Hereditäres non-polypöses kolorektales Karzinom

Klassifikation nach ICD-10
C18.9 Bösartige Neubildung: Kolon, nicht näher bezeichnet
Z80.0 Bösartige Neubildung der Verdauungsorgane in der Familienanamnese
{{{03-BEZEICHNUNG}}}
{{{04-BEZEICHNUNG}}}
{{{05-BEZEICHNUNG}}}
{{{06-BEZEICHNUNG}}}
{{{07-BEZEICHNUNG}}}
{{{08-BEZEICHNUNG}}}
{{{09-BEZEICHNUNG}}}
{{{10-BEZEICHNUNG}}}
{{{11-BEZEICHNUNG}}}
{{{12-BEZEICHNUNG}}}
{{{13-BEZEICHNUNG}}}
{{{14-BEZEICHNUNG}}}
{{{15-BEZEICHNUNG}}}
{{{16-BEZEICHNUNG}}}
{{{17-BEZEICHNUNG}}}
{{{18-BEZEICHNUNG}}}
{{{19-BEZEICHNUNG}}}
{{{20-BEZEICHNUNG}}}
Vorlage:Infobox ICD/Wartung {{{21BEZEICHNUNG}}}
ICD-10 online (WHO-Version 2019)

Das hereditäre non-polypöse Kolonkarzinom (korrekte Bezeichnung eigentlich: hereditäres nicht-Polyposis-assoziiertes kolorektales Karzinom) (HNPCC) ist eine erbliche Darmkrebsform ohne Polyposis, d. h. ohne Auftreten von vielen Polypen im Darm. Uneinheitlich ist jedoch in der Nomenklatur, ob mit HNPCC ausschließlich Fälle mit einer nachgewiesenen Mutation in einem der bekannten HNPCC-assoziierten Gene bezeichnet werden (klassisches Lynch-Syndrom), oder auch erbliche Darmkrebsformen mit gleicher oder ähnlicher Erscheinung, aber bislang unklarer Ursache. Letztere werden deswegen mitunter unter dem Terminus Familiäres Kolorektalkarzinom Typ X (FCCTX) zusammengefasst.[1] Nicht zu verwechseln mit dem HNPCC ist die Familiäre adenomatöse Polyposis (FAP), eine erbliche Darmkrebsform mit einem massenhaften Auftreten von Polypen.

Epidemiologie

Das hereditäre Dickdarm-Karzinom ohne Polyposis (HNPCC) ist die häufigste erbliche Darmkrebsform und betrifft etwa drei Prozent der Darmkrebsfälle.[2][3] Seine Prävalenz in der Allgemeinbevölkerung liegt bei etwa 1 zu 300[4] bis 500[5], womit es die häufigste Krebsdisposition überhaupt darstellt.

Ursache

Der autosomal-dominante Erbgang

Mittlerweile sind 5 Gene (MSH2, MSH6, MLH1, PMS2, und EPCAM) bekannt, die, insofern eine pathogene Mutation vorliegt, zum Auftreten eines hereditären non-polypösen Karzinoms führen können. Diese Gene kodieren für Proteine aus der Gruppe der sogenannten DNA-Mismatch-Reparaturproteine, deren Aufgabe es ist, eventuelle Fehler bei der Replikation der DNA im Rahmen der Zellteilung zu erkennen und zu beseitigen. Ausnahme davon ist EPCAM, das durch seine Lage direkt vor MSH2 dessen Expression beeinflussen kann. Die Vererbung ist autosomal dominant, das bedeutet, dass Betroffene die Erkrankung mit einer Wahrscheinlichkeit von 50 % unabhängig vom Geschlecht an ihre Kinder weitergeben und dass die Erkrankung mit sehr großer Wahrscheinlichkeit auch mit nur einem betroffenen Allel manifest wird. Sind beide Allele betroffen, kommt es zum Mismatch-Reparatur-Defizienz-Syndrom mit Erkrankungsbeginn bereits vor dem 18. Lebensjahr.[6]

Darüber hinaus wurden inzwischen zwei weitere Gene identifiziert, TGFBR2[7] und MLH3[8], deren Funktionsverlust die HNPCC-Typen 6 und 7 verursacht. Im Unterschied zu den klassischen HNPCC-Typen scheinen Tumoren dieser Ätiologie nicht mit einer Mikrosatelliteninstabilität verknüpft zu sein, was auf einen anderen Pathomechanismus hindeutet. Darüber hinaus ist hier wegen einer bislang zu geringen Fallzahl nicht geklärt, wie penetrant pathogene Varianten dieser Gene sind, anscheinend tritt die Erkrankung mit einer geringeren Wahrscheinlichkeit und in einem eher höheren Alter auf. Jedoch variiert die Penetranz auch innerhalb der klassischen HNPCC-Gene: Mutationen in den Genen MLH1 und MSH2 beeinträchtigen die DNA-Reparatur stärker als Mutationen in MSH6 und PMS2[5] und gelten daher als Hochrisikogene.

