Humerusschaftfraktur
| Klassifikation nach ICD-10 | |
|---|---|
| S42.3 | Fraktur des Humerusschaftes |
| ICD-10 online (WHO-Version 2019) | |

Der Oberarmschaftbruch, in der medizinischen Terminologie (Fachsprache) auch als Oberarmschaftfraktur, Humerusschaftfraktur oder diaphysäre Humerusfraktur bezeichnet, ist ein Bruch des Oberarmknochens (Humerus) im Bereich des Schaftes (Diaphyse), also außerhalb des Bereiches der angrenzenden Gelenke (Ellbogen- und Schultergelenk). Die Anatomie des Oberarmes, vor allem die enge Nachbarschaft zu Nerven (Nervus radialis) und Blutgefäßen, bedingt die besondere Problematik der Behandlung dieser Frakturen.
Entstehung und Frakturformen

Oberarmschaftbrüche können zum einen durch direkte Gewalteinwirkung wie Schlag mit hartem Gegenstand, Verkehrsunfall (seitlicher Aufprall eines anderen Fahrzeugs) oder Sturz auf einen harten Gegenstand entstehen, häufiger ist die indirekte Gewalteinwirkung wie Sturz auf den gebeugten Arm, Verdrehung gegen Widerstand oder Abknickung über einen Angelpunkt (Hypomochlion). Der Unfallhergang hat direkten Einfluss auf die Frakturform: Während aufgrund indirekter Gewalteinwirkung hauptsächlich Spiral- oder Torsionsfrakturen, gegebenenfalls auch mit Ausbildung eines Biegungskeils entstehen, führt die direkte Gewalteinwirkung eher zu Querfrakturen oder Stückfrakturen, oft mit ausgedehnter Trümmerzone. Nur ein kleiner Teil der Oberarmschaftfrakturen (6,3 %[1] nach einer AO-Sammelstudie) sind offene Frakturen.
Oberarmschaftbrüche sind bei Kindern mit etwa 0,75 % aller Knochenbrüche[2] anders als die ellenbogennahen Knochenbrüche sehr selten. Da sie fern der Wachstumszonen auftreten, droht keine Wachstumsstörung. Seit-zu-Seit-Verschiebungen werden in der Regel im weiteren Wachstum – abhängig vom Alter – gut ausgeglichen, Achsabweichungen über 10° in der Frontal- und Sagittalebene sollten hingegen korrigiert werden. Verzögerte Knochenbruchheilung oder Pseudarthrosen treten bei Kindern praktisch nicht auf.
Begleitverletzungen
Vom Unfallhergang hängt auch das Ausmaß der möglichen Begleitverletzungen ab: Beim direkten Trauma können erhebliche Verletzungen der Muskulatur und des Unterhautfettgewebes im Sinne von Zerreißungen, Décollement oder Einblutungen vorliegen, die im Einzelfall auch zu einem Kompartmentsyndrom führen können.
Bei indirekten Traumata muss eher mit Verletzungen des Nervus radialis oder der großen Blutgefäße durch scharfkantige Fragmente oder Einklemmung in den Bruchspalt gerechnet werden. Der N. radialis ist im mittleren Schaftdrittel in einem knöchernen Rinne fixiert, wodurch es überwiegend zu einer Überdehnung mit Neuropraxie kommt. In Studien wurde bei Oberarmbrüchen eine Häufigkeit von Radialis-Lähmungen zwischen 10,3 % und 27 % gefunden.[3] In einer Studie mit 28 primären und 7 sekundären Nervenschädigungen fand sich sechs Mal eine Überdehnung, sieben Mal eine Quetschung, sechs Mal eine Einblutung im Nerv und nur einmal eine Aufspießung.[4]
Diagnostik
Basisdiagnostik
Die klinische Diagnose ist meist problemlos zu stellen: Schmerzen im Frakturbereich, aufgehobene aktive Beweglichkeit im Ellbogen-, teils auch im Schultergelenk sowie die abnorme Beweglichkeit im Schaftbereich des Oberarmes, verbunden mit tastbaren Krepitationen („Knirschen“) bei passiver Bewegung sind in der Summe ausreichende klinische Hinweise auf das Vorliegen einer Humerusfraktur. Das Röntgenbild in zwei Ebenen bringt letzte Gewissheit und stellt den Frakturverlauf für die Therapieplanung hinreichend zuverlässig dar. Nur in seltenen Ausnahmefällen sind Zusatzuntersuchungen wie die Computertomographie nötig – es sei denn, eine Gelenkbeteiligung kann aufgrund der Röntgenbilder nicht sicher ausgeschlossen werden.
