Foramen nutricium

Als Foramen nutricium („Ernährungsloch“) bezeichnet man eine Öffnung im Knochenmantel (Substantia compacta) von Röhrenknochen im Bereich des Knochenschafts (Diaphyse). Das Foramen nutricium liegt zumeist im körpernahen (proximalen) Abschnitt der Diaphyse. Durch dieses Loch zieht das Hauptgefäß für die Ernährung des Knochens, das als Arteria nutricia bezeichnet wird. Diese Arterie verzweigt sich in die Gefäßkanäle der Osteone (Havers-Kanal, Volkmann-Kanal) und das Knochenmark.
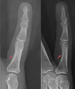
Von Anfängern kann das Foramen nutricium auf einer Röntgenaufnahme als Schrägfraktur des Knochenschafts fehlgedeutet werden, da es sich röntgenologisch selten deutlich darstellt.
Literatur
- Franz-Viktor Salomon: Knöchernes Skelett. In: Franz-Viktor Salomon u. a. (Hrsg.): Anatomie für die Tiermedizin. Enke-Verlag, Stuttgart, 2. erw. Auflage 2008, S. 37–110. ISBN 978-3-8304-1075-1