiten)
  2. a b c d Bernfried Leiber (Begründer): Die klinischen Syndrome. Syndrome, Sequenzen und Symptomenkomplexe. Hrsg.: G. Burg, J. Kunze, D. Pongratz, P. G. Scheurlen, A. Schinzel, J. Spranger. 7., völlig neu bearb. Auflage. Band 2: Symptome. Urban & Schwarzenberg, München u. a. 1990, ISBN 3-541-01727-9.
  3. emedicine.medscape.com
  4. Eintrag zu Oro-fazio-digitales Syndrom Typ 6. In: Orphanet (Datenbank für seltene Krankheiten)
  5. M. Jeune, R. Carron, C. Beraud, Y. Loaec: Polychondrodystrophie avec blocage thoracique d’évolution fatale. In: Pédiatrie. Band 9, Nummer 4, 1954, S. 390–392, ISSN 0031-4021. PMID 13185703.
  6. Short-rib thoracic dysplasia 1 with or without polydactyly. In: Online Mendelian Inheritance in Man. (englisch)
  7. Short-rib thoracic dysplasia 2 with or without polydactyly. In: Online Mendelian Inheritance in Man. (englisch)
  8. Short-rib thoracic dysplasia 3 with or without polydactyly. In: Online Mendelian Inheritance in Man. (englisch)
  9. Short-rib thoracic dysplasia 4 with or without polydactyly. In: Online Mendelian Inheritance in Man. (englisch)
  10. Short-rib thoracic dysplasia 5 with or without polydactyly. In: Online Mendelian Inheritance in Man. (englisch)
  11. Short-rib thoracic dysplasia 10 with or without polydactyly. In: Online Mendelian Inheritance in Man. (englisch)
  12. Short-rib thoracic dysplasia 11 with or without polydactyly. In: Online Mendelian Inheritance in Man. (englisch)
  13. D. W. Bianchi, T. M. Crombleholme, M. E. D’Alton: Fetology: diagnosis & management of the fetal patient. 2000 In: McGraw-Hill Professional, ISBN 978-0-8385-2570-8, S. 673–
  14. J. W. Spranger: Bone Dysplasias, Urban & Fischer 2002, ISBN 3-437-21430-6.
  15. F. Hefti: Kinderorthopädie in der Praxis. Springer Berlin u. a. 1997, ISBN 978-3-540-61480-7
  16. L. Langer: Thoracic-pelvic phalangeal dystrophy 1968 in: Radiology 91, S. 447.
  17. Eintrag zu Dysostose, thorakopelvine. In: Orphanet (Datenbank für seltene Krankheiten), abgerufen am 2. September 2025.
  18. A. K. Hell, R. M. Campbell, F. Hefti: Neues Therapiekonzept für Kinder mit Thoraxinsuffizienz-Syndrom aufgrund von Wirbelsäulenfehlbildungen In: Klinische Pädiatrie. Band 217, Nummer 5, 2005 Sep-Oct, S. 268–273, ISSN 0300-8630. doi:10.1055/s-2004-832483. PMID 16167273.
  19. M. Lacher, H. G. Dietz: VEPTR (Vertical Expandible Prosthetic Titanium Rib) treatment for Jeune syndrome. In: European journal of pediatric surgery : official journal of Austrian Association of Pediatric Surgery ... [et al] = Zeitschrift für Kinderchirurgie. Band 21, Nummer 2, März 2011, S. 138–139, ISSN 1439-359X. doi:10.1055/s-0030-1267222. PMID 21053163.