Die klinische Untersuchung erstreckt sich auch auf die Durchblutung und Nervenversorgung des Unterarmes und der Hand. Insbesondere die Funktion des Nervus radialis wird üblicherweise bereits bei der ersten klinischen Untersuchung beurteilt und dokumentiert.
Zusatzdiagnostik
Bei fehlendem Puls der Arteria radialis und/oder der Arteria ulnaris kann, falls auch klinisch Zeichen einer Ischämie (Minderdurchblutung) vorliegen, eine Ultraschall-Doppler- oder Duplex-Untersuchung notwendig werden. Finden sich hier Hinweise auf eine Minderdurchblutung dieser Arterien, wird normalerweise im Zweifelsfall eine Angiographie durchgeführt, um Art und Lokalisation der Gefäßschädigung zu ermitteln.
Eine Schädigung des Nervus radialis kann mittels EMG dargestellt werden. Dies unterbleibt in der Praxis meist aus Zeitgründen, da die Nervenläsion ohnehin klinisch meist gut erkennbar ist (→ Radialislähmung).
Behandlung

„Der Oberarmschaftbruch ist unter allen Schaftbrüchen der langen Röhrenknochen der gutartigste. Er kann bei entsprechender Verbandtechnik, von ganz seltenen Ausnahmen abgesehen, fast immer auf einfachste Weise konservativ behandelt werden. Man muß nur wissen, daß das Erzeugen einer entsprechenden Verkürzung von 1–10 mm die wichtigste Aufgabe der Knochenbruchbehandlung ist und daß zum Beispiel bei Querbrüchen Verschiebungen um volle Schaftbreite mit Verkürzung funktionell und kosmetisch belanglos sind, wenn keine nennenswerte Achsenknickung und Verdrehung besteht.“
Seit der in den 1990er Jahren aufgekommenen Entwicklung neuer intramedullärer Osteosyntheseverfahren kann dieser lange Zeit gültige Leitsatz Böhlers mittlerweile relativiert, sollte aber nicht vergessen werden. Immer noch stehen der erstaunlich raschen Heilungstendenz der Oberarmschaftbrüche, insbesondere der Spiralbrüche, die Risiken von Nervenverletzungen durch operative Therapie entgegen.
Die konservative Therapie kann seit Mitte der 1990er Jahre nicht mehr als Standardtherapie bei unkomplizierten Oberarmschaftbrüchen angesehen werden. Hier haben sich die modernen intramedullären Operationsverfahren durchgesetzt.
„Bis heute existieren keine evidenzbasierten Therapieschemata oder Leitlinien. Prospektiv randomisierte Studien fehlen weitestgehend. Die nun in der jüngeren Literatur erschienenen randomisierten prospektiven Studien zeigen einen Trend zur konservativen Therapie. Die Studienkollektive sind jedoch klein und erlauben noch keine direkte Umsetzung. Während beim jüngeren Patienten die anatomische Reposition und osteosynthetische Stabilisierung anzustreben sind, wird beim älteren Patienten auch die primäre prothetische Versorgung diskutiert. Je nach Vorgehensweise können unter anderem Schultersteifigkeit, Humeruskopfnekrose, Schmerzen, Infektionen, Repositionsverlust und „cutting-out“ auftreten. Aufgrund der aktuellen Datenlage bleibt die Behandlung der proximalen Humerusfraktur individualisiert. Eine Therapieentscheidung muss immer mit dem Patienten in Zusammenschau mit seinen individuellen Bedürfnissen und Charakteristiken getroffen werden.“
Konservative Therapie
Die konservative Therapie hat nach wie vor ihren Stellenwert bei Patienten mit stark erhöhtem Operationsrisiko oder bei Ablehnung eines operativen Eingriffs.
Bei korrekter Durchführung können mit der konservativen Behandlung gute bis sehr gute Heilungsraten erzielt werden. Oft genügt eine kurze stationäre oder sogar die primär ambulante Behandlung. Die Komplikationsrate ist niedrig, eine iatrogene (durch ärztlichen Eingriff verursachte) Schädigung des N. radialis ist selten. Das kosmetische und funktionelle Ergebnis ist – bei fehlenden Operationsnarben – gut, die Behandlungskosten sind gering.
