Intrazerebrale Blutung

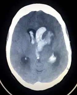
CT-Aufnahme einer intrazerebralen Blutung (helle, zentrale Bezirke)
Klassifikation nach ICD-10
I61 Intrazerebrale Blutung
{{{02-BEZEICHNUNG}}}
{{{03-BEZEICHNUNG}}}
{{{04-BEZEICHNUNG}}}
{{{05-BEZEICHNUNG}}}
{{{06-BEZEICHNUNG}}}
{{{07-BEZEICHNUNG}}}
{{{08-BEZEICHNUNG}}}
{{{09-BEZEICHNUNG}}}
{{{10-BEZEICHNUNG}}}
{{{11-BEZEICHNUNG}}}
{{{12-BEZEICHNUNG}}}
{{{13-BEZEICHNUNG}}}
{{{14-BEZEICHNUNG}}}
{{{15-BEZEICHNUNG}}}
{{{16-BEZEICHNUNG}}}
{{{17-BEZEICHNUNG}}}
{{{18-BEZEICHNUNG}}}
{{{19-BEZEICHNUNG}}}
{{{20-BEZEICHNUNG}}}
Vorlage:Infobox ICD/Wartung {{{21BEZEICHNUNG}}}
ICD-10 online (WHO-Version 2019)

Eine intrazerebrale Blutung (ICB, von lateinisch intra- ‚in‘ und cerebrum Gehirn) ist eine Hirnblutung im Hirngewebe selbst. Intrazerebrale Blutungen treten meist plötzlich auf. Eine Hirnblutung ist eine hämorrhagische Schädigung, die die gleichen Symptome wie ein Schlaganfall (ischämische Schädigung) hervorruft. Jedoch sind dies trotz der gleichen Symptomatik zwei unterschiedliche Diagnosen.

Häufigste Ursache sind die als Folge des Bluthochdrucks auftretenden Veränderungen kleiner Blutgefäße (Arteriolosklerose). Weitere Ursachen können Veränderungen der Gefäße wie eine zerebrale Amyloidangiopathie oder Gefäßmalformationen sein, aber auch traumatische Schädigungen – insbesondere in Zusammenhang mit der Einnahme gerinnungshemmender Medikamente – spielen eine wichtige Rolle. Selten können entzündliche Erkrankungen des Gehirns oder Tumoren sich als ICB manifestieren. Auch wenn es sich bei Blutungen aus geplatzten Gefäßwandaussackungen, den zerebralen Aneurysmata, üblicherweise um Subarachnoidalblutungen handelt, können auch intrazerebrale Blutungen durch Aneurysmarupturen verursacht sein. Neben der Lokalisation ist die Größe der Blutung für die Prognose und eventuelle Therapiemaßnahmen wichtig. So werden bei supratentoriellen Blutungen 50 cm³ und bei infratentoriellen Blutungen 20 cm³ als kritische Grenze für den weiteren klinischen Verlauf angesehen. Ein weiteres prognostisch ungünstiges Zeichen ist der Einbruch der Blutung in das Ventrikelsystem, woraus Zirkulationsstörungen des Liquor cerebrospinalis resultieren können und der eine externe Ventrikeldrainage notwendig machen kann.[1]

Den häufigsten unmittelbaren Auslöser einer intrazerebralen Blutung stellt eine Rhexisblutung der Arteriae centrales anterolaterales in ihrem Verlauf durch den Bereich der Stammganglien dar.

Häufigkeit

Pro Jahr sind weltweit etwa eine Million Menschen und in der Europäischen Union etwa 90.000 Menschen von intrazerebralen Blutungen betroffen.[2] In Deutschland erlitten laut statistischem Bundesamt 2008 insgesamt 33.996 Menschen eine intrazerebrale Blutung.[3] 10 % bis 17 % aller Schlaganfälle sind intrazerebrale Blutungen.[4] Allerdings ist der Anteil regional stark unterschiedlich. In China wurde ein Anteil intrazerebraler Blutungen an Schlaganfällen von fast 40 % ermittelt.[5]

Risikofaktoren

Der am häufigsten nachzuweisende Risikofaktor für intrazerebrale Blutungen ist der arterielle Bluthochdruck. Dieser Risikofaktor konnte in epidemiologischen Studien bei 70 bis 80 % der Betroffenen nachgewiesen werden. Die Behandlung der arteriellen Hypertonie senkt das Risiko, eine intrazerebrale Blutung zu entwickeln.

