HER2/neu

HER2/neu

Vorhandene Strukturdaten: 2A91, 1N8Y, 1N8Z, 1S78, 1IIJ, 2J1H, 2JWA

Eigenschaften des menschlichen Proteins
Masse/Länge Primärstruktur 1233 Aminosäuren (Monomer)
Sekundär- bis Quartärstruktur Heterodimer; single pass Membranrezeptor
Bezeichner
Gen-Name ERBB2
Externe IDs
Enzymklassifikation
EC, Kategorie 2.7.10.1Tyrosinkinase
Reaktionsart Phosphorylierung
Substrat ATP + Protein-L-Tyrosin
Produkte ADP + Protein-L-Tyrosinphosphat
Vorkommen
Homologie-Familie Hovergen
Orthologe
Mensch Hausmaus
Entrez 2064 13866
Ensembl ENSG00000141736 ENSMUSG00000062312
UniProt P04626 P70424
Refseq (mRNA) NM_001005862 NM_001003817
Refseq (Protein) NP_001005862 NP_001003817
Genlocus Chr 17: 39.69 – 39.73 Mb Chr 11: 98.41 – 98.44 Mb
PubMed-Suche 2064 13866

HER2/neu (human epidermal growth factor receptor 2, offizieller Name: ERBB2, erb-b2 receptor tyrosine kinase 2)[1] gehört zur Familie der epidermalen Wachstumsfaktorrezeptoren (EGF-Rezeptor). HER2/neu stimuliert die Zellproliferation über den RAS-MAP-Kinase-Weg und hemmt den programmierten Zelltod (Apoptose) über den mTOR-Signalweg.[2][3] Neben seinem gehäuften Auftreten bei Mammakarzinomen wird HER2/neu auch in der Diagnostik und Behandlung von gastroösophagealen Adenokarzinomen (z. B. Magenkarzinom) adressiert.[4][5][6]

Therapeutische Bedeutung bei Brustkrebs

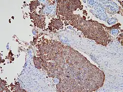
HER2/neu Immunhistochemie. Starke Überexpression (3+) in einer Tumorgewebeprobe.

HER2/neu spielt eine wichtige Rolle in der Behandlung und Diagnostik des Mammakarzinoms (Brustkrebses). In etwa 15 – 30 % aller invasiven Mammakarzinome ist der Rezeptor stark überexprimiert. Damit ist seine Wirkung vervielfacht, was sich bis zur Entwicklung und Zulassung spezieller Antikörper-Therapien im Jahr 2000 in einer schlechteren Prognose, das heißt mit einem schnelleren Tumorwachstum und einer schnelleren Tumorausbreitung äußerte. Ob der Krankheitsverlauf durch eine HER2/neu-Überexpression beeinflusst ist, kann mittels immunhistochemischer Methoden nachgewiesen werden. Die Feststellung der nachgewiesenen Überexpression wird mit „HER2-positiv“ bezeichnet. Das Ergebnis wird üblicherweise in folgender Skala ausgedrückt:

0 = negativ, keine Überexpression
1+ = schwache Reaktion, keine Überexpression
2+ = mäßig starke Reaktion, schwache Überexpression
3+ = starke Reaktion, starke Überexpression

Ein therapeutischer Ansatz ergab sich aus folgender Überlegung: Wenn es gelänge, mit einem gegen das HER2/neu Protein gerichteten Antikörper diese Rezeptoren zu blockieren, somit die wachstumsfördernden Signale von den Krebszellen fernzuhalten, dann müsste sich das Wachstum der Krebszellen verlangsamen und aufheben lassen.

Trastuzumab

„HER2-positive“ Patienten können daher von einer Therapie mit einem humanisierten Antikörper Trastuzumab (Handelsname: Herceptin, Hersteller: Roche) profitieren, denn er ist gegen den extrazellulären Teil des HER2-Rezeptors gerichtet. Er blockiert ihn und unterbricht damit seine intrazelluläre Wirksamkeit.[7] Darüber hinaus führt Trastuzumab zur sogenannten "Antikörper vermittelten zellulären Zytotoxizität" (ADCC) und der "Antikörper vermittelten zellulären Phagozytose" (ADCP).[8] Beide Effekte wirken sich positiv auf die Tumorregression aus.