Tumorspektrum

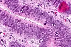
Mikrofoto von Dickdarmkrebs mit Lymphozyten im Tumor, wie es oft bei HNPCC vorkommt. HE-Färbung.

Im Allgemeinen haben Menschen, bei denen ein HNPCC diagnostiziert wurde, ein erhöhtes Lebenszeitrisiko für verschiedene Krebserkrankungen u. a. des Dickdarms, des Magens, des Urogenitaltraktes, des Dünndarms, der Gallenwege, des ZNS und der Haut. Bei weiblichen Individuen besteht zusätzlich ein deutlich erhöhtes Lebenszeitrisiko für Gebärmutterschleimhaut- und Eierstockkrebs. Das genaue Lebenszeitrisiko ist allerdings abhängig vom zugrunde liegenden Gendefekt.

Eine HNPCC-Variante stellt das Muir-Torre-Syndrom (MRTES) dar, bei dem zusätzlich Talgdrüsenadenome und Keratoakanthome auftreten.

Molekularbiologie des hereditären non-polypösen Karzinoms

Charakteristischerweise werden mittels molekularbiologischer Methoden bei Betroffenen Veränderungen der Mikrosatellitenmarker nachgewiesen. Bei Patienten mit einem hereditären non-polypösen Karzinom findet man innerhalb eines betroffenen Individuums eine Sequenzlängendifferenz zwischen Tumor und gesundem Gewebe als Hinweis auf eine fehlerhafte DNA-Replikation. Man bezeichnet dieses Phänomen als Mikrosatelliteninstabilität. Diese tritt jedoch nicht bei allen Formen auf (siehe oben).

Diagnosekriterien

Amsterdam II-Kriterien

Alle Kriterien müssen erfüllt sein.

  1. mindestens drei Familienangehörige mit HNPCC-assoziiertem Karzinom (Kolon/Rektum, Endometrium, Dünndarm, Nierenbecken/Ureter)
  2. einer davon Verwandter ersten Grades der beiden anderen
  3. Erkrankungen in mindestens zwei aufeinanderfolgenden Generationen
  4. mindestens ein Patient mit der Diagnose eines Karzinoms vor dem 50. Lebensjahr
  5. Ausschluss einer FAP (Familiäre adenomatöse Polyposis)

Revidierte Bethesda-Kriterien

Mindestens ein Kriterium muss erfüllt sein.

Tumoren von Patienten sollten auf das Vorliegen einer Mikrosatelliten-Instabilität in folgenden Fällen untersucht werden:

  1. Patienten mit kolorektalem Karzinom vor dem 50. Lebensjahr.
  2. Patienten mit synchronen oder metachronen kolorektalen Karzinomen oder anderen HNPCC-assoziierten Tumoren (*), unabhängig vom Alter.
  3. Patienten mit kolorektalem Karzinom mit MSI-H Histologie (**) vor dem 60. Lebensjahr.
  4. Patient mit kolorektalem Karzinom (unabhängig vom Alter), der einen Verwandten 1. Grades mit einem kolorektalen Karzinom oder einem HNPCC-assoziierten Tumor vor dem 50. Lebensjahr hat.
  5. Patient mit kolorektalem Karzinom (unabhängig vom Alter), der mindestens zwei Verwandte 1. oder 2. Grades hat, bei denen ein kolorektales Karzinom oder ein HNPCC-assoziierter Tumor (unabhängig vom Alter) diagnostiziert wurde.