Die Nachteile des konservativen Vorgehens bestehen in der Gefahr der Ellenbogen- oder Schultersteife durch wochenlange Einschränkung der Beweglichkeit, Achsenfehlstellungen und Einschränkungen der Körperhygiene. Pseudarthrosen (Falschgelenkbildungen) durch unzureichende Knochenbruchheilung können sowohl bei konservativer, als auch operativer Behandlung auftreten, ihre Häufigkeit wird in der Literatur stark unterschiedlich angegeben.[7]
Für die konservative Behandlung der Oberarmschaftfraktur wurden eine Reihe von Verfahren angegeben:
- Einfache Ruhigstellung durch Fixierung am Thorax mittels Desault- oder Gilchristverband
- Anlage einer Oberarmgipsschiene mit Schulter- und Ellenbogeneinschluss (Coaptation Splint)
- Ruhigstellung im Unterarmgips mit Ellbogeneinschluss (Hanging Cast); hier besteht das Behandlungsprinzip aus der Nutzung des Eigengewichts von Gips und Unterarm zur Verhinderung einer Verkürzung und der Fixierung des Handgelenkes mit einer Schlinge zur Vermeidung eines Rotationsfehlers
- Ruhigstellung auf einer Thorax-Abduktionsschiene: hier wird der Oberarm in etwa 90° Abduktion (Seitabspreizung) mit 90° Beugung im Ellbogengelenk auf einer Schiene fixiert; diese Methode wird aufgrund des stark eingeschränkten Patientenkomforts kaum noch praktiziert.
Patienten, die nach einem geschlossenen Oberarmschaftbruch mit einer Orthese behandelt wurden zeigten in einer Studie dem Ergebnis operativer Methoden vergleichbare Erfolge.[8][9]
Ein modernes Vorgehen ist die funktionelle Behandlung mittels eines Sarmiento-Brace. Dieser ist eine konfektionierte Kunststoffhülse, die dem Oberarm exakt angepasst wird. Der Brace übt sanften Druck auf den Weichteilmantel aus und hält so die Fraktur in achsengerechter Stellung. Ellenbogen- und Schultergelenk bleiben dabei frei, wodurch einer Einsteifung der Gelenke vorgebeugt wird. Der Brace wird angelegt, sobald der erste bindegewebige Kontakt der Bruchflächen angenommen werden kann, also etwa 10–14 Tage nach dem Trauma. Bis dahin erfolgt eine Ruhigstellung mittels Desault- oder Gilchristverband.
Operative Therapie
Indikationen zur operativen Behandlung
Als absolute Indikation zur operativen Behandlung gelten:
- Offene Frakturen oder geschlossene Frakturen mit schwerer Weichteilschädigung
- Mehrere Frakturen am gleichen Arm („Kettenfrakturen“)
- Frakturen des gegenseitigen Armes
- Gefährdung von Muskulatur, Blutgefäßen oder Nerven durch unzureichend reponierte Bruchfragmente
- Begleitende Brustkorbverletzungen oder vorbestehende Störung der Atmung durch Begleiterkrankungen
- Bewegungseinschränkung eines Nachbargelenkes durch vorausgegangene Schädigung
- Gelenknahe Oberarmbrüche sowohl im Oberarmkopfbereich, als auch im ellenbogennahen Bereich
- Frakturen im Rahmen eines Polytraumas
- Schlechtes Repositionsergebnis beispielsweise durch Einklemmung von Muskulatur in den Bruchspalt oder durch weit ausgesprengte Fragmente[10]
Die primäre Schädigung des Nervus radialis, die nicht allzu selten durch Quetschung oder durch Zug auf den Nerven zustande kommt, wird von den meisten Autoren nicht als zwingende Operationsindikation angesehen, da es sich hier oft um vorübergehende Funktionsstörungen ohne substanzielle Verletzung des Nerven handelt; bis zu 90 % dieser Paresen klingen im weiteren Verlauf wieder spontan ab[11]. Im Gegensatz hierzu stellt die sekundäre Parese des Nervus radialis, die sich nach Einrichtung des Bruches zur konservativen Behandlung zeigt, eine absolute Operationsindikation dar, da hier eine Einklemmung des Nerven zwischen den Fragmenten im Zuge der Reposition befürchtet werden muss. Zur operativen Versorgung der Oberarmschaftbrüche steht eine breite Palette von Verfahren zur Verfügung, die unter Berücksichtigung der Bruchform und der Weichteilverhältnisse, aber auch der Begleitumstände und -erkrankungen sowie der Kooperationsfähigkeit des Patienten gezielt zur Anwendung gebracht werden. Grundsätzlich lassen sich alle diese Osteosyntheseverfahren zwei Hauptgruppen, den extramedullären und den intramedullären Verfahren zuordnen.