Trastuzumab kann auch in Kombination mit dem monoklonalen Antikörper Pertuzumab und Docetaxel verabreicht werden.[9]

Weil die Therapie mit dem Antikörper sehr teuer ist, muss vor der Therapie sichergestellt werden, dass eine Wirkung erwartet werden kann. Vor einer Therapie mit Trastuzumab wird zunächst mittels Immunhistochemie getestet, ob das HER2-Gen amplifiziert und überexprimiert ist. Nur ein dreifach positives Ergebnis in der immunhistochemischen Untersuchung des Tumorgewebes, im Sinne einer besonders deutlichen Überexpression, gilt als ausreichend, die Indikation zur Therapie mit dem Antikörper zu stellen. Als Bestätigungstest steht in Zweifelsfällen die In-situ-Hybridisierung zur Verfügung, genauer der FISH-Test. Die Therapie mit Trastuzumab wird nach verschiedenen Protokollen, zum Beispiel über ein Jahr mit dreiwöchentlichen Gaben, durchgeführt und insgesamt gut vertragen. Es besteht jedoch die Möglichkeit toxischer Wirkungen auf das Herz,[10][11] weshalb zur therapiebegleitenden Kontrolle regelmäßige Herz-Ultraschalluntersuchungen durchgeführt werden.

Neratinib

Seit August 2018 ist der Tyrosinkinase-Inhibitor Neratinib (Handelsname: Nerlynx, Hersteller: Pierre Fabre) zur Behandlung von „HER2-positivem“ Brustkrebs im Frühstadium nach einer Operation zugelassen, um das Risiko eines erneuten Auftretens der Erkrankung (Rezidiv) zu senken. Neratinib wird nach einer Behandlung mit Trastuzumab angewendet.[12]

Einzelnachweise

  1. Symbol report for ERBB2. In: genenames.org. Abgerufen am 15. April 2019 (english).
  2. Hudis CA. Trastuzumab - mechanism of action and use in clinical practice. N Engl J Med. 2007 Jul 5;357(1):39-51. PMID 17611206
  3. Olayioye MA. Update on HER-2 as a target for cancer therapy: intracellular signaling pathways of ErbB2/HER-2 and family members. Breast Cancer Res. 2001;3(6):385-9. PMID 11737890, PMC 138705 (freier Volltext)
  4. Y. Bang, H. Chung, J. Xu, F. Lordick, A. Sawaki: Pathological features of advanced gastric cancer (GC): Relationship to human epidermal growth factor receptor 2 (HER2) positivity in the global screening programme of the ToGA trial. In: Journal of Clinical Oncology. Band 27, 15_suppl, 20. Mai 2009, ISSN 0732-183X, S. 4556–4556, doi:10.1200/jco.2009.27.15_suppl.4556 (englisch).
  5. Luca Albarello, Lorenza Pecciarini, Claudio Doglioni: HER2 Testing in Gastric Cancer. In: Advances in Anatomic Pathology. Band 18, Nr. 1, Januar 2011, ISSN 1072-4109, S. 53–59, doi:10.1097/PAP.0b013e3182026d72 (englisch, lww.com [abgerufen am 20. Juni 2020]).
  6. Hee Eun Lee, Kyoung Un Park, Seol Bong Yoo, Soo Kyung Nam, Do Joong Park: Clinical significance of intratumoral HER2 heterogeneity in gastric cancer. In: European Journal of Cancer. Band 49, Nr. 6, 1. April 2013, ISSN 0959-8049, S. 1448–1457, doi:10.1016/j.ejca.2012.10.018 (englisch, sciencedirect.com [abgerufen am 20. Juni 2020]).
  7. M. Untch et al.: Adjuvante Therapie mit Trastuzumab bei Mammakarzinompatientinnen Dtsch Arztebl 2006; 103(50): A-3406 / B-2961 / C-2841
  8. Branka Petricevic, Johannes Laengle, Josef Singer, Monika Sachet, Judit Fazekas, Guenther Steger, Rupert Bartsch, Erika Jensen-Jarolim, Michael Bergmann: Trastuzumab mediates antibody-dependent cell-mediated cytotoxicity and phagocytosis to the same extent in both adjuvant and metastatic HER2/neu breast cancer patients. In: Journal of Translational Medicine. Band 11, Nr. 1, Dezember 2013, ISSN 1479-5876, S. 307, doi:10.1186/1479-5876-11-307, PMID 24330813, PMC 4029549 (freier Volltext) – (englisch).
  9. Data From Omnitarg Clinical Program Presented at American Society of Clinical Oncology Meeting. Genentech, archiviert vom Original am 13. Juli 2014; abgerufen am 27. Januar 2023 (english).
  10. F. Penault-Llorca, M. Bilous, M. Dowsett et al.: Emerging technologies for assessing HER2 amplification. In: Am. J. Clin. Pathol. Band 132, Nr. 4, Oktober 2009, S. 539–548, doi:10.1309/AJCPV2I0HGPMGBSQ, PMID 19762531 (englisch).
  11. S. Stortecky, T. M. Suter: Insights into cardiovascular side-effects of modern anticancer therapeutics. In: Curr Opin Oncol. Band 22, Nr. 4, Juli 2010, S. 312–307, doi:10.1097/CCO.0b013e32833ab6f1, PMID 20535072 (englisch).
  12. Zusammenfassung der Merkmale des Arzneimittels. (PDF) EPAR. EMA, abgerufen am 29. Oktober 2019.