Knöchel

Der Knöchel (lateinisch Malleolus, ‚Hämmerchen‘, Diminutiv von lateinisch malleus, ‚Hammer‘), genannt auch Fußknöchel (älter auch Enkel, verwandt mit mittelhochdeutsch anke ‚Gelenk‘[1]), ist ein Knochenhöcker am unteren Ende des Unterschenkels. Er bildet den oberen Teil des Sprunggelenks, des Verbindungsgelenks zwischen Fuß und Bein, und gehört medizinisch-anatomisch betrachtet zum Bein und nicht zum Fuß.
Der Knöchel bildet die Gelenkpfanne des Sprunggelenkes aus. Das untere Ende des Wadenbeins bildet den tiefer herabreichenden Außenknöchel (lateinisch-anatomisch Malleolus lateralis (fibulae)), das untere Ende des Schienbeines den Innenknöchel (lateinisch-anatomisch Malleolus medialis (tibiae)).
Knöchelbruch

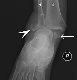
Der Knöchelbruch (fachsprachlich auch Malleolarfraktur) ist eine der häufigsten Sportverletzungen. 40 Prozent dieser Verletzungen sind sportbedingt. Der Bruch des Innenknöchels kommt häufiger vor als der des Außenknöchels, es können jedoch auch beide Knöchel gleichzeitig brechen (Bimalleolarfraktur). Knöchelbrüche treten fast immer zusammen mit Bänderrissen auf.
Beim dreifachen Knöchelbruch (lateinisch Trimalleolarfraktur) wird zusätzlich das vordere oder hintere untere Ende des Schienbeins ausgerissen, was als vorderes Volkmann-Dreieck bzw. hinteres Volkmann-Dreieck bezeichnet wird. Beim Volkmann’schen Dreieck handelt es sich um die Bezeichnung für den Bruch und nicht die gebrochene anatomische Struktur am vorderen oder hinteren unteren Ende des Schienbeins (hintere Schienbeinkante).
Aufgrund seiner Beweglichkeit handelt es sich beim Sprunggelenk um ein Scharniergelenk, dessen Bewegungsachse horizontal durch den Innen- und Außenknöchel verläuft. Dieses Scharniergelenk ist für das Heben und Senken des Fußes zuständig. Das Drehen des Fußes wird vom unteren Sprunggelenk übernommen.
Siehe auch
- Sprungbein (Talus)
Literatur
- S. Boraiah, M. J. Gardner, D. L. Helfet, D. G. Lorich: High association of posterior malleolus fractures with spiral distal tibial fractures. In: Clinical orthopaedics and related research. Band 466, Nummer 7, Juli 2008, S. 1692–1698, doi:10.1007/s11999-008-0224-5, PMID 18347885, PMC 2505235 (freier Volltext).
Weblinks
Einzelnachweise
- ↑ Friedrich Kluge, Alfred Götze: Etymologisches Wörterbuch der deutschen Sprache. 20. Auflage. Herausgegeben von Walther Mitzka. De Gruyter, Berlin / New York 1967; Neudruck („21. unveränderte Auflage“) ebenda 1975, ISBN 3-11-005709-3, S. 166 (Enkel).