Extramedulläre Operationsverfahren
Als extramedulläre Operationsverfahren kommen hauptsächlich Plattenosteosynthesen und der Fixateur externe zur Anwendung. Bei besonderen Bruchformen, insbesondere bei sehr gelenknahen Brüchen, kommen seit den 1990er Jahren auch winkelstabile Platten zum Einsatz.
Die Plattenosteosynthese, die üblicherweise mit DC-Platten (Dynamische Kompressionsplatten) durchgeführt wurde, galt von den späten 1970er bis in die 1990er Jahre im deutschsprachigen Raum als das Standardverfahren zur operativen Behandlung der Humerusschaftfraktur. Die großflächige Anwendung des Verfahrens machte allerdings auch seine methodenspezifischen Probleme deutlich:
- Der Nervus radialis verläuft unterhalb des Musculus triceps brachii und überkreuzt den Humerusschaft, diesem direkt aufliegend, etwa am Übergang vom distalen zum mittleren Drittel. Der Nerv muss mit subtiler Präparation freigelegt und sicher geschont werden. Dies ist bei einer frischen Stückfraktur bereits schwierig, da häufig Einblutungen der Muskulatur und des Bindegewebes die sichere Identifizierung erschweren. Noch problematischer wird die Suche nach dem Nerven bei der Entfernung des Osteosynthesematerials, da dieser die Platte überkreuzt und oft in sehr derbes Narbengewebe eingehüllt ist.
- Die von den 1970er bis in die späten 1980er Jahre bevorzugte „wasserdichte“ und daher sehr rigide Plattenosteosynthese kann zu Durchblutungsstörungen des Knochens im Frakturbereich führen, was ein gehäuftes Auftreten von verzögerter Knochenbruchheilung bis hin zur Bildung von Pseudarthrosen (Falschgelenken) begünstigt. In diesem Zusammenhang kann es auch zum Materialbruch oder zu Plattenausbrüchen kommen.[12]
Aus diesen Gründen wurde die Plattenosteosynthese zu Gunsten moderner, intramedullärer Verfahren weitgehend verlassen.
Eine Ausnahme sind distale und proximale Schaftfrakturen, die aufgrund der Hebelverhältnisse eine sichere Verriegelung eines Nagels nicht zulassen. Im distalen Bereich wird die Plattenosteosynthese daher weiterhin eingesetzt, im proximalen Bereich kommen seit den 1990er Jahren zunehmend winkelstabile Titanplatten zum Einsatz.
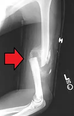
- Die winkelstabile Platte am proximalen Humerusschaft
-
Eine Fraktur am oberen Ende des Humerus -
Versorgung mit winkelstabiler Platte -
Ansicht in anderer Ebene
Intramedulläre Verfahren
Das Prinzip der Markraumschienung wurde Mitte des 20. Jahrhunderts von mehreren Chirurgen etabliert: 1940 führte Küntscher den von ihm entwickelten geschlitzten Marknagel in die Therapie der Schaftfrakturen von langen Röhrenknochen ein; ein ähnlicher Nagel wurde von Seidel entwickelt und fand lange Anwendung. Rush stabilisierte seit 1939 die Schaftfrakturen mit einem speziellen, kräftigen Draht („Rush-Pin“); das Verfahren wird heute wieder mittels hochelastischer Titandrähte („Prévot-Nägeln“) vor allem bei kindlichen Frakturen vermehrt zur Anwendung gebracht.
Bündelnagelung
Einen anderen Weg verfolgte Hackethal,[13] der ein Bündel von mehreren, elastischen, etwa 2 mm starken Stahldrähten einbrachte, die sich im Markraum verklemmten. Das gleiche Prinzip verfolgt die Ender-Nagelung.