Ein weiterer wichtiger Risikofaktor ist die Therapie mit gerinnungshemmenden Medikamenten. Die Therapie mit oralen Antikoagulantien wie Phenprocoumon, das beispielsweise zur Vorbeugung ischämischer Schlaganfälle bei bestehendem Vorhofflimmern und zur Vorbeugung nach Auftreten tiefer Beinvenenthrombosen oder Lungenembolien eingesetzt wird, führt zu einem 8–11fach erhöhten Risiko. Auch die Therapie mit so genannten Thrombozytenaggregationshemmern wie Acetylsalicylsäure – vorbeugende Anwendung ebenfalls nach ischämischen Schlaganfällen und nach Herzinfarkten – erhöht das Risiko, eine intrazerebrale Blutung zu erleiden. Die vor allem nach Herzinfarkten eingesetzte Kombination der beiden Thrombozytenaggregationshemmer Acetylsalicylsäure und Clopidogrel führt zu einem deutlich erhöhten Risiko im Vergleich zur alleinigen Therapie mit Acetylsalicylsäure. Die Therapie mit Thrombozytenaggregationshemmern führt außerdem zu einer schnelleren Größenzunahme von intrazerebralen Blutungen innerhalb der ersten 48 Stunden. Auch die Behandlung mit Heparinen und Fibrinolytika erhöht das Risiko.

Ein niedriger Cholesterinspiegel führt offenbar zu einem erhöhten Risiko für intrazerebrale Blutungen, bei einem erhöhten Cholesterinspiegel treten weniger intrazerebrale Blutungen auf. Ob cholesterinsenkende Therapien mit Statinen ebenfalls zu einem erhöhten Blutungsrisiko führen, ist umstritten. Zu dieser Frage durchgeführte Studien erbrachten widersprüchliche Ergebnisse.

In mehreren Studien wurden außerdem Rauchen (um 2,5-fach erhöhtes Risiko) und erhöhter Alkoholkonsum als Risikofaktoren identifiziert. Auch die Einnahme von Kokain und Amphetaminen erhöht das Blutungsrisiko. Bei Patienten mit Übergewicht oder erhöhtem Body-Mass-Index wurde ein vergleichsweise erhöhtes Blutungsvolumen festgestellt.

Auch ethnische Zugehörigkeiten haben einen Einfluss auf das Blutungsrisiko. Asiaten und Afrikaner haben ein 1,5- bis 2-fach erhöhtes Risiko. Ein weiterer nicht beeinflussbarer Risikofaktor ist das Alter. Mit zunehmendem Lebensalter nimmt das Blutungsrisiko zu.[4][6]

Behandlung

Die Behandlung einer ICB erfolgt meist auf einer neurochirurgischen oder neurologischen Intensivstation sowie gegebenenfalls im Operationssaal.

Nicht-operative Behandlung

Blutdrucksenkung

Bei der Therapie des arteriellen Bluthochdrucks muss zwischen Primärprophylaxe (Vorbeugung gegen erstmalige intrazerebrale Blutungen), akuter Behandlung zur Reduktion des Nachblutungsrisikos und Sekundärprophylaxe (Vorbeugung erneuter intrazerebraler Blutungen) unterschieden werden. In der Akutphase der intrazerebralen Blutung sollte der systolische Blutdruck rasch auf Werte unter 140 mmHg gesenkt werden, jedoch nicht auf Werte unter 110 mmHg. Die maximale Blutdrucksenkung sollte 90 mmHg nicht überschreiten.[7]

Hämostatische Therapie

Tritt eine intrazerebrale Blutung unter Behandlung mit blutverdünnenden Medikamenten (orale Antikoagulanzien) auf, ist es meist notwendig, die Blutverdünnung mit Hilfe eines Gegenmittels aufzuheben. Dies sollte so bald als möglich erfolgen, um das Risiko für eine Nachblutung zu reduzieren. Für Patienten, die Vitamin-K-Antagonisten als Blutverdünner eingenommen haben, wird die intravenöse Behandlung mit Prothrombinkomplexkonzentrat empfohlen. Für Patienten, die DOAC zur Blutverdünnung angewandt haben, stehen zum Teil spezifische Gegenmittel zur Verfügung, deren Nutzen noch nicht abschließend bewertet wurde.[7]

Körpertemperatursenkung

Eine erhöhte Körpertemperatur hat einen ungünstigen Einfluss auf den Krankheitsverlauf, so dass die Senkung auf normale Werte empfohlen wird.[6][8][9]