(*) zu den HNPCC-assoziierten Tumoren gehören Tumoren in: Kolorektum, Endometrium, Magen, Ovarien, Pankreas, Ureter oder Nierenbecken, Gallengang, Dünndarm und Gehirn (meist Glioblastome wie bei Turcot-Syndrom) sowie Talgdrüsenadenome und Keratoakanthome (bei Muir-Torre-Syndrom)

(**) Vorliegen von Tumor-infiltrierenden Lymphozyten, Crohn-ähnlicher lymphozytärer Reaktion, muzinöser/Siegelring-Differenzierung, oder medullärem Wachstumsmuster

Früherkennungsprogramm zur Vor- und Nachsorge

Vom Verbundprojekt „Familiärer Dickdarmkrebs“ wird ein lebenslanges Früherkennungsprogramm für HNPCC-Patienten empfohlen:[9]

Einmal jährlich zusätzlich zu den sonstigen Nachsorgen wie Blutuntersuchungen, okkultes Blut im Stuhl, Brust:

  1. Körperliche Untersuchung
  2. Abdomensonographie
  3. Komplette Koloskopie
  4. Gynäkologische Untersuchung auf Endometrium- und Ovarialkarzinom (inkl. transvaginaler Sonographie und Pipelle-Endometriumbiopsie)[10][11]
  5. Gastroduodenoskopie (ab dem 35. Lebensjahr)

Für Familienmitglieder ersten Grades gelten die gleichen jährlichen Untersuchungsempfehlungen zur Vorsorge, es sei denn, auf molekulargenetischer Ebene konnte der Nachweis erbracht werden, dass der Gendefekt nicht geerbt wurde. Der Beginn der Untersuchungen wird ab dem 25. Lebensjahr empfohlen, spätestens aber 5 Jahre vor dem zuerst in der Familie aufgetretenen Fall (Bsp.: jüngste Betroffene in der Familie war bei Auftreten der Erkrankung 25 Jahre alt, dann sollten Vorsorgeuntersuchungen für alle Familienmitglieder spätestens mit dem 20. Lebensjahr beginnen).

Prävention

Als genetisch bedingte Erkrankung ist das Lynch-Syndrom nicht heilbar. Es werden jedoch Präventivmaßnahmen diskutiert, insbesondere zur Reduktion der bei Lynch-Syndrom häufigen kolorektalen Karzinome.

Schon seit vielen Jahren wurde eine präventive Wirkung von ASS auf die Bildung von Darmtumoren vermutet. Eine Studie, die die Wirkung von 600 mg ASS, für mindestens 2 Jahre täglich eingenommen, untersuchte, erbrachte in der Erstauswertung[12] nach im Mittel 29 Monaten zunächst ein negatives Ergebnis. Erst eine statistische Re-Analyse nach (im Mittel) 55,7 Monaten zeigt ein deutlich positives Resultat[13][14]: Die zweijährige Aspirintherapie hatte (jedoch erst in der Nachbeobachtung) zu einer Reduktion der kolorektalen Neoplasien um 59 % geführt.

Die Dosis von ASS wäre aber zu hoch gewesen, um eine präventive Dauereinnahme[15] zu rechtfertigen.

Ein Team um John Burn von der Newcastle University, der auch die erste Studie initiiert hatte, ging in einer weiteren Studie[16][17] von Burkitts Ballaststoff-Hypothese aus und untersuchte die Frage, ob lediglich eine beschleunigte Darmpassage die bei Lynch-Syndrom hohe Rate von kolorektalen Karzinomen senken kann. Diese Vermutung konnte von der Studie jedoch mit hoher Wahrscheinlichkeit widerlegt werden: Die Neubildungsrate[18] konnte durch tägliche Gabe von 30 g resistenter Stärke,[19] die als Ballaststoff die Darmtätigkeit anregt, über mindestens 2 Jahre während einer mittleren Nachbeobachtungszeit von 29 Monaten gegenüber einer Kontrollgruppe nicht verringert werden.[12] Nach Ablauf von weiteren zwei Jahrzehnten hatte sich an diesem Ergebnis nichts geändert.

Als wichtiger Nebenbefund fiel jedoch auf, dass im Vergleich mit einer Plazebo-Gruppe die Rate aller übrigen Malignome, besonders der des oberen Gastrointestinaltrakts, deutlich zurückgegangen war, speziell fand man deutlich weniger Neoplasien des Duodenums und des Pankreas. Besondere Bedeutung hätte diese Erkenntnis für Pankreaskarzinome, „die einer Krebsfrüherkennung bisher kaum zugänglich sind.“

Da die gegenwärtige Studie nicht auf diese Fragestellung zugeschnitten worden war, müsste eine neue Studie diesen Zusammenhang noch bestätigen.

