Hassall-Körperchen

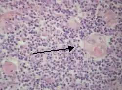
Hassall-Körperchen (lat. Corpuscula thymi) sind runde, schichtweise Zusammenballungen von mehreren Thymusepithelzellen in einem normalen Thymus. Sie sind besonders im Thymusmark anzutreffen. Die Thymusepithelzellen zeigen im Zentrum des Hassall-Körperchens Zeichen der Degeneration und des Zelluntergangs. Sie entstehen während der Embryonalentwicklung aus dem Ektoderm und durchlaufen eine ähnliche Zelldifferenzierung wie Zellen der Epidermis; in ihnen konnte daher Keratin und Präkeratin nachgewiesen werden.[1]
Die Funktion der Hassall-Körperchen ist unklar, und ihre Präsenz und Morphologie ist zwischen verschiedenen Spezies sehr unterschiedlich; in Thymusgewebe von Mäusen sind sie beispielsweise nicht vorhanden. Ihre Anzahl steigt bis zur Pubertät an, um danach mit dem Abbau des Thymus zum Retrosternalen Fettkörper zu verschwinden. Sie können im Inneren verkalken oder zystisch degenerieren. Möglicherweise spielen sie eine Rolle bei der Entfernung apoptotischer Thymozyten oder bei der Reifung von T-Lymphozyten, da sie das Zytokin TSLP (thymic stromal lymphopoietin) enthalten.[2][3]
Die Hassall-Körperchen sind nach ihrem Entdecker, dem englischen Arzt, Mikrobiologen und Chemiker Arthur Hill Hassall benannt, der sie 1846 erstmals beschrieb.[4][5]
Quellen
- Alfred Benninghoff (Hg.): Makroskopische und mikroskopische Anatomie des Menschen, 14. Auflage 1985, Band 2, S. 644 ISBN 3-541-00252-2
Einzelnachweise
- ↑ B. von Gaudecker B und E. M. Schmale: Similarities between Hassall's corpuscles of the human thymus and the epidermis. An investigation by electron microscopy and histochemistry. Cell Tissue Res. (1974) 151(3): S. 347–368 PMID 4426075
- ↑ N. Watanabe et al.: Hassall's corpuscles instruct dendritic cells to induce CD4+CD25+ regulatory T cells in human thymus. Nature (2005) 436(7054): S. 1181–1185 PMID 16121185
- ↑ M. Raica et al.: Structural heterogeneity and immunohistochemical profile of Hassall corpuscles in normal human thymus. Ann. Anatomy (2006) 188(4): S. 345–352 PMID 16856599
- ↑ Louis Kater: A Note on Hassall’s Corpuscles. Contemporary Topics in Immunobiology Volume 2, 1973, S. 101–109.
- ↑ Hassall, A. H., 1846. Microscopic Anatomy of the Human Body in Health and Disease, Highly, London.