Hallersche Zelle

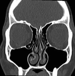
Haller-Zelle (Stern) in einer CT der Nasennebenhöhlen

Unter einer Hallerschen Zelle versteht man eine zusätzliche Siebbeinzelle (Ethmoidalzelle), die im Orbitaboden oder im Dach der Kieferhöhle zu finden ist. Sie wurde erstmals von Albrecht von Haller, einem Schweizer Anatomen, beschrieben. Es handelt sich hierbei um eine anatomische Normvariante, die je nach Literaturangabe bei 5 % bis 30 % der Bevölkerung zu finden ist. Hallersche Zellen werden meist als Zufallsbefund in einer computertomographischen Untersuchung des Gesichtsschädels gefunden.[1] Sie könnten bei ungünstiger Lage den Abfluss von Sekret aus der benachbarten Kieferhöhle behindern. Manche Studien sprechen für eine Assoziation größerer Haller-Zysten mit Nasennebenhöhlenentzündungen (Sinusitiden),[2][3] andere nicht.[4][5] In jedem Fall ist die Information über diese anatomische Variante zur Planung eines operativen Eingriffs wichtig, um Komplikationen zu vermeiden.

Quellen und Einzelnachweise

  • Mathias Cohnen: Kopf-Hals-Radiologie. Georg Thieme Verlag, 2012, ISBN 978-3-13-169491-1, S. 117–118 (eingeschränkte Vorschau in der Google-Buchsuche).
  1. D. M. Yousem: Imaging of sinonasal inflammatory disease. In: Radiology. Band 188, Nummer 2, August 1993, S. 303–314, ISSN 0033-8419. doi:10.1148/radiology.188.2.8327669. PMID 8327669. (Review).
  2. A. Tonai, S. Baba: Anatomic variations of the bone in sinonasal CT. In: Acta oto-laryngologica. Supplementum. Band 525, 1996, S. 9–13, ISSN 0365-5237. PMID 8908262.
  3. S. A. Stackpole, D. R. Edelstein: The anatomic relevance of the Haller cell in sinusitis. In: American journal of rhinology. Band 11, Nummer 3, 1997 May-Jun, S. 219–223, ISSN 1050-6586. PMID 9209594.
  4. M. Danese, B. Duvoisin u. a.: [Influence of naso-sinusal anatomic variants on recurrent, persistent or chronic sinusitis. X-ray computed tomographic evaluation in 112 patients]. In: Journal de radiologie. Band 78, Nummer 9, September 1997, S. 651–657, ISSN 0221-0363. PMID 9537184. (Review)
  5. H. J. Kim, M. Jung Cho u. a.: The relationship between anatomic variations of paranasal sinuses and chronic sinusitis in children. In: Acta oto-laryngologica. Band 126, Nummer 10, Oktober 2006, S. 1067–1072, ISSN 0001-6489. doi:10.1080/00016480600606681. PMID 16923712.