Einzelnachweise

  1. S. Shiovitz, W. K. Copeland, M. N. Passarelli, A. N. Burnett-Hartman, W. M. Grady, J. D. Potter, S. Gallinger, D. D. Buchanan, C. Rosty, A. K. Win, M. Jenkins, S. N. Thibodeau, R. Haile, J. A. Baron, L. L. Marchand, P. A. Newcomb, N. M. Lindor: Characterisation of familial colorectal cancer Type X, Lynch syndrome, and non-familial colorectal cancer. In: British Journal of Cancer. Band 111, Nummer 3, Juli 2014, S. 598–602, doi:10.1038/bjc.2014.309, PMID 24918813, PMC 4119982 (freier Volltext).
  2. Caren G. Solomon, Frank A. Sinicrope: Lynch Syndrome–Associated Colorectal Cancer. In: New England Journal of Medicine. 379, 2018, S. 764, doi:10.1056/NEJMcp1714533.
  3. Robert J. MacInnis, John L. Hopper, Polly A. Newcomb, Noralane M. Lindor, Yingye Zheng: Prevalence and Penetrance of Major Genes and Polygenes for Colorectal Cancer. In: Cancer Epidemiology and Prevention Biomarkers. Band 26, Nr. 3, 1. März 2017, ISSN 1538-7755, S. 404–412, doi:10.1158/1055-9965.EPI-16-0693, PMID 27799157, PMC 5336409 (freier Volltext) – (aacrjournals.org [abgerufen am 30. Dezember 2018]).
  4. Erbliche gastrointestinale Tumorerkrankungen Medizinisch Genetisches Zentrum, abgerufen am 18. Februar 2024 (PDF)
  5. a b Verena Steinke, Christoph Engel, Reinhard Büttner, Hans Konrad Schackert, Wolff H Schmiegel: Hereditary Nonpolyposis Colorectal Cancer (HNPCC)/Lynch Syndrome. In: Deutsches Ärzteblatt International. Band 110, Nr. 3, Januar 2013, ISSN 1866-0452, S. 32–38, doi:10.3238/arztebl.2013.0032, PMID 23413378, PMC 3566622 (freier Volltext).
  6. D. Ingham, C. P. Diggle, I. Berry, C. A. Bristow, B. E. Hayward, N. Rahman, A. F. Markham, E. G. Sheridan, D. T. Bonthron, I. M. Carr: Simple detection of germline microsatellite instability for diagnosis of constitutional mismatch repair cancer syndrome. In: Human Mutation. Band 34, Nummer 6, Juni 2013, S. 847–852, doi:10.1002/humu.22311, PMID 23483711.
  7. COLORECTAL CANCER, HEREDITARY NONPOLYPOSIS, TYPE 6; HNPCC6. In: Online Mendelian Inheritance in Man. (englisch)
  8. COLORECTAL CANCER, HEREDITARY NONPOLYPOSIS, TYPE 7; HNPCC7. In: Online Mendelian Inheritance in Man. (englisch)
  9. Verbundprojekt „Familiärer Dickdarmkrebs“ der Deutschen Krebshilfe
  10. R. Schneider u. a.: Das Lynch-Syndrom – Epidemiologie, Klinik, Genetik, Screening, Therapie. In: Zeitschrift für Gastroenterologie. 2012; 50, S. 217–225.
  11. W. Schmiegel u. a.: S3-Leitlinie "Kolorektales Karzinom". In: Zeitschrift für Gastroenterologie. 2008, 46, S. 1–73 (Archivlink (Memento vom 29. Dezember 2009 im Internet Archive))
  12. a b John D. Burn et al.: Effect of Aspirin or Resistant Starch on Colorectal Neoplasia in the Lynch Syndrome. New England Journal of Medicine 359 (11. Dezembver 2008), S. 2567–2578 [1]
  13. John Burn et al.: Long-term effect of aspirin on cancer risk in carriers of hereditary colorectal cancer: an analysis from the CAPP2 randomised controlled trial. The Lancet 378, 9809 (17. Dezember 2011– 6. Januar 2012), S. 2081–2087
  14. Lynch-Syndrom: ASS beugt Darmkrebs vor. Deutsches Ärzteblatt, News (28. Oktober 2011)
  15. Mögliche Nebenwirkung: Gastrointestinale Blutung
  16. Lynch-Syndrom: Ballaststoffe senken langfristig Krebsrisiko, außer im Darm. Deutsches Ärzteblatt. News (29. Juli 2022)
  17. John Mathers et al.: Cancer Prevention with Resistant Starch in Lynch Syndrome Patients in the CAPP2-Randomized Placebo Controlled Trial: Planned 10-Year Follow-up. Cancer Prevention Research (25. Juli 2022)[2](Link zum PDF)
  18. unter Einbezug von Adenomen, die als Präkanzerosen gewertet wurden
  19. Es handelte sich dabei um ein reines Industrieprodukt (nach deutscher Klassifikation resistente Stärke der Kategorie 4)

Siehe auch