Operative Behandlung

Die erste Ausräumung einer intrazerebralen Blutung soll durch den spanischen Chirurgen Andrés Alcazár[10] erfolgt sein.[11] Ob eine neurochirurgische Behandlung der intrazerebralen Blutung erfolgversprechend ist, ist von Lokalisation, Blutungsursache und klinischem Verlauf abhängig. Klare Richtlinien, wann ein Patient mit einer intrakraniellen Blutung eine operative Behandlung erhalten soll, bestehen nicht. Nach den Leitlinien der Deutschen Gesellschaft für Neurologie[4] ergeben sich jedoch unter anderem folgende Empfehlungen:

  • Bei supratentorieller Lokalisation im Bereich des Großhirns wird eine operative Behandlung nicht generell empfohlen; eine Kraniotomie mit Hämatomausräumung kann jedoch in Erwägung gezogen werden, wenn es zu einer Verschlechterung der Bewusstseinslage kommt und wenn die Blutung oberflächennah lokalisiert ist.
  • Bei infratentorieller Lokalisation im Bereich des Kleinhirns sollte bei klinischer Verschlechterung nach Ausschluss anderer Ursachen umgehend eine Entlastungsoperation erfolgen.
  • Gemäß Manio von Maravic[12] bestehen bei einer Hirnmassenblutung folgende neurochirurgische Therapiemöglichkeiten:
    • Bei Aneurysma oder Angiom Ausschalten der Blutungsquelle
    • Bei intraventrikulärer Blutung und infratentoriellen Blutungen mit Liquorabflussbehinderung Ventrikeldrainage
    • Bei oberflächlich-lobärer Blutung ohne Ventrikeleinbruch und einem Wert von über 9 in der Glasgow Coma Scale bei klinischer Verschlechterung Hämatomevakuation
    • Bei intrazerebraler Blutung mit einem Durchmesser vom mehr als 3 cm oder einem Volumen von mehr als 20 cm³ wenn eine schwere klinische Ausprägung oder eine sekundäre Symptomprogression vorliegen Hämatomevakuation.

Epileptische Anfälle

Das Risiko, epileptische Anfälle nach einer intrazerebralen Blutung zu entwickeln, ist höher als nach ischämischen Hirninfarkten. Am höchsten ist das Risiko innerhalb von 24 Stunden nach Blutungsereignis. In einer Untersuchung zu dieser Frage hatten 4,2 Prozent der Patienten mit supratentorieller Blutung innerhalb der ersten 24 Stunden einen epileptischen Anfall.[13] Darüber hinaus ist das Anfallsrisiko bei lobärer Lage der Blutung höher als bei subkortikaler Lage.[4] Epilepsietypische Potentiale in der Elektroenzephalografie (EEG), die nicht immer auch zu klinisch nachweisbaren epileptischen Anfällen führen, sind bei knapp einem Drittel aller Patienten mit intrazerebraler Blutung nachweisbar.[14]

Die Durchführung einer Elektroenzephalografie wird aufgrund der Häufigkeit bei allen intrazerebralen Blutungen empfohlen.[6] Bei Nachweis epilepsietypischer Potentiale wird eine prophylaktische Therapie mit Antikonvulsiva empfohlen.[6] Bei intrazerebralen Blutungen mit lobärer Lage kann eine prophylaktische Therapie erwogen werden.[4]

Bei Auftreten epileptischer Anfälle im Rahmen von intrazerebralen Blutungen ist immer der Beginn einer antiepileptischen Therapie angezeigt. Ein aufgetretener Status epilepticus, also ein generalisierter epileptischer Anfall, der länger als 5 Minuten dauert, oder ein fokaler epileptischer Anfall, der länger als 30 Minuten andauert, muss möglichst schnell unterbrochen werden. Es kann im Rahmen von epileptischen Anfällen und insbesondere bei einem Status epilepticus zu Komplikationen, insbesondere zu Nachblutungen und Zunahme der Mittellinienverlagerung, kommen.[4] Therapie der ersten Wahl sind Benzodiazepine. Bei Nichtwirksamkeit kommen Phenytoin, Valproinsäure und Phenobarbital zum Einsatz. Sollte auch mit diesen Medikamenten eine Unterbrechung des Status epilepticus nicht gelingen, werden die Patienten intubiert und medikamentös mit Thiopental, Midazolam und Propofol behandelt.[6]