Verriegelungsnagel
Die Versorgung von Humerusschaftfrakturen mit Marknägeln wie dem Küntscher-Nagel wies vielfältige Probleme auf: Eine Rotationsstabilität konnte nicht gewährleistet werden, nur im mittleren Schaftbereich konnte eine hinreichende Verklemmung des Nagels im Markraum erzielt werden, an den Nageleintrittsstellen kam es zu Frakturen oder Fissuren, es wurden Überhitzungsschäden beim Aufbohren des Markraumes gefunden. Bei Einbringung der Nägel vom Oberarmkopf aus trat in vielen Fällen ein Impingement des Schultergelenkes auf.
Daher wurden Verfahren entwickelt, die diese Probleme verringern sollten. Es wurde eine Reihe von Nägeln entwickelt, die sich proximal und distal verriegeln ließen. Ein Beispiel ist der lange Zeit gebräuchliche Seidel-Nagel: Er hatte ein kleeblattförmiges Profil, wurde im Bereich der Einschlagstelle mit 2 Schrauben verriegelt und hatte am distalen Ende drei Spreizlamellen, die den Nagel mittels eines Konus im Markraum fixierten. Er konnte sowohl vom Ellenbogen (distal) als auch vom Oberarmkopf (proximal) aus eingebracht werden. Die Ergebnisse mit diesem Nageltyp wurden in verschiedenen Studien unterschiedlich beurteilt; neben sehr guten funktionellen Ergebnissen – auch bei pathologischen Frakturen und Pseudarthrosen – traten auch Komplikationen wie Frakturen an der Einschlagstelle, Impingementsyndrome am Humeruskopf sowie Lockerungen der Verriegelungsschrauben und des Spreizmechanismus auf[12].
Diese Probleme konnten auch bei anderen, ähnlichen Systemen beobachtet werden und führten in den späten 1970er bis frühen 1990er Jahren zur Bevorzugung der in dieser Zeit auch für viele andere Frakturen gebräuchlichen Plattenostheosynthesen. Erst die Entwicklung von Verriegelungsnägeln aus Titan, die bei schlankem Querschnitt unaufgebohrt eingebracht werden können und mittels sicherer proximaler und distaler Verriegelung Rotationsstabilität gewährleisten, führt seit den 1990er Jahren wieder zu einer zunehmenden Anwendung dieser intramedullären Verfahren. Die stabile Verriegelung im Oberarmkopf verhindert hier die Protrusion des Nagels nach proximal und somit die Entstehung eines Impingements. Schädigungen des N. radialis beim Einbringen der Verriegelungsbolzen werden durch das Design dieser Nägel bei sachgerechter Technik weitgehend vermieden.
Bei Kindern werden vielfach zwei gegenläufige metaphysär eingebrachte dynamische Marknägel (ESIN) zur intramedullären Stabilisierung eingesetzt, die direkt übungsstabil und schnell belastungsstabil sind.[2]
Fixateur externe

Der Fixateur externe („äußerer Spanner“) wird zur Behandlung der Oberarmschaftfraktur weniger häufig eingesetzt als die vorgenannten inneren Fixierungsmethoden. Er bietet jedoch in bestimmten Situationen unumstrittene Vorteile:
- Bei offenen Frakturen mit erheblicher Zerstörung des Weichteilgewebes liegt ein stark erhöhtes Risiko für das Auftreten von Knocheninfektionen vor. Dies kann durch den Fixateur, dessen Nägel fern der Frakturzone über minimale Hautinzisionen eingebracht werden, weitgehend vermieden werden. Die Weichteilverletzung bleibt für eine chirurgische Sanierung zugänglich, ohne dass im Wundbereich befindliches Ostesynthesematerial das Auftreten von Infektionen begünstigen könnte.
- Dies gilt auch für Frakturen im Bereich anderweitig entstandener Haut- und Weichteilverletzungen, beispielsweise Brandverletzungen.
- Der Fixateur externe ist einfach und ohne besondere Ansprüche an die Lagerung anzubringen. Daher wird ihm bei der Versorgung mehrfachverletzter Patienten (Polytrauma) oft der Vorzug gegeben: Die hohe erreichbare Stabilität erleichtert die Versorgung des Patienten und macht eine frühe passive und aktive Übungsbehandlung möglich.
- Gelenknahe beziehungsweise gelenküberschreitende Trümmerfrakturen lassen gelegentlich keine stabile Versorgung mittels Schrauben, (winkelstabilen) Platten oder intramedullären Verfahren zu. In diesen Fällen erreicht man mit einem gelenküberschreitenden Fixateur extern primär eine gute Stabilität.
