Geburtsmechanik

Als Geburtsmechanik bezeichnet man das mechanische Zusammenspiel zwischen dem Fetus und dem Geburtskanal während der Geburt.

Anatomische Grundlagen

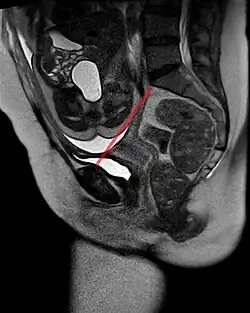
Messung der Conjugata vera obstetrica (rot) in der MRT bei Beckenendlage des Kindes.

Anatomie des Geburtskanals

Der Geburtskanal ist der Teil der Mutter, den das Kind während der Geburt durchschreiten muss, um geboren zu werden. Er besteht zum einen aus dem mütterlichen Becken und zum anderen aus mütterlichen Weichteilen (Gebärmutterhals, Scheide, Vulva). Während das Weichteilgewebe bis zu einem gewissen Grad dehnbar ist, ist das Becken relativ fest. Das Becken besteht allerdings aus drei Teilen, die jeweils über Bänder und Faserknorpel miteinander verbunden sind. Während die Bänder grundsätzlich einen gewissen Bewegungsgrad haben, kommt es in der Schwangerschaft unter dem Einfluss von Hormonen zu einer größeren Beweglichkeit der Bänder und Lockerung der Faserknorpelstrukturen (wie z. B. der Symphyse (=Schambeinfuge)), um das Becken für die Geburt beweglicher und weiter zu machen. Natürlich sind diesem Mechanismus Grenzen gesetzt. Entscheidend für die Geburtsmechanik von mütterlicher Seite sind also die Beckenstrukturen. Hier geht es vor allem um den unteren Teil des Beckens, das auch das "kleine Becken" genannt wird.

Das kleine Becken wird anatomisch in vier klassische Ebenen eingeteilt:

  • Der Beckeneingang weist eine querovale Form auf (ist also breiter als tief) und wird gebildet durch das sog. Promontorium des Kreuzbeins, der Schambeinfuge und dem Darmbein. Für die Geburtsmechanik entscheidend ist der kürzeste Abstand zwischen der hinteren Symphysenfläche und dem Promontorium, welcher als Conjugata vera obstetrica bezeichnet wird.
  • Die Beckenweite wird gebildet von der Symphysenhinterwand und der Mitte des dritten Kreuzbeinwirbels. Sie ist rund und die größte Ebene des Geburtskanals.
  • Die Beckenenge wird vorne vom Unterrand der Symphyse, hinten vom Übergang vom Kreuz- zum Steißbein (Articulatio sacrococcygis) und seitlich von den Dornfortsätzen des Sitzbeins (Spinae ischiadicae) gebildet. Diese Enge ist längsoval, ist also tiefer als breit.
  • Der Beckenausgang schließlich wird gebildet von Symphysenunterrand, den Sitzbeinhöckern und der Spitze des Steißbeins.

In der Geburtshilfe werden jedoch aus Gründen der Vereinfachung die parallelen Ebenen nach Hodge benutzt, welche im Abstand von jeweils 4 cm angeordnet sind und sich nach den Dornfortsätzen des Sitzbeins (Spinae ischiadicae) als Referenz oder Nullebene richten.

Anatomie des Fetus

Geburtsmechanisch entscheidend ist der kindliche Kopf als der Teil des Fetus, der den größten Umfang besitzt. Weiterhin ist der Kopf länger als breit – der Abstand von Stirn zu Hinterkopf ist länger als der Abstand zwischen den beiden Schläfen – also längsoval. Zusätzlich ist der Kopf länger von der Stirn bis zum Hinterkopf als vom Kopfansatz am Hals bis zum obersten Punkt. Dies bedeutet, dass es für die Geburt von Vorteil ist, wenn das Kind mit dem Rücken zur Vorderseite der Mutter liegt, denn dies erlaubt es ihm, mit dem Hinterkopf als führendem Teil ins mütterliche Becken zu treten, welches einen kleineren Platzbedarf ans Becken stellt.

Im Gegensatz zum mütterlichen Becken ist das Kind anpassbarer. Der Kopf kann vom Rumpf relativ frei gedreht, gebeugt oder gestreckt werden. Weiterhin sind die Schädelknochen des Kindes noch nicht fest verknöchert und somit der Kopf in einem gewissen Umfang zusammendrückbar. Nach dem Kopf sind die kindliche Schulter und das Becken die breitesten Stellen.

Geburtsverlauf

Über den Geburtsmechanismus publizierte 1819 der Arzt und Geburtshelfer Franz Naegele. Der Durchtritt des Kindes durch den Geburtskanal ist aus kindlicher Sicht ein passiver Vorgang und passt sich entsprechend den anatomischen Gegebenheiten den jeweiligen Formen und Weiten des Geburtskanals an. Der Kopf folgt dabei entsprechend den 1906 von Hugo Sellheim durchgeführten Studien über den Geburtsmechanismus nach dem Gesetz vom kleinsten Zwang[1] dem Gesetz des geringsten Widerstands. Dabei verläuft die Geburt aus mechanischer Sicht folgendermaßen:

  1. Eintreten des Kopfes in das kleine Becken. Da der Beckeneingang queroval verläuft, stellt sich der Kopf ebenfalls quer ein. Das kindliche Gesicht weist also nach rechts oder nach links.
  2. Flexion. Der Kopf tritt tiefer in die Beckenhöhle und führt passiv eine Beugung (=Flexion) durch. Die sog. kleine Fontanelle, die am Hinterhaupt des Kindes liegt, kommt nach vorne (in die „Führungslinie“)
  3. 1. Rotation. Der Kopf gelangt nun in die Beckenenge und muss entsprechend deren Form eine 90°-Drehung vollziehen, um das Hinterhaupt nach vorne zu legen. Dieser Vorgang wird durch den mütterlichen Levatormuskel unterstützt. Das Gesicht weist jetzt nach hinten und der Kopf gelangt nun an den Beckenausgang.
  4. Streckung. Der Kopf muss nun durch einen Knick im Geburtskanal treten. Dazu stemmt er sich am Symphysenrand an und gelangt so in eine Streckhaltung. Das Hinterhaupt erscheint unter der Symphyse. Beim sog. Einschneiden treten Scheitel, Stirn und Kopf durch den Damm.
  5. 2. Rotation. Nachdem der Kopf geboren wurde, folgen die Schultern. Da diese im Gegensatz zum Kopf breiter als tief sind, muss das Kind erneut eine 90°-Drehung vollziehen, das kindliche Gesicht weist am Ende in die gleiche Richtung, wie es beim Eintritt ins Becken gewiesen hat.
  6. Geburt des Rumpfes. Dieser Vorgang erfolgt ohne Spannung. Das Kind wird dazu dem gebogenen Geburtskanal folgend um die Symphyse auf den Bauch der Mutter entwickelt.

Einstellungsanomalien des kindlichen Kopfes können diesen normalen Geburtsverlauf erschweren.

Literatur

  • Klaus Diedrich u. a. (Hrsg.): Gynäkologie und Geburtshilfe. Springer-Verlag, Berlin, Heidelberg, New York 2000, ISBN 3-540-65258-2.

Einzelnachweise

  1. Paul Diepgen, Heinz Goerke: Aschoff/Diepgen/Goerke: Kurze Übersichtstabelle zur Geschichte der Medizin. 7., neubearbeitete Auflage. Springer, Berlin/Göttingen/Heidelberg 1960, S. 33 und 60.