Literatur

  • T. Steiner, A. Unterberg et al.: Behandlung von spontanen intrazerebralen Blutungen, S2k-Leitlinie, 2021. In: Deutsche Gesellschaft für Neurologie (Hrsg.): Leitlinien für Diagnostik und Therapie in der Neurologie. (www.dgn.org/leitlinien abgerufen am 22. Mai 2023)

Einzelnachweise

  1. Stammganglienblutung. Abgerufen am 27. April 2023.
  2. C. L. Sudlow, C. P. Warlow: Comparable studies of the incidence of stroke and its pathological types: results from an international collaboration. International Stroke Incidence Collaboration. In: Stroke: A Journal of Cerebral Circulation. Band 28, Nummer 3, März 1997, S. 491–499, ISSN 0039-2499. PMID 9056601.
  3. Statistisches Bundesamt: Gesundheit Diagnosedaten der Patienten und Patientinnen in Krankenhäusern (einschl. Sterbe- und Stundenfälle) 2008. Fachserie 12 Reihe 6.2.1, Wiesbaden 2009. PDF-Version
  4. a b c d e f Intrazerebrale Blutungen. In: H. C. Diener, N. Putzki: Leitlinien für die Diagnostik und Therapie in der Neurologie. 4., überarb. Auflage. Georg Thieme Verlag, 2008, ISBN 978-3-13-132414-6. PDF-Version
  5. L. F. Zhang, J. Yang u. a.: Proportion of different subtypes of stroke in China. In: Stroke; a journal of cerebral circulation. Band 34, Nummer 9, September 2003, S. 2091–2096, ISSN 1524-4628. doi:10.1161/01.STR.0000087149.42294.8C. PMID 12907817.
  6. a b c d e T. Steiner: Intrazerebrale Blutungen. In: Dirk Hermann, Thorsten Steiner, Hans C. Diener: Vaskuläre Neurologie: Zerebrale Ischämien, Hämorrhagien, Gefäßmissbildungen, Vaskulitiden und vaskuläre Demenz. 1. Auflage. Thieme-Verlag, 2010, ISBN 978-3-13-146111-7, S. 212–228.
  7. a b T. Steiner, A. Unterberg et al.: Behandlung von spontanen intrazerebralen Blutungen, S2k-Leitlinie. (PDF) DGN Leitlinien, 2021, abgerufen am 22. Mai 2023.
  8. S. Schwarz, K. Häfner u. a.: Incidence and prognostic significance of fever following intracerebral hemorrhage. In: Neurology. Band 54, Nummer 2, Januar 2000, S. 354–361, ISSN 0028-3878. PMID 10668696.
  9. R. Leira, A. Dávalos u. a.: Early neurologic deterioration in intracerebral hemorrhage: predictors and associated factors. In: Neurology. Band 63, Nummer 3, August 2004, S. 461–467, ISSN 1526-632X. PMID 15304576.
  10. Andrés Alcazár: De vulneribus capitis. Salamanca 1575.
  11. Wolfgang Seeger, Carl Ludwig Geletneky: Chirurgie des Nervensystems. In: Franz Xaver Sailer, Friedrich Wilhelm Gierhake (Hrsg.): Chirurgie historisch gesehen. Anfang – Entwicklung – Differenzierung. Dustri-Verlag, Deisenhofen bei München 1973, ISBN 3-87185-021-7, S. 229–262, hier S. 245.
  12. Manio von Maravic: Neurologische Notfälle. In: Jörg Braun, Roland Preuss (Hrsg.): Klinikleitfaden Intensivmedizin. 9. Auflage. Elsevier, München 2016, ISBN 978-3-437-23763-8, S. 311–356, hier S. 316–318 (Hirnmassenblutung).
  13. S. Passero, R. Rocchi u. a.: Seizures after spontaneous supratentorial intracerebral hemorrhage. In: Epilepsia. Band 43, Nummer 10, Oktober 2002, S. 1175–1180, ISSN 0013-9580. PMID 12366733
  14. P. M. Vespa, K. O’Phelan u. a.: Acute seizures after intracerebral hemorrhage: a factor in progressive midline shift and outcome. In: Neurology. Band 60, Nummer 9, Mai 2003, S. 1441–1446, ISSN 1526-632X. PMID 12743228.
Commons: Intrazerebrale Blutung – Sammlung von Bildern, Videos und Audiodateien