Wie auch bei anderen Frakturen wird der Fixateur externe oft nur als primär stabilisierende Maßnahme eingesetzt und die Fraktur zu einem späteren Zeitpunkt im Sinne eines Verfahrenswechsels definitiv versorgt.[12]
Einzelnachweise
- ↑ A. Rüter u. a. (Hrsg.): Unfallchirurgie. 1. Auflage. Urban & Schwarzenberg, München / Wien / Baltimore 1995, ISBN 3-541-17201-0, S. 497.
- ↑ a b L. von Laer: Frakturen und Luxationen im Wachstumsalter. 3. Auflage. Georg-Thieme-Verlag, Stuttgart 1996, ISBN 3-13-674303-2.
- ↑ B. Weigel, M. Nerlich: Praxisbuch Unfallchirurgie. Springer-Verlag, Berlin 2005, Band I, ISBN 3-540-41115-1, S. 308 f.
- ↑ O. Kwasny u. a.: Vorgehen bei Oberarmschaftfrakturen mit primärem oder sekundärem Radialisschaden. In: Unfallchirurgie. 1992. 18, S. 168–173.
- ↑ Lorenz Böhler In: Gegen die operative Behandlung von frischen Oberarmschaftbrüchen. 1964; zitiert nach: A. Rüter u. a. (Hrsg.): Unfallchirurgie. 1. Auflage. Urban & Schwarzenberg, München / Wien / Baltimore 1995, ISBN 3-541-17201-0, S. 496
- ↑ Burkhart KJ,Dietz SO, Bastian L, Thelen U, Hoffmann R, Müller LP: The treatment of proximal humeral fracture in adults. Dtsch Arztebl Int 2013; 110(35–36): 591–7. doi:10.3238/arztebl.2013.0591
- ↑ Ch. v. Goldammer: Die Therapie der Humerusschaftfraktur - eine retrospektive Studie zur Evaluation konservativer und operativer Behandlungsergebnisse. (PDF; 1,83 MB) 2001, S. 12–13, ehemals im (nicht mehr online verfügbar); abgerufen am 21. Februar 2010. (Seite nicht mehr abrufbar. Suche in Webarchiven) Info: Der Link wurde automatisch als defekt markiert. Bitte prüfe den Link gemäß Anleitung und entferne dann diesen Hinweis.
- ↑ JAMA 2024.
- ↑ Humerusschaftfraktur: Orthese mit Osteosynthese vergleichbar. In: Deutsches Ärzteblatt. Jahrgang 121, Heft 7, 5. April 2024, S. B 412.
- ↑ Scharf, Rüter: Orthopädie und Unfallchirurgie. 2009, S. 487.
- ↑ K. Brehme: Die Therapie der Humerusschaftfraktur Ergebnisse unter besonderer Berücksichtigung des UHN. (PDF; 1,86 MB) 2004, S. 7, ehemals im (nicht mehr online verfügbar); abgerufen am 21. Februar 2010. (Seite nicht mehr abrufbar. Suche in Webarchiven) Info: Der Link wurde automatisch als defekt markiert. Bitte prüfe den Link gemäß Anleitung und entferne dann diesen Hinweis.
- ↑ a b c Ch. v. Goldammer: Die Therapie der Humerusschaftfraktur - eine retrospektive Studie zur Evaluation konservativer und operativer Behandlungsergebnisse. (PDF; 1,83 MB) 2001, archiviert vom (nicht mehr online verfügbar) am 4. Mai 2014; abgerufen am 4. Mai 2014. Info: Der Archivlink wurde automatisch eingesetzt und noch nicht geprüft. Bitte prüfe Original- und Archivlink gemäß Anleitung und entferne dann diesen Hinweis.
- ↑ Karl Heinz Hackethal: Die Bündel-Nagelung : Experimentelle u. klin. Studie über e. neuartige Methode d. Markraum-Schienung langer Röhrenknochen. Leitfaden d. Technik, Springer-Verlag, Berlin / Göttingen / Heidelberg 1961, DNB 451751809.
Literatur
- H.-P. Scharf, A. Rüter (Hrsg.): Orthopädie und Unfallchirurgie. Elsevier Urban & Fischer, München/Jena 2009, ISBN 978-3-437-24400-1.