Femurkopfnekrose
| Klassifikation nach ICD-10 | |
|---|---|
| M87.05 | Idiopathische aseptische Knochennekrose: Beckenregion und Oberschenkel [Becken, Femur, Gesäß, Hüfte, Hüftgelenk, Iliosakralgelenk] |
| ICD-10 online (WHO-Version 2019) | |
Die Femurkopfnekrose (geläufig auch: Hüftkopfnekrose) ist eine Erkrankung, bei der ein Teil des knöchernen Oberschenkelknochenkopfes abstirbt. Die Erkrankung gehört zu den aseptischen Knochennekrosen. Ursache ist eine verminderte Durchblutung, die zu einer Nekrose führt.
Ein Sonderfall der Hüftkopfnekrose ist der Morbus Perthes im Kindesalter. Die Ursachen der auch hierbei vorliegenden Durchblutungsstörung sind noch unbekannt und werden kontrovers diskutiert.
Ursachen
Beim Erwachsenen sind die Ursachen nicht geklärt, gehäuft treten Femurkopfnekrosen bei Diabetes mellitus, beim Alkoholismus und nach hochdosierter (meist systemischer) Kortisonbehandlung[1] auf. Auch eine längere Behandlung mit Antikoagulantien kann eine Knochennekrose zur Folge haben. Posttraumatische Femurkopfnekrosen können nach Verletzungen des Femurkopfes auftreten.
Krankheitsbild

Ohne ersichtliche Ursache beginnt eine Hüfte zu schmerzen. Die Beweglichkeit des Gelenkes schränkt sich ein; meistens sind die Innenrotation und die Streckung gehemmt. Das normale Röntgenbild kann im ersten Stadium oft keine krankhaften Veränderungen zeigen, erst die Untersuchung mit dem MRT zeigt im frühen Stadium die Änderungen der Stoffwechsellage im erkrankten Knochen. Schreitet die Krankheit weiter fort, zeigen sich im noch lebenden Teil des Knochens Umbauvorgänge, der Körper versucht, den abgestorbenen Teil abzuschotten. Der nekrotische Anteil des Femurkopfes bricht schließlich zusammen, das Gelenk kann dann kaum noch belastet werden.
Von diesem Krankheitsbild unterscheidet sich die Coxarthrose destructive rapide (CDR), die einhergeht mit einer schnellen Zerstörung des Femurkopfes und der Pfanne innerhalb von einigen Monaten mit den klinisch und diagnostisch gleichen Erscheinungsbildern.
Die Femurkopfnekrose ist hingegen meist ein über Jahre gehender Prozess, der oft erst spät erkannt wird.
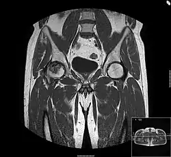
Bei dem Bild handelt es sich um eine MRT-Darstellung einer rechtsseitigen Femurkopfnekrose (links vom Betrachter). Ein scharf abgegrenzter Bezirk des Knochens ist ödematös verquollen, die Grenzschicht ist besonders auffällig, hier setzt sich der Körper mit dem Krankheitsprozess auseinander. Das linke Hüftgelenk ist normal, das erkennt man durch einfaches Vergleichen.
Therapie
Früher wurde meist mit wenig Erfolg versucht, den abgestorbenen Teil des Knochens auszuräumen, mit Spongiosa zu unterfüttern und somit wieder einen tragfähigen Femurkopf zu erreichen. Ferner ist die vaskulär gestielte Knochenspanimplantation bei noch geringer Ausprägung von Femurkopfnekrosezeichen im MRT und bei der Röntgenuntersuchung bei jüngeren Patienten noch eine sinnvolle Alternative zur Gelenkerhaltung. Gerade bei jüngeren Patienten kann das sinnvoll sein, wenn diese Verbindung stabil ist. Das Bein ist dann zwar schlechter beweglich, aber uneingeschränkt belastbar. Inzwischen ist der operative Einsatz eines künstlichen Hüftgelenkes (Endoprothese) das Mittel der Wahl, um dem Erkrankten wieder ein belastbares Bein zu verschaffen. Die Arthrodese, also die operative Versteifung des Hüftgelenkes, wird nicht mehr angewendet.
Bei kleineren Hunden (<15 kg Körpermasse) bringt die chirurgische Entfernung des abgestorbenen Femurkopfes häufig eine ausreichende klinische Besserung. Dabei bildet sich ein „Falschgelenk“, das dem Tier ausreichend Bewegung gestattet und weitgehende Schmerzfreiheit gewährleistet.
Therapeutisch werden im Off-Label-Use auch Prostacyclin und Prostacyclinanaloga, wie z. B. Ilomedin oder Iloprost, zur Behandlung von Knochenmarködemen und der Femurkopfnekrose eingesetzt.[2][3] Trotz ermutigender Frühergebnisse haben sich poröse Tantalstäbe nicht durchgesetzt.[4][5]
Literatur
- S3-Leitlinie Atraumatische Femurkopfnekrose des Erwachsenen der Deutschen Gesellschaft für Orthopädie und Orthopädische Chirurgie (DGOOC). In: AWMF online (Stand 31. Dezember 2013)
Einzelnachweise
- ↑ KL Krämer, M Stock, M. Winter: Klinikleitfaden Orthopädie. Jungjohann Verlag Stuttgart 1991, ISBN 3-8243-1139-9.
- ↑ Petje et al.: Aseptische Knochennekrosen im Kindesalter. Der Orthopäde 10 (2002), S. 1027–1038. doi:10.1007/s00132-004-0634-3
- ↑ Thorsten Schmidt: Infusion, Hüftkopfanbohrung oder Infusion nach Hüftkopfanbohrung in der Behandlung der atraumatischen Hüftkopfnekrose (FKN) und des Knochenmarködemsyndroms. (PDF; 1,3 MB; 76 Seiten) Lehrstuhl für Orthopädie des Klinikums der Universität Regensburg, Dissertation, 2009:
- ↑ Malte Kettler, Rüdiger Döhler: The AVN rod in femoral head necrosis. 9 rods, follow-up 3.7 years (Poster). Fifth SICOT/SIROT Annual International Conference, Marrakesch, 29. August bis 1. September 2007.
- ↑ Jinhui Ma, Wei Sun, Fuqiang Gao, Wanshou Guo, Yunting Wang and Zirong Li: Porous tantalum implant in treating osteonecrosis of the femoral head: Still a viable option? Scientific Reports 6 (2016), doi:10.1038/srep28227