Hepatozerebrale Degeneration

Als Hepatozerebrale Degeneration bezeichnet man eine Schädigung des Gehirns oder von Teilen desselben, die ihre Ursache in einem Leberschaden mit entsprechenden Veränderungen im Stoffwechsel hat. Insbesondere eine verminderte Entgiftungsfunktion der Leber führt zu erhöhten Konzentrationen von Ammoniak und anderen Giftstoffen im Blut, die in der Folge das Gehirn schädigen. Die Ursache für den Leberschaden kann dabei vielfältig sein.
Symptome
- Bewegungsstörungen
- Einschränkungen der intellektuellen Leistungsfähigkeit
- Gelbsucht und andere Symptome einer Leberzirrhose
Diagnostik
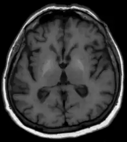
Für die Diagnostik der zugrunde liegenden Lebererkrankung stehen die üblichen Methoden der Blutuntersuchungen, Sonographie und anderer Schnittbildverfahren sowie die Klinik und gegebenenfalls eine Gewebeprobe der Leber mit histologischer Untersuchung zur Verfügung. Bezüglich der Degeneration im Gehirn sind in der Computertomographie meist keine Veränderungen zu erkennen. Die MRT zeigt typischerweise in den Basalganglien in T1-gewichteten nativen Sequenzen eine Signalerhöhung. Als Ursache werden Ablagerungen von paramagnetischen Mineralien vermutet, die nach Lebertransplantation auch reversibel sein können. T2-gewichtete Aufnahmen zeigen meist keine Auffälligkeiten. Differentialdiagnostisch werden die oben beschriebenen Signalveränderungen gelegentlich bei langer parenteraler Ernährung aber auch bei idiopathischen Verkalkungen gesehen. Auch ein Morbus Wilson ist differentialdiagnostisch in Erwägung zu ziehen.
Quellen
- Hepatocerebral degeneration bei MedLinePlus
- J. Ferrara, J. Jankovic: Acquired hepatocerebral degeneration. In: Journal of neurology Band 256, Nummer 3, März 2009, S. 320–332, ISSN 1432-1459. doi:10.1007/s00415-009-0144-7. PMID 19224314. (Review).
- R. Fernández-Rodriguez, A. Contreras, J. G. De Villoria, F. Grandas: Acquired hepatocerebral degeneration: clinical characteristics and MRI findings. In: European journal of neurology : the official journal of the European Federation of Neurological Societies Band 17, Nummer 12, Dezember 2010, S. 1463–1470, ISSN 1468-1331. doi:10.1111/j.1468-1331.2010.03076.x. PMID 20491897.
- D.H. Yock: Magnetic Resonance Imaging Of CNS Disease Mosby, St. Louis 2002, ISBN 0-323-01172-1
- D. K. Atluri, M. Asgeri, K. D. Mullen: Reversibility of hepatic encephalopathy after liver transplantation. In: Metabolic brain disease Band 25, Nummer 1, März 2010, S. 111–113, ISSN 1573-7365. doi:10.1007/s11011-010-9178-x. PMID 20204